La recesión gingival, o retracción de las encías, es una condición bucal común que afecta a muchos pacientes y se caracteriza por la retracción de las encías, dejando expuesta una mayor superficie de la raíz dental. Este fenómeno puede causar sensibilidad al frío y al calor, así como un mayor riesgo de caries y enfermedades periodontales como la periodontitis.

¿Qué Causa la Retracción de las Encías?
Las encías juegan un papel crucial al mantener los dientes en su lugar y proteger la parte inferior de los dientes de restos de alimentos y bacterias. La retracción de las encías puede ser causada por varios factores:
- Mala higiene dental: No eliminar adecuadamente la placa bacteriana puede llevar a la formación de sarro, que separa las encías de los dientes.
- Cepillado agresivo: Un cepillado demasiado fuerte puede dañar las encías y provocar su recesión.
- Tabaquismo: El tabaco afecta negativamente la salud de los dientes y las encías.
- Carencia de vitamina C: La falta de esta vitamina puede influir en la salud gingival.
- Daños en el esmalte: Problemas en el esmalte dental pueden contribuir a la recesión.
- Tratamientos de ortodoncia: En algunos casos, pueden influir en la recesión gingival.
A pesar de que la retracción de encías no provoca dolor, es importante no ignorarla, ya que puede afectar la estética y provocar otros problemas como movilidad dental y sensibilidad.
Signos de Encías Retraídas
Es crucial estar atento a los síntomas de la recesión gingival para buscar tratamiento a tiempo. Algunos de los signos incluyen:
- Dientes que parecen más largos: La separación entre las encías y los dientes aumenta, dando la apariencia de dientes más largos.
- Color diferente en la línea de las encías: Se pueden notar tonos distintos entre la raíz expuesta y la corona del diente.
- Inflamación de las encías: Las encías pueden hincharse y enrojecerse, especialmente en los márgenes.
- Sangre en las encías: Puede aparecer durante el cepillado o al morder alimentos duros.
- Sensibilidad a los alimentos: Dolor intenso al consumir alimentos o bebidas frías, calientes, ácidas o dulces.
- Movilidad dental: Sensación de que algún diente se mueve ligeramente.
Vitaminas Esenciales para la Salud de las Encías
Las vitaminas desempeñan funciones clave en nuestra salud, incluyendo la salud gingival:
- Vitamina B: Fundamental para la regeneración del tejido gingival.
- Vitamina C: Imprescindible para mantener y mejorar la salud de los dientes y las encías. La falta de esta vitamina puede causar escorbuto y enfermedades gingivales.
- Vitamina D: Investigaciones muestran un vínculo entre los efectos endocrinos de esta vitamina y las enfermedades periodontales.
Estos nutrientes son esenciales para combatir la inflamación y promover la salud de las encías.
¿Qué Comer con Encías Inflamadas?
Una alimentación saludable, equilibrada y variada es beneficiosa para la salud bucal. Algunos alimentos recomendados son:
- Pescado azul: Salmón, sardina y atún son fuentes excelentes de ácidos grasos omega-3, con poder antiinflamatorio.
- Huevos: Fuente de proteína saludable y vitamina B.
- Té verde: Rico en catequinas, con propiedades antiinflamatorias.
- Caldo de huesos: Elaborado a baja temperatura durante varias horas.
- Alimentos fermentados: Yogur natural, chucrut, kéfir y kimchi, ricos en probióticos.
Conocer qué comer con las encías inflamadas puede aliviar este trastorno mediante cambios en tu alimentación.

Remedios Caseros para Encías Retraídas
Existen remedios caseros naturales que pueden ayudar a evitar la retracción de encías:
- Milenrama: Sus hojas tienen efectos antiinflamatorios y anticoagulantes. Masticar las hojas o hacer gárgaras con una infusión puede ayudar.
- Té verde: Propiedades antiinflamatorias y antioxidantes. Tomar dos infusiones al día puede reducir la inflamación.
- Salvia: Masticar hojas de salvia o hacer gárgaras con la infusión puede combatir abscesos dentales y encías hinchadas.
