La endodoncia es un tratamiento dental común que a menudo genera dudas y preocupaciones en los pacientes. Popularmente se conoce como “matar el nervio”. Este tratamiento se realiza con el fin de evitar la pérdida de un diente con caries que está muy dañado.
Aunque la endodoncia ha demostrado ser una técnica efectiva para preservar la salud bucal, también tiene sus pros y contras. Es una técnica de odontología conservadora con la que logramos evitar la pérdida del diente y devolver su funcionalidad.
En este artículo, exploraremos las razones por las cuales puede fracasar una endodoncia, las alternativas disponibles para intentar salvar el diente, y cuándo realmente la extracción dental se convierte en la única opción viable.

¿Qué es una Endodoncia y en qué Consiste el Tratamiento?
Una endodoncia, también conocida como tratamiento de conductos, es un procedimiento cuyo principal objetivo es conservar el diente natural y evitar realizar una exodoncia. Este tratamiento consiste en extraer la pulpa dental y rellenar y sellar la cavidad pulpar con un material biocompatible con el organismo.
El tratamiento consta de varios pasos diseñados para eliminar la pulpa dañada o infectada. Primero, se accede al interior del diente para limpiar y desinfectar los conductos radiculares, eliminando todas las bacterias o tejido muerto. Una vez limpios, se rellena todo el interior de un material biocompatible para sellar los conductos y evitar futuras infecciones.
Cuando la endodoncia tiene éxito, el diente puede permanecer en la boca durante muchos años, sin causar dolor ni infecciones. Para que los resultados sean favorables, es fundamental que sea realizada por un especialista.
¿Cuándo es Necesario "Matar el Nervio" Dental?
El procedimiento para matar el nervio de un diente es la endodoncia. Esta es una intervención común en odontología, la ejecuta un endodoncista, lo que se hace es retirar la pulpa del diente.
Algunas de las situaciones en las que es necesario aplicar el tratamiento para matar el nervio de la muela, con la endodoncia son:
- Caries: Si la caries no se detecta a tiempo habrá problemas, porque las bacterias llegan al nervio del diente. Ahí es cuando pueden causar un dolor insoportable, que se acentúa al comer. Cuando el nervio ya esta infectado de forma irreversible por la caries que ya sea muy profunda.
- Hipersensibilidad dental: En ocasiones por diferentes afecciones como caries o gingivitis se puede sufrir de hipersensibilidad dental. Esta puede agravarse al masticar y allí es cuando hay que hacer este procedimiento. La idea es eliminar todo rastro del problema y sellar para evitar que vuelva a repetirse esta desagradable experiencia.
- Fracturas dentales: En ocasiones alguna lesión o golpe fuerte en nuestros dientes puede ocasionar una fractura, a tal punto que queda el nervio dañado. Esa situación genera mucho dolor y el dentista debe evaluar si es necesario aplicar una endodoncia.

Síntomas de una Endodoncia Mal Hecha
Una endodoncia mal hecha o una endodoncia bien hecha que fracasa, puede presentar varios síntomas que se manifiesten justo después del tratamiento, o incluso semanas y meses después. Tras una endodoncia, el diente puede que cambie de color y se vuelva más oscuro, adoptando un tono grisáceo o amarillento.
Es normal sentir algo de dolor después de la endodoncia, sobre todo al masticar, pero es leve y en cuestión de días suele desaparecer. Este dolor puede deberse a una inflamación o infección residual debido a la presencia de bacterias en los conductos laterales accesorios o a un conducto que no fue tratado.
Si la endodoncia se ha realizado bien, el diente no debería reaccionar al frío ni al calor, ya que el nervio se ha eliminado.
Aquí hay algunos signos de alerta:
- Dolor persistente o que reaparece: Un diente endodonciado no debería doler de forma intensa pasado el período normal de curación. Si meses después del tratamiento vuelves a sentir dolor espontáneo o al morder, es una bandera roja. Este dolor puede presentarse de manera espontánea o como una molestia punzante al morder.
- Sensibilidad: Además, notar molestias al masticar, podría ser señal de una inflamación periapical o de una mala oclusión por una reconstrucción mal ajustada.
- Inflamación de la encía o zona afectada: La inflamación puede manifestarse como hinchazón en la zona afectada y en la encía que rodea el diente tratado. Si la infección avanza, la inflamación puede aumentar y evolucionar hacia un absceso periapical agudo, con presencia de pus, mayor dolor local y sensación de malestar general.
- Fístulas o supuración de pus: Las fístulas son pequeños bultitos o granitos de color blanquecino que aparecen cerca del diente afectado y actúan como vías de escape del pus que se genera por la infección. Al igual que aparecen, desaparecen de forma intermitente y si no se tratan, puede que el problema se extienda al hueso o a otros tejidos cercanos.
