Las manchas en los dientes pueden adquirir tonalidades muy dispares, desde blancas y amarillas hasta marrones, negras, rojas o incluso azules. En este artículo, nos centraremos en el sarro naranja y exploraremos sus causas, prevención y tratamientos efectivos. Los dientes con manchas amarillas también pueden ser el resultado de un traumatismo.

Tipos de Manchas en los Dientes
Hay diferentes maneras de clasificar los tipos de manchas en los dientes. Podemos distinguir entre manchas extrínsecas e intrínsecas:
- Extrínsecas: Afectan la estructura externa del diente. Suelen ser pigmentos que se unen a la superficie exterior del diente causando su decoloración.
- Intrínsecas: Se encuentran en el interior del diente. Pueden ser congénitas (asociadas a alteraciones en el momento de la formación del diente, es decir antes de nacer) o adquiridas (se producen después del nacimiento, y pueden ocurrir antes o después de la erupción del diente).
Causas del Sarro Naranja
La presencia de placa bacteriana produce un cambio de color en el diente de amarillo a naranja. Este cambio de color se debe al acúmulo de placa bacteriana producido por un cepillado dentario ineficaz.
Las causas más frecuentes son el tabaco, el café, el té y las bebidas que contengan cola. Son manchas típicas en los niños debido a un cepillado dental poco frecuente o incorrecto, y suelen producirse por un depósito de bacterias sobre el cuello de los dientes, junto a las encías. Esta coloración verdosa se suele dar en niños y adolescentes, también como consecuencia de una mala higiene.
Además, existen otros depósitos bacterianos que pueden causar manchas de diferentes colores:
- Depósitos verdes: Aparecen sobre todo en niños y adolescentes con mala higiene oral. Son ocasionadas por una pigmentación conocida como fenacina, sustancia producida por el acúmulo de ciertas bacterias y hongos en la zona de la encía.
- Depósitos negros: Son poco frecuentes y aparecen tanto en niños como adultos, siendo más frecuentes en la dentición temporal.
- Materia alba y sarro: Se trata de un depósito blanco amarillento que se compone de bacterias, células epiteliales, restos alimenticios, proteína salivares, etc. Se depositan en la superficie dental cuando el paciente no se cepilla durante unos días. Es de poca consistencia pero puede tener espesores bastante grandes que están poco cohesionados y poco adheridos.

Manchas en los dientes: ¿Qué son? ¿Cómo tratarlas?
Otras Causas de Manchas en los Dientes
Además del sarro naranja, existen otras causas de manchas en los dientes que pueden confundirse o coexistir con este problema:
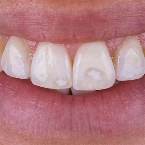
- Manchas blancas: Pueden deberse a caries incipientes (síntoma de la desmineralización del esmalte provocado por las bacterias cariogénicas) o a hipoplasia (alteración en el tono del diente, a menudo relacionada con la fluorosis, es decir, un exceso de flúor).
- Manchas amarillas: Son características del sarro, sobre todo cuando este no se ha tratado en fases iniciales y, como consecuencia, la placa bacteriana se calcifica. También pueden ser el resultado de un traumatismo o el uso de ciertos medicamentos.
- Manchas marrones: Pueden aparecer cuando las caries progresan o la acumulación de placa bacteriana (sarro) es severa. También pueden aparecer después de retirar la ortodoncia.
- Manchas negras: Suelen ser por caries o sarro en fases avanzadas. Otra causa puede ser haber sufrido una fractura o un golpe fuerte.
- Manchas rojas: Pueden ocurrir si el diente ha sufrido un traumatismo, debido a la hemorragia que se produce en el interior. Otra causa, aunque poco frecuente, es la porfiria.
- Manchas azules: Pueden aparecer por el consumo de ciertos antibióticos como la minociclina, el linezolid y la amoxicilina.
Tratamientos para el Sarro Naranja y Otras Manchas
Como ya hemos mencionado, existen múltiples tratamientos para la eliminación de las manchas dentales, escoger uno u otro depende del origen y la causa de las mismas. Es importante que el paciente realice una visita al odontólogo, para que sea el profesional quien decida que tratamiento es el conveniente en cada caso. El tratamiento para evitar las tinciones dentales es realizar una buena técnica de higiene oral ya que ayuda a eliminar las manchas además de usar el hilo dental, asistir periódicamente al dentista.
Algunas opciones de tratamiento incluyen:
- Higiene dental profesional: La higiene dental, realizada por un especialista, consiste en un tratamiento que tiene una duración aproximada de unos 45 minutos, donde se elimina el sarro acumulado mediante ultrasonidos. Las limpiezas dentales ayudan a eliminar manchas dentales extrínsecas menores.
- Blanqueamiento dental: Cuando las manchas son más resistentes se recomienda hacer un blanqueamiento. El blanqueamiento en dientes vitales es el procedimiento más común de blanqueamiento dental, en el que el gel blanqueador se aplica directamente sobre la superficie externa de los dientes.
- Carillas dentales: En ocasiones los dientes que presentan un color más oscuro no consiguen recuperar el blanco deseado tras tratarse mediante un blanqueamiento dental. Es por ello, que en estos casos las carillas dentales pueden ser la mejor solución para conseguir el color deseado.
Dependiendo del origen de la decoloración, el odontólogo puede recomendar:
- Infiltración de resina: Para manchas blancas superficiales.
- Microabrasión: Para eliminar manchas de la capa superficial del esmalte.
- Restauraciones estéticas de composite o carillas: Para manchas producidas por desgaste dental.
- Empaste dental: Si la causa es la presencia de caries.
- Endodoncia: Si la causa del diente grisáceo es por necrosis.
El tratamiento de las tinciones extrínsecas consiste fundamentalmente en la realización de limpiezas o tartrectomías con pulidos, cambio de hábitos y mejora de la higiene.
| Tipo de Mancha | Causas Comunes | Tratamientos Recomendados |
|---|---|---|
| Naranja (Sarro) | Mala higiene oral, acumulación de placa bacteriana | Higiene dental profesional, mejora de la higiene oral |
| Amarillas | Sarro, traumatismos, ciertos medicamentos | Higiene dental, blanqueamiento, restauraciones |
| Blancas | Caries incipientes, fluorosis | Infiltración de resina, microabrasión |
| Marrones | Caries avanzadas, sarro severo | Empastes, higiene profesional, blanqueamiento |
| Negras | Caries avanzadas, sarro, fracturas | Endodoncia, extracciones (en casos graves) |
Clínica Friedländer nace de la inquietud de unir en un solo equipo profesionales honestos e implicados que se dedican en exclusiva a su especialidad y que aman su profesión. Nuestros pacientes son personas que valoran la calidad, que buscan profesionales altamente capacitados y buscan establecer un lazo de confianza para el cuidado de su salud dental.