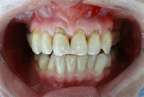
Las encías retraídas son un problema más frecuente de lo que a veces pensamos. La retracción de las encías, también llamada recesión gingival, es una enfermedad que se da de manera progresiva desde la niñez y que alcanza su mayor grado a partir de los 40 años donde incluso pueden exponerse las raíces de los dientes.
¿Eres consciente de que tienes (o podrías tener) encías retraídas? Si estás en esta situación, seguramente leyendo este artículo te hayas podido identificar con alguno de los casos expuestos arriba. Por tanto, este artículo te puede interesar bastante.
👉 𝗘𝗡𝗖𝗜𝗔𝗦 𝗥𝗘𝗧𝗥𝗔𝗜𝗗𝗔𝗦 Solución DEFINITIVA ,¡FIN a la 𝗥𝗘𝗧𝗥𝗔𝗖𝗖𝗜𝗢𝗡 𝗚𝗜𝗡𝗚𝗜𝗩𝗔𝗟 Causas y Tratamiento!
¿Qué es la retracción de las encías?
La retracción de encías sucede cuando el tejido que cubre las raíces de los dientes se desgasta o se retrae, dejando al descubierto parte del diente e incluso su raíz. La retracción gingival ocurre cuando el borde de la encía retrocede sobre la superficie de los dientes y, en consecuencia, una parte mayor queda al descubierto.
Al principio, quizá aprecies que se ven los cuellos, pero al progresar también distinguirás parte de las raíces. Por este motivo, observarás que las piezas dentales lucen más largas y la posible aparición de úlceras o aftas bucales.
La retracción de encías, también llamada recesión gingival, es una enfermedad que se da de manera progresiva desde la niñez y que alcanza su mayor grado a partir de los 40 años donde incluso pueden exponerse las raíces de los dientes.
Las encías retraídas son un problema de la salud bucal que tiene repercusiones en el aspecto de la sonrisa. No obstante, el avance de las técnicas periodontales permite actualmente mejorar no solo la apariencia de la dentadura, sino restaurar el tejido gingival para que siga cumpliendo sus funciones durante muchos años.
La buena noticia es que existen opciones de tratamiento para ayudar a prevenir daños mayores y restaurar el tejido de las encías.
Es importante que los pacientes sepan que, la presencia de recesiones NO indica que ese o esos dientes se vayan a perder. Son una condición que sólo se tratará en el caso de que estén asociadas a algún problema (estética, hipersensibilidad, caries radicular o lesiones en la raíz dental o dificultad para la higiene dental) o que sean recesiones que han ido aumentando con el tiempo.
En fases leves, la retracción puede estabilizarse y mejorar con higiene bucal adecuada y tratamientos profesionales.

Síntomas de encías retraídas
Las encías retraídas pueden afectar a tu salud dental y estética, aprende a identificar las señales. Estos son los principales síntomas de la recesión gingival que te permitirán comprobar si existe algún problema con tus encías que pueda complicarse con el tiempo.
Para evitarlo, deberías acudir a tu clínica de confianza cuando detectes cualquiera de ellos y seguir las recomendaciones de los profesionales encargados de tu salud bucodental.
- Se notan los dientes más largos: aunque parece difícil de detectar sí que es posible notar una longitud mayor de las piezas respecto a hace algún tiempo. Fíjate en tus dientes y en la posición de las encías ¿notas que ha aumentado la separación?
- Color diferente en la línea de encías: si eres un poco observador puedes detectar tonos distintos entre la raíz expuesta y la corona del diente. Si te acostumbras a fijarte en tus dientes cada vez que realizas tu rutina de limpieza, serás más consciente del estado en el que se encuentran dientes y encías y podrás comprobar si surgen cambios o algún problema.
- Inflamación de las encías: si compruebas que tus encías se hinchan y enrojecen, sobre todo en los márgenes, podría estar comenzando la retracción. Esta situación es más fácilmente comprobable y puede ser un factor determinante para empezar a tratar esta situación a tiempo y evitar complicaciones.
