Cada vez más personas optan por mejorar su sonrisa utilizando alineadores de dientes invisibles debido a la comodidad que ofrece esta opción y a la mejora estética en comparación con otros tratamientos de ortodoncia. La ortodoncia invisible está en auge desde hace unos años y son varias las marcas que han comenzado a comercializar sus propias férulas.
En este sentido, muchos pacientes preguntan cómo decidir entre Invisalign vs Spark, dos de los tipos de alineadores dentales de mayor calidad para quienes prefieren optar por este tipo de solución. En publicaciones anteriores hemos hablado sobre qué es la Ortodoncia Invisible, cuáles son los principales y más prestigiosos proveedores (Invisalign & Spark) y cuál elegir en función de tu situación.
La transformación que experimentan los pacientes suele ser impresionante. Con la popularización de las redes sociales, que muestran casos de antes y después increíbles, cada vez más gente se anima a corregir sus dientes.
Tengo Los Dientes Torcidos 😬 ¿Me puedo hacer Diseño de Sonrisa? 🦷 ¿Me Desgastan? - Odontología Láser
¿Qué es la Ortodoncia Spark?
Gracias a la ortodoncia Spark podrás corregir tu sonrisa mediante unos alineadores transparentes que te puedes quitar para comer y lavarte los dientes. La ortodoncia invisible, también conocida como alineadores transparentes, es un tratamiento ortodóntico diseñado para alinear los dientes sin utilizar los tradicionales brackets metálicos. El tratamiento consiste en una serie de alineadores que se cambian cada pocas semanas.
Pero, ¿cómo funciona y qué problemas de mordida puede corregir? La ortodoncia Spark tiene como objetivo conseguir una mordida firme con una adecuada nivelación y alineación de los dientes. Cada alineador mueve los dientes progresivamente hasta alcanzar la posición deseada. El tratamiento no es doloroso, pero puedes sentir cierta presión durante los primeros días al cambiar a un nuevo alineador.
A lo largo del tratamiento, el paciente deberá utilizar un número concreto de férulas. Este número es mayor cuanto más severo sea su caso. Cada dos semanas, cambiarás a un nuevo juego de alineadores que ajustará tus dientes gradualmente.
Fabricados a medida para cada paciente, los alineadores Spark se ajustan perfectamente a tus dientes gracias a un avanzado proceso de diseño y fabricación. Durante el tratamiento, el paciente debe usar un número específico de férulas, que varía según la gravedad de su caso.
Proceso del Tratamiento con Spark
- Toma de medidas precisa: Utilizamos tecnología de vanguardia para obtener medidas precisas de tu boca, utilizando un escáner intraoral 3D.
- Plan de tratamiento personalizado: Con toda la información recopilada, tu ortodoncista diseñará un plan de tratamiento personalizado para ti.
- Fabricación rápida y eficiente: Los alineadores Spark se fabrican en un laboratorio especializado utilizando tecnología de punta.
- Uso de alineadores: Recibirás un conjunto de alineadores para cada arcada dental. Deberás llevarlos puestos durante 20-22 horas al día, y solo quitártelos para comer, cepillarte los dientes y usar el hilo dental.
- Citas de seguimiento: Para asegurarnos de que tu tratamiento avanza según lo previsto, tendrás que acudir a citas de seguimiento con tu ortodoncista cada mes y medio o dos meses.
- Retirada de alineadores y colocación de retenedores: Una vez finalizado el tratamiento, se retirarán los alineadores y se colocarán retenedores para mantener los resultados obtenidos.
Dado que Spark es una ortodoncia removible, es lógico pensar que los movimientos dentales únicamente se realizan cuando el paciente tiene puestas las férulas. El paciente puede prescindir de ellos para comer y a la hora de lavarse los dientes. Se recomienda retirarlos para comer y beber cualquier cosa que no sea agua.
Después de completar el tratamiento activo, se pasa a la fase de retención. Esto implica el uso de retenedores para mantener los dientes en su nueva posición.
Con Spark solucionamos problemas relacionados con la alineación, nivelación y oclusión de tus dientes de una forma discreta y cómoda. Los alineadores se cambian, aproximadamente, cada 15 días, pero en este tiempo debes mantener una rigurosa higiene y asegurarte de que no se dañan. Con el fin de mantener en buen estado tus férulas, deberás limpiarlas cada vez que las retires de tu boca.
