Muchas personas creen que el sangrado de encías durante el cepillado es algo normal, pero las encías saludables no deberían sangrar al cepillarse o usar hilo dental. Si esto ocurre, es importante identificar la causa específica para abordar y solucionar el problema eficazmente.

Causas Comunes del Sangrado de Encías
El sangrado de encías puede ser un síntoma de varias condiciones, desde una técnica de cepillado incorrecta hasta enfermedades periodontales más serias. Estas son algunas de las causas más comunes:
Gingivitis
Es la causa más frecuente, una inflamación de las encías causada por la acumulación de placa dental (sarro). Las encías se tornan de un color rojizo más intenso y están visiblemente inflamadas. La gingivitis es la enfermedad más leve y reversible y sólo afecta a la encía. Esta afección puede aparecer a cualquier edad y se debe principalmente a una mala higiene bucal.
Enfermedad Periodontal
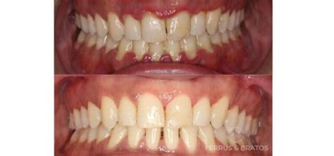
Si la gingivitis no se trata, puede progresar a una enfermedad periodontal más grave, como la periodontitis. Esto afecta tanto a las encías como al hueso que sostiene los dientes, y puede provocar sangrado, inflamación y pérdida de dientes. En la gran mayoría de los casos, la causa del sangrado de encías y su inflamación es la existencia de periodontitis o enfermedad periodontal. La periodontitis (o enfermedad periodontal) es una enfermedad más grave e irreversible que afecta también a los tejidos de soporte del diente, el hueso alveolar y el denominado ligamento periodontal (tejido situado entre la raíz del diente y el hueso).
Otras Causas
- Enfermedades Subyacentes: Diabetes, hemofilia y trastornos de coagulación pueden provocar sangrado de encías.
- Deficiencias de Vitaminas: La falta de vitaminas C y K puede causar que las encías sangren fácilmente.
- Medicamentos Anticoagulantes: Medicamentos como la aspirina pueden aumentar el riesgo de sangrado.
- Embarazo: Los cambios hormonales pueden hacer que las encías sean más sensibles a las bacterias.
- Dentaduras Mal Ajustadas: Pueden causar irritación y sangrado.
- Técnica de Cepillado Incorrecta: Utilizar un cepillo demasiado duro o cepillar con demasiada fuerza.
¡SOLUCIÓN PARA EL SANGRADO DE ENCÍAS! | ¿POR QUÉ SANGRAN LAS ENCÍAS? Y ALGUNAS RECOMENDACIONES
Soluciones y Tratamientos
Es crucial abordar la causa subyacente para mantener una buena salud bucal. Aquí hay algunas soluciones y tratamientos recomendados:
Higiene Bucodental Adecuada
Cepillarse los dientes dos veces al día, preferiblemente con un cepillo eléctrico ejerciendo la presión necesaria, usar hilo dental y, en caso necesario, enjuague bucal o cepillo interdental. Es importante adoptar una técnica de cepillado adecuada y utilizar un cepillo de dientes de cerdas suaves que reduzca la presión sobre tus dientes. Mantener una higiene dental buena y constante es el primer paso para detener el sangrado de las encías.
Visitas Regulares al Dentista
Visita a tu dentista para una limpieza profesional dos veces al año. Si te sangran las encías, debes acudir al dentista para una revisión y averiguar el motivo, ya que puedes necesitar una periodoncia. En nuestra Clínica Dental en Barcelona te ayudamos a detectar el origen del sangrado y tratamos tu caso con la atención que merece.
Enjuagues Bucales con Agua Tibia y Sal
Realiza enjuagues bucales de agua tibia con sal, ya que ayuda a aliviar la inflamación de las encías que sangran fácilmente.
Dieta Rica en Vitaminas C y K
Sigue una dieta que contenga estas vitaminas. Los alimentos ricos en vitamina C incluyen frutas y jugos cítricos, brócoli, fresas, tomates, papas y pimientos. Los alimentos con vitamina K incluyen espinacas y brócoli.
| Vitamina | Alimentos Ricos | Beneficios |
|---|---|---|
| Vitamina C | Frutas cítricas, brócoli, fresas, tomates | Ayuda a reducir la inflamación de las encías |
| Vitamina K | Espinacas, brócoli | Esencial para la coagulación sanguínea |
Técnica de Cepillado Correcta
El sangrado ocasional de las encías puede ser el resultado de una mala técnica de cepillado, por lo que no debes cepillarte los dientes con demasiada fuerza. Usa un cepillo de dientes suave, ya que cerdas medianas y duras pueden ser demasiado abrasivas para unas encías delicadas. Una de las maneras más sencillas para evitar el sangrado es utilizar de forma correcta el cepillo de dientes. Trata de cepillarte durante más de 2 minutos para obtener un resultado óptimo.

Uso de Hilo Dental Correcto
¿Sabes usar el hilo dental de forma correcta? Limpiar los espacios interdentales y por debajo de la línea de las encías con hilo dental y cepillos interproximales.
Evitar el Tabaco
Por otro lado, se ha demostrado que el tabaco agrava la pérdida ósea que se produce por la periodontitis.
Tratamientos Periodontales
Los tratamientos dentales que podemos llevar a cabo ante el sangrado gingival dependen, básicamente, del grado de avance de la enfermedad periodontal. Así, podemos realizar un curetaje, un raspado y alisado radicular o una cirugía periodontal para limpiar la boca y eliminar las bolsas periodontales situadas en la línea de las encías.
Consejos Adicionales
- Uso Correcto del Cepillo de Dientes: Cepillar los dientes con suavidad durante dos minutos, al menos dos veces al día. El cepillado no debe ser brusco para evitar dañar la encía, realizando movimientos circulares en cada pieza, tanto en las zonas que se ven como las que no se ven, aunque parezca obvio.
- Tipo de Cepillo Dental: Los cepillos eléctricos con tecnología oscilante rotacional eliminan de forma más eficaz la placa bacteriana y reducen el riesgo de dañar las encías. Estos cepillos alcanzan las áreas de la boca de difícil acceso y por tanto realizan una limpieza más intensa y profunda.
- Pasta de Dientes Adecuada: Utilizar pastas dentífricas recomendadas por los dentistas como las diseñadas específicamente para ayudar a combatir los problemas de encías puede ayudar a prevenir las encías sangrantes, así como enfermedades posteriores más graves.
- Alimentación Saludable: Mantén una dieta equilibrada y consume diariamente frutas y verduras ricas en vitamina C (naranjas, fresas, pimientos) y alimentos con vitamina K (espinacas, brócoli).
- Herramientas Complementarias: Se debe usar hilo dental para eliminar posibles restos de comida en las encías y entre los dientes y utilizarlo adecuadamente sin herir las encías. Si después de usarlo la encía sangra es porque hay inflamación.
- Visitas Periódicas al Dentista: Visitar a tu dentista de manera periódica para revisar y mantener unas encías sanas. Realizarse, como mínimo, una limpieza dental profesional cada año. Visitar a tu dentista, al menos, una vez al año para revisiones periódicas.
Recuerda que el sangrado de encías no debe ignorarse, y es crucial abordar la causa subyacente para mantener una buena salud bucal.