La odontología estética se encuentra en un punto intermedio entre la ciencia y el arte. Para lograr una sonrisa natural y atractiva, es fundamental comprender la anatomía dental y cómo los diferentes elementos interactúan entre sí.

En este artículo, exploraremos la importancia de la superficie axial de un diente, su orientación, las zonas de contacto interdentales y los espacios interdentales incisales, elementos clave para lograr una sonrisa armoniosa.
Anatomía de la Sonrisa
La sonrisa está determinada principalmente por los dientes. Por lo tanto, un conocimiento sólido sobre los distintos dientes, su forma y anatomía, constituye un requisito fundamental para todo tratamiento. Los dientes están dispuestos en la boca como una unidad; el tejido blando circundante conforma el marco de su aspecto.
Para evaluar qué es lo que constituye una sonrisa «bonita» es útil observar los contornos interiores y exteriores de las estructuras implicadas. Para dibujar, los artistas utilizan un marco definido con contornos aproximados y puntos de orientación imaginarios, de modo que todos los elementos del dibujo presentan tanto una relación interna como una relación con el marco. El mismo principio se aplica a la odontología estética.
También nosotros deberíamos orientarnos por «marcos»: los rebordes marginales y las inclinaciones axiales para el diente individual, el margen gingival para la arcada dentaria, los labios para unión dentogingival. El rostro constituye el marco propiamente dicho para la interacción de los dientes naturales o restaurados con los demás elementos mencionados. Es en el rostro donde la sonrisa halla su verdadera expresión.
Además debemos diferenciar entre estructuras anatómicas «estáticas», como los dientes y la encía, y estructuras «dinámicas», como los labios y la musculatura facial. Para el aspecto de la sonrisa debemos orientarnos, además de por determinados puntos de referencia fonéticos, por diversas líneas imaginarias: la línea media dental, la línea media facial, la línea labial, la línea de la comisura y la línea interpupilar.
Todas estas líneas se encuentran en una relación determinada entre sí. Nunca deberían considerarse aisladamente, sino que deben entenderse como expresión integral de la composición conjunta y de la personalidad individual. La sonrisa sólo resulta armoniosa si reinan unas proporciones equilibradas entre estas líneas y estructuras anatómicas.
Es posible mejorarla modificando estas proporciones, explotando hábilmente efectos e ilusiones ópticos y optimizando la disposición de los dientes, la encía y los labios. Quien desee comprender perfectamente estos elementos y relaciones debe analizar esmeradamente y con atención al detalle todos los aspectos ópticos que determinan la apariencia de los dientes.
Sistema Dental. Odontogenesis. Estructura externa e interna del diente. Amelogenesis imperfecta
Orientación Axial de los Dientes
En una sonrisa atractiva, los dientes anteriores están orientados de tal manera que sus ejes longitudinales discurren de forma continua desde la línea media hacia la zona de los dientes posteriores. A su vez, los dientes anteriores superiores están ligeramente inclinados hacia mesial. Finalmente, los labios conforman el marco de la composición estética.
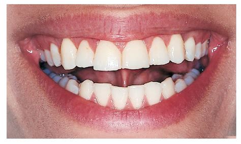
Normalmente, el eje de los incisivos centrales está ligeramente inclinado hacia distal en dirección apical con respecto a la línea media (Figs. 1 y 2). La orientación labiolingual de los incisivos centrales es ideal desde el punto de vista estético cuando la superficie labial discurre verticalmente o está ligeramente inclinada hacia labial. El recorrido exacto puede variar individualmente en función del tipo esquelético y del perfil facial.
En los incisivos laterales se observa que la inclinación distal en dirección apical se hace más acusada a partir de la mitad del diente. Además, en la mayoría de las personas con una sonrisa naturalmente bonita, la orientación axial mesiodistal y anteroposterior de los incisivos laterales está dispuesta asimétricamente.
Los caninos tienen tendencia a estar aún más inclinados hacia distal, si bien sólo desde la perspectiva facial. Vista desde el lado, su eje longitudinal presenta una orientación desde vertical hasta ligeramente distal en la arcada dentaria (Fig. 3). Al evaluar su recorrido axial, lo mejor es orientarse por los rasgos faciales relevantes. En la mayoría de las personas, el eje del canino discurre en paralelo a la línea imaginaria entre la comisura de la boca y el ángulo del ojo al sonreír. Dicho de otro modo, discurre en paralelo al marco vestibular.