- Sangre en las encías: suele aparecer durante el cepillado o cuando se muerden alimentos un poco más duros, como manzanas, por ejemplo. Si notas que al cepillarte te sangran las encías puede ser que estés realizando un cepillado demasiado fuerte o agresivo. Lo mejor es que acudas a una revisión para que te puedan asesorar y revisar cómo se encuentran tus encías. También te darán consejos para realizar un cepillado adecuado y que no dañe tus encías.
- Excesiva sensibilidad a los alimentos: se produce un dolor intenso cuando ingieres algún alimento o bebida muy fría o caliente, ácida o dulce. ¿Has notado una mayor sensibilidad en tus dientes cuando comes helado o tomas bebidas con mucho hielo?
- Movilidad dental: podrías notar cómo algún diente se mueve ligeramente, en este caso no deberías dejarlo más tiempo. Acude a tu clínica dental y evitarás problemas o incluso pérdidas dentales.
¿Por qué se retraen las encías?
La retracción de las encías es un problema mucho más común de lo que la gente piensa. Lo que pasa que, por lo general, no le prestamos demasiada atención. Pero, ¿por qué se retraen las encías?, ¿a qué se debe la retracción de encías?
A continuación, se detallan algunas de las causas más comunes:
- Cepillado fuerte: Por lo general, la retracción de encías puede darse en pacientes que tienen un buen control de placa. Piensa que la encía es piel. Por tanto, encías retraídas y cepillado fuerte pueden estar muy relacionados. Y es que, hay personas que tienden a cepillarse los dientes con excesiva fuerza, creyendo que, de esa manera, van a limpiar mejor su boca. Generalmente, las encías retraídas por un cepillado abrasivo se manifiestan en unos dientes concretos -en función de las zonas donde se ejerza más fuerza-.
- Ortodoncia: En Dobleese, en algunos casos (cuando es necesario) realizamos un tratamiento para la retracción de encías antes incluso de colocar la ortodoncia al paciente.
- Piercings y otros traumatismos: También, suelen darse casos de retracción de encías en pacientes que tienen un piercing en la boca. Los piercings en la boca, como los que se llevan en la lengua o en el labio, también pueden provocar retracción de encías. Esto se debe a que los piercings tienden a apoyarse o a contactar con las encías. Las encías retraídas también pueden estar causadas por un golpe muy fuerte.
- Enfermedad periodontal: La periodontitis hace que pierdas hueso. Por consiguiente, pierdes encías. Una característica de la retracción de encías por periodontitis es que afecta a toda la boca, a diferencia de otras causas como la ortodoncia o el cepillado agresivo que afectan solo a unos pocos dientes. La periodontitis -también llamada piorrea- es una enfermedad de las encías que se caracteriza por ser crónica y está causada por la acumulación de bacterias en la boca. En el caso de la periodontitis, la recesión de encías suele manifestarse de manera generalizada. Es decir, en todos o casi todos los dientes de la boca.
- Antecedentes familiares: Algunas personas están genéticamente predispuestas a tener encías sensibles y a sufrir retracción gingival. Esto significa que, aunque mantengan una buena higiene bucal y cuiden su salud dental, podrían desarrollar problemas en las encías debido a factores genéticos.
- Bruxismo: El bruxismo es un hábito que consiste en apretar o rechinar los dientes de manera involuntaria, normalmente, debido al estrés. Si una persona es bruxista y no se lleva a cabo un control adecuado de la afección (mediante revisiones y una férula de descarga), sus músculos y articulaciones faciales sufrirán una tensión constante.
- Tabaco: El tabaco contribuye a la retracción de encías en pacientes con periodontitis. Como consecuencia, el tabaco enmascara los clásicos síntomas de las enfermedades periodontales: enrojecimiento, inflamación y sangrado de encías.
¿Puedo recuperar mis encías retraídas? ¿Cómo recuperar encías retraídas?
La posibilidad de recuperar las encías retraídas dependerá de cada caso. Sin embargo, la pérdida de encías por periodontitis es un caso diferente. Pues se trata de una enfermedad que hace que se pierda hueso. Y si no hay hueso, no hay encía.
