A la hora de realizarse un TAC o una prueba de diagnóstico del estilo, es normal que a algunas personas se les planteen ciertas dudas como: ¿se puede hacer un TAC con implantes dentales? ¿Qué riesgos se corre al hacerse una prueba diagnóstica así?
Desde AD+ Medical hemos elaborado este artículo para tratar de resolver cualquier duda que puedas tener al respecto. Respondemos a la pregunta de si se puede hacer un TAC con implantes dentales. En este sentido, es importante que te quites siempre cualquier complemento u objeto metálico antes de iniciar el TAC.
Desde AD+ Medical esperamos que este artículo sobre si se puede hacer un TAC con implantes dentales te haya resultado interesante y de utilidad.
¿Qué es un TAC Dental?
Un TAC dental, también conocido como Tomografía Axial Computarizada de la zona oral, es una técnica avanzada de imagenología que utiliza rayos X para obtener imágenes tridimensionales (3D) de los dientes, maxilares y estructuras circundantes.
A diferencia de las radiografías tradicionales, un TAC permite obtener una imagen tridimensional de la boca y maxilares, lo que representa un avance significativo en la visualización anatómica para los procedimientos odontológicos. Su principal diferencia respecto a las radiografías convencionales es, precisamente, su capacidad para obtener imágenes en 3D, lo que nos permite contar con una visión más completa y detallada de la anatomía dental y ósea de una persona.

Procedimiento del TAC Dental
- El procedimiento lo hace un especialista dentro de la clínica dental en un cuarto de Rayos-X aislado.
- El paciente deberá de retirar cualquier accesorio metálico que lleve consigo.
- Tras llevar a cabo un breve proceso de seguridad, se coloca al paciente en el equipo de TAC, que suele ser una máquina con forma de anillo.
- Durante el procedimiento, es esencial mantenerse inmóvil.
- El escáner rodea la zona a analizar, tomando múltiples imágenes desde diferentes ángulos que posteriormente se computarizan para formar una imagen tridimensional detallada.
Realizar una tomografía computada de la boca es un procedimiento muy sencillo y rápido que tan solo dura unos 20-30 segundos. No necesita preparación, puedes comer y beber con normalidad antes del procedimiento.
Al llegar a la clínica, el paciente es acomodado en la máquina de TAC, que consiste en un anillo que gira alrededor de la cabeza para capturar imágenes desde múltiples ángulos. Durante el proceso, el paciente debe permanecer inmóvil para asegurar la claridad de las imágenes. El proceso generalmente dura unos 10 segundos, y es completamente indoloro.
El profesional encargado de realizar el TAC indicará a la persona cómo debe colocarse. Una vez que se encuentre en la posición correcta, el paciente deberá colocar la cabeza en un soporte, lo que ayudará a que permanezca inmóvil durante el procedimiento. Con el paciente correctamente colocado, se realizará el TAC dental. Es posible que, durante el escaneo, la máquina emita ligeros sonidos, como un ruido de click.
En el caso de las mujeres, antes de llevar a cabo la prueba se preguntará sobre la posibilidad de embarazo. Colocarte el delantal de plomo que te entregaremos para protegerte de la radiación.
Hoy en día, la inmensa mayoría de los TAC dentales que utilizamos son digitales. Desde el monitor, el odontólogo podrá estudiar en detalle la imagen final para establecer el diagnóstico del paciente y determinar el tratamiento a seguir.
Los resultados son prácticamente inmediatos.
En nuestra clínica, tenemos la capacidad de realizar al mismo tiempo el TAC y la radiografía panorámica. Y es que muchas veces un paciente que necesita el primero también requiere de la segunda prueba.
¿Cuándo se Realiza un TAC Dental?
El TAC maxilar y mandibular se utiliza en procedimientos concretos, no en la totalidad de tratamientos dentales. La especialidad donde más se usa es la Implantología, pero es normal recurrir a esta prueba para abordar otros tipos de casos.
El TAC dental es una prueba diagnóstica que tiene diversos usos en el campo de la Odontología.

Usos Comunes del TAC Dental:
- Colocación de implantes: el TAC es imprescindible antes de la colocación de implantes dentales. Se usa durante la fase de estudio para observar y analizar las estructuras óseas del paciente. Antes de proceder a la colocación de uno o varios implantes dentales, necesitaremos saber si tu mandíbula cuenta con la cantidad y densidad suficiente de hueso como para darle soporte. Gracias a la precisión que ofrece el TAC dental, un implantólogo puede planificar con todo detalle la operación.
