Al remover las cordales o terceros molares, es crucial cumplir con ciertas recomendaciones para asegurar que el proceso de recuperación sea lo más rápido y efectivo posible. A continuación, te proporcionamos una guía detallada sobre los cuidados que debes seguir después de la extracción de las muelas del juicio.
Síntomas de la Aparición de Muelas del Juicio
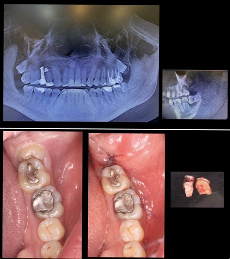
Las muelas del juicio, también conocidas como cordales, generalmente erupcionan entre la adolescencia y la adultez. Su anatomía puede variar, presentando entre uno y seis conductos y de una a cuatro raíces. Es importante destacar que no siempre es necesario extraer las cordales, lo cual debe ser evaluado por un profesional mediante una radiografía.
Un gran número de personas experimentan molestias cuando las muelas del juicio comienzan a erupcionar, especialmente si no tienen suficiente espacio para salir y empujan a los otros dientes, o si su orientación es horizontal o angular. Los síntomas más comunes incluyen:
- Encías enrojecidas: Pueden hincharse, estar sensibles y sangrar durante el cepillado.
- Dolor en el área cerca de la muela del juicio: Este malestar puede afectar el oído, la cabeza y la garganta.
- Fiebre: En ocasiones, los pacientes presentan fiebre, especialmente cuando hay una infección en la zona.
- Dolor en la mandíbula: Sobre todo al comer.
- Mal aliento y sabor poco agradable en la boca: Aunque este síntoma es menos frecuente.
También es común que, al erupcionar, las cordales provoquen presión y obstrucción en la zona, ya sea por el tejido de la encía o por otro diente. Las muelas del juicio no siempre aparecen juntas y no hay una edad específica para su erupción, variando en cada persona.

Riesgos al No Realizar la Extracción de las Muelas del Juicio
Como ya se mencionó, la extracción de las muelas del juicio no siempre es necesaria. Sin embargo, si un profesional determina que es requerida y no se realiza a tiempo, pueden surgir riesgos y afecciones como:
- Severos daños en los dientes: Apiñamiento o incluso la rotura de otra pieza dental para hacerse espacio.
- Enfermedades en las encías: Como la periodontitis.
- Dolor intenso: Dificultando actividades cotidianas y molestias por el apiñamiento.
- Caries: Debido a la dificultad de limpieza cuando la muela no puede salir del todo.
No realizar la extracción de las cordales a tiempo puede acarrear múltiples problemas bucodentales. Por ello, es crucial consultar a un especialista si sientes que tus muelas del juicio están erupcionando para evaluar la necesidad de una cirugía.
Qué Esperar Luego de la Extracción
Es fundamental estar preparado para lo que sucederá después de la cirugía bucal. Inmediatamente después de la extracción, sentirás la zona adormecida debido a la anestesia local. Es común experimentar dolor durante algunos días, así como hinchazón en el área donde estaba la muela, la mejilla e incluso parte del cuello. También es posible que haya sangrados leves y poco prolongados durante los primeros días. Los moretones son menos comunes, pero si aparecen, desaparecen rápidamente.
Cuidados Después de la Extracción de las Muelas del Juicio
Una vez extraídas las muelas del juicio, es esencial seguir ciertos cuidados para asegurar una recuperación rápida y sin complicaciones. Algunas recomendaciones clave son:
Descansar
Uno de los primeros cuidados tras la extracción es el descanso. En la mayoría de los casos, se debe abrir la encía para sacar la muela de raíz y colocar suturas para cerrar la herida. La anestesia localizada produce adormecimiento en la zona, cuyo efecto tarda algunas horas en desaparecer. Además, el área estará hinchada por un par de días. Se recomienda mantener la calma y descansar bien, al menos los dos primeros días posteriores a la extracción.
Es importante evitar cualquier deporte o actividad física, así como movimientos bruscos. Puedes dormir como desees, siempre y cuando no ejerzas presión sobre la zona intervenida. No descansar adecuadamente podría ocasionar que se suelten las suturas y generar complicaciones en la recuperación. La mayoría de los pacientes requieren pocos días de reposo antes de volver a sus actividades diarias con normalidad.
