Un golpe en la boca puede parecer un accidente menor, pero sus consecuencias pueden ser graves si no se actúa con rapidez. Los traumatismos dentales son situaciones frecuentes, tanto en niños como en adultos, y pueden afectar tanto a la estética como a la funcionalidad de la sonrisa. En este artículo, te explicamos cuáles son las causas más comunes de un traumatismo dental, los distintos tipos de lesiones que pueden producirse, los primeros auxilios que debes aplicar y los tratamientos que suelen ofrecer mejores resultados.

¿Qué es un Traumatismo Dental?
Los traumatismos dentales son lesiones que pueden afectar tanto a los dientes como a los tejidos que los rodean. Actividades deportivas sin protección adecuada son una de las causas más comunes.
Tipos de Traumatismos Dentales
Existen distintos tipos de traumatismos dentales, y se clasifican según el tejido afectado: tejido dental, tejido periodontal o ambos.
Lesiones del Tejido Dental
Afectan al esmalte o la dentina, pero no a la pulpa.
- Fractura coronal: puede ser de dos tipos.
- La que afecta solo al esmalte, que provoca la pérdida de una parte visible del esmalte pero no compromete la dentina.
- La que afecta tanto al esmalte como a la dentina, por lo que se denomina amelo-dentinaria.
Lesiones de los Tejidos Periodontales
Las lesiones de los tejidos periodontales se refieren a los daños que no afectan directamente al diente, sino al soporte que lo mantiene en su sitio: encía, ligamento periodontal y hueso alveolar.
- Concusión: el diente no se mueve, pero está sensible al tacto o la percusión.
- Subluxación: hay movilidad del diente, pero sin cambio de posición.
- Luxación extrusiva: el diente se ha salido parcialmente del hueso, hacia fuera. No se ha desprendido de su alveolo, pero está desalineado.
- Luxación lateral: el diente se ha movido de lado, en horizontal.
- Avulsión: el diente se ha salido completamente de su alveolo.
Haz ESTO si después de un golpe se te cae un diente (AVULSIÓN DENTAL)
Primeros Auxilios Ante la Caída de un Diente
Ante un golpe o traumatismo dental, lo más importante es actuar con rapidez. Si el diente se ha caído, intenta recogerlo sujetándolo por la corona (la parte visible), nunca por la raíz. Llama de inmediato al dentista.
¿Qué Hacer con el Diente Caído?
- Si se rompe un trozo de diente, es importante recuperarlo, limpiarlo con agua y conservarlo en leche, saliva, suero fisiológico o, como último recurso, agua.
- Es importante no usar jabón y otros productos químicos, ya que se podría dañar el esmalte o la dentina.

Recomendaciones Adicionales
- Enjuagar la boca con agua templada para eliminar restos de alimentos.
- Si hay sangrado, la persona afectada debe morder con cuidado una gasa o un paño limpio para detener la hemorragia. Enfríe la zona afectada con una compresa fría o una franela fría.
- Mantener la calma y no ponerse nervioso.
Tratamientos Odontológicos
Estabilización con Férulas
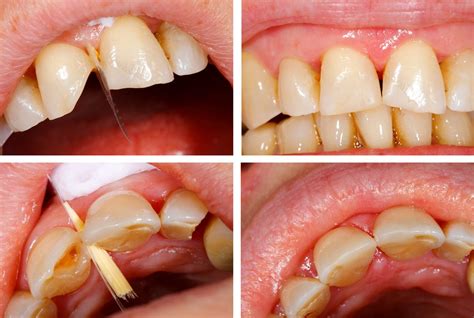
En algunos casos, el diente puede estabilizarse con férulas. Estas férulas son unas finas tiras de alambre o fibra de vidrio que se fijan a los dientes mediante composite. Si no es viable, puede ser necesario hacer una extracción.
Luxaciones
El tratamiento puede consistir en reposicionar el diente en su lugar y estabilizarlo con una férula.
Avulsiones
Si el diente se conserva en un medio adecuado y se reimplanta en los primeros 30-60 minutos, existe una buena probabilidad de éxito.
Reparación de un Diente Roto
La reparación de un diente roto depende del tipo y la extensión de la fractura.
- Diente astillado: el dentista lo limará y pulirá con la ayuda de fresas.
- Rotura parcial: la primera opción será tratar de colocar el trozo de diente que se ha desprendido, en el caso de que el paciente lo haya recogido.
- Rotura total: el dentista tratará, en primer lugar, de colocar el trozo de diente recogido por el paciente. Si ambas partes del diente no se pueden unir, el odontólogo realizará una reconstrucción del diente con composite.
Endodoncia
Mediante la endodoncia, se extraerá el nervio del diente y se rellenará la cavidad en la que estaba dicho nervio con un material de obturación.
Reconstrucción Estética con Composite
Para restaurar la forma del diente.
Traumatismos Dentales en Niños
Es normal que los niños jueguen, corran y, de vez en cuando, se caigan. Algunas veces, estos golpes afectan a la boca y pueden acabar en un diente de leche roto. En la mayoría de los casos no son graves, pero conviene saber que un traumatismo dental infantil puede tener consecuencias en la salud dental y en el desarrollo de los dientes permanentes si no se actúa a tiempo.

