Tener la necesidad de un reimplante dental es una realidad para muchas personas, cuyas causas son múltiples y dependen en gran medida de factores externos como traumatismos. Es un procedimiento cuyo objetivo es devolver una pieza dental caída a su lugar original.

¿Qué es un Reimplante Dental?
Como bien sugiere el nombre de este procedimiento, un reimplante dental consiste en la recolocación de un diente luego de haber sido liberado. Existen dos razones por las que un diente es retirado de su puesto:
- Para practicar un tratamiento de conductos de manera extraoral: Este tipo de intervención remueve uno o varios dientes. Luego de aplicarse el tratamiento de los conductos, puede volver a insertarse los dientes extraídos. Este tipo de prácticas ya no son muy utilizadas hoy en día.
- Para reposicionar los dientes naturales luego de sufrir un accidente: Es el que más encaja con el reimplante. Aunque existen varios protocolos para asegurar la reinserción de un diente, es una posibilidad plausible para muchas personas.
El motivo por el que una persona quisiera someterse a un reimplante de los dientes sería por evitar el uso de prótesis dentales.
¿Cuándo es Necesario un Reimplante Dental?
La avulsión de un diente es una lesión producida normalmente por un golpe o traumatismo que provoca la salida del diente de su alvéolo. Aquí es importante saber que los dientes son considerados como avulsionados cuando se han salido completamente de sus alvéolos. El diente avulsionado es un diente que sale completamente de la boca, no queda ninguna parte del mismo dentro.
Es necesario aclarar que el éxito de la reimplantación depende de que no haya transcurrido demasiado tiempo desde que se produjo la avulsión. Esto debido a que el alvéolo, que recibirá de nuevo al diente, debe contar con ciertas condiciones. Entre estas condiciones hay una muy importante y es que aún no haya cicatrizado por completo. Tomando en cuenta que el tiempo es un factor clave para lograr que el alvéolo reabsorba la pieza dentaria, se debe actuar rápido.
¿QUÉ HACER SI SE SALE UN DIENTE DURANTE UN ACCIDENTE? 🦷AVULSIÓN DENTAL
Por ello, es necesario acudir al odontólogo sin demoras porque esta situación se considera una emergencia médica. Dado que el tiempo es claramente importante, un diente avulsionado requiere tratamiento inmediato para poder salvarlo. Se debe consultar al dentista tan pronto como sea posible para recibir atención de emergencia.
Primeros Auxilios en Caso de Avulsión Dental
Los síntomas de esta lesión son fácilmente identificables ya que se basan en el dolor y el sangrado.
Ante esta situación, los pasos a seguir son:
- Coger el diente por la corona, no tocar la raíz.
- Enjuagar el diente con agua o leche para eliminar la suciedad.
- Para continuar con el procedimiento, el paciente debe colocar de nuevo la pieza dental en el alvéolo correspondiente. Haciéndolo con suavidad garantiza que la pieza dental encaje de la forma más natural posible.
- Para finalizar con este procedimiento, es altamente recomendable morder ligeramente un pañuelo o una servilleta. Esto con el fin de sostener el diente en su lugar, a la vez que se mitiga el sangrado.
Hay que contemplar la posibilidad de que no se pueda completar el procedimiento de que la propia persona se coloque el diente. En este caso hay que mantener el diente húmedo hasta que se obtenga atención odontológica. De igual manera, es importante tener la precaución de no colocar la pieza bucal en agua, lo recomendable es colocarlo en un vaso de leche. De esta manera se conservan mejor los nutrientes naturales del diente. En todo caso lo mejor es mantenerlo dentro de la cavidad bucal para que la saliva lo mantenga con humedad. Esto puede hacerse en el caso de que se esté completamente seguro de que el paciente no se tragará el diente.
Procedimiento Odontológico del Reimplante
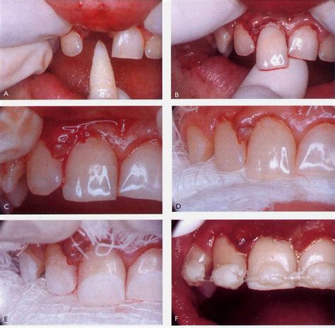
El odontólogo puede variar el procedimiento a seguir dependiendo de algunos factores. Estos factores se basan principalmente en sí el paciente se colocó correctamente el diente en el alvéolo. Una vez que se constate la correcta posición de la pieza, el especialista colocará férulas alrededor para fijarlo adecuadamente. Posteriormente ferulizará el diente implantado a los dientes adyacentes de 7 a 10 días. Una vez que transcurran diez días deberá evaluar el estado de la pieza reimplantada y a depender de cómo se encuentre el nervio podrá programar otra cita.
