Las carillas dentales son uno de los tratamientos más demandados en estética dental, ya que permiten transformar la sonrisa de forma segura, natural y mínimamente invasiva. En los últimos años, hemos sido testigos de una revolución en el mundo de la estética dental en España, y las carillas dentales han emergido como una opción popular y efectiva para transformar sonrisas. Este fenómeno no solo es un cambio estilístico, sino también una manifestación del deseo creciente de las personas de lograr sonrisas deslumbrantes y confiadas.
Aquí te explicamos, cómo es el proceso completo de colocación de carillas dentales: desde la primera visita hasta la sonrisa final. En esta guía te explicamos paso a paso cómo es el proceso de colocación, desde la evaluación inicial hasta el resultado final, para que sepas qué esperar si estás pensando en recibir este tratamiento.

¿Qué son las Carillas Dentales?
Las carillas dentales son finas láminas que se colocan sobre la cara externa de los dientes, con el objetivo de mejorar su forma, color, tamaño o alineación. Las carillas dentales son láminas delgadas, generalmente de porcelana, diseñadas para cubrir la parte frontal de los dientes. Ya sean de porcelana o composite, las carillas dentales van adheridas al diente natural de la persona mediante un cementado.
Son una excelente solución para corregir imperfecciones como dientes oscuros o manchados, espacios entre dientes, fracturas y malposiciones leves. Generalmente las carillas dentales se suelen utilizar para corregir problemas estéticos, también las utilizamos para recuperar el esmalte desgastado o deteriorado, protegiendo a su vez el resto de estructura del diente.
- Dientes oscuros o manchados
- Espacios entre dientes
- Fracturas
- Malposiciones leves
Tipos de Carillas Dentales
Dependiendo del estado inicial del diente y la encía, así cómo de las expectativas y necesidades del paciente se optará por un tipo de carilla concreto (porcelana, composite o microcarillas). Existen diferentes tipos de carillas dentales, siguiendo siempre las necesidades de cada paciente.
- Carillas de Porcelana: Se realizan mediante una cerámica específica dándole la naturalidad y translucidez del esmalte, consiguiendo así un efecto muy estético y natural. Este se realiza siempre mediante la técnica indirecta a través del trabajo de laboratorio, consiguiendo así un resultado más exacto y estético.
- Carillas de Composite: Las carillas dentales de composite se colocan o se modelan directamente sobre el diente del paciente. Suele ser el mismo material que con el que se realizan los empastes dentales, o también puede ser uno especializado en este tratamiento. Se suele realizar mediante la técnica directa y como hemos comentado no son tan exactos estéticamente como los de porcelana.
De forma general, todas las carillas son láminas finas que se adhieren a la superficie de los dientes.

