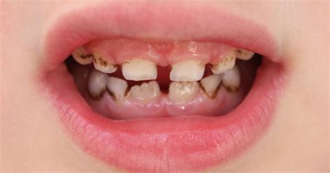
El sarro dental es un problema común que afecta a la mayoría de las personas en algún momento de sus vidas, incluyendo a niños y jóvenes. Aunque no suele ser doloroso, puede llevar a problemas más serios si no se trata adecuadamente. A muchos padres les preocupa que, por más que sus hijos se cepillen los dientes después de cada comida, les notan la presencia de sarro o cálculo dental sobre la superficie dental, principalmente en los dientes antero inferiores.

¿Qué es el sarro?
El sarro, también llamado cálculo o tártaro dental, es consecuencia del endurecimiento de la placa bacteriana. El sarro se identifica fácilmente como una pasta amarillenta o marrón que se adhiere a nuestros dientes, pero es en realidad la calcificación de la placa dental. La placa es una película transparente pegajosa que se forma en la superficie del diente. La placa bacteriana es una película pegajosa e incolora de bacterias que se forma en los dientes después de comer y beber. Esta se genera gracias al consumo de azúcares y almidón.
La placa dental va depositándose continuamente en los dientes, a lo largo del día y la noche. Incluso, después de cepillar los dientes, la placa se desarrolla en su superficie al cabo de unas 24 horas. Si la placa no se retira mediante el cepillado, después de aproximadamente 72 horas, comienza a endurecerse y se convierte en sarro al entrar en contacto con sales minerales presentes en la cavidad bucal. Además, la placa permite la proliferación de bacterias entre las que se incluyen las que producen la caries, de ahí la importancia del cepillado diario y el uso de seda dental.
El sarro es por tanto resultado del endurecimiento de esa placa bacteriana no retirada. Forma un recubrimiento blanquecino o amarillento en la base de los dientes, en especial en los dientes inferiores anteriores por el lado de la lengua y en los molares superiores por el lado de la mejilla. El sarro solamente puede eliminarse en la consulta dental, una vez formado, el cepillado y el uso de hilo dental no lo eliminan. La placa puede eliminarse mediante el cepillado diario, sin embargo, el sarro no puede eliminarse mediante cepillado y solo pueden eliminarlo adecuadamente un dentista o un higienista dental.
El sarro está compuesto en su mayor parte (del 70 al 90%) por elementos inorgánicos ―sales minerales―, que se combinan con sustancias orgánicas como proteínas, carbohidratos y, en menor medida, lípidos. Además de poder provocar problemas de salud como caries dentales, gingivitis o halitosis, el sarro dental constituye un problema estético.
¿Qué causa el sarro en los niños?
Como acabamos de ver, la ausencia o deficiencia de higiene dental es la principal causa de formación del sarro: si no se retira periódicamente, la placa dental se acumula, endurece y mineraliza, lo que da lugar a la formación del sarro. La placa se origina a través del contacto entre la saliva y las bacterias derivadas de los alimentos.
Muchos niños no se cepillan con una técnica adecuada o lo hacen con prisas. Esto hace que dejen zonas de sus dientes sin cepillar y por ende con placa acumulada. Al pasar entre 48H y 72H, ya esta placa comienza a calcificarse, convirtiéndose en una placa blanca o amarillenta, más dura, que no puede removerse con el cepillado.
Los dientes antero inferiores son los más afectados por el cálculo dental. Esto es debido a que justo debajo de la lengua tenemos la presencia de la salida de glándulas salivales, por lo que se produce más saliva en esa zona, y la misma impacta directamente sobre la cara lingual de estos dientes, favoreciendo la calcificación de la placa más rápidamente.
Factores de riesgo adicionales
Además de una incorrecta higiene bucal, existen otros factores que propician la aparición del sarro. Entre ellos, se encuentran los siguientes:
- El consumo excesivo de alimentos o bebidas ricos en azúcar.
- El tabaquismo.
- El consumo excesivo de café, té o vino.
- El uso incorrecto o prolongado de algunos colutorios.