- Cambio de color del diente: Tras una endodoncia, el diente puede que cambie de color y se vuelva más oscuro, adoptando un tono grisáceo o amarillento. Esto sucede porque al perder su nervio y vasos sanguíneos, el diente deja de recibir nutrientes y se vuelve un tejido no vital. El oscurecimiento no solo afecta estéticamente, sino que también puede indicar que el diente necesita un tratamiento interno como una reendodoncia o incluso una cirugía periapical.
- Movilidad dental: Si un diente se mueve tras una endodoncia también es síntoma de fracaso del tratamiento. En el caso de sentir dolor, además de la movilidad, es necesario valorar si se puede salvar el diente con cirugía apical o si hay que extraerlo y colocar un implante dental.
¿Cómo saber si necesito un tratamiento de endodoncia? | Colgate®
Causas del Fracaso de una Endodoncia
Se calcula que el fracaso de una endodoncia oscila entre el 2 y el 16%. Una endodoncia mal realizada puede provocar molestias persistentes, infecciones en la raíz del diente e incluso poner en riesgo la pieza dental.
Algunas de las causas más comunes de una endodoncia fracasada son:
- Obturación incompleta del conducto: Una de las causas más comunes de una endodoncia fracasada es un sellado incompleto del conducto radicular. Si el sellado en el extremo del conducto no es adecuado, permite la entrada de bacterias desde el hueso o la encía hacia el interior del diente. Esta situación puede ocurrir tanto por un sellado insuficiente como por el uso de materiales inadecuados.
- Filtración apical: Si el relleno interno no llega hasta la punta de la raíz o no sella bien, pueden quedar espacios donde las bacterias proliferen.
- Fracturas radiculares: Las fracturas en la raíz del diente, durante o después de la endodoncia, pueden comprometer seriamente el éxito del tratamiento, especialmente si el diente no está protegido adecuadamente con una restauración.
- Anatomía compleja del conducto: No todos los conductos son rectos y simples, algunos presentan formas inusuales y curvaturas pronunciadas que pueden ser difíciles de limpiar y sellar completamente con el material de obturación de la cámara pulpar.
- Restauración final del diente: Después de una endodoncia, el diente debe restaurarse correctamente con una corona para protegerlo. Con el tiempo, este diente puede recibir más presión al masticar, ya que se desgasta menos que los demás y aumenta el riesgo de fractura.
- Conductos radiculares no tratados por completo: Algunos dientes tienen una anatomía muy compleja, con conductos adicionales, curvos o muy estrechos. Es posible que en el primer tratamiento quedara un conducto sin limpiar simplemente porque no se detectó. Si alguna parte del sistema de conductos quedó sin desinfectar, la infección puede persistir y causar molestias de nuevo.
- Nueva caries en el diente tratado: Aunque hayamos quitado el nervio y el diente ya no tenga sensibilidad, sigue siendo vulnerable a las caries. De hecho, una caries que se forme posteriormente puede avanzar sin que la sientas (al no haber nervio que duela) y llegar hasta el material de relleno del conducto. Esto expone de nuevo el interior del diente a las bacterias, causando reinfección.

Posibles Consecuencias de una Endodoncia Mal Hecha
Algunas de las consecuencias más graves de no corregir una endodoncia fracasada a tiempo son:
- Dolor persistente en la zona del diente afectado: Uno de los síntomas más comunes del fracaso de una endodoncia es el dolor que no desaparece semanas después del tratamiento.
- Aparición de abscesos o fístulas: Las infecciones no resueltas en la raíz del diente pueden provocar abscesos dentales (acumulación de pus) o la formación de fístulas.
- Lesión periapical: Entre el 2 y el 14% de las endodoncias fracasan provocando inflamación periapical en los tejidos que rodean la raíz del diente.
- Daños en el hueso maxilar o mandíbula: Las infecciones periapicales más severas pueden afectar al hueso que rodea la raíz del diente, provocando sinusitis maxilares, infecciones óseas o pérdidas de soporte del diente.
- Pérdida del diente: Una de las consecuencias más graves de no corregir una endodoncia fracasada a tiempo, es que la infección avance y destruya parte del hueso que sujeta el diente de manera irreparable.
- Problemas estéticos o funcionales: Un diente no restaurado correctamente tras la endodoncia puede llegar a fracturarse, cambiar de color o presentar alteraciones estéticas.
¿Qué Hacer Ante una Endodoncia Fracasada?
Ante una endodoncia fracasada, lo más importante es actuar con rapidez para evitar complicaciones mayores como infecciones periapicales o sinusitis maxilares.
