La imagen dental es, desde mi punto de vista, uno de los mayores cambios estéticos que pueda experimentar una persona. Los aparatos de dientes ya no son artefactos para niños y adolescentes. Ha llegado la hora de sonreír al mundo con independencia de la edad. Si te faltan motivos para regalarte una sonrisa, aquí van seis:

La Estética Dental y los Tratamientos Modernos
Carlos Saiz es dentista y está especializado en estética dental. Aborrece los empastes de color gris porque “tienen mercurio y pueden ser perjudiciales para la salud“. Es pionero en blanqueamiento dental con láser y en aplicar anestesia sin dolor. También sabe que los adultos que de niños tomaron un antibiótico con tetraciclinas, “lo pasan muy mal de mayores, porque tienen los dientes muy oscuros, como sucios“.
Blanqueamiento Dental con Láser
Carlos es pionero en el blanqueamiento dental con láser, una técnica que ofrece resultados rápidos y efectivos para aclarar el tono de los dientes. Este procedimiento es ideal para quienes buscan una sonrisa más brillante en poco tiempo.
La mejor manera de blanquear los dientes
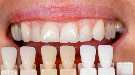
Carillas Dentales: Una Solución Estética
Para solucionar este problema estético, Carlos recomienda poner carillas. En principio, si el tratamiento ha sido bien realizado no deberíamos notarlo. Son muchos los famosos españoles que han apostado por invertir en sus sonrisa.

Las carillas son una excelente opción para corregir imperfecciones como dientes oscuros, manchados o ligeramente desalineados. Este tratamiento proporciona una apariencia natural y mejora significativamente la estética de la sonrisa.
El Cuidado Dental y la Salud General
Es importante recordar que el cuidado dental no solo se trata de estética, sino también de salud. Aborrecer los empastes de color gris es porque “tienen mercurio y pueden ser perjudiciales para la salud“.
La Importancia de la Prevención
Mantener una buena higiene bucal y realizar visitas regulares al dentista son clave para prevenir problemas dentales y mantener una sonrisa saludable a lo largo del tiempo.
Verónica Blume: Un Ejemplo de Cuidado Personal
Verónica Blume le rinde culto al cuerpo y no duda en practicar yoga cuando haga falta. Se cuida mucho y eso se aprecia en su físico, por el que parece que no pasen los años. Además, tengo ya 36 años y creo que llega una edad en la que el maquillaje envejece. Cuando me maquillo mucho, me veo mucho más mayor. Me gusta que me destaquen o los ojos o la boca, pero las dos cosas no.

Esta modelo que ha decidido dedicarse más a su faceta como madre, fue una de las madrinas de la acción que llevó a cabo estas Navidades La Roca Village junto a Cruz Roja. La finalidad era recaudar fondos para dar de comer a la gente necesitada y no dudó en prestar su imagen para conseguir más apoyo.
El Impacto de la Alimentación y el Estilo de Vida
Soy vegetariana desde hace 20 años. He aprendido a cuidarme y a sentirme bien cuidandome, me gusta comer sano, la comida macrobiótica. Y luego es verdad que una buena alimentación y un buen sueño se nota mucho. Una buena alimentación y un estilo de vida saludable son fundamentales para mantener una buena salud dental y general.
Hábitos de Cuidado Personal de Verónica Blume
- Limpieza facial: Sobre todo me limpio antes de ir a dormir y por la mañana.
- Maquillaje ligero: Me gusta mucho más un look natural.
- Duchas frías: Me ducho en frío todas las mañanas, que reafirma mucho, y dos veces por semana me paso el guante de crin o me pongo algún exfoliante.
- Hidratación natural: Como hidratante lo que más suelo usar es el aceite natural o de almendra o de sésamo.
Conclusión
El cuidado dental y la estética son aspectos importantes para mantener una buena salud y una sonrisa radiante. Con tratamientos innovadores como el blanqueamiento láser y las carillas, es posible corregir imperfecciones y mejorar la apariencia de los dientes. Además, adoptar un estilo de vida saludable y seguir los consejos de expertos como Carlos Saiz y Verónica Blume puede marcar la diferencia en el cuidado de tu sonrisa.