Los implantes dentales son una solución fantástica para la reposición de uno o varios dientes ausentes. Si has elegido esta alternativa, debes saber que el éxito a largo plazo depende de la pericia del profesional, los cuidados inmediatos tras la colocación y un mantenimiento adecuado posterior.
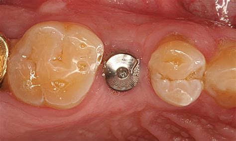
Dentro de este contexto, los tapones de cicatrización juegan un papel fundamental. Son críticos para la preparación de los tejidos para el momento de la colocación de las prótesis, conformando el tejido blanco que rodea el implante. Este elemento es una parte esencial de los implantes dentales, y pueden determinar el éxito del tratamiento.

¿Qué son los tapones de cicatrización?
Los tapones de cicatrización son componentes temporales colocados sobre los implantes dentales durante el proceso de curación. El pilar de cicatrización (también conocido como pilar gingival) es una pequeña pieza fabricada generalmente en titanio, aunque también puede elaborarse con materiales cerámicos o biocompatibles.
Tipos de Implantes y Pilares de Cicatrización
Existen diferentes enfoques en la colocación de implantes, lo que influye en el uso de los pilares de cicatrización:
- Implantes colocados en dos fases: En estos casos, primero se coloca el implante y queda cubierto bajo la encía para que se produzca la osteointegración (la integración del implante con el hueso).
- Implantes colocados en una sola fase (carga inmediata): En estos casos, el pilar se coloca directamente tras insertar el implante, quedando expuesto desde el principio.
Además, los tapones de cicatrización se clasifican en:
- Tapones de cicatrización estándares: Son los más comunes y se utilizan en una amplia variedad de casos.
- Tapones de cicatrización anatómicos: Estos tapones están diseñados para adaptarse más específicamente a la anatomía individual del paciente. Imitan la forma natural del diente y la encía, ofreciendo una adaptación más precisa y un resultado estético superior.
El Proceso de Cicatrización
El proceso de cicatrización de los implantes dentales consta de varias fases, cada una de las cuales es crucial para el éxito a largo plazo del tratamiento. La primera fase del proceso de cicatrización comienza inmediatamente después de la colocación del implante dental en el hueso. Durante esta etapa, el implante se fusiona con el hueso circundante a través del proceso de osteointegración. Durante este período, es crucial seguir las instrucciones de nuestros especialistas para garantizar una adecuada cicatrización.
El tiempo de cicatrización varía según el paciente y el procedimiento, pero generalmente, la fase inicial de curación de los tejidos blandos puede durar entre 2 a 4 semanas. La fase de osteointegración puede durar de 3 a 6 meses. Tras finalizar el periodo indicado, tu odontólogo retirará con facilidad el pilar de cicatrización para colocar el pilar definitivo, que servirá de soporte para tu corona o prótesis dental.
Una vez que el implante dental ha cicatrizado y se ha integrado completamente con el hueso, se procede a colocar el pilar sobre el implante. Después de la colocación del pilar, se toman impresiones dentales para fabricar la corona dental personalizada.
Después de la colocación de la corona dental, se entra en el periodo de cicatrización final, durante el cual el tejido gingival y los tejidos circundantes se adaptan completamente a la nueva estructura dental.

¿En cuánto tiempo cicatriza un implante dental?
Factores que Influyen en la Cicatrización
- Calidad del hueso: La densidad y calidad del hueso en el área de tratamiento también pueden influir en el tiempo de cicatrización.
- Ubicación del implante: La ubicación del implante en la mandíbula o el maxilar puede afectar el tiempo de cicatrización.
- Tipo de implante y técnica quirúrgica: El tipo de implante utilizado y la técnica quirúrgica empleada también pueden influir en el tiempo de cicatrización.