Evitar Comer Alimentos Duros
Es crucial evitar comer alimentos duros durante la recuperación. La intervención hará que tanto el rostro como el área de donde se sacó la cordal estén sensibles, y masticar alimentos duros puede resultar doloroso. Se recomienda optar por alimentos blandos como purés, sopas, pudines, batidos y similares, asegurándose de que estén a temperatura ambiente o fríos. No se recomienda el uso de pajitas ni consumir alimentos calientes, ya que pueden romper el coágulo de sangre que permite la cicatrización, produciendo infecciones o alvéolo seco, dejando expuestos los nervios y el hueso. Esta dieta debe mantenerse durante una o dos semanas, hasta que la hinchazón disminuya y sientas menos molestias.

No Enjuagues de Forma Vigorosa tu Boca
Los expertos recomiendan no enjuagar la boca de forma vigorosa durante las primeras 24 horas después de la operación, ya que esto puede afectar los coágulos de sangre que ayudan al cierre de la incisión. Puedes realizar enjuagues muy suaves con agua tibia con sal cada tres horas.
Tomar los Medicamentos Recetados
Es normal tener algo de hinchazón en el rostro y en la zona intervenida. Para ello, el dentista podría recetarte antiinflamatorios, antibióticos para evitar infecciones y analgésicos para el dolor. Es importante tomar los medicamentos según las recomendaciones del especialista para contribuir a la recuperación.
Tener una Correcta Higiene
Mantener una correcta higiene es fundamental para evitar problemas bucodentales. La zona donde fueron extraídas las muelas del juicio estará especialmente delicada, por lo que debes ser muy cuidadoso para no hacerte daño. Cepilla tus dientes de forma regular después de cada comida, pero evita pasar el cepillo por la herida durante los dos primeros días para evitar dolor, sangrado e interrupción de la recuperación. Puedes utilizar enjuagues bucales suaves o agua con sal para mantener el área limpia, prevenir infecciones y aliviar la hinchazón.
Asistir con el Especialista en Caso de Emergencia
Al terminar la intervención, es normal tener sangrado. El especialista colocará una gasa estéril para contenerlo, pero después de unos 30 minutos, la cantidad de sangre debe disminuir. Si presentas sangrado leve después de la intervención, coloca gasa en la zona y ejerce presión por aproximadamente 10 minutos. Si el sangrado persiste o notas los siguientes síntomas, contacta a tu dentista:
- Sangrado significativo y prolongado.
- Dificultad para tragar o respirar.
- Dolor intenso y agudo que no se alivia con los medicamentos.
- Fiebre.
- Hinchazón que no disminuye después de los tres días posteriores a la extracción.
Estos síntomas pueden indicar un problema infeccioso o una cicatrización incorrecta.
Otros Consejos de Cuidados
- Aplica hielo en la parte externa de la mejilla inflamada para disminuir la hinchazón y el dolor.
- Consume bebidas frías.
- Mantén la cabeza en alto los primeros días, utilizando almohadas si vas a acostarte.
- No fumes durante el tiempo de cicatrización.
- No tomes aspirinas, ya que empeoran el sangrado.
- No consumas alimentos con semillas, ya que podrían quedar atrapados en la incisión y provocar complicaciones.
¿Cuánto tiempo⏳tarda en 𝗖𝗜𝗖𝗔𝗧𝗥𝗜𝗭𝗔𝗥 una EXTRACCION MUELA? Tiempo de RECUPERACION 𝙈𝙐𝙀𝙇𝘼 𝘿𝙀𝙇 𝙅𝙐𝙄𝘾𝙄𝙊 💪
Siguiendo estos cuidados después de la extracción de las muelas del juicio, ayudarás significativamente al proceso de recuperación. Recuerda que es importante tomar en cuenta estas previsiones para evitar complicaciones y asegurar una pronta recuperación.
Tabla resumen de los cuidados post extracción de muelas del juicio:
| Cuidado | Descripción | Duración |
|---|---|---|
| Descanso | Reposo absoluto, evitar actividades físicas intensas. | Primeros 2 días |
| Alimentación | Dieta blanda, alimentos fríos o a temperatura ambiente. | 1-2 semanas |
| Higiene bucal | Cepillado suave, enjuagues con agua y sal. | Desde el segundo día, con precaución |
| Medicación | Tomar analgésicos y antibióticos según prescripción. | Según indicación médica |
| Compresas frías | Aplicar hielo en la mejilla para reducir la inflamación. | Primeras 48 horas |
| Evitar | Fumar, usar pajitas, enjuagues vigorosos. | Durante la cicatrización |