- Regeneración de hueso: dado que el TAC dental permite observar la estructura ósea del paciente, también sirve para valorar si dispone de suficiente cantidad de hueso para colocar un implante. Aunque colocar implantes con poco hueso es posible, en la mayoría de ocasiones se requiere de un injerto óseo que asegure la sujeción del tornillo. Pero la regeneración de hueso dental también puede ser necesaria en tratamientos de periodoncia, puesto que las bacterias causantes de la enfermedad periodontal destruyen los soportes dentales.
- Extracción de las muelas del juicio: el TAC dental también sirve para valorar el proceso de erupción de las muelas del juicio. El TAC para extraer muelas del juicio incluidas es muy frecuente, ya que permite conocer el estado del diente y saber cómo es mejor abordar la exodoncia.
- Ortodoncia: en este caso, el TAC dental sirve para valorar la posición de dientes incluidos o supernumerarios. Y, hoy en día, cada vez se utiliza más en la planificación de los tratamientos de ortodoncia invisible y para valorar las posiciones reales de las raíces de los dientes. Igualmente, utilizamos el TAC para planificar tratamientos de ortodoncia cuando tenemos previamente que sacar algún diente impactado.
- Periodoncia: El tac permite visualizar en tres dimensiones por donde se sitúa el hueso, alrededor de los dientes. Por lo que permite diagnosticar problemas periodontales iniciales o avanzados. Muestra con gran precisión posibles defectos óseos.
- Odontología conservadora y endodoncia: la precisión del Tac nos permite detectar caries que no detectaríamos con radiografías convencionales, así como valorar la extensión real de estas. Con la endodoncia podemos vaciar los conductos dentales para evitar su extracción, así que la precisión en este tipo de intervenciones son cruciales.
Beneficios del TAC Dental en la Implantología
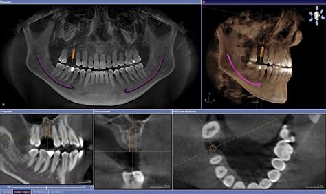
En el ámbito de los procedimientos dentales avanzados, como la colocación de implantes, la precisión y una planificación exhaustiva son factores clave para lograr un resultado exitoso y duradero. La Tomografía Axial Computarizada (TAC) desempeña un papel esencial en este proceso, ya que nos permite obtener una visión tridimensional detallada de las estructuras anatómicas del paciente.
El TAC no solo ofrece imágenes de alta resolución, sino que también permite identificar elementos clave como la densidad ósea, la ubicación precisa de nervios y vasos sanguíneos, y la relación entre las distintas estructuras de la región oral y maxilofacial. Esta información detallada es crucial para planificar tratamientos con un nivel de personalización que maximiza las probabilidades de éxito.
Con el TAC mandibular y maxilar podemos medir la anchura, altura y espacio disponible para insertar los implantes. Estudiar las estructuras óseas es esencial para determinar la posición exacta del tornillo, además de asegurar el éxito de la cirugía. La planificación de la cirugía guiada por ordenador combinada con la carga inmediata permite recuperar todos los dientes en un día.
De acuerdo con investigaciones publicadas en revistas científicas, resulta especialmente crucial su utilización en pacientes con dientes faltantes porque no llegaron a desarrollarlos, una condición conocida como agenesia dental.
Esta capacidad tridimensional es crucial para identificar áreas críticas que podrían no ser visibles en imágenes bidimensionales, como defectos óseos ocultos o irregularidades en la topografía ósea. El TAC permite identificar posibles riesgos antes de la cirugía, como insuficiencia ósea, proximidad a nervios o la presencia de infecciones ocultas, factores que podrían comprometer tanto el éxito del tratamiento como la seguridad del paciente.
De manera similar, el TAC ayuda a identificar la cercanía de nervios sensibles, como el nervio dentario inferior, permitiendo al especialista evitar cualquier lesión durante el procedimiento quirúrgico. En casos donde se detectan infecciones o patologías no diagnosticadas previamente, estas pueden ser tratadas con antelación, minimizando riesgos adicionales. Este enfoque preventivo reduce significativamente el riesgo de complicaciones durante y después del procedimiento, asegurando que la intervención sea lo más segura y eficiente posible.
Un implante bien colocado no solo mejora la función masticatoria, sino que también tiene un impacto significativo en la estética y la calidad de vida del paciente. Una buena masticación favorece una mejor digestión y absorción de nutrientes, mientras que una apariencia dental renovada incrementa la confianza personal y social.