En el caso de que el paciente no se hubiese reinsertado el diente por sí mismo, el odontólogo deberá hacerlo. Si no se ha podido reimplantar el diente de inmediato y se almacenó en un medio líquido adecuado, el odontólogo enjuagará suavemente el diente si es necesario, generalmente con solución salina, administrará anestesia local y procederá a reimplantar el diente. Para ello seguramente colocará anestesia local, higienizará el diente y procederá a colocarlo en su lugar.
Otra posibilidad a contemplar, es que el paciente no pudo colocarse por sí mismo la pieza dental ni tampoco logró conservarlo adecuadamente. En estos casos el especialista todavía puede reinsertar el diente, pero solamente si el proceso se realiza muy pronto. De transcurrir más de una hora la reimplantación tiene grandes posibilidades de fracasar. En los casos donde no se pudo almacenar el diente en un medio húmedo, el dentista aún puede reimplantarlo, pero para asegurar un buen pronóstico, generalmente solo lo podrá reinsertar durante la hora siguiente a la pérdida. Al respecto, es de destacar que la sequedad ocasiona que el ligamento periodontal, muera, lo que conlleva a implementar otras opciones. Si el diente se seca demasiado, el ligamento periodontal puede morir. Si esto sucede, el reimplante seguramente no funcione y el diente acabe perdiéndose.
Se hace necesario tomar en cuenta que en todos los casos el odontólogo seguramente recetará antibióticos.
Factores que Aseguran el Éxito de un Reimplante
El éxito de reimplantar un diente depende de muchos factores entre los que se encuentran el tiempo que transcurre desde que el diente sale del alvéolo hasta que el diente es reimplantado. También influye mucho el medio de almacenamiento del diente avulsionado. El principal factor que determina si un diente reimplantado puede fijarse naturalmente en su lugar es el tiempo que pase fuera del alveolo. Esto quiere decir que, si un diente es extraído accidentalmente, es necesario practicarse un reimplante lo más pronto posible.
- Tiempo fuera del alveolo: Cuanto menos tiempo pase el diente fuera de su cavidad, mayor será la posibilidad de éxito.
Por ese motivo, los especialistas sugieren proceder con este tratamiento en el lugar del siniestro. Sin embargo, es posible acudir a un centro odontológico para optar por una reimplantación. El tiempo límite recomendado que puede pasar un diente fuera de su lugar es, como máximo, 20 minutos.
La manera de aumentar el límite de tiempo sería remojando el diente en leche, suero fisiológico o manteniéndolo debajo de la lengua. En estos extremos, un diente puede durar hasta 72 horas fuera del alveolo sin comprometer significativamente la posibilidad del reimplante.
Las condiciones desfavorables que influyen en el éxito del reimplante de un diente, incluyen que el diente éste fuera de la boca durante más de 6 horas sin medios de almacenamiento y sin ligamento periodontal en la superficie de la raíz. Sin embargo, independientemente del estado del diente o del tiempo que haya pasado fuera de la boca, el diente avulsionado que se reimplanta sigue siendo el mejor implante.

El medio de conservación del diente también constituye un factor muy importante a la hora de que el pronóstico sea favorable. El mejor sitio para conservar el diente siempre será recolocándolo en el alvéolo de forma inmediata por el odontólogo, pero en caso de que esto no sea posible, entonces lo más apropiado es sumergir el diente en suero fisiológico.
Una vez hemos reimplantado la pieza dental exitosamente, pues, todavía queda otra parte del proceso: mantenerlo ferulizado hasta que se estabilice el reimplante. El método mecánico para la estabilización e inmovilización de dos o más dientes en condiciones no óptimas para recibir fuerzas extremas, como la masticación, se llama ferulización. Todos estos pasos son fundamentales tanto para reimplantar el diente como para que el diente no sea rechazado con el tiempo.