Aquí hay algunos pasos a seguir:
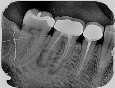
- Evaluación profesional: El primer paso que debes seguir si sospechas que tu endodoncia ha fracasado es pedir cita con un dentista con experiencia en endodoncia o en cirugía bucal para evaluar la situación. Diagnosticar una endodoncia fracasada requiere una evaluación detallada por parte de un profesional. El dentista evalúa los síntomas que presenta el paciente y realiza una radiografía y una tomografía para observar el diente y los tejidos de alrededor.
- Tratamiento de reendodoncia: En algunos casos, se puede intentar hacer un retratamiento del conducto radicular para corregir cualquier problema del tratamiento inicial e intentar salvar el diente. Es un procedimiento más complejo que la endodoncia inicial, ya que pueden quedar restos de material, haber conductos obstruidos o lesiones periapicales.
- Cirugía periapical (Apicectomía): Si no es posible realizar el retratamiento o no funciona, la cirugía periapical es la única alternativa para evitar extraer el diente. Suele ser la solución más eficaz cuando hay una lesión localizada, el diente tiene una restauración que no se puede retirar sin dañarlo o cuando el canal está bloqueado. La apicectomía es una pequeña cirugía donde accedemos a la punta de la raíz a través de la encía para limpiar directamente una infección persistente y sellar el ápice de la raíz por fuera.
- Extracción e implante dental: En los casos donde resulta imposible salvar el diente, porque no es posible hacer reendodoncia o una cirugía periapical, la solución será extraerlo y colocar un implante dental en su lugar. Un implante es una solución segura y duradera que permite recuperar tanto la función estética como masticatoria del diente perdido.
Reendodoncia: Una Segunda Oportunidad
La reendodoncia es, en esencia, una segunda oportunidad para un diente que previamente recibió una endodoncia (tratamiento de conducto) y no logró sanar por completo. En otras palabras, es el retratamiento del conducto radicular de un diente que ya fue endodonciado, con el objetivo de eliminar una infección persistente o recurrente y volver a sellar el diente correctamente.
Imagina que tu diente tuvo una primera oportunidad con la endodoncia original, pero alguna bacteria rezagada o un conducto no detectado impidió la curación completa. La reendodoncia es esa segunda oportunidad donde abrimos de nuevo el diente, limpiamos a fondo los conductos y volvemos a rellenarlos para darle una nueva vida al diente.
¿Cuándo se Necesita una Reendodoncia?
Repetir una endodoncia solo se indica cuando existe un problema real que lo justifica: dolor persistente, signos claros de infección en radiografías, o cualquier factor que amenace la salud del diente previamente tratado. Si no hay síntomas ni indicios de infección y el diente está bien sellado, no hay por qué reendodonciarlo “por si acaso”. Pero si notas algo fuera de lo normal en un diente endodonciado, acude a revisión cuanto antes.
Procedimiento de Reendodoncia
El procedimiento de reendodoncia es muy parecido al de una endodoncia convencional, con la diferencia de que debemos retirar el material existente y enfrentarnos a posibles complicaciones añadidas (como conductos calcificados, instrumentos rotos, etc.).
- Evaluación y preparación: Primero confirmamos, mediante radiografías y pruebas clínicas, que la reendodoncia es la mejor opción. En esta fase previa tomamos radiografías periapicales y, si es necesario, escáner 3D (TAC) para ver la anatomía completa de los conductos y localizar posibles problemas (como un conducto oculto o una fractura radicular). Planificamos el retratamiento identificando la causa del fallo de la primera endodoncia.
- Anestesia local y acceso al conducto: Al igual que en cualquier tratamiento dental invasivo, aplicamos anestesia local para que no sientas ninguna molestia. Una vez la zona está bien dormida, volvemos a abrir una cavidad de acceso en el diente (generalmente por la corona o superficie oclusal) para llegar al sistema de conductos radiculares. Si el diente tenía una corona o perno colocado, en esta fase debemos retirarlos cuidadosamente para poder acceder a los conductos.
- Retirada del material antiguo: Con instrumentos especializados, el endodoncista elimina la gutapercha y sellador colocados en la endodoncia previa. Esto se hace utilizando limas de endodoncia, disolventes específicos y mucho control radiográfico.
- Limpieza y desinfección profunda: Una vez libre el camino, realizamos de nuevo la instrumentación y limpieza de los conductos en toda su longitud. Irrigamos con soluciones desinfectantes (como hipoclorito de sodio) para eliminar cualquier bacteria residual.
- Secado y relleno (obturación): Después de desinfectar, secamos muy bien los conductos y procedemos a rellenarlos nuevamente con gutapercha u otro material sellador. Nos aseguramos de que el sellado sea hermético hasta el final de la raíz, ya que de esto depende en gran medida que no vuelvan a entrar bacterias.