Proceso Paso a Paso para la Colocación de Carillas Dentales
Cuando una persona está interesada en las carillas dentales se debe seguir unos pasos previos para obtener el resultado final. Aquí, te explicamos todos los pasos a seguir hasta conseguir la sonrisa deseada.
1. Evaluación Inicial y Planificación
El primer paso a seguir es programar una visita con el especialista. En esta primera visita se realizará una revisión exhaustiva de la salud bucal. Antes de colocar carillas dentales, es importante hacer un estudio completo de la boca, donde se revisa el estado general de dientes y encías, y se detectan posibles problemas como caries o inflamación.
Para ello, tomaremos una imagen radiológica de la boca para poder comprender el estado bucodental. Otra parte importante de esta visita será discutir con el especialista las expectativas y/o deseos que tengas referente a las carillas dentales. Es muy importante preguntar todas las dudas que se puedan tener y, también, poder discutir tus objetivos.
Gracias a la tecnología de Diseño Digital de Sonrisa (DSD), podemos planificar el resultado estético final antes de comenzar el tratamiento. En este momento, podemos ajustar y modificar ese diseño de sonrisa. Por ello, realizamos un proceso de escucha activa con todos nuestros pacientes para poder ajustarnos a sus necesidades y expectativas.
🦷 SER PROTESISTA DENTAL: UNA CARRERA PARA CREAR SONRISAS | MI PROFESIÓN
2. Estudio Personalizado
Tras la primera consulta, el siguiente paso es realizar un estudio personalizado del caso. En este estudio se toman una serie de registros para que se pueda personalizar el caso y adaptarlo a las necesidades y objetivos de cada paciente. Dicho estudio consta de varias fotografías, escaneados intraorales, encerado y mock-up.
Con todos estos registros el especialista podrá preparar un diseño digital de sonrisa y presentarlo a la persona interesada para que pueda tener una simulación del resultado final. Cabe destacar que este estudio se presenta a la persona interesada y ésta deberá dar el visto bueno antes de continuar al siguiente paso.
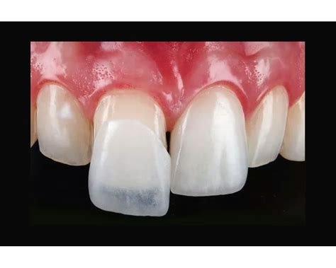
3. Preparación del Diente
Para aplicar las carillas, se realiza un proceso de preparación que implica un tallado mínimo del esmalte dental. Es necesario preparar el diente para conseguir una adhesión eficiente de la carilla sobre la parte frontal del mismo. Sin embargo, las técnicas actuales son mínimamente invasivas y requieren un tallado practicamente imperceptible e incluso existen carillas sin tallado.
En nuestras clínicas dentales apostamos siempre por ser lo menos invasivos posibles. Es cierto que mucha gente al hablar de carillas dentales piensa que se deberá tallar el diente en gran cantidad pero la realidad es que con 2mm de tallado ya se pueden colocar las carillas dentales.
Cuando se usan carillas de porcelana, es necesario hacer un ligero tallado dental para que la carilla se ajuste correctamente. Este desgaste es mínimo y no duele, ya que se realiza solo en la parte frontal del diente. En algunos casos, como cuando se usan carillas de composite, no se requiere tallado, ya que se amoldan directamente sobre el diente. El tipo de preparación varía según el material y la situación de cada paciente.
4. Toma de Impresiones y Carillas Provisionales
Una vez hemos realizado el paso anterior deberemos tomar las medidas finales para preparar las carillas. Tomamos impresiones del diente para poder preparar tanto las carillas provisionales como las definitivas. En esta toma de impresiones seleccionamos el color y forma de las carillas para asegurarnos de que el resultado final sea excelente. En nuestra Clínica DentalBaron utilizamos tecnología de punta para mayor precisión por lo que las medidas las tomamos con iTero y no con silicona (como se realizaba unos años atrás).
Previamente a colocar las carillas definitivas colocamos unas provisionales. Mientras dura el proceso de elaboración de las carillas en el laboratorio, se suelen colocar carillas provisionales con las que el paciente puede hacer vida totalmente normal.
5. Colocación de las Carillas Definitivas
Una vez que las carillas definitivas estén listas, se colocarán en tus dientes con adhesivos especiales. En tu segunda visita, procedemos a colocar tus carillas definitivas mediante unas guías inteligentes. Gracias al diseño con guías 3D, el procedimiento es mínimamente invasivo, lo que reduce cualquier posible molestia y asegura un acabado natural . El diseño 100 % digital no solo aporta precisión, sino que también minimiza errores. El proceso de colocación y cementación es realmente sencillo.
Antes de cementar, se prepara bien la superficie dental para asegurar una buena adhesión. Se utiliza un cemento a base de una resina especial y luz ultravioleta para fijar las carillas de forma segura. Con el composite, se aplica el material por capas directamente sobre el diente y también se endurece con luz.
6. Ajustes Finales y Pulido
Cuando se colocan las carillas definitivas se realizan ajustes finos para garantizar una apariencia natural y una mordida cómoda. Una vez colocadas, se hace un pulido para perfeccionar el acabado y conseguir un aspecto natural. También se comprueba la mordida y se hacen los ajustes necesarios para evitar molestias.
Por último, se programa una cita de seguimiento para revisar el resultado. En esta última parte, se comprueba que el diseño de sonrisa que se había planificado para que se corresponda con el diseño planificado.
Ventajas de las Carillas Dentales
Las carillas dentales ofrecen diversas ventajas, proporcionando una solución no solo estética, sino también funcional. Sirven para mejorar la apariencia de los dientes y ayudan a los pacientes a estar satisfechos con el aspecto de sus dientes y su sonrisa.
- Corrección Estética: Las carillas son excelentes para corregir imperfecciones estéticas como manchas, decoloración, fracturas, o dientes desalineados. Proporcionan una apariencia natural y uniforme.
- Mínimamente Invasivas: Como comentábamos anteriormente, la preparación para las carillas implica la eliminación de una pequeña cantidad de esmalte dental en comparación con otros procedimientos. Esto las hace menos invasivas y preserva más estructura dental.
- Durabilidad: En general, las carillas de porcelana son conocidas por ser duraderas y resistentes, y suelen tener una vida útil prolongada cuando se mantienen adecuadamente. En condiciones normales, las carillas de porcelana pueden durar entre 10 y 15 años o incluso más. Después de este período, pueden requerir reemplazo debido al desgaste natural o cambios en la estructura dental.
- Impacto en la Confianza: Las carillas dentales no solo mejoran la apariencia física de los dientes, sino que también tienen un impacto significativo en la confianza de una persona. Gracias a las carillas dentales podemos observar una transformación estética inmediata ya que podemos corregir imperfecciones logrando un aspecto natural.
Cuidados y Mantenimiento de las Carillas Dentales
El cuidado de las carillas no difiere significativamente del cuidado dental normal. Las carillas dentales no requieren cuidados complicados, pero sí constancia. Es importante mantener una buena higiene dental con un cepillado suave, hilo dental y visitas regulares al dentista. Además, se debe evitar morder objetos duros o abrir cosas con los dientes para no dañar las carillas.
Si sabes que tienes bruxismo, se recomienda el uso de férula de descarga oclusal. Si mantienes limpia tu férula dental y la usas el tiempo que recomiende tu dentista, tus carillas pueden mantenerse en perfecto estado durante muchos años.
Duración del Proceso
El tiempo que tardan en ponerse las carillas dentales varía en función del material de fabricación. El tiempo total depende del tipo de carilla que se elija. Las carillas de composite pueden colocarse en una sola cita, ya que se aplican directamente en la clínica. En cambio, las de porcelana suelen requerir entre dos y tres visitas, en un plazo de 1 a 3 semanas, porque se fabrican en laboratorio.

Conclusión
Las carillas dentales son una obra maestra de la odontología estética, ofreciendo una manera efectiva y rápida de transformar una sonrisa. Si buscas una solución para realzar tu estética dental, las carillas podrían ser tu respuesta. No solo proporcionan resultados visibles, sino que también preservan la estructura dental natural en gran medida. ¡Descubre el arte de sonreír con confianza!
| Tipo de Carilla | Material | Número de Citas | Duración |
|---|---|---|---|
| Composite | Resina compuesta | 1 | Unas pocas horas |
| Porcelana | Cerámica | 2-3 | 1-3 semanas |