Para ello, basta con utilizar un jabón neutro, agua y un cepillo para prótesis. Te recomendamos que únicamente bebas agua con los alineadores puestos, ya que las bebidas azucaradas harán que acumulen bacterias en la boca.
Spark es uno de los sistemas favoritos de las personas adultas que necesitan llevar ortodoncia. Spark es un sistema removible, así que no interfiere ni con tu dieta ni con tus rutinas de higiene en casa. Esto hace que sea una de las ortodoncias más cómodas que existen. Además, puedes prescindir de tus alineadores de forma puntual, por ejemplo para asistir a un evento social.
Las férulas de Spark están confeccionadas con un material resistente y transparente que no se tiñe. El precio de la ortodoncia Spark depende de la duración del tratamiento. Antes de obtener un presupuesto, es imprescindible realizar un estudio de ortodoncia previo a la planificación del caso.
Antes de iniciar el tratamiento, es necesario realizar una evaluación exhaustiva en una clínica dental especializada.
Con una vasta experiencia en tratamientos de ortodoncia invisible, como Invisalign o Spark, podemos enseñarte ejemplos como el tuyo, todos tratados por especialistas. Si buscas un tratamiento que combine eficacia y discreción, podemos enseñarte ejemplos como el tuyo, todos tratados por el Doctor David Manzanera.
La ortodoncia invisible es ideal si lo que buscas es mejorar tu sonrisa sin que nadie lo note. Ya sea que necesites corregir una maloclusión, mordidas abiertas, clases 2 o 3, o que requieras extracciones o cirugía ortognática, tenemos la solución para ti.

Apiñamiento dental corregido con Invisalign
Problemas que se pueden Corregir con Ortodoncia Invisible
La ortodoncia invisible no solo ofrece una solución estética para quienes buscan corregir problemas dentales sin el uso de brackets tradicionales, sino que también es altamente eficaz para una amplia variedad de problemas, desde el apiñamiento dental hasta mordidas complejas como la cruzada o el prognatismo.
Apiñamiento dental con Invisalign
El apiñamiento ocurre cuando no hay suficiente espacio en la mandíbula para que los dientes se alineen correctamente. Esto no solo afecta la estética de la sonrisa, sino que también puede dificultar la higiene dental, aumentando el riesgo de caries y enfermedades de las encías. La ortodoncia invisible es una opción eficaz para corregir el apiñamiento, ya que permite mover los dientes gradualmente a su posición adecuada.
En nuestra clínica, hemos tratado numerosos casos de apiñamiento con excelentes resultados. Gracias a la tecnología de los alineadores invisibles, los pacientes pueden ver cómo su sonrisa mejora mes a mes, sin molestias ni restricciones alimentarias.

Caso de apiñamiento y borde a borde tratado con alineadores Spark y composites en bordes incisales

Caso de apiñamiento severo y periodonto muy fino tratado con alineadores
Diastema: espaciamiento entre dientes con Invisalign
Los espacios excesivos entre los dientes, también conocidos como diastemas, pueden ser causados por factores genéticos, dientes pequeños o la pérdida de una pieza dental. Este tipo de problema, aunque no siempre afecta la funcionalidad, puede ser una preocupación estética para muchas personas. Con la ortodoncia invisible, es posible cerrar estos espacios de manera gradual, ofreciendo una solución discreta y efectiva.
Los alineadores permiten un ajuste personalizado para cada paciente, moviendo los dientes a la posición deseada mientras mantienes tu estilo de vida sin cambios.
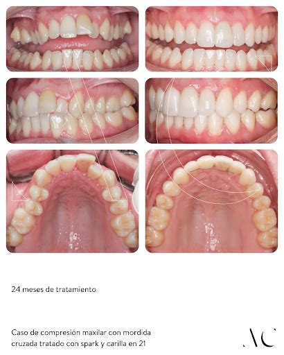
Mordida cruzada
La mordida cruzada ocurre cuando algunos dientes superiores quedan por detrás de los inferiores al morder. Esto puede generar un desgaste desigual en los dientes, problemas en las encías e incluso dolor en la mandíbula. La ortodoncia invisible puede reposicionar los dientes de manera precisa, corrigiendo la mordida y mejorando tanto la salud bucal como la estética.
En nuestra clínica hemos visto casos severos de mordida cruzada que, tras el tratamiento con alineadores invisibles, han mostrado una mejora notable tanto en la estética como en la funcionalidad.

