Las encías retraídas son un problema más frecuente de lo que a veces pensamos. La retracción de las encías o migración del margen de las encías (recesión de encía), es uno de los problemas dentales más comunes, una patología que aparece de forma gradual y en ocasiones es difícil de detectar.
Si estás en esta situación, seguramente leyendo este artículo te hayas podido identificar con alguno de los casos expuestos arriba. Por tanto, este artículo te puede interesar bastante.

¿Qué es la retracción de las encías?
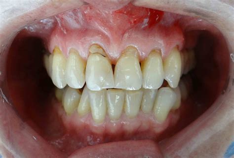
Un paciente con retracción gingival, es aquel que ha perdido una parte de la encía dejando la raíz del diente al descubierto. El primer signo de esta condición es observar que las encías se retraen dejando al descubierto la raíz del diente y creando un efecto estético de dientes demasiado largos.
Las encías están constituidas por un tejido conectivo muy denso, cubierto de mucosa y epitelio. Tienen tres porciones:
- La primera es la interdental, que se encuentra en el espacio entre los dientes y tiene una forma cónica.
- La segunda parte rodea las piezas dentales y se llama encía libre; es la situada en el borde del tejido.
- La tercera se denomina adherida, ya que se fija a los dientes.
Cada una tiene importancia clínica, como verás a lo largo de este artículo.
Una encía sana debe tener un aspecto brillante, no sangrar y cubrir una parte de los dientes, protegiéndolos. Cuando hay recesión gingival, se descubre lo que suele estar oculto.
El cuello es la zona que se encuentra entre la corona y la raíz y resulta muy sensible a los estímulos táctiles, químicos o térmicos. Si al tomar un helado sientes dolor, es posible que sea a causa de la exposición de los cuellos en algunas piezas. En los casos más severos también es visible la raíz.
Síntomas de encías retraídas
Son muchos los síntomas que se esconden detrás de la retracción de encías. Si padeces la más mínima señal de alerta es importante que visites una clínica dental.
Si tienes las encías retraídas seguro que te has dado cuenta rápidamente. Solo con sonreír podrás notar cómo tus encías muestran más diente del que debieran. No obstante, el proceso de pérdida de tejido es paulatino.
Los principales síntomas son:
- Estética: Las encías comienzan a reducirse, permitiendo que el diente quede más expuesto. A veces las raíces dentales se hacen muy visibles.
- Sensibilidad dental: La aparición de sensibilidad ante el consumo de alimentos fríos o calientes es una señal de alarma.
- Caries en los dientes: Si tienes las encías retraídas es muy posible que exista una afección bucodental más importante. Cuando la higiene oral no es correcta o existen acúmulos de placa bacteriana en los dientes, la formación de caries es una consecuencia segura. En el caso de pacientes con retracción gingival esas caries pueden aparecer incluso en las raíces visibles. Con ello, también pueden aparecer las caries de raíz.
- Movilidad dental: Si la afección que padeces está producida por la enfermedad periodontal avanzada ya habrá comenzado a producirse la afectación del hueso. Por lo tanto, los dientes podrían moverse sin motivo aparente.
Así se solucionan las encías retraídas (recesión gingival)
¿Por qué se retraen las encías? Causas
La retracción de las encías es un problema mucho más común de lo que la gente piensa. Lo que pasa que, por lo general, no le prestamos demasiada atención. Pero, ¿por qué se retraen las encías?, ¿a qué se debe la retracción de encías?
El principal motivo de que existan las encías retraídas son las enfermedades periodontales. Sin embargo, las causas de la retracción de encías pueden ser variadas. Realizar un diagnóstico adecuado de las mismas resulta fundamental para atajar los problemas que la recesión gingival puede causar.
Son muchas las causas que posibilitan las encías retraídas. Para que tengas muy claro los motivos por los que se da está condición vamos a explicártelas todas.

Enfermedades periodontales
Como hemos comentado, es la principal causa de la aparición de las encías retraídas. Se trata de un tipo de patologías, conocidas como enfermedades de las encías. Son de origen infeccioso y atacan a los tejidos del periodonto.
Se trata de todos aquellos tejidos que ayudan a cimentar nuestros dientes a la mandíbula. En los casos más extremos, y si la enfermedad no es tratada adecuadamente, se llega a producir la pérdida de piezas dentales.
Las patologías periodontales son consecuencia directa de las bacterias orales. Por lo tanto responden a la carencia o déficit de higiene bucodental.
