Los pacientes diagnosticados con periodontitis estadio IV son casos complejos en los que el tratamiento interdisciplinario es mandatorio para restablecer la salud y la función oral del paciente. Estos pacientes se enfrentan a desafíos complejos que requieren un tratamiento interdisciplinario para restaurar la salud y la función oral.
La distinción entre la periodontitis estadio III y IV se basa principalmente en las secuelas comunes de la pérdida avanzada de soporte del tejido periodontal, como son la pérdida dental, la disfunción masticatoria, los defectos complejos en la cresta alveolar o el colapso oclusal. Este estadio se distingue del III por la falta de dientes como consecuencia de la pérdida avanzada del soporte periodontal, pudiendo llevar a edentulismo completo si no se trata adecuadamente. Por lo tanto, las características de la periodontitis estadio IV requieren un enfoque interdisciplinario para la rehabilitación de la dentición afectada.
Si dejamos sin tratar las formas avanzadas de periodontitis, o si el tratamiento es inadecuado y/o incompleto (por ejemplo, no resulta en una rehabilitación suficiente o en la corrección de la disfunción masticatoria), aumenta el riesgo de pérdida de inserción adicional, pudiendo llevar al edentulismo completo. De hecho, la periodontitis avanzada no tratada puede resultar en una pérdida sustancial de dientes en los adultos.
En el año 2017, se llevó a cabo una nueva clasificación sobre enfermedades y condiciones periodontales y periimplantarias. Se decidió clasificar la periodontitis en cuatro estadios (I, II, III, IV) en función de la severidad, complejidad y extensión de la enfermedad. Además, cada uno de los estadios se complementa con un grado (A, B, C) que describe la susceptibilidad individual a la enfermedad, así como el riesgo de progresión de esta.
La característica fundamental de los pacientes con periodontitis estadio IV es la necesidad de un tratamiento restaurador complejo cuyo objetivo es estabilizar y/o restaurar la función y la estética.
Opciones de Tratamiento
A la hora de rehabilitar a estos pacientes existen dos opciones: una es la preservación de dientes estratégicamente posicionados para implementar prótesis dentales fijas de arco completo dento-soportadas, y la otra es la extracción de todos los dientes restantes con la subsiguiente colocación de implantes y restauraciones completas sobre estos. Una opción de tratamiento para este grupo de pacientes es la realización de una prótesis fija dento-soportada, usando como pilares aquellos dientes con un soporte periodontal reducido. En 1976, Nyman y Lindhe fueron de los primeros en describir un concepto integrado de tratamiento periodontal y protético en pacientes diagnosticados con formas avanzadas de periodontitis. La documentación científica de este enfoque se originó, en su mayor parte, en Escandinavia y se remonta a las décadas de 1970 y 1980.
Recientemente, se llevó a cabo una revisión sistemática y metaanálisis para valorar la eficacia, la eficiencia y los riesgos al tratar a pacientes parcialmente desdentados con periodontitis estadio IV mediante prótesis fija dento-soportada. Los resultados de dicha revisión demuestran que la incidencia de pérdida de pilares dentarios en un periodo de seguimiento de 2 a 35,4 años fue baja (incidencia media ponderada: 4,8 %; IC: 3,2-6,5 %). Además, la mayor parte de los pilares se perdieron por otras causas distintas a las periodontales, tales como caries, fracaso endodóntico o fractura.
La introducción de implantes como pilares protéticos ha ampliado las opciones de tratamiento para la rehabilitación de pacientes parcial o totalmente desdentados y para pacientes con dentición terminal. De hecho, la terapia con implantes se documentó inicialmente en pacientes edéntulos, demostrando resultados generalmente favorables. Los implantes han ampliado las opciones de tratamiento, demostrando una alta tasa de supervivencia.
En las siguientes secciones de este artículo se presenta una descripción detallada de la rehabilitación completa sobre implantes en una paciente con periodontitis estadio IV (i.
Tomasi y cols. realizaron en 2021 una revisión sistemática en la que compararon la eficacia de las prótesis completas dento-soportadas e implanto-soportadas en pacientes con periodontitis estadio IV. En total, se identificaron 26 estudios (31 publicaciones), pero ninguno de ellos abordaba la pregunta planteada mediante un diseño controlado y aleatorizado. El riesgo de sesgo en los estudios incluidos se consideró alto, y los metaanálisis demostraron un alto grado de heterogeneidad. Los autores observaron que la pérdida prevista de dientes a los 10 años fue del 1 %, mientras que en las restauraciones de arcada completa dento-soportadas fue del 5 %. Las estimaciones a los 15 años fueron del 10 % y del 13 %, respectivamente. En cuanto a la predicción de pérdida de implantes y restauraciones implanto-soportadas, esta ascendía al 4 % y al 6 %, respectivamente.