- Aloe Vera: Aplicar gel de aloe vera directamente en la encía después del cepillado puede reducir la inflamación.
- Aceite de coco: Contiene ácido láurico con propiedades antiinflamatorias y antimicrobianas. Masajear las encías con aceite de coco y sal marina.
- Aceite de limón: Propiedades antisépticas y antimicrobianas. Masajear las encías con el aceite o hacer gárgaras con agua tibia y unas gotas de aceite.
- Suplemento de vitamina C: Consumir frutas y verduras frescas ricas en vitamina C, como kiwis, tomates, cítricos, brócoli y pimientos.
Estos remedios pueden ayudar a controlar y paliar los problemas derivados de la retracción de encías.
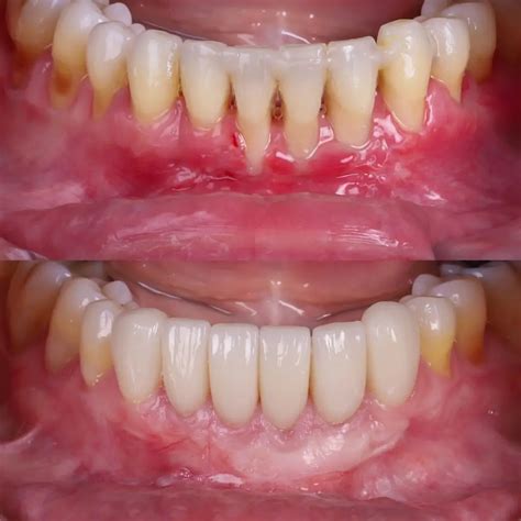
Tratamientos Profesionales para la Recesión Gingival
Aunque las encías no se regeneran completamente por sí mismas, existen tratamientos especializados que pueden estimular el crecimiento y la recuperación del tejido gingival. En BLASI Clínica Dental Barcelona, se aplican tratamientos innovadores en periodoncia que permiten mejorar significativamente la salud gingival. Uno de estos tratamientos es el uso de un gel para regenerar las encías, que contiene ingredientes como:
- Ácido hialurónico: Estimula la regeneración de los tejidos gingivales.
- Vitamina E: Antioxidante que protege los tejidos gingivales del daño.
- Coenzima Q10: Contribuye a la salud de las encías.
- Clorhexidina: Antiséptico que reduce la cantidad de bacterias en la boca y previene la enfermedad periodontal.
El uso de este gel no solo ayuda en la regeneración de las encías, sino que también previene caries, reduce la sensibilidad dental y mejora la salud bucal en general.
| Ingrediente Activo | Beneficios |
|---|---|
| Ácido Hialurónico | Estimula la regeneración de tejidos gingivales |
| Vitamina E | Protege contra el daño de radicales libres |
| Clorhexidina | Reduce bacterias y previene enfermedad periodontal |
Sangrado de Encías: Causas y Soluciones
El sangrado de encías puede ser un síntoma de gingivitis o periodontitis. Una encía sana no debe sangrar. Las causas comunes incluyen:
- Periodontitis o enfermedad periodontal: Infección bacteriana que daña las encías y el tejido óseo.
- Mala técnica de cepillado: Cepillarse con demasiada fuerza puede dañar las encías.
- Deficiencias de vitaminas C y K: La falta de estas vitaminas puede causar sangrado fácil.
- Trastornos de coagulación: Pueden provocar sangrado de las encías.
Para detener el sangrado de las encías, es importante mantener una buena higiene dental, realizar enjuagues bucales de agua tibia con sal y visitar al dentista para una limpieza profesional dos veces al año.
Tratamientos para ENCÍAS RETRAÍDAS: ¿Hay solución? ¿Las encías se regeneran? ¿Cuál es su CAUSA?
Si presentas síntomas de encías retraídas o sangrado de encías, es fundamental contactar a un dentista para un diagnóstico y tratamiento adecuados. ¡Cuida tus encías y mantén una sonrisa sana!