Tras un tratamiento de ortodoncia, los retenedores juegan un papel crucial para mantener los dientes en su nueva posición. Un retenedor evita que los dientes se muevan después de enderezarlos con la ortodoncia. El proceso tarda por lo menos de cuatro a seis meses en hacer que la nueva posición de tus dientes sea permanente. Durante este tiempo, tus dientes intentarán volver a su posición original, lo que se llama recaída. Si se usa correctamente, un retenedor evitará que esto suceda. Por eso, ante la pregunta frecuente de ¿cuánto tiempo usar retenedores dentales? dependerá de las circunstancias, probabilidad de recaída y necesidades de tus dientes para asentar la posición correcta.
Es claro que tu clínica de ortodoncia te ayudará a elegir cuál es el mejor retenedor dental que más se adapte a tus necesidades y a tu estado de salud. Puedes tener un solo tipo de aparato o un aparato removible para los dientes superiores y un aparato permanente para los dientes inferiores.

El manejo del tiempo posterior a la finalización del caso resulta de extremada importancia, tanto como el propio tratamiento en sí. Son muchas y variadas las formas de ejercer la contención del mismo. Existen diferentes corrientes acerca de estos métodos. El diccionario de la Real Academia Española define retener como “impedir o dificultar el curso normal de algo”. A lo largo de la historia muchos autores han debatido sobre esta cuestión, expresando distintas opiniones, argumentos y teorías.
Así, Angle propugnaba la inmovilización total de los dientes para no interferir en la formación de nuevo hueso, aunque posteriormente matizara, en la 7ª edición de su libro “Treatment of malocclusion of the teeth”, que se debía permitir total libertad de movimiento de los dientes ortodóncicamente corregidos, excepto “hacia la dirección en la que el diente tiende naturalmente a regresar”. Muchos profesionales han preconizado la necesidad de retener un caso ortodóncicamente tratado, durante un cierto tiempo al menos. Otros autores, como Englert, defienden la idea de que no es necesaria la retención para conseguir unos resultados estables. Actualmente, la retención sigue siendo un problema. El paciente quiere saber desde el primer momento si necesitará algún retenedor, cuánto tiempo deberá llevarlo, … y demás cuestiones controvertidas.
Tipos de Retenedores Dentales
Existen varios tipos de retenedores dentales, cada uno con sus propias ventajas y desventajas. La elección del retenedor depende de múltiples factores: el tipo de maloclusión tratada, la edad del paciente, el nivel de compromiso con el uso, y las recomendaciones del ortodoncista.
Retenedor Hawley

Este tipo de soporte está hecho de alambre plegable y acrílico o plástico. El alambre pasa por delante de los dientes y el acrílico tiene una forma tal que encaja perfectamente en la boca. Los soportes Hawley están disponibles en una variedad de colores y estilos, con lo cual puedes personalizarlos cuando quieras. Además, este tipo de retenedor es ajustable, por lo que tu ortodoncista puede «afilar» tus dientes un poco después de que los frenos se ajusten.
Probablemente sea el aparato más común de los retenedores removibles, y puede ser utilizado tanto para la arcada superior como para la inferior. La placa clásica de Hawley se compone de retenedor de Adams para los molares de 0,025 o 0,030 pulgadas, un arco vestibular de 0,028 o 0,035 pulgadas, que contacta con la superficie vestibular de los caninos y de los cuatro incisivos, y el cuerpo de acrílico que se adapta a los tejidos blandos y a la superficie lingual de los dientes, además de servir como método de unión.
Ventajas y Desventajas del Retenedor Hawley
- Ventaja: ajustable. Permite que los dientes se toquen entre sí de forma natural. Dura mucho tiempo con el cuidado adecuado. Fácil de limpiar.
- Desventaja: altamente visible. Puede que te sientas un poco apático al principio cuando lo uses.
Retenedores Dentales Essix

Este tipo de soporte está hecho de plástico transparente moldeado y parece un alineador Invisalign. A la gente le gusta este tipo de retenedor dental porque es menos visible que una sujeción Hawley. Sin embargo, no es posible que los dientes superiores e inferiores se toquen de forma natural. Por esta razón, a algunos ortodoncistas no les gusta este tipo de retenedor.
Los retenedores Essix también tienen una vida útil más corta que los retenedores Hawley. En promedio, comienzan a desgastarse después de unos años y luego deben ser reemplazados.
Ventajas y Desventajas de los Retenedores Essix
- Ventaja: prácticamente invisible en los dientes.
- Desventaja: no permite que los dientes se toquen naturalmente. Se desgasta después de unos años. Puede ser difícil mantener limpias las superficies internas. Retiene el líquido en los dientes.
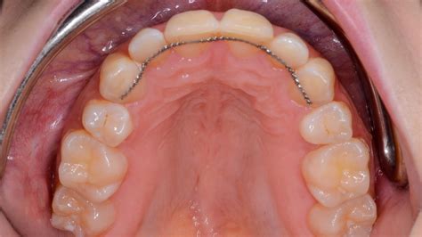
Retenedores Dentales Fijos