Las complicaciones técnicas fueron las más comunes y afectaron al 8 % de las restauraciones soportadas por dientes (durante un seguimiento medio de 7,2 años) y al 42 % de las estructuras soportadas por implantes (durante un seguimiento medio de 2,6 años). Las complicaciones biológicas de dientes se registraron de manera inconsistente en los diferentes estudios; sin embargo, en uno de ellos se estableció que la tasa de complicaciones endodónticas era del 15 % tras 13 años de seguimiento.
Aunque las proporciones estimadas de pérdida de implantes y dientes, así como la pérdida de restauraciones, fueron similares para las dos modalidades de tratamiento, los autores establecieron que existía diferencia en cuanto a la aparición de complicaciones técnicas, siendo estas más frecuentes en las restauraciones implanto-soportadas. Esta diferencia puede deberse a la alta tasa de complicaciones menores (por ejemplo, astillado de la cerámica de recubrimiento) relacionadas con la necesidad de los pacientes de adaptarse a un nuevo esquema oclusal bajo una propiocepción menos discriminatoria en implantes en comparación con los dientes.
Otra de las opciones de tratamiento que podemos llevar a cabo en pacientes con periodontitis estadio IV es la rehabilitación con prótesis completa removible sobre dientes e implantes. Las prótesis removibles completas soportadas por dientes, como las reconstrucciones de doble corona, fueron introducidas inicialmente como una solución transicional desde una dentición terminal hacia el edentulismo completo. Estas requieren una preparación dental extensa para prevenir un sobrecontorneado excesivo de los dientes pilares y un alto nivel de precisión, así como unas habilidades técnicas y clínicas considerables. Además, se ha registrado una alta incidencia de caries, fracturas radiculares y complicaciones endodónticas, y la necesidad de mantenimientos protéticos frecuentes para este tipo de rehabilitaciones.
Las sobredentaduras retenidas por implantes fueron introducidas más adelante. En el año 2021, una revisión sistemática realizada por Donos y cols. comparó la eficacia de las prótesis removibles completas dento-soportadas respecto a las implanto-soportadas.
Evaluación Clínica
Recientemente, se ha publicado la Guía de Práctica Clínica para el tratamiento de pacientes con periodontitis estadio IV en la que se establece que se debe realizar un diagnóstico específico antes de proceder al tratamiento. El análisis del caso, necesario para elaborar un plan de tratamiento adecuado, es complejo y requiere una evaluación detallada de lo que es técnica y biológicamente factible, rentable y coherente con las preferencias y expectativas del paciente.
La evaluación clínica del caso de periodontitis estadio IV comprende cinco dimensiones críticas:
- Evaluación de la cantidad de deterioro periodontal, la función del paciente y la estética.
- Número de dientes perdidos debido a la periodontitis.
- Pronóstico individual de los dientes.
- Factores restauradores.
- Pronóstico del caso en general.
Existe una gran variación fenotípica basada en los patrones individuales de deterioro periodontal (número de dientes faltantes, relaciones intermaxilares y cresta alveolar residual), que resulta en diferentes grados de compromiso funcional y estético, así como diferentes necesidades de tratamiento. En la Guía de Práctica Clínica se han distinguido y agrupado dichos fenotipos en cuatro diferentes para proporcionar una guía simplificada y práctica y poder definir cuál es el mejor tratamiento basado en la documentación científica. Específicamente, el fenotipo 4 se describe como un paciente parcialmente desdentado que necesita una rehabilitación de arcada completa, ya sea soportada o retenida por dientes o implantes.
Caso Clínico: Rehabilitación Completa sobre Implantes
El caso presentado describe a una paciente con pérdida de estabilidad y función masticatoria, diagnosticada con periodontitis estadio IV, grado C, subtipo 4. Determinados fenotipos de pacientes dentro del estadio IV de periodontitis tienen la necesidad de restablecer la función y la salud oral mediante implantes dentales.
Situación Inicial:
- Pérdida de la estabilidad y la función masticatoria.
- Pronóstico periodontal: se asignó un pronóstico imposible a los dientes 17, 18, 25, 32, 42; desfavorable a 32 y 43; cuestionable a 26; y, por último, favorable a 11, 12, 13, 21, 22, 33, 34 y 44.

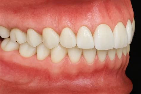
Figura 1. Situación basal en oclusión.