Primeros Auxilios en Niños
Cuando un niño recibe un golpe en uno o más dientes de leche, probablemente sangre en la boca. Lo primero que debemos hacer es mantener la calma y aclarar la zona con agua o, mejor aún, con suero fisiológico.
Casos Comunes en Niños
- Movilidad del diente: no forzarlo ni intentar recolocarlo en casa.
- Desplazamiento del diente: revisión inmediata para decidir si se debe recolocar o dejar que se reacomode por sí solo.
- Fractura del diente: acudir a la clínica dental para que el odontopediatra corrija la forma del diente estéticamente.
- Sangrado de encías: se controla con presión suave y una revisión dental.
- Cambio de color en el diente: conviene una visita al odontopediatra para descartar complicaciones.
- Pérdida prematura del diente de leche: es fundamental que un especialista valore si es necesario colocar un mantenedor de espacio.
Tabla Resumen para Niños
| Tipo de Traumatismo | Acciones Inmediatas |
|---|---|
| Movilidad del diente | No forzar, acudir al odontopediatra. |
| Desplazamiento del diente | Revisión inmediata, dieta blanda. |
| Fractura | Acudir al odontopediatra para evaluar reconstrucción o extracción. |
| Sangrado de encías | Presión suave, revisión dental. |
| Cambio de color | Visita al odontopediatra. |
| Pérdida prematura | Valorar mantenedor de espacio. |
¿Por Qué Acudir a un Odontopediatra?
Acudir a un odontopediatra especializado garantiza una valoración precisa y un tratamiento adaptado a la salud dental infantil, protegiendo tanto los dientes de leche como los dientes permanentes que aún están por salir.
Síntomas Tras la Rotura de un Diente
Los síntomas que aparecen tras la rotura de un diente dependen de la gravedad y la extensión de la misma.
- Sensibilidad dental: se percibe al consumir bebidas o alimentos muy fríos, calientes o ácidos.
- Dolor: cuanto mayor sea la rotura producida, mayor será también el dolor.
- Movilidad: puede que la parte del diente que ha quedado en la boca experimente cierta movilidad.
- Cambio de color: se produce cuando la pieza dental sufre un golpe tan severo que afecta a los vasos sanguíneos.
- Sangrado de la encía: la propia fuerza del traumatismo puede hacer que la encía sangre.
Sean cuales sean los síntomas que se presenten tras un golpe relativamente importante en el diente, debes acudir al dentista cuanto antes.
Causas Comunes de Rotura Dental
Los traumatismos dentales son más frecuentes en los niños que en los adultos porque son muy activos y pueden caerse fácilmente mientras juegan y corren. Sin embargo, también puede ocurrir que tras un delicioso mordisco a una manzana crujiente o a un panecillo crujiente, de repente falte un trozo de diente.
Prevención de Traumatismos Dentales
La prevención es la mejor estrategia para combatir los traumatismos dentales.
- Utilizar el equipamiento deportivo adecuado, incluidos los protectores bucales.
- Someterse a revisiones dentales periódicas.
- Mantener una dieta equilibrada que fortalezca el esmalte dental.
- Cepillarse los dientes con un cepillo de dientes suave.

¿Qué Hacer Si No Se Actúa Rápidamente?
Los riesgos de no someterse a un tratamiento dental tras un traumatismo no son nada despreciables. Es muy poco probable que el diente vuelva a crecer de forma natural. Además, el muñón que queda está expuesto a peligros: Si el nervio del diente queda expuesto, existe el riesgo de inflamación de las raíces del diente y las encías. Los síntomas de la inflamación incluyen encías hinchadas, dolor punzante intenso y una "mejilla gorda" si se forma un absceso con pus. En el peor de los casos, la inflamación se extiende por todo el cuerpo a través del torrente sanguíneo.
Errores Comunes al Actuar
1. Si no guarda el diente correctamente, sino que lo transporta en la mano o en un paño seco, se secará y el tejido morirá.
2. Aunque el agua sea líquida, nunca se puede utilizar para conservar un diente roto.
3. Aunque el diente esté sucio, por ejemplo porque se ha caído al suelo, no debes limpiarlo bajo ningún concepto. Si entra en contacto con agua, jabón o desinfectantes, también corres el riesgo de que muera el tejido sensible.
4. Nunca toques el diente roto por el lado roto, es decir, por la parte inferior. En la superficie abierta de la raíz del diente hay células nerviosas que podrías dañar accidentalmente.
5. En ningún caso debe intentar reparar, extraer o insertar el diente roto usted mismo.