Los retenedores dentales fijos permanecen en la boca todo el tiempo porque están pegados a la parte posterior de los dientes. Normalmente este tipo de retenedor se coloca detrás de los seis dientes inferiores delanteros.
A veces los ortodoncistas pueden empezar con un retenedor pegado y cambiar a un retenedor Hawley o Essix después de seis meses a un año. Puede ser muy difícil usar el hilo dental en los dientes adheridos; debe usar el hilo dental para hacerlo correctamente.
Ventajas y Desventajas de los Retenedores Fijos
- Ventaja: mantiene tus dientes saludables. No puede ser visto por otros.
- Desventaja: difícil de usar el hilo dental. Puede cortar o alterar la lengua. A veces la cera dental puede ser conveniente.
Retenedores Circunferenciales: Una Alternativa
Un diseño alternativo es el retenedor circunferencial o de arco contínuo, también conocido como retenedor de Begg, el cual sólo incorpora un arco labial, sin utilización de retenedores interoclusales, facilitando así que se produzca un mayor número de contactos interoclusales durante la retención por movimientos verticales de las piezas de los sectores posteriores, ya que el arco labial estándar y los retenedores de Adams de la placa de Hawley se extienden interoclusalmente, entre ambas arcadas, lo que limita estos movimientos verticales de los dientes posteriores.

Este tipo de retenedor es útil para mantener cerrados los espacios en la zona de extracción. Es muy similar al aparato Hawley; sin embargo, en este retenedor, el alambre rodea hasta la parte distal del último molar erupcionado.
Como limpiar tus retenedores o protesis dentales. 😉GUÍA 2021
Limpieza de los Retenedores Dentales
La limpieza de los retenedores dentales es crucial para mantener una buena higiene bucal y prolongar la vida útil del retenedor.
Limpieza de Retenedores Removibles
La limpieza de los retenedores dentales removibles es similar a la de nuestra dentadura. Obviamente debemos quitárnosla antes de comer para evitar que se llene de restos y acumule sarro. Luego basta con limpiarlo con un cepillo de prótesis o un cepillo de uñas, ya que estos últimos son más duros, y usando jabón de las manos neutro. Posteriormente, deben secarse con una servilleta para evitar que aparezca moho. También es aconsejable que los retenedores se sumerjan en una pastilla de dentaduras cada 15 días durante aproximadamente 4 horas, para así lograr una completa desinfección. Otra opción si quieres saber cómo lavar los retenedores dentales, es sumergir en un vaso con agua y bicarbonato de sodio, enjuague bucal que no contenga alcohol o vinagre suave.
Limpieza de Retenedores Fijos
Los retenedores fijos se cepillan como los dientes, pero en vez de usar hilo dental normal, hay que usar un hilo especial para retenedores o puentes que se llama Super Floss. Si no sabes cómo utilizarlo no te preocupes, tu ortodoncista te enseñará a hacer el uso correcto de este hilo especial.
Estas formas de lavar los retenedores dentales evitará la acumulación de bacterias en exceso, y los mantendrá en buen estado durante más tiempo.
La Importancia del Uso Continuo
Incluso si los dientes están permanentemente en su nueva posición, los efectos de la masticación, el crecimiento y el desgaste diario pueden causar una recaída. Por lo tanto, tu ortodoncista puede recomendarte que uses un retenedor por el resto de tu vida.
Si tu retenedor es removible, es muy importante que lo uses exactamente como lo dice tu ortodoncista, de lo contrario puedes perder algunos o todos los beneficios de tu retenedor.
Algunos estudios han demostrado que las instrucciones más comunes son usar el retenedor todo el día, siete días a la semana durante un año después de que el dispositivo se retira. Después de eso, generalmente se recomienda usar el retenedor por la noche indefinidamente. Las instrucciones varían, por lo que es importante hablar con el ortodoncista.
Una vez que comiences a usar el retenedor, el ortodoncista querrá comprobar que los dientes no se mueven. El ortodoncista puede ajustar o arreglar el retenedor o, si es necesario, fabricar uno nuevo.
Debes ver a tu ortodoncista lo antes posible si pierdes el retenedor, si se rompe o se agrieta.
tags: #retenedores #circunferenciales #ortodoncia