Ahora que ya conoces en qué casos se pueden recuperar las encías retraídas, responderemos a las preguntas: ¿Cómo solucionar la retracción de encías? ¿Cómo curar las encías retraídas?

Tratamientos para la retracción de encías
En primer lugar el odontólogo deberá determinar si es necesario o no tratar las recesiones. En el caso en que haya que tratar la recesión, habrá que realizar un injerto de encía en la zona.
Existen tratamientos que no tienen porqué conllevar una pequeña intervención quirúrgica.
- La limpieza dental profunda permite eliminar bacterias, sarro y toxinas.
- El raspado y alisado radicular es un procedimiento de limpieza profunda que elimina la placa y el sarro de los dientes y las raíces.
- Se pueden utilizar antibióticos y colutorios para tratar la enfermedad de las encías y prevenir daños mayores en las encías.
- Algunas técnicas usan colágeno, membranas o factores de crecimiento para ayudar a regenerar encía y hueso.
- El uso de láser permite eliminar bacterias y estimular la regeneración del tejido sin necesidad de bisturí.
Si los tratamientos no quirúrgicos no son eficaces, puede ser necesario recurrir a tratamientos quirúrgicos.
- Injerto de encía (o cirugía mucogingival): Un injerto de encía (o cirugía mucogingival) es un trasplante de tejido conectivo de una zona donde hay mucho (paladar) a una zona donde no hay o hay muy poco tejido (encías retraídas). Se trata de una intervención que se realiza en la clínica dental en la que, se extrae una pequeña porción de tejido blando de la zona del paladar (o se utiliza un injerto de otro tipo) y se sutura en la zona de la recesión para cubrir la zona de raíz que ha quedado expuesta. Es una técnica que es sensible al operador, es decir, depende mucho de quien la realice el que se consigan mejores o peores resultados. Por eso es importante siempre acudir a un especialista en encías que esté acostumbrado a realizar este tipo de cirugías. En nuestras clínicas, utilizamos la técnica de microcirugía mínimamente invasiva, garantizando el mejor resultado sin dolor.
- Regeneración: La regeneración consiste en utilizar materiales especiales para regenerar el hueso y los tejidos que soportan los dientes.
- Cirugía de reducción de bolsas: La cirugía de reducción de bolsas consiste en replegar el tejido gingival y eliminar las bacterias y la placa de la raíz del diente.
Es un tratamiento delicado por cuanto que depende mucho de quien te lo haga. Por este motivo, es importante seleccionar un buen profesional con conocimientos y experiencia para que realice la cirugía con éxito. En ocasiones, los pacientes que se realizan una cirugía plástica mucogingival es por motivos estéticos. Los pacientes que se realizan este tratamiento para las encías retraídas en nuestra clínica quedan muy satisfechos con el resultado.
Después del tratamiento, es importante seguir las instrucciones de los profesionales de Dental Care Barcelona para la correcta recuperación. Esto puede incluir evitar ciertos alimentos o actividades durante un período de tiempo.
Técnica de reposición gingival
Este procedimiento de restauración gingival tiende a ofrecer mejores resultados, ya que no requiere incisiones, trasplante de tejido ni suturas, que son más lentos y suelen generar cierta incomodidad.
Una descripción que puede ayudarte a comprender la técnica es que se utiliza la encía sana adyacente para ajustarla y cubrir los dientes afectados por la recesión gingival.
Después de anestesiar, se emplea un instrumento para practicar una abertura muy pequeña en el tejido sano. A través de ese orificio se introducen otras herramientas para separar la encía cercana de la superficie de los dientes.
Con mucha suavidad, se procede a desplazarla y alargarla, de forma tal que llegue a cubrir los cuellos y raíces de la porción descubierta.
Una vez que el tejido gingival desplazado ocupa su posición, se colocan bandas de colágeno que activan la producción natural de esta proteína. Así, la inflamación cede de forma rápida y la cicatrización se acelera.
Entre las ventajas de esta técnica destacan que el sangrado es mínimo, igual que las molestias. Asimismo, el tiempo de recuperación se abrevia al no haber obligación de practicar incisiones ni suturas. Por otra parte, los resultados son inmediatos, aunque hay un período en el que debes limitar el uso de estos dientes.