El nivel de precisión y detalle que proporciona el TAC también contribuye a que el implante se integre de manera óptima con el hueso circundante, un proceso conocido como osteointegración. Esto incrementa la estabilidad del implante a largo plazo, asegurando que pueda soportar las fuerzas masticatorias habituales sin comprometer su funcionalidad. Además, un implante bien integrado ayuda a preservar el hueso alveolar, evitando la reabsorción ósea que suele ocurrir tras la pérdida dental.
El uso de la tecnología TAC minimiza las incógnitas en el tratamiento, proporcionando al paciente la tranquilidad de saber que el procedimiento está basado en un análisis detallado y personalizado de su situación. Un beneficio indirecto del uso de TAC es que al tener una mejor planificación, las intervenciones quirúrgicas tienden a ser menos invasivas y más rápidas.
Realizar un TAC antes de colocar un implante dental no es solo una recomendación, sino una práctica esencial para garantizar la seguridad, eficacia y éxito del tratamiento.
El uso del TAC incrementa significativamente la seguridad del tratamiento. Al identificar posibles riesgos anatómicos, como la cercanía a nervios mandibulares o la integridad de los senos maxilares, el odontólogo puede ajustar el enfoque quirúrgico para evitar complicaciones.
Finalmente, el TAC contribuye a la predictibilidad del tratamiento. Gracias a los datos precisos obtenidos, nuestro equipo odontológico puede proporcionar al paciente una explicación más clara del procedimiento y sus expectativas.
El TAC dental es un procedimiento de imagen para el diagnóstico radiológico que va mucho más allá de las radiografías convencionales. En la práctica, el TAC dental supone un gran avance respecto a las radiografías panorámicas (también conocidas como ortopantomografías) convencionales.
Diagnósticos y tratamientos más precisos y predecibles: el hecho de tener una representación tan fiable de la boca ayuda a que el dentista haga un diagnóstico adecuado y completo.
Principios básicos para interpretar un tac #drHolmesOrtega
Seguridad y Radiación
No, el TAC no supone riesgo alguno para los pacientes que lo realizan. Aún así, nuestro equipamiento técnico es digital, que minimiza casi por completo el impacto de la radiación. Bajo nivel de radiación: otro de los beneficios del TAC dental es que emite una radiación muy baja, por lo que es una prueba segura siempre y cuando se realice correctamente. Aunque se basa en cientos de radiografías rápidas, el TAC dental es una prueba completamente segura para el paciente, que se expone a una dosis de radiación mínima.
El TAC dental digital utiliza una dosis mínima de radiación, por lo que los riesgos asociados a su realización son muy bajos.
Por ello, es imprescindible que sea realizada únicamente por profesionales cualificados, como aquellos con los que contamos en las clínicas dentales Vitaldent.
Detección Temprana de Problemas
El TAC dental permite la detección de quistes, granulomas, tumores o fracturas ocultas que podrían pasar desapercibidos en radiografías convencionales.
Y como ya sabemos sin un buen diagnóstico, no hay un buen tratamiento.
¿Cuánto Cuesta un TAC Dental en España?
El precio de un TAC dental puede variar dependiendo del centro de diagnóstico y la región donde se realice el procedimiento. El precio habitual ronda los 150 euros por arcada dental. ¿Quieres saber cuánto cuesta un TAC dental en España?
El TAC dental se realiza en clínicas odontológicas especializadas y en centros de radiología. Recuerda que el procedimiento se deberá de llevar a cabo siempre de la mano de un profesional.
Experiencias de Pacientes
- “Empecé mi tratamiento con ellos hace un mes y el trato está siendo inmejorable y excelente. Ayer me colocaron los Brackets y no puedo estar más contento."
- “Médicos maravillosos recomendable para todo el mundo."
- “Atención inmejorable, personal súper atento y profesional."
- “El Dr. Ferrer lleva viéndome a mi, y a toda mi familia, desde que me alcanza la memoria y siempre ha sido un profesional excelente, atento, cuidadoso y cariñoso. Precios realmente competitivos y una calidad humana del equipo inmejorable. Se preocupan por el paciente, te hacen sentir seguro de estar en buenas manos y te resuelven inmediatamente cualquier duda o problema que surja."
- “El doctor Ferrer es dueño de mi sonrisa. El trato ha sido siempre maravilloso y los precios los mejores de Madrid. Me han puesto varios implantes y el resultado es super natural."
