El sarro dental, también conocido como cálculo o tártaro dental, es una afección muy común que se produce por el endurecimiento de la placa bacteriana en los dientes. Es un depósito de calcio y fósforo con aglomeración de minerales como la hidroxiapatita, el silicio o el pirofosfórico, entre otros. Generalmente provoca manchas en los dientes o decoloración.

La placa bacteriana es una película pegajosa e incolora compuesta de bacterias, saliva, restos de comida y células muertas que se deposita continuamente sobre los dientes a lo largo del día y la noche. Aparece en todas las personas. Incluso, después de cepillar los dientes, la placa se desarrolla en su superficie al cabo de unas 24 horas.
Si la placa no se retira mediante el cepillado, después de aproximadamente 72 horas, comienza a endurecerse y se convierte en sarro al entrar en contacto con sales minerales presentes en la cavidad bucal. Además, la placa permite la proliferación de bacterias entre las que se incluyen las que producen la caries, de ahí la importancia del cepillado diario y el uso de seda dental. La placa puede eliminarse mediante el cepillado diario, sin embargo, el sarro no puede eliminarse mediante cepillado y solo pueden eliminarlo adecuadamente un dentista o un higienista dental.
El sarro está compuesto en su mayor parte (del 70 al 90%) por elementos inorgánicos ―sales minerales―, que se combinan con sustancias orgánicas como proteínas, carbohidratos y, en menor medida, lípidos. Además de poder provocar problemas de salud como caries dentales, gingivitis o halitosis, el sarro dental constituye un problema estético.
¿Qué Causa el Sarro?
Como acabamos de ver, la ausencia o deficiencia de higiene dental es la principal causa de formación del sarro: si no se retira periódicamente, la placa dental se acumula, endurece y mineraliza, lo que da lugar a la formación del sarro.
Factores de Riesgo
Además de una incorrecta higiene bucal, existen otros factores que propician la aparición del sarro. Entre ellos, se encuentran los siguientes:
- El consumo excesivo de alimentos o bebidas ricos en azúcar.
- El tabaquismo.
- El consumo excesivo de café, té o vino.
- El uso incorrecto o prolongado de algunos colutorios.
- La malposición o mala alineación de los dientes. Ello aumenta la dificultad de llevar a cabo una higiene adecuada y, por tanto, de retirar correctamente la placa dental.
- Factores genéticos que afectan a la saliva como el grado de acidez (pH).
- Producir una cantidad insuficiente de saliva debido al uso de medicamentos u otras condiciones médicas.
- Tener edad avanzada. Con el paso de los años, las encías pueden retraerse, lo que expone una mayor superficie dental a la acumulación de placa y a la formación de sarro.
- Tener un PH alcalino también es un factor que puede influir en el desarrollo de cálculos dentales. Aunque también son claves algunos alimentos como aquellos ricos en azúcares, el tabaco, o las dietas alcalinas que contribuyen a la mineralización.
Nº1 REMEDIO CASERO para ELIMINAR la PLACA, el SARRO y PREVENIR la CARIES
¿Cómo es el Sarro?
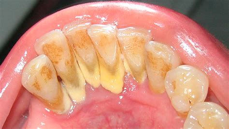
El sarro tiene la apariencia de una costra gruesa que cubre los dientes, sobre todo la parte trasera de las piezas delanteras inferiores, que es una zona más difícil de limpiar. También puede formarse entre las piezas dentales y el borde de las encías.
Inicialmente su color es blanquecino, pero se mancha con facilidad y puede adquirir un tono amarillento o amarronado. Asimismo, puede presentarse acompañado de hinchazón y enrojecimiento de las encías, cuadro conocido como gingivitis.

Tipos de Sarro Dental
En función de su localización, el sarro puede ser:
- Supragingival: Se acumula en la superficie visible de los dientes y encías.
- Subgingival: Se localiza por debajo de la línea de la encía, por lo que es más difícil de percibir. Estos cálculos son de color marrón oscuro o verdoso. Es habitual que se encuentre en las zonas linguales y proximales.