Estas patologías pasan por dos estadios muy diferentes. Al principio la enfermedad es completamente reversible, pero si avanza sin control el tratamiento es cada vez más complicado:
- Gingivitis: Suele mostrarse como una inflamación y enrojecimiento de las encías, que podrían sangrar con facilidad. La placa bacteriana y el sarro comienzan a llevar a cabo su proceso destructivo. La buena noticia es que todavía no han dañado las estructuras orales seriamente. En este momento la enfermedad de las encías es reversible y de fácil tratamiento.
- Periodontitis: Es la fase más grave de la patología periodontal. La enfermedad es irreversible y ya ha dañado los tejidos orales. Si no tratamos la enfermedad rápido, podrías presentar pérdida dental.
Encías retraídas por cepillado fuerte
Por lo general, la retracción de encías puede darse en pacientes que tienen un buen control de placa. Por tanto, encías retraídas y cepillado fuerte pueden estar muy relacionados. Piensa que la encía es piel.
Cuando el cepillado dental es realizado de forma incorrecta y aplicando un exceso de presión, puede dar lugar a la retracción de encías. Recuerda cepillarte los dientes con técnicas apropiadas.
Pérdida de encía por ortodoncia
En Dobleese, en algunos casos (cuando es necesario) realizamos un tratamiento para la retracción de encías antes incluso de colocar la ortodoncia al paciente. A veces un simple tratamiento de ortodoncia mal planteado puede generar otras afecciones bucodentales. En estos casos, contar con un buen ortodoncista es prioritario.
Retracción de encías por piercing y otros traumatismos
También, suelen darse casos de retracción de encías en pacientes que tienen un piercing en la boca. Un simple traumatismo o golpe en la boca es otra de las causas que pueden ocasionar la retracción gingival. Esto se debe a la pérdida, tras el traumatismo, de tejido en la zona de las encías.
Ante cualquier trauma en la boca debes acudir a la clínica dental. Nuestro equipo médico realizará una revisión completa.
Encías retraídas por antecedentes familiares
Algunas personas están genéticamente predispuestas a tener encías sensibles y a sufrir retracción gingival. Esto significa que, aunque mantengan una buena higiene bucal y cuiden su salud dental, podrían desarrollar problemas en las encías debido a factores genéticos.
Otros factores
Además de los factores mencionados, existen otros que pueden contribuir a la retracción de las encías:
- Tabaquismo: El tabaco reduce la calidad y cantidad del riego sanguíneo a las encías produciendo un debilitamiento de las mismas. Este debilitamiento puede causar las enfermedades periodontales, y por consiguiente, las encías retraídas.
- Bruxismo: En algunas personas, apretar los dientes de forma inconsciente puede ser otra causa más de las encías retraídas, a pesar de que la relación no sea demasiado clara y es consecuencia de la mayor progresión de la periodontitis.
- Abuso de alimentos y bebidas ácidas: El consumo excesivo de alimentos y bebidas ácidas, como cítricos, puede erosionar el esmalte dental y contribuir a la retracción de las encías.
- Hábitos poco saludables: Fumar de forma continuada es un hábito muy perjudicial para la salud en general. Además, el tabaco es uno de los principales enemigos de tu sonrisa. El humo del tabaco y todos los químicos que lo componen propician que el sistema inmunológico se vea afectado por las bacterias de la boca.
¿Puedo recuperar mis encías retraídas?
La posibilidad de recuperar las encías retraídas dependerá de cada caso. Sin embargo, la pérdida de encías por periodontitis es un caso diferente. Pues se trata de una enfermedad que hace que se pierda hueso. Y si no hay hueso, no hay encía.
La retracción de encías es reversible si se regeneran con el tratamiento oportuno.
¿Cómo recuperar encías retraídas? Tratamientos
Ahora que ya conoces en qué casos se pueden recuperar las encías retraídas, responderemos a las preguntas: ¿Cómo solucionar la retracción de encías? ¿Cómo curar las encías retraídas?
Para poder solucionar la recesión de encías, lo primero es acabar con la causa concreta que ha originado la retracción.
Antes de proceder a planificar un tratamiento que solucione las encías retraídas es importante conocer la raíz de la afección. Es decir, necesitamos saber a ciencia cierta qué está causando la pérdida de encía. Con un diagnóstico efectivo lo primero que debemos hacer es solventar el problema primario.
Para mejorar el aspecto y la salud de las encías, podríamos utilizar diversas técnicas, entre ellas el injerto de encías.