Caso de compresión maxilar con mordida cruzada tratado con Spark y carilla
Sobremordida
La sobremordida, donde los dientes superiores cubren excesivamente los inferiores, es uno de los problemas más comunes. Si no se trata, puede causar desgaste dental y problemas mandibulares. La ortodoncia invisible es muy eficaz para reducir este solapamiento, mejorando tanto la apariencia de la sonrisa como la funcionalidad de la mordida.
Nuestro equipo de ortodoncistas ha trabajado con pacientes con sobremordida pronunciada, logrando resultados que no solo mejoran la estética facial, sino también el bienestar general al masticar.
Mordida abierta
En una mordida abierta, los dientes superiores e inferiores no se tocan cuando la boca está cerrada, lo que puede dificultar la masticación y el habla. Este tipo de problema es común en personas que han tenido hábitos como el uso prolongado del chupete o el dedo en la infancia. La ortodoncia invisible puede corregir la mordida abierta al alinear gradualmente los dientes para que encajen correctamente.
El tratamiento con alineadores invisibles permite una corrección suave y progresiva de la mordida abierta, evitando intervenciones invasivas.

Caso con mordida abierta quirúrgica tratado únicamente con alineadores

Caso con mordida abierta quirúrgica y canteo del plano oclusal tratado con alineadores
Invisalign vs Spark
Tanto los alineadores Spark como los Invisalign ofrecen soluciones efectivas a la hora de alinear los dientes y construir una bella sonrisa. Sí, cada uno de ellos tiene sus propias ventajas y desventajas, pero a lo que realmente hay que darle valor es al profesional que gestionará tu tratamiento.
A pesar de lo que puedas haber escuchado o leído acerca de los alineadores invisibles Invisalign o Spark, ambos sistemas de férulas son prácticamente igual de eficaces cuando se manejan de la forma apropiada. Las diferencias entre Spark e Invisalign se han reducido en los últimos años, en parte porque las patentes de Invisalign han expirado, lo que ha permitido a otras empresas mejorar sus productos de forma considerable.
En definitiva: las diferencias entre las diferentes marcas de alineadores de dientes no justifican por sí mismas la elección de una u otra. Centra tu atención en acudir a una clínica que te ofrezca garantías del mejor servicio y la mejor atención.
Invisalign y Spark son dos de las marcas más populares de alineadores transparentes. La diferencia fundamental, relata el doctor es que, siendo los dos igual de efectivos, Spark es aún más estético. "Hay numerosos estudios publicados que indican que son muy similares en cuanto a resultados, pero Spark es más fino, más transparente y se adapta mejor el aparato, por lo que el movimiento dental se puede hacer más eficiente. El plástico es más resistente y menos poroso, por lo que se tiñe menos que los alineadores tradicionales".
En Clínica Menéndez llevamos años trabajando tanto con Spark como con Invisalign en función de las necesidades de cada paciente.
Ventajas Respecto a los 'Brackets'
¿En qué difiere un tratamiento con ortodoncia invisible del tradicional?
"Los brackets van adheridos a la superficie del esmalte dentario y, para ello, hay que usar unos ácidos que desmineralizan el diente", apunta como contra el doctor Malagón.
Además, si la media de tiempo de tratamiento es de unos 12 meses, explica, hay que tener pegados en los dientes estos brackets: "Dificulta mucho la higiene y hay más riesgo de sufrir caries".
Por otro lado, señala el ortodoncista, los aparatos suelen ser la causa de heridas en la mucosa, rozaduras... y eso lo evitamos usando alineadores transparentes.
Las fuerzas que se emplean para mover los dientes con alineadores están mucho más controladas, puesto que se calculan digitalmente con un ordenador. "Y eso mejora la salud de las encías y prolonga mucho la estabilidad de los resultados una vez terminado el tratamiento".
Un alineador transparente de menos de 0'5 mm de grosor (la mitad de un milímetro) es como una lentilla de los ojos. "Si el odontólogo sabe usar bien la técnica y el paciente es colaborador, básicamente, llevando los alineadores puestos 22 horas al día y cepillándose los dientes después de cada comida, los alineadores permanecerán perfectamente adaptados a la superficie de los dientes durante todo el tratamiento, hará que se consigan los objetivos".
Mejora la confianza y la autoestima. "Una sonrisa más armónica y bonita puede hasta rejuvenecernos y hacer que nos mostremos más seguros. Una sonrisa tiene el poder de renovar a una persona, de empoderarla", opina la doctora Eugenia Cervantes.