- La malposición o mala alineación de los dientes, que aumenta la dificultad de llevar a cabo una higiene adecuada y, por tanto, de retirar correctamente la placa dental.
- Factores genéticos que afectan a la saliva como el grado de acidez (pH).
- Producir una cantidad insuficiente de saliva debido al uso de medicamentos u otras condiciones médicas.
- Tener edad avanzada. Con el paso de los años, las encías pueden retraerse, lo que expone una mayor superficie dental a la acumulación de placa y a la formación de sarro.
¿Cómo es el sarro?

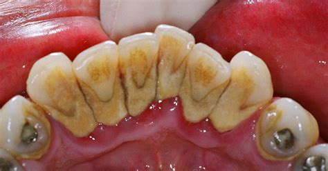
El sarro tiene la apariencia de una costra gruesa que cubre los dientes, sobre todo la parte trasera de las piezas delanteras inferiores, que es una zona más difícil de limpiar. También puede formarse entre las piezas dentales y el borde de las encías.
Inicialmente su color es blanquecino, pero se mancha con facilidad y puede adquirir un tono amarillento o amarronado. A diferencia de la placa que es una película incolora, el sarro presenta minerales siendo fácilmente visible si se localiza por encima de la línea de las encías. El indicador de sarro más común es observar un color marrón o amarillento en los dientes o encías. Asimismo, puede presentarse acompañado de hinchazón y enrojecimiento de las encías, cuadro conocido como gingivitis.
El color del sarro depende de la edad y de dónde aparece en la boca. El sarro sobre la línea de las encías, también denominado cálculo supragingival, es amarillo o tostado. El cálculo subgingival es el sarro que aparece debajo de la línea de las encías, el cual puede ser marrón, negro o verde.
Tipos de sarro
En función de su localización, el sarro puede ser:
- Supragingival: Se acumula en la superficie visible de los dientes y encías.
- Subgingival: Se localiza por debajo de la línea de la encía, por lo que es más difícil de percibir.
¿Qué problemas puede provocar el sarro en la boca de los niños?
Si no se elimina correctamente la placa bacteriana y se forma sarro, pueden producirse, en función del tipo de bacterias predominantes, los siguientes problemas en la boca:
- Gingivitis: La placa y el sarro irritan e inflaman las encías, que se hinchan y sangran. Se pueden formar “bolsillos” en los que pueden proliferar bacterias.
- Periodontitis: Es una forma más severa de la enfermedad de las encías, en la que los ligamentos y el hueso que soportan el diente se destruyen. Con frecuencia, desencadena la pérdida de la pieza dental.
- Caries dentales: Son agujeros o cavidades que dañan la estructura del diente. Se producen cuando las bacterias presentes en la placa metabolizan los azúcares y producen ácidos capaces de disolver el esmalte con el paso del tiempo.
- Mal aliento (halitosis): Debido a menudo a una mala higiene oral, las bacterias presentes en la boca segregan compuestos de azufre que producen un olor desagradable. Puede ocurrir que el sarro no sea visible, pero que sí se perciba el mal aliento. Los “bolsillos” que se crean por la gingivitis y periodontitis acumulan bacterias y pueden incrementar la halitosis.
- Aumento de la sensibilidad en los dientes: sobre todo al frío y/o al calor.
Además, los trastornos dentales pueden llegar a provocar una gran variedad de problemas de salud sistémicos como trastornos digestivos o enfermedades cardiovasculares, entre otros.

Tratamiento del sarro en niños
No es posible eliminar el sarro con el cepillado. Una vez se ha formado, solamente el odontólogo puede retirarlo mediante una limpieza dental que permite extraerlo mediante el uso de instrumentos especiales.
A través de una limpieza con ultrasonido, se consigue desprender el sarro de la superficie dental, dejándola completamente limpia y lisa, lo que dificulta que se sigan adhiriendo las bacterias y restos alimenticios. En la Clínica Dental Bordon Clinic, utilizamos la tecnología de ultrasonido para la eliminación de sarro. Se trata de un procedimiento indoloro y que no requiere ningún tipo de anestesia, aunque puede resultar un poco molesto para personas con elevada sensibilidad dental; en este caso, puede emplearse un espray con un anestésico local para insensibilizar el área.