Cuidados Postoperatorios Esenciales
Tras la cirugía de un implante dental es normal sentir alguna pequeña molestia o leve inflamación en la zona intervenida. Desde Clínica dental Lorenzo te ofrecemos algunos puntos que debes seguir para llevar un buen postoperatorio de implantes dentales:
- Higiene Bucal: El mismo día de la cirugía es aconsejable evitar el cepillado. No debes tocar la zona quirúrgica. Puedes cepillar los dientes suavemente con normalidad incluyendo los cepillos interproximales, siempre a partir del día siguiente. Para que los implantes dentales duren es imprescindible una higiene oral adecuada. Al igual que en los dientes naturales, la acumulación de sarro puede provocar problemas en los implantes. Utilice un cepillo de dientes blando (que debe cambiarse periódicamente) o un cepillo eléctrico para limpiarse la boca. Emplee también otros sistemas auxiliares recomendados por su dentista, como por ejemplo cepillos interdentales para los espacios entre diente y diente.
- No realices enjuagues bucales: Después de una intervención quirúrgica bucal, esta contraindicado enjuagarse la boca, ya que esto puede destruir el coágulo sanguíneo y producir más sangrado. Pasadas 24 horas puedes comenzar a enjuagarte de manera suave con colutorios con clorhexidina, indicados por tu doctor.
- Comidas y bebidas frías: Es deseable que antes de comer o beber algo se pase el efecto de la anestesia debido a que puedes provocarte heridas por masticación de la zona. Te recomendamos una dieta blanda y fría, las comidas o bebidas demasiado calientes pueden causarte molestias. Generalmente se sugiere esperar hasta que la cicatrización inicial haya tenido lugar antes de reintroducir alimentos sólidos en tu dieta.
- Nada de Tabaco y alcohol: El tabaco es un factor de riesgo principal para el éxito de los implantes. El humo del tabaco va a irritar los tejidos, retrasar su cicatrización y aumentar el riesgo de infección de la herida. Debes saber que cuanto más fumes, mayor DOLOR post-operatorio.
- Inflamación y sangrado en la zona quirúrgica: Es muy útil la aplicación de HIELO en la zona (por fuera de la boca) a intervalos de 5 minutos cada cuarto de hora durante las tres horas siguientes a la intervención para prevenir la inflamación excesiva. La ingestión de bebidas frías no carbonatadas o de helado es recomendable por su efecto antiinflamatorio. Si presentas sangrado leve en la boca, deberás comprimir una gasa y morderla ejerciendo presión ligera durante unos veinte minutos. Sí, es común experimentar un poco de sangrado y hinchazón después de la cirugía de implantes dentales.
- Ejercicio físico intenso: Es recomendable que no realices actividades que supongan un gran ejercicio físico durante una semana, tanto deporte como trabajo que requiera mucho esfuerzo físico. No te tumbes inmediatamente después de la cirugía, si descansa, manténgase sentado o tumbado con la cabeza elevada colocando dos almohadas o cojín. Es mejor estar sentado que tumbado. Mantenga la cabeza en posición elevada, incluso durante la noche. No conduzca durante las primeras horas tras la operación. La anestesia o la medicación pueden afectar a su capacidad para conducir. No se cepille la zona de la boca correspondiente al implante hasta la retirada de los puntos.
Consideraciones Adicionales
- Medicación: Comenzaste a tomar el antibiótico un día antes de la cirugía, continúa tomándolo hoy como último día. Te hemos dado un Enantyum 25mg. De esta manera, cuando se te pase el efecto de la anestesia (±4 horas), ya estará actuando el efecto del analgésico. Te hemos inyectado un antinflamatorio local (corticoide).
- Cuidado de la zona: Durante 2 días debes comer liquido/blando y frío. Debes lavar tus dientes después de cada comida, los primeros días no cepilles la zona de la intervención. Debes aplicar gel de Clorhexidina sobre el tapón de cicatrización y sobre los puntos de sutura (si los llevas).
Aunque el pilar de cicatrización es un elemento seguro y ampliamente utilizado, es importante tener en cuenta que, como todo procedimiento, podría haber pequeños riesgos si no se siguen los cuidados recomendados. Estos pueden incluir inflamación, infección gingival o molestias leves.
Después de la colocación de los implantes dentales y una vez completado el proceso de cicatrización, es fundamental mantener una higiene bucal óptima y acudir regularmente a las revisiones para el control y prevención. Casa caso es distinto y le recomendaremos un plan específico adaptado a sus necesidades indicando las mejores técnicas de higiene oral y pautas de revisión.
tags: #tapon #de #cicatrizacion #implante #dental