Por último, la estética. "Hoy en día no es una cuestión de trabajar cara al público, sino que la gente ha entendido la necesidad de tener una bonita sonrisa, y cuidada, para sentirse mejor consigo misma o mismo, y así poder ofrecer su mejor versión a las personas que le rodean. Y el hecho de llevar ortodoncias tradicionales hipoteca bastante esto durante el tiempo de tratamiento", asevera Malagón.
Inconvenientes
Como principal inconveniente, están el tiempo, que suele ser más extenso que con los brackets, y el precio, más elevado. "Contamos con tres tipos de Invisalign: Express (casos leves), Lite (para casos moderados) y el Invisalign Full (casos complejos). La elección dependerá del grado de complejidad de cada caso. Los precios oscilan entre los 2.000 y los 4.600 euros de media", apunta Cervantes.
La disciplina es fundamental. Invisalign es "el Ferrari de la ortodoncia". Eso sí, al margen de las marcas, siempre hay que dejar el tratamiento en manos de una ortodoncista con experiencia para obtener los resultados deseados y hacer caso a las recomendaciones de llevarlo el máximo tiempo posible o de un tiempo de dos años se puede prolongar a incluso tres de tratamiento. "Los alineadores no se mueven por sí solos, detrás debe haber una buena planificación", indica la doctora.
Si no utilizabas asiduamente hilo dental, dale la bienvenida. Al corregir tu sonrisa, tendrás nuevos huecos en los dientes que debes mantener limpios para una correcta higiene.
La publicidad engañosa. Cervantes asegura que el tiempo habitual del tratamiento suelen ser unos 18 meses. La ortodoncia es salud y hay que buscar siempre un resultado estable y funcional a largo plazo. "El paciente debe ser consciente de que no solo se trata de alinear una sonrisa en seis meses como lo prometen las nuevas marcas de alineadores que bombardean todo el día. La ortodoncia va más allá".
El tratamiento exige un estudio inicial muy completo, con radiografías, la toma de fotografías intraorales y extraorales, vídeos y el escaneo intraoral que le permitirá al paciente ver una simulación del resultado de su sonrisa.
La población poco a poco se está concienciando sobre la salud bucodental, sobre la importancia de tener los dientes alineados y una correcta masticación, cuenta Cervantes. "Ya se sabe el potencial que tiene la ortodoncia y lo mucho que puede mejorar nuestra apariencia, más aún con un sistema tan cómodo y práctico como la ortodoncia invisible". Eso sí, la doctora nota cómo últimamente el porcentaje de hombres que se preocupan más por su estética ha aumentado.
También hay muchos pacientes de vuelta. "Hay algunos casos, sobre todo entre quienes han llevado brackets en la adolescencia y por un descuido no llevaron retenedores. Los dientes tienen memoria y es normal que, sin una adecuada retención, tiendan a volver a su posición inicial. Por eso llegan a la clínica porque hay piezas que tenemos que recolocar". En estos supuestos, afirma, es posible llevar ortodoncia por segunda vez y qué mejor que un sistema más cómodo, estético y removible como la ortodoncia invisible.
Lo que más les gusta es cómo su vida da un giro. "Valoran que no tuvieron urgencias, como pasa con los brackets y que las visitas al dentista sean más espaciadas". Por eso ahora tiene pacientes más maduros. "En una edad avanzada piensan que ya no pueden llevar ortodoncia, pero con la comodidad y efectivad del sistema más una buena planificación consiguen estabilizar su mordida y mejorar su sonrisa.
El área de la ortodoncia, dentro de la odontología, ha sufrido grandes cambios significativos durante los últimos años. Primero fue la ortodoncia tradicional, compuesta por los famosos brackets; después apareció la ortodoncia invisible, una forma mucho más estética y discreta de transformar la sonrisa. ¿En qué se diferencia de la ortodoncia tradicional? ¿Qué es lo que la hace la opción ideal de muchos? ¿Cómo funciona y qué ventajas tiene? Probablemente te estés preguntando todo esto. No te preocupes, porque en el siguiente artículo vamos a dar respuesta a todos estos interrogantes.
Tabla Comparativa: Invisalign vs Spark
| Característica | Invisalign | Spark |
|---|---|---|
| Estética | Alta | Muy Alta (más transparente) |
| Comodidad | Alta | Alta |
| Eficacia | Alta | Alta |
| Resistencia a las manchas | Media | Alta |
| Grosor | Estándar | Más fino |
tags: #spark #ortodoncia #resultados