La sobreexposición de las encías al sonreír, conocida como sonrisa gingival, es uno de los problemas que afectan negativamente a la estética de la sonrisa y pueden estar relacionados con la acción individual y conjunta de diferentes factores etiológicos.

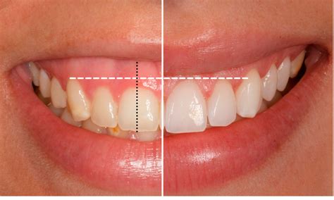
Ejemplo de sonrisa gingival antes y después del tratamiento con Botox.
La evaluación estética y funcional del paciente en este tipo de casos debe incluir un examen extraoral, labial, dental y periodontal. La sonrisa es una de las expresiones faciales más importantes de la cara y, para ser considerada hermosa, atractiva y saludable, implica un equilibrio entre la forma y la simetría de los dientes, los labios y las encías, así como la forma en que se relacionan y armonizan con la cara de los pacientes.
Aunque no hay un estándar absoluto de la belleza, el exceso de exposición gingival puede perjudicar la armonía facial según los patrones de simetría facial. La llamada sonrisa gingival puede considerarse como tal cuando los individuos tienen una exposición mayor de 3 mm de tejido gingival.
¿Qué es la Sonrisa Gingival?
Como se mencionó anteriormente, este tipo de sonrisa se presenta cuando un paciente enseña demasiada encía al sonreír. Podemos distinguir los siguientes tipos:
- Sonrisa gingival anterior: si la encía que se muestra está situada por encima de los incisivos.
- Sonrisa gingival posterior: si la encía que mostramos se encuentra desde el primer premolar hacía atrás.
- Sonrisa gingival mixta: cuando mostramos encía en la parte anterior y posterior.
Causas de la Sonrisa Gingival
Es importante que los profesionales sean conscientes de la causa del problema, que puede ser el resultado de factores como:
- Una erupción dentaria pasiva o alterada.
- Displasia esquelética o el crecimiento excesivo del maxilar.
- Un labio superior corto o hiperactivo cuando se sonríe.
Solo después de un diagnóstico correcto donde se considera el factor etiológico en cada caso es cuando se puede proponer un plan de tratamiento adecuado.
Sonrisa Gingival ¿Cómo eliminarla? ¿Botox? ¿Cirugía? ¿Ortodoncia? - Odontología Láser.
Tratamiento con Toxina Botulínica Tipo A (BTX-A)
La toxina botulínica tipo A (BTX-A) ha sido estudiada desde finales de la década de 1970 para el tratamiento de varias condiciones asociadas con la contracción muscular excesiva. Aplicaciones con BTX-A en lugares preseleccionados es una alternativa mínimamente invasiva eficaz para la mejoría temporal de la sonrisa gingival causada por los músculos hiperactivos elevadores del labio superior.
El objetivo de este reporte es presentar, a través de un caso, el uso de la BTX como alternativa de tratamiento para la sonrisa gingival en una paciente con hiperactividad muscular.
Caso Clínico
Se presenta el caso de una paciente femenina de 27 años, quien refiere queja por mostrar excesivamente la región gingival al sonreír, acude a consulta con el objetivo de mejorar la estética de su sonrisa gingival.

Foto extraoral del caso: (a) Sonrisa inicial mostrando una exposición considerable de tejido gingival. (b) Sonrisa en la evaluación postoperatoria de 2 semanas posterior a la aplicación de TBX-A.
La paciente informa que no encuentra su sonrisa armoniosa, pero que no está dispuesta a realizar un procedimiento invasivo para corregir su situación bucal. Al momento de ser realizada la evaluación clínica, se observó que presentaba 4 mm de exposición gingival.
Fue evaluada la etiología de la sonrisa gingival, llegando al diagnóstico de que su sonrisa gingival era debida a la hiperactividad del músculo elevador del labio superior. Entre las opciones para resolver el caso que fueron presentadas a la paciente (incluyendo ventajas y limitaciones de cada una), fue escogido el tratamiento con BTX-A, con el fin de reducir la fuerza de contracción del labio superior.
Técnica de Inyección: "Yonsei Point"
Para la ubicación del punto de aplicación, fue utilizada la técnica "Yonsei Point".

Técnica de "Yonsei point" para la localización del punto de aplicación en la hiperactividad del músculo elevador del labio superior.
Se utilizó la BTX-A (botox de la casa comercial Allergan) de 100 unidades (U) como medicación de elección. La dilución del medicamento se realizó como se describe en las instrucciones de uso del mismo. La BTX-A se diluyó con 2 ml de solución salina 0,9% sin conservantes y estéril para producir 5 U por 0,1 ml. Se inyectaron 2,5 U en el músculo elevador del labio superior, de forma bilateral.
La paciente se evaluó 2 semanas después de la aplicación. La exposición gingival se redujo notablemente desde la primera evaluación y la paciente refirió estar satisfecha con el tratamiento, resultado que se mantuvo sin la necesidad de nuevas aplicaciones de la medicación por 6 meses.
Puntos clave sobre el tratamiento con Botox
- Reducción de la exposición gingival: El principal beneficio es la disminución notable de la encía visible al sonreír.
- Procedimiento no invasivo: A diferencia de las cirugías, este tratamiento es rápido y sencillo.
- Recuperación rápida: Los pacientes pueden retomar sus actividades diarias inmediatamente después del tratamiento.
- Resultados temporales: La duración de los efectos permite a los pacientes evaluar su satisfacción antes de comprometerse a largo plazo.
- Mínimos efectos secundarios: Generalmente, solo se experimenta enrojecimiento o hinchazón leve en el área de inyección.
¿Cuánto cuesta el tratamiento con Botox para la sonrisa gingival?
El precio de este tratamiento puede variar, pero generalmente oscila alrededor de los 350-400 euros.
Tabla Resumen: Puntos de Inyección y Dosis
| Músculo Objetivo | Punto de Inyección | Dosis Recomendada |
|---|---|---|
| Elevador del Labio Superior | Técnica "Yonsei Point" | 2.5 U (Bilateral) |
Consideraciones Finales
Es crucial que el tratamiento sea realizado por profesionales capacitados que comprendan la anatomía facial y la interacción muscular. La dosis y el punto de inyección deben ser precisos para evitar complicaciones y asegurar resultados satisfactorios.