¿Cuándo No se Recomienda un Reimplante Dental?
No todas las personas reúnen las condiciones necesarias para recibir este tipo de procedimiento médico. Así, la edad es un factor limitante; por ejemplo, los niños pequeños no suelen recibir este tipo de reimplantación. Aunque un niño pequeño sufriera de un traumatismo y perdiera una pieza dental, no recibirá este tratamiento. Por otra parte solamente los dientes permanentes son reimplantables. No se deben reimplantar los dientes de leche, ya que esto puede causar lesiones a los dientes permanentes en desarrollo. Los dientes colocados como prótesis no se sostendrán por sí mismos en el alvéolo ni serán absorbidos naturalmente por el cuerpo.
La recuperación de un diente natural no podrá ser posible si:
- El paciente tiene alguna enfermedad periodontal.
- Existe alguna fractura alveolar grave que impida la recolocación dental.
- El diente extraído tiene una caries en estado avanzado.
- El individuo tiene problemas sistémicos diagnosticados con anterioridad.
- Parte del soporte dental ha sufrido tantos daños que no podría sostener el diente nuevamente.
- Se trata de un diente temporal.
El motivo por el que se previene una reimplantación es porque podría comprometer la salud de la persona. Un especialista tendrá que evaluar rápidamente si es un procedimiento posible para esa persona.
Alternativas al Reimplante Dental
Si has perdido un diente o conoces a alguien que lo haya hecho, sabrás que resulta molesto, incómodo e incluso, en ocasiones, doloroso. Para recuperarla, los implantes dentales son la mejor opción.
Cuando el deterioro de un diente está muy avanzado, realizar una endodoncia no es suficiente para saldar el daño. En estos casos, debemos recurrir a un implante dental. Un implante dental implica la sustitución total de la pieza. Consiste en la colocación de pequeños tornillos de titanio dentro del hueso para reemplazar la raíz natural del diente perdido. Posteriormente, se procede a colocar la prótesis indicada en cada caso. Se puede sustituir desde un único diente hasta todos los que componen la arcada.
La importancia de un implante dental es muy alta dado que de no realizarlo, podemos mostrar una pérdida pérdida paulatina de hueso maxilar. Esto hará que nuestra superficie de masticación sea más pequeña y que el resto de dientes se muevan entre otros posibles problemas. Con este procedimiento conseguiremos mantener nuestra salud bucodental.
Implantes Dentales Inmediatos
Una solución rápida y efectiva que podemos encontrar actualmente son los implantes inmediatos que nos permiten en 24h. realizar el remplazo de la pieza dañada. Se extrae el diente y la raíz que se necesitan retirar. En el alveolo que ha quedado vacío se instala el implante en el mismo momento. Siempre y cuando la anatomía ósea lo permita. Gracias a ello reducirás el número de visitas al dentista y cirugías para colocar una pieza dental final.
| Ventajas del implante inmediato |
|---|
| Reducirás el número de intervenciones quirúrgicas a la hora de reponer ese diente. |
| La duración del tratamiento es menor y conservaremos el hueso alveolar en la zona de extracción. |
| Se puede conseguir una posición tridimensional del implante ideal. |
| En una única cita realizamos todo el procedimiento facilitando que sea muy rápido pero igual de efectivo. |
Con este tipo de implantes, se integra el cuerpo del implante (la pieza de titanio)justo después de la extracción y, acto seguido, se coloca una prótesis provisional que pueda cumplir el papel de diente hasta que el implante se haya integrado del todo. Con el tiempo, se procede a colocar la prótesis definitiva.
Sin embargo, no todo el mundo puede ser candidato a este tratamiento. Si el paciente no tiene suficiente tejido óseo es muy difícil que el implante se mantenga estable. Algunas clínicas de BQDC ya emplean plasma rico en factores de crecimiento para reparar los tejidos.
La gingivitis y la periodontitis se originan por la acumulación en exceso de placa bacteriana y producen la inflamación y la irritación de la encía. Por este motivo, aunque es posible colocar implantes de carga inmediata en pacientes que han perdido piezas dentales por culpa de alguna enfermedad periodontal, primero es necesario controlarla.
El procedimiento para colocar implantes dentales puede ser totalmente indoloro gracias a la sedación consciente y la anestesia local.
tags: #reimplante #de #pieza #dental