Problemas que Puede Provocar el Sarro en la Boca
Si no se elimina correctamente la placa bacteriana y se forma sarro, pueden producirse, en función del tipo de bacterias predominantes, los siguientes problemas en la boca:
- Gingivitis: La placa y el sarro irritan e inflaman las encías, que se hinchan y sangran. Se pueden formar “bolsillos” en los que pueden proliferar bacterias.
- Periodontitis: Es una forma más severa de la enfermedad de las encías, en la que los ligamentos y el hueso que soportan el diente se destruyen. Con frecuencia, desencadena la pérdida de la pieza dental.
- Caries dentales: Son agujeros o cavidades que dañan la estructura del diente. Se producen cuando las bacterias presentes en la placa metabolizan los azúcares y producen ácidos capaces de disolver el esmalte con el paso del tiempo.
- Mal aliento (halitosis): Debido a menudo a una mala higiene oral, las bacterias presentes en la boca segregan compuestos de azufre que producen un olor desagradable. Puede ocurrir que el sarro no sea visible, pero que sí se perciba el mal aliento. Los “bolsillos” que se crean por la gingivitis y periodontitis acumulan bacterias y pueden incrementar la halitosis. Un indicador de la presencia de sarro en los dientes, a diferencia de la placa bacteriana, es el mal aliento o halitosis.
- Aumento de la sensibilidad en los dientes: Sobre todo al frío y/o al calor.
Además, los trastornos dentales pueden llegar a provocar una gran variedad de problemas de salud sistémicos como trastornos digestivos o enfermedades cardiovasculares, entre otros.
¿Cómo se Trata el Sarro?
No es posible eliminar el sarro con el cepillado. Una vez se ha formado, solamente el odontólogo puede retirarlo mediante una tartrectomía, una limpieza dental que permite extraerlo mediante el uso de instrumentos especiales. Asimismo, el sarro puede extraerse con un aparato que emite ultrasonidos que lo desintegran.
Se trata de un procedimiento indoloro y que no requiere ningún tipo de anestesia, aunque puede resultar un poco molesto para personas con elevada sensibilidad dental; en este caso, puede emplearse un espray con un anestésico local para insensibilizar el área.

En el caso de que el sarro se haya acumulado bajo las encías, es necesario realizar un curetaje o raspado dental. Este implica una limpieza más profunda, que sí suele requerir la aplicación de anestesia local.
Métodos para quitar el sarro:
- Ultrasonidos: El empleo de ultrasonidos es especialmente útil cuando el sarro está ubicado por encima de la línea de las encías (unión del diente con la encía). Logran desprender el cálculo en fragmentos sin dañar la superficie dentaria. Es muy importante que el proceso sea profusamente refrigerado con agua, pues los ultrasonidos producen un aumento térmico que podría causar dolor y daño en la estructura dentaria.
- Curetaje: Las curetas dentales son dispositivos manuales con formas muy variadas, de tal manera que consiguen adaptarse perfectamente a la superficie de los dientes. Permiten llegar bien a los espacios que hay en el surco de la encía. Allí se acumula el denominado sarro subgingival, especialmente nocivo para los tejidos gingivales al estar colonizado frecuentemente por patógenos periodontales muy dañinos.
- Fresas: Existen también fresas de diseños específicos para la eliminación de placa y sarro. Se acoplan a las turbinas y los motores dentales a diversas revoluciones.
- Aeropulverizadores: Los aeropulverizadores de polvo de glicina son de gran ayuda para eliminar la placa bacteriana y las manchas. Se trata de un método poco invasivo y muy efectivo tras la eliminación grosera del sarro con los métodos descritos en los puntos anteriores.
- Pulido: Es importante insistir en la importancia del pulido de la superficie dentaria tras la realización de cualquier tipo de procedimiento de eliminación de sarro (tartrectomía). De no ser así, se volvería a acumular nuevamente la placa y el sarro de manera aún más rápida y severa, favorecida por las rugosidades que pueden producirse al limpiar.
¿Cómo Prevenir la Formación de Sarro?