Zonas de Contacto y Puntos de Contacto Interdentales
Se entiende por zona de contacto interdental aquella zona en la que los dientes contiguos parecen tocarse entre sí. En el segmento anterior superior se van acortando desde los incisivos centrales hacia los caninos, idealmente en la proporción 50:40:30 en relación con la longitud de la corona de los incisivos centrales.
En otras palabras, la zona de contacto entre los incisivos centrales es del 50%; entre los incisivos centrales y laterales, del 40%, y entre los incisivos laterales y los caninos, del 30% de la longitud del incisivo central (Figs. 4 y 5).
En caso de dientes excesivamente largos, puede ser conveniente alargar la zona de contacto, a fin de reducir en lo posible las distancias (tanto gingivales como incisales). De esta manera, los dientes aparecen en proporción más anchos y por ende también más cortos. Además, si no es posible crear una papila lo suficientemente larga, se puede alargar la zona de contacto hacia apical a fin de cerrar el espacio interdental cervical abierto (Figs. 6 y 7).
El punto de contacto interdental es el punto de la zona de contacto situado más hacia incisal. Aún más hacia incisal, los contactos mesiodistales se separan y se convierten en los bordes incisales. En caso de forma correcta y disposición estética de los dientes anteriores, los puntos de contacto interdentales ascienden claramente hacia la zona de los dientes posteriores (Fig. 5).
El punto de contacto entre los incisivos centrales se encuentra -de acuerdo con la relación en ángulo casi recta entre la línea del borde incisal y la línea media- en la posición más hacia incisal. Entre el incisivo central y el lateral se encuentra más hacia apical, en virtud de los recorridos de borde distoincisales y mesioincisales relativamente redondos. La altura de este punto de contacto en ambos cuadrantes puede ser distinta, debido a la situación y la forma naturalmente asimétricas de los incisivos laterales.
Aún más hacia apical debería situarse el punto de contacto entre el incisivo lateral con su recorrido de borde distoincisal más redondo y el canino con su recorrido de borde mesioincisal casi triangular. La misma regla puede aplicarse también a los premolares.
Espacios Interdentales Incisales
Cuando se abre la boca al hablar o sonreír, se hace visible entre los bordes incisales de ambas arcadas dentarias el espacio negro de la cavidad oral. Este contraste con los dientes mejora el aspecto de los espacios interdentales incisales. La interacción entre luz y sombra a lo largo de la arcada dentaria superior constituye un requisito esencial para una sonrisa bonita y natural.
Los espacios interdentales incisales aumentan de tamaño desde la línea media hacia la zona de los dientes posteriores.
El espacio interdental incisal es más pequeño y anguloso entre los incisivos centrales (Figs. 8 a 10). En virtud de la estructura simétrica de estos dos dientes, se crea así un triángulo isósceles con un ángulo vertical apical agudo. El espacio interdental incisal entre el incisivo central y el lateral es mayor y menos agudo. Unos incisivos centrales relativamente simétricos y unos incisivos laterales relativamente asimétricos favorecen el aspecto estético de la sonrisa. El mismo principio es aplicable a los espacios interdentales incisales correspondientes: la forma del triángulo entre el incisivo central y lateral debería variar a ambos lados (Fig. 10).
El espacio interdental incisal es más grande entre el incisivo lateral y el canino. En las mujeres, este triángulo tiende a presentar características distintas a las que se observan en los varones: el recorrido del borde incisodistal de los incisivos laterales discurre más redondeado, de modo que el espacio interdental se ensancha hacia el canino.
Los dientes son cada vez más grandes hacia la zona de los dientes posteriores. El ángulo en el punto de contacto alcanza casi los 90 grados entre los caninos y los premolares. Estos puntos de contacto y espacios interdentales incisales constituyen requisitos importantes para una sonrisa de aspecto juvenil. Cuando los bordes incisales se desgastan con la edad, los puntos de contacto desaparecen progresivamente. Este proceso se inicia en los incisivos centrales y continúa por los incisivos laterales. Tarde o temprano se alcanza el punto en el que la sonrisa tiene un aspecto viejo (Figs. 11 y 12).