- Reconstitución del diente: Con los conductos ya obturados, colocamos una nueva reconstrucción coronaria para proteger el diente. Dependiendo del caso puede ser un empaste provisional o definitivo, una incrustación o una corona. Lo importante es sellar la entrada del conducto desde arriba para que no haya filtraciones. En muchos casos recomendamos colocar una corona dental si no la tenía, ya que los dientes endodonciados tienden a fracturarse con más facilidad.
Efectividad de la Reendodoncia
La respuesta corta es sí, en la mayoría de los casos la segunda endodoncia logra salvar el diente y eliminar la infección. La tasa de éxito de un retratamiento bien indicado y bien realizado es alta, comparable a la de una endodoncia primaria en muchos casos.
Ahora bien, es importante ser honestos: cada caso es diferente y no existe garantía absoluta de éxito. La efectividad depende de factores como la anatomía del diente, el grado de infección, la habilidad del profesional y también la cooperación del paciente en los cuidados posteriores.
Después de la reendodoncia, tu papel para asegurar el éxito es mantener una excelente higiene bucal (cepillado después de cada comida, uso de hilo dental), acudir a tus revisiones periódicas y realizarte limpiezas dentales profesionales al menos una vez al año.
Alternativas a la Reendodoncia
Aunque la reendodoncia es un tratamiento conservador muy efectivo, hay situaciones en las que no está indicada o en las que lamentablemente no logra resolver el problema al 100%.
Las alternativas a la reendodoncia son:
- Cirugía endodóntica (apicectomía): En algunos casos borderlines, existe la opción de realizar una apicectomía en lugar de (o además de) la reendodoncia. Se suele recurrir a ella cuando la infección está localizada en el extremo de la raíz y no se consigue eliminar solo por dentro, o cuando hay obstáculos en el canal (por ejemplo, una lima rota que no se puede quitar) pero sí podemos llegar por cirugía.
- Extracción e implante dental: Cuando ni la reendodoncia ni la apicectomía son opciones viables o han fallado, la última alternativa es extraer el diente. Perder un diente es algo que tratamos de evitar a toda costa, pero a veces es la decisión más sensata si el foco infeccioso no se erradica. La buena noticia es que hoy día podemos reemplazar ese diente por un implante dental con corona, o bien por un puente fijo o prótesis removible, devolviéndote estética y función.
Ventajas y Desventajas de la Endodoncia
Aunque la endodoncia ha demostrado ser una técnica efectiva para preservar la salud bucal, también tiene sus pros y contras.
Ventajas
- Salva Dientes Naturales: Uno de los principales beneficios de la endodoncia es que permite salvar dientes naturales que de otro modo tendrían que ser extraídos.
- Alivio del Dolor: Los dientes con infecciones o daños en la pulpa a menudo causan un dolor intenso. La endodoncia puede aliviar este dolor de manera efectiva.
- Mejora la Apariencia: Al conservar los dientes naturales, la endodoncia contribuye a mantener una sonrisa completa y saludable.
- Procedimiento Rutinario: Aunque la endodoncia a veces se percibe como un procedimiento complejo, los avances en la odontología han hecho que sea más rutinaria y menos invasiva que antes.
Desventajas
- Costo: Uno de los principales inconvenientes de la endodoncia es su costo.
- Tiempo y Múltiples Visitas: La endodoncia suele requerir múltiples visitas al dentista, lo que puede ser inconveniente para algunas personas.
- Posibles Complicaciones: Aunque la endodoncia es generalmente segura, existen riesgos de complicaciones, como la fractura del diente tratado o la persistencia de la infección.
- Desgaste del Diente: Después de la endodoncia, el diente puede volverse más frágil y susceptible a la fractura.
¿Cuánto Cuesta una Reendodoncia?
Es normal que te preguntes cuánto cuesta una reendodoncia, ya que suele ser un tratamiento más complejo que la endodoncia original. El precio puede variar bastante según la clínica, la ciudad y la dificultad del caso. En promedio, en España una reendodoncia de un molar puede rondar los 200 a 300 euros por diente, aunque en clínicas de referencia con tecnología avanzada puede ser más elevado.
Aquí hay una tabla con un rango de precios aproximado:
| Procedimiento | Precio Aproximado (Euros) |
|---|---|
| Reendodoncia Molar | 200 - 300+ |
| Apicectomía | 300 - 500+ |
| Implante Dental | 800 - 2000+ |
Consulta si tu seguro dental cubre este tratamiento, porque en general la seguridad social no lo cubre, salvo casos muy específicos.
tags: #se #puede #quitar #una #endodoncia