Tratamiento conservador
Es posible tratar las encías retraídas leves con una higiene adecuada, y raspado o alisado radicular, en caso de que estén asociadas a inflamación.
Otro de los tratamientos básicos que se realizan para la recesión de encías son los sistemas de desinfección para eliminar las bacterias. Consulta más sobre el tratamiento de Raspado y alisado radicular, también conocido como Curetaje Dental, donde conseguimos eliminar el sarro y las bacterias acumuladas bajo las encías, alrededor de las raíces de los dientes.
Tratamiento quirúrgico: Injerto de encías
Cuando el paciente ha perdido tejido gingival, se recomiendan los injertos de encía. En la Clínica Dental Zabalegui utilizamos una técnica de microcirugía sencilla e indolora para cubrir la encía denominada injerto de tejido conectivo del paladar.
Un injerto de encía (o cirugía mucogingival) es un trasplante de tejido conectivo de una zona donde hay mucho (paladar) a una zona donde no hay o hay muy poco tejido (encías retraídas).
Consiste en tomar tejido del paladar para injertarlo en la zona de la recesión y cubrir la raíz que queda expuesta. Es una técnica que es sensible al operador, es decir, depende mucho de quien la realice el que se consigan mejores o peores resultados.
Por eso es importante siempre acudir a un especialista en encías que esté acostumbrado a realizar este tipo de cirugías. En nuestras clínicas, utilizamos la técnica de microcirugía mínimamente invasiva, garantizando el mejor resultado sin dolor.
En ocasiones, los pacientes que se realizan una cirugía plástica mucogingival es por motivos estéticos. Los pacientes que se realizan este tratamiento para las encías retraídas quedan muy satisfechos con el resultado.
El postoperatorio del injerto de encía es muy sencillo. Es un tratamiento delicado por cuanto que depende mucho de quien te lo haga. Por este motivo, es importante seleccionar un buen profesional con conocimientos y experiencia para que realice la cirugía con éxito.
Tratamientos específicos
Las encías retraídas por bruxismo requieren un tratamiento específico, que en primer lugar combata y corrija este problema, con la aplicación de férulas dentales y el seguimiento por el paciente de una serie de consejos (no masticar chicles, beber mucha de agua, aplicar frío mediante hielo, o bien calor, pero con humedad; y ejercer masajes sobre el área afectada).
| Tratamiento | Descripción | Indicación |
|---|---|---|
| Higiene oral mejorada | Cepillado suave con técnica adecuada, uso de hilo dental y enjuague bucal. | Casos leves y como complemento a otros tratamientos. |
| Raspado y alisado radicular | Eliminación de sarro y bacterias de las raíces de los dientes. | Cuando la retracción está asociada a inflamación y enfermedad periodontal leve. |
| Injerto de encía | Trasplante de tejido del paladar a la zona de la encía retraída. | Pérdida significativa de tejido gingival. |
| Férulas para bruxismo | Dispositivos para evitar el rechinamiento de los dientes durante la noche. | Retracción de encías causada por bruxismo. |
¿Cómo prevenir la pérdida de encías?
Si has llegado hasta aquí seguro que ya sabes cuáles son las principales causas de las encías retraídas. Por lo tanto, tendrás claro que la higiene bucodental es uno de los caballos de batalla para evitar la afección.
La higiene dental se convierte en tu mejor aliada para tener una sonrisa maravillosa. Cepillar tus dientes entre dos y tres veces al día es la clave. Y no te olvides del uso de la seda dental, cepillos interproximales y los colutorios orales más adecuados. Los irrigadores bucales son herramientas que también te ayudarán a optimizar tus rutinas de higiene oral.
Utiliza siempre cepillos de dientes de cerdas suaves, sin hacer demasiada presión sobre tus piezas dentales. Seguir una buena técnica de cepillado es clave en todo este proceso. Por lo menos una vez al año es conveniente que acudas a la clínica dental para realizarte una profilaxis de dientes profesional. El higienista dental eliminará los acúmulos de sarro y la placa bacteriana alojada en tus dientes.
Además, es fundamental:
- Evitar el tabaco.
- Mantener una dieta equilibrada.
- Visitar regularmente al dentista para revisiones y limpiezas profesionales.
La retracción de encías tiene que ser evaluada por un profesional. ¿Eres consciente de que tienes (o podrías tener) encías retraídas? Si buscas una clínica dental de confianza para realizarte un tratamiento de encías retraídas, podemos ayudarte. Puedes solicitar tu primera visita gratuita de la manera que te resulte más cómoda.
tags: #retraccion #encias #reversible