- “Excelente trato tanto profesional como humano."
- “Soy Paciente desde hace tres años, el Dr Jorge Ferrer me ha puesto implantes, y fue todo satisfactorio. Son grandes profesionales los Drs Ferrer padre e hijo."
- “Es mi dentista desde 1988, un profesional excelente en el que confío con los ojos cerrados."
- “Buen profesional, es mi dentista desde El año 1999, no puedo estar mas contento con su trato y su profesionalidad. Su hijo también es un excelente dentista, y la atención del resto del personal es de 10."
- “Magnífico equipo, con una atención extraordinaria. Estoy muy feliz con mi tratamiento realizado."
- “Una muy buena experiencia con lo q es el dentista."
- “Altamente recomendable. Por trato, calidez, calidad, rapidez y dedicación. Son profesionales que ofrecen un servicio impecable, escuchan tus problemas y preguntas y responden con honestidad."
- “Recomiendo esta Clínica por su excelente trato y profesionalidad. La relación calidad / precio son inmejorables."
- “Me he realizado ortodoncia y blanqueamiento, estoy encantada con el resultado. Los doctores me hacen sentir como en familia, son excelentes tanto en lo personal como en lo profesional."
- “Excelente trato y profesionalidad en todas las especialidades (implantes, ortodoncia, etc). Siempre te explican lo que te están haciendo para que lo entiendas."
- “Me recomendaron la clínica para realizarme unos empastes y dos implantes. Estoy muy satisfecho con el doctor Francisco Ferrer y con todo el equipo, además los precios son muy accesible."
- “Clínica muy bien situada. El trato es muy cercano y familiar, son muy profesionales!!! Me tratan genial, son amables, te aconsejan y te explican tranquilamente por qué tomar una decisión u otra con tu boca."
- “Después de que el doctor Jorge Ferrer le pusiera a mi marido implantes y prótesis fija, decidí dejar mi miedo en casa y me atreví a que me pusiera hueso e implantes para así dejar mi dentadura postiza. Por ello mi agradecimiento a la tranquilidad y seguridad que me dio."
- “Extraordinaria clínica dental por su trato, profesionalidad y precio. Fui por recomendación de un amigo que vive en Madrid y estoy contentísimo. Muchas gracias al Dr."
- “Unos profesionales. Buenas instalaciones y lo mejor el trato y la atencion que te da todo el equipo. Mi caso no era facil, con un diente desplazado y un hueco demasiado grande para una pieza y demasiado pequeño para 2. Sin embargo el dr. Ferrer ha conseguido un resultado optimo, con una corona y un implante. Escuchó mis necesidades y no ha parado hasta conseguir el mejor resultado. Solo puedo decir cosas buenas de cada una de las veces que me han atendido."
- “Me recomendaron esta clínica, y la verdad es que no se equivocaron. Excelente equipo. Lo recomiendo."
- “Profesionales de confianza y dedicación."
- “Muy profesionales en sus actuaciones y el trato súper agradable . Un diez para el personal , os lo recomiendo sin duda alguna ."
- “Mi experiencia en esta clínica ha sido muy buena."
- “Como muchos por lo q leo en otras reseñas, fui a esta clínica dental por recomendación de una amiga, y creo q esa es la mejor prueba de satisfacción de un cliente, que te recomiende a los suyos...ahora son los dentistas de toda mi familia. Trato humano inmejorable desde q entras por la puerta y gran trato profesional, sin NADA de dolor y con los mejores resultados. Ponerte allí un implante q es lo q más nos asusta a todos son 15 minutos, sin q te enteres ni del pinchazo de la anestesia y sin tener después ni la más mínima molestia o inflamación, con tal resultado estético q después de un tiempo se lo quieres enseñar a alguien y....tienes serias dudas de q diente no es tuyo de serie!!"
- “Clinica de confianza, muy buen trato y calidad/precio inmejorable."
- “Me realicé un tratamiento de blanqueamiento, y he quedado totalmente satisfecho. Un equipo muy profesional junto con un trato cercano y amable."
- “Siempre he tenido un poco de miedo a ir al dentista pero después de venir aquí, tras una recomendación de una amiga, solo puedo decir que estoy encantada!"
- “Me recomendaron esta clínica dental y estoy muy contenta. Son un equipo muy profesional y atento."
- "Depuis mon arrivée à Madrid, j'ai cherché pendant longtemps un bon dentiste. Ce cabinet dentaire est excellent."