Remedios caseros para la retracción de encías
Contra las encías retraídas existen remedios caseros, que pueden ayudarte a evitar este problema. Vamos a conocer el origen de esta afección bucodental y a darte algunos consejos para la retracción de encías con una solución natural y sin problemas.
Existen remedios caseros para encías retraídas naturales que te pueden ayudar a evitar que este problema aparezca. Queremos ayudarte a mantener tus dientes y encías sanos, pero no olvides que una buena higiene y la prevención, siempre serán claves para conseguirlo.
Aunque los remedios caseros no sustituyen al tratamiento profesional, pueden ayudar a prevenir o detener la retracción de las encías.
- Milenrama: Sus hojas tienen efectos anti-inflamatorios, analgésicos y anti-coagulantes, por lo que puede ayudar a reducir la retracción de encías con una solucion casera en cualquiera de sus fases. Lo mejor es masticar las hojas o también machacarlas hasta obtener una pasta con la que masajear las encías. Para la retracción de encías otra solución natural, es hacer gárgaras con una infusión de milenrama.
- Té verde: El té verde tiene importantes propiedades anti-inflamatorias y antioxidantes que ayudan a rebajar la inflamación de las encías y mejorar la fijación dental. Si quieres evitar la retracción de encías con unos buenos remedios caseros, te recomendamos dos infusiones de té verde al día. Será suficiente para que este té haga su trabajo.
- Salvia: Para tratar la recesión de encías existe otro tratamiento casero muy útil y fácil de realizar: masticar hojas de salvia. Ha sido un remedio ancestral que se ha utilizado para combatir los abscesos dentales y las encías hinchadas gracias a sus propiedades anti-inflamatorias. Ayuda a proteger las encías y mejorar la higiene de tu boca. También puedes hacer gárgaras con la infusión.
- Aloe Vera: Un gel de aloe vera te ayudará a rebajar la inflamación de encías y a prevenir la retracción de encías. Se puede romper una hoja y frotar el gel directamente en la encía después del cepillado de dientes.
- Aceite de coco: El aceite de coco posee ácido láurico y un tipo de triglicéridos con propiedades anti-inflamatorias y antimicrobianas que te ayudará a tratar y evitar las encías retraídas. Si mezclas este tipo de aceite con la sal marina y masajeas tus encías reducirás la inflamación provocada por la retracción.
- Aceite de limón: Se obtiene de la cáscara de limón y tiene propiedades antisépticas y antimicrobianas. Puedes masajear tus encías con el aceite o añadir varias gotas a un vaso con agua tibia para hacer gárgaras. Además, de tratar la rectracción de encías con un remedio casero, este aceite te ayuda a eliminar el mal aliento.
- Suplemento de vitamina C: Las frutas y verduras frescas son ricas en vitamina C, sobre todo los kiwis, los tomates, los cítricos, brócoli, pimientos, etc. Si se pueden comer crudas, mucho mejor para evitar la pérdida de vitamina en la cocción.
Prevención de la retracción de encías
Para evitar una mayor recesión de las encías, es importante practicar una buena higiene bucal, que incluye cepillarse los dientes dos veces al día, usar hilo dental a diario y utilizar un enjuague bucal antiséptico.
Cómo siempre defendemos, en Medicina e igualmente en Periodoncia, más vale prevenir que curar. Así que, cepilla tus dientes de manera adecuada, pero de manera eficaz también. Si tu encía es fina, ten cuidado y aléjate de la placa bacteriana y del cepillado traumático.
Para minimizar el riesgo de que esto ocurra, será imprescindible que el paciente siga unas buenas rutinas de higiene en casa.
Conclusión
La retracción de las encías puede ser un problema dental grave si no se trata. Conocer las causas y las opciones de tratamiento de las encías retraídas puede ayudarle a tomar el control de su salud dental y evitar daños mayores.
Si notas algún signo o síntoma de encías retraídas, es importante que te pongas en contacto con Dental Care Barcelona para pedir una cita con alguno de nuestros profesionales lo antes posible.
tags: #retraccion #encias #cura