Para reducir al mínimo la placa bacteriana y evitar así que se forme el sarro, es necesario limpiar todos días los dientes, la lengua, las encías, el paladar y el interior de las mejillas. En concreto, una higiene oral completa debe incluir los siguientes cuidados personales:
- Cepillarse los dientes cuidadosamente: Debe hacerse tras cada comida pero, sobre todo, es fundamental realizar un cepillado profundo antes de irse a dormir, cuando baja la producción de saliva y los movimientos de la lengua, ya que estos contribuyen a remover la placa bacteriana. Puede utilizarse un cepillo manual o eléctrico, aunque estos últimos han demostrado retirar la placa con mayor eficacia si cuentan con tecnología oscilatoria-rotatoria. En todo caso, se recomienda que el cepillo tenga cerdas suaves o medias y que el cabezal no sea demasiado grande para que llegue a todos los rincones de la boca.
- Cepillarse las encías: Tras los dientes, debe cepillarse con suavidad la dentadura a lo largo de la línea de las encías.
- Usar un dentífrico con flúor: El dentífrico que usemos para el cepillado debe incluir flúor en su fórmula, porque ayuda a prevenir las caries. También existe la opción de realizar enjuagues bucales fluorados tras el cepillado dental. En niños deben emplearse dentífricos adaptados a su edad en contenido de flúor.
- Limpiarse los espacios interdentales: Si existe espacio suficiente, debe emplearse un cepillo interproximal o, si no, hilo o seda dental. Ambos deben usarse al menos una vez al día, preferiblemente por la noche, con el fin de asegurar la limpieza de las caras laterales de los dientes y que no queden restos de comida entre ellos. También se puede emplear un irrigador de agua para eliminar los desechos que se encuentren entre los dientes y debajo de las encías. Es especialmente importante la limpieza con cepillo interproximal, seda o irrigador, en personas que lleven implantes o puentes, ya que los espacios entre los dientes y la retracción de las encías pueden favorecer la acumulación de placa en espacios difícilmente accesibles.
- Limpiarse la lengua: Debe frotarse suavemente hacia adelante usando el cepillo de dientes o un limpiador lingual, ya que en ella se acumulan un gran número de bacterias.
Además, los expertos recomiendan un examen rutinario de los dientes al menos una vez al año y una limpieza profesional cada seis o doce meses con el fin de eliminar el sarro, ya que este puede acumularse en los dientes incluso aunque se lleve a cabo en casa una buena higiene dental.
Otros consejos para prevenir el sarro
- Técnica de Bass: existen diferentes técnicas para la higiene dental. Una de las más eficaces y extendidas es la técnica de Bass, que permite eliminar adecuadamente el sarro en la zona gingival sin dañarla.
- La pasta de dientes facilita la eliminación mecánica de la placa, pero la cantidad de pasta que se colocar en el cepillo debe ser siempre reducida (un guisante).
- Utilizar colutorios o enjuagues bucales puede ser muy útil cuando hay gingivitis, si bien no es, ni mucho menos, lo más importante.
Remedios caseros
Si bien no son un sustituto de la limpieza profesional, algunos remedios caseros pueden ayudar a reducir la acumulación de sarro:
- Vinagre de manzana: Disolver 4 cucharadas de vinagre de manzana en 1/4 de vaso de agua y cepillarse los dientes con esta solución. Verificar que el vinagre sea de origen natural.
- Bicarbonato de sodio: Colocar polvo de bicarbonato de sodio sobre el cepillo y cepillarse durante dos minutos. Los componentes antimicrobianos ayudan a prevenir afecciones bucodentales.
- Perejil: Masticar perejil, ya que cuenta con propiedades antibacterianas y astringentes que contribuyen a mejorar la salud dental.
Tabla Comparativa: Placa vs. Sarro
| Característica | Placa Dental | Sarro Dental |
|---|---|---|
| Composición | Biofilm incoloro y pegajoso de bacterias, restos de comida y saliva. | Placa dental calcificada y endurecida con minerales. |
| Eliminación | Se elimina con cepillado e hilo dental diarios. | Requiere limpieza dental profesional (tartrectomía). |
| Apariencia | Invisible o ligeramente visible. | Costra dura de color amarillento o marrón. |
| Riesgos | Caries, gingivitis. | Periodontitis, halitosis, problemas sistémicos. |
tags: #sarro #de #dientes #crucigrama