Plan de Tratamiento:
Se planificó realizar las extracciones de todos los dientes de manera secuenciada y dos cirugías guiadas para la colocación de 6 implantes superiores y 6 inferiores con las correspondientes cargas inmediatas provisionales. Decidimos no realizar todas las extracciones al inicio del tratamiento ya que la pérdida de estímulo mecánico tras la extracción provoca una reabsorción del proceso alveolar, especialmente marcada en los primeros 3-6 meses, con una mayor afectación de la tabla ósea vestibular. En este periodo, puede perderse hasta el 50-60 % del volumen óseo, afectando tanto a la altura como a la anchura del reborde alveolar. Esta reabsorción continúa si no se interviene, comprometiendo la viabilidad de futuras rehabilitaciones con implantes.
Procedimiento:
- Comenzamos con los pasos 1 y 2 del tratamiento periodontal según la Guía de Práctica Clínica para el tratamiento de la periodontitis estadio IV.
- Durante esta fase se realizaron las extracciones de aquellos dientes que presentaban pronóstico imposible o desfavorable.
- Tras 10 semanas y una vez habían cicatrizado los alvéolos de las extracciones, realizamos la exodoncia de los dientes superiores remanentes y la cirugía guiada de colocación de implantes. Se utilizaron diferentes herramientas digitales para la planificación del caso.
- Ese mismo día se colocó una carga inmediata provisional.

Figura 2. Carga inmediata provisional.
Consideraciones sobre la Carga Inmediata:
El éxito clínico de la carga inmediata provisional depende de diversos factores: selección del paciente, calidad y cantidad de hueso, número, diseño y estabilidad primaria de los implantes, carga oclusal, habilidad quirúrgica del clínico y prótesis provisional correctamente adaptada y ajustada. Pacientes fumadores, con bruxismo o quienes presentan condiciones sistémicas que afecten a la cicatrización (como diabetes no controlada o enfermedades del tejido conectivo) pueden no ser candidatos para la carga inmediata. Por tanto, las claves a la hora de realizar una carga inmediata son la correcta evaluación a nivel clínico y sistémico del paciente, la estabilidad primaria del implante y el manejo cuidadoso de la prótesis provisional.
4. Algunas consideraciones sobre los implantes dentales de carga inmediata | Dr. Carlos Gómez Oliver
Resultado Final:
El resultado final del tratamiento se puede observar en las Figuras 21, 22, 23, 24, 25, 26, 27 y 28. Las prótesis pueden fijarse a los implantes de dos maneras: con un pilar intermedio o directamente al implante. Permiten correcciones de angulación: los pilares intermedios permiten ajustar la angulación entre el implante y la prótesis.

Figura 3. Periodontograma final. No existen profundidades de sondaje >4 mm con sangrado.
Evaluación de Riesgo de Periimplantitis
Mediante la herramienta Implant Disease Risk Assessment (IDRA) se determinó que el riesgo de la paciente de desarrollar periimplantitis era alto. Este diagrama de evaluación del riesgo se basa en ocho parámetros (historia de periodontitis, porcentaje de localizaciones con sangrado al sondaje, prevalencia de profundidad de sondaje ≥5 mm, pérdida ósea en relación con la edad del paciente, susceptibilidad a la periodontitis, mantenimiento periodontal, profundidad de la restauración del implante, factores relacionados con la prótesis). Estos, combinados en un octógono, ofrecen una figura en la que se permite visualizar el riesgo de desarrollo de la enfermedad. Basándonos en el nivel de riesgo obtenido, se estableció una frecuencia de 3 meses para las visitas de mantenimiento.

Figura 4. Herramienta Implant Disease Risk Assessment (IDRA), para determinar el riesgo de la paciente a desarrollar periimplantitis, determinando que es alto.
Tabla Resumen de Opciones de Tratamiento
| Opción de Tratamiento | Ventajas | Desventajas | Consideraciones |
|---|---|---|---|
| Prótesis fija dento-soportada | Baja incidencia de pérdida de pilares dentarios | Pérdida de pilares por causas no periodontales (caries, fracturas) | Requiere dientes con soporte periodontal reducido |
| Implantes como pilares protéticos | Amplía opciones de rehabilitación en pacientes parcial o totalmente desdentados | Complicaciones técnicas más frecuentes (astillado de cerámica) | Evaluación cuidadosa del paciente y estabilidad primaria del implante cruciales para la carga inmediata |
| Prótesis completa removible sobre dientes e implantes | Solución transicional hacia el edentulismo completo | Alta incidencia de caries, fracturas radiculares y complicaciones endodónticas | Requiere preparación dental extensa y habilidades técnicas y clínicas |