Los espacios interdentales también pueden influir en la longitud y la anchura percibidas de los dientes y en el aspecto de los bordes incisales. Por medio de modificaciones de las formas de los bordes incisales pueden estrecharse o ensancharse visualmente los dientes. A su vez, los dientes con recorridos de bordes mesioincisales y distoincisales especialmente redondeados parecen más largos de lo que en realidad son (Figs. 13 a 15). Las arcadas dentarias anteriores con espacios interdentales incisales marcados parecen más estrechas. A la inversa, si el desgaste de los dientes está tan avanzado que faltan los espacios interdentales incisales, se crea la impresión de una línea recta y el segmento de los dientes anteriores parece más ancho.

Proporciones Dentales
El principal objetivo de toda rehabilitación de la dentición consiste en crear, de conformidad con el paciente, un estado de los dientes lo más natural posible. Los incisivos centrales superiores desempeñan un papel especialmente importante cuando se trata de establecer a partir de la distribución de formas y tamaños la impresión visual del segmento de los dientes anteriores. Las formas desproporcionadas -esto es, cuando los dientes son demasiado largos, cortos, anchos o estrechos con respecto a las proporciones generales- pueden perturbar la armonía facial.
Lo que Domina
Lo que domina es el requisito más importante para la esencia de la composición, que no es otra que la coherencia. A fin de dotar de mayor fuerza a la composición, se refuerzan los elementos dominantes de orden superior mediante elementos dominantes subordinados. Por ejemplo, en rostros agraciados por una sonrisa bonita lo que domina de la boca se sitúa por encima de lo que domina de los ojos.
Las formas desproporcionadas -esto es, cuando los dientes son demasiado largos, cortos, anchos o estrechos con respecto a las proporciones generales- pueden perturbar la armonía facial.
Carillas de Porcelana: Una Opción para Mejorar la Estética Dental
Las carillas de porcelana son un tratamiento restaurador que ha probado su bondad después de muchos años de uso clínico, especialmente en el sector anterior por sus implicaciones estéticas, con porcentajes de éxito próximos al 95% a los 15 años. Una carilla de cerámica consiste en una lámina de porcelana que recubre parcialmente un diente, a modo de veneer, al que se une por medios micromecánicos adhesivos, tras el grabado del esmalte.
Ventajas de las Carillas de Porcelana
- Técnica de dificultad media.
- Preparación dentaria muy conservadora.
- Estética muy elevada.
- Resistencia elevada a las fuerzas.
- Biocompatibilidad local y general.
- Resistencia al desgaste y a la tinción.
- Resistencia al ataque químico.
- Radiopacidad.
- Costo aceptable.
| Ventajas | Desventajas |
|---|---|
| Estética muy elevada | Técnica clínica más compleja que para las carillas de composite |
| Preparación dentaria conservadora | Fragilidad relativa |
| Resistencia al desgaste | Dificultad para la reparación |
Indicaciones de las Carillas de Porcelana
- Cambios de coloración dentaria.
- Cambios de posición dentaria.
- Cambios en la textura superficial dentaria.
- Cierre de diastemas.
- Anomalías de forma, tamaño o volumen dentario.
- Alteraciones funcionales.
- Restauración de problemas derivados de la porcelana de una corona metal-cerámica.
Contraindicaciones de las Carillas de Porcelana
- Alteraciones muy importantes del color dentario.
- Situaciones de carga excesiva sobre las carillas de porcelana.
- Bruxismo y los hábitos parafuncionales.
- Hábitos inadecuados, higiene insuficiente o elevado índice de caries.
El diagnóstico debería comprender una exploración intra y extraoral completa con evaluación y registro del estado periodontal, fotografías de la situación dentaria y modelos diagnósticos del paciente. Es necesaria una evaluación radiográfica completa, por medio de ortopantomografía y sobre todo radiografías periapicales de, por lo menos, cada uno de los dientes que se van a recubrir con las carillas.
tags: #superficie #axial #de #un #diente