Asimismo, el sarro puede extraerse con un aparato que emite ultrasonidos que lo desintegran. En el caso de que el sarro se haya acumulado bajo las encías, es necesario realizar un curetaje o raspado dental. Este implica una limpieza más profunda, que sí suele requerir la aplicación de anestesia local.
¿Cómo prevenir el sarro en niños?
Para reducir al mínimo la placa bacteriana y evitar así que se forme el sarro, es necesario limpiar todos días los dientes, la lengua, las encías, el paladar y el interior de las mejillas. En concreto, una higiene oral completa debe incluir los siguientes cuidados personales:
- Cepillarse los dientes cuidadosamente: Debe hacerse tras cada comida pero, sobre todo, es fundamental realizar un cepillado profundo antes de irse a dormir, cuando baja la producción de saliva y los movimientos de la lengua, ya que estos contribuyen a remover la placa bacteriana. Puede utilizarse un cepillo manual o eléctrico, aunque estos últimos han demostrado retirar la placa con mayor eficacia si cuentan con tecnología oscilatoria-rotatoria. En todo caso, se recomienda que el cepillo tenga cerdas suaves o medias y que el cabezal no sea demasiado grande para que llegue a todos los rincones de la boca.
- Cepillarse las encías: Tras los dientes, debe cepillarse con suavidad la dentadura a lo largo de la línea de las encías.
- Usar un dentífrico con flúor: El dentífrico que usemos para el cepillado debe incluir flúor en su fórmula, porque ayuda a prevenir las caries. También existe la opción de realizar enjuagues bucales fluorados tras el cepillado dental. En niños deben emplearse dentífricos adaptados a su edad en contenido de flúor.
- Limpiarse los espacios interdentales: Si existe espacio suficiente, debe emplearse un cepillo interproximal o, si no, hilo o seda dental. Ambos deben usarse al menos una vez al día, preferiblemente por la noche, con el fin de asegurar la limpieza de las caras laterales de los dientes y que no queden restos de comida entre ellos. También se puede emplear un irrigador de agua para eliminar los desechos que se encuentren entre los dientes y debajo de las encías. Es especialmente importante la limpieza con cepillo interproximal, seda o irrigador, en personas que lleven implantes o puentes, ya que los espacios entre los dientes y la retracción de las encías pueden favorecer la acumulación de placa en espacios difícilmente accesibles.
- Limpiarse la lengua: Debe frotarse suavemente hacia adelante usando el cepillo de dientes o un limpiador lingual, ya que en ella se acumulan un gran número de bacterias.
Además, los expertos recomiendan un examen rutinario de los dientes al menos una vez al año y una limpieza profesional cada seis o doce meses con el fin de eliminar el sarro, ya que este puede acumularse en los dientes incluso aunque se lleve a cabo en casa una buena higiene dental.
Es importante llevar a tu hijo al dentista, lo cual puede desempeñar un papel importante en la prevención de la gingivitis y el sarro:
- Los padres deben cepillar los dientes de los bebés. Pueden comenzar a limpiar los dientes del bebé con un paño suave o con un cepillo de dientes pequeño y suave y agua.
- Los niños necesitan que un adulto los ayude con el cepillado de dientes hasta los seis años.
- Usa cepillos de dientes con cerdas suaves.
- La limpieza dental profesional es importante. La gingivitis puede convertirse en enfermedad periodontal. Se requieren limpiezas dentales profesionales para la eliminación del sarro, mediante raspado y alisado radicular. Durante una limpieza profesional en la consulta de un dentista eliminaremos toda la placa y el sarro de los dientes de tu hijo. Te mostraremos a ti y a tu hijo cómo eliminar la placa con éxito y cómo limpiar los dientes de manera efectiva.

Recuerda, la prevención del sarro es clave para mantener una buena salud bucal.