La zapatilla distal es un tipo de mantenedor de espacio utilizado en ortodoncia, especialmente en casos de pérdida prematura de dientes. Este dispositivo ayuda a prevenir problemas de maloclusión y a mantener el espacio necesario para la erupción de los dientes permanentes.

¿Qué es la Zapatilla Distal?
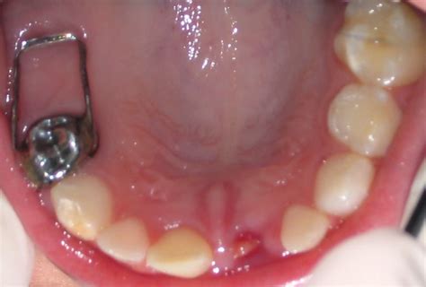
Es un aparato fijo utilizado para mantener el espacio creado por la pérdida prematura, por ejemplo, de una Segunda Molar Temporal.
Funcionamiento de la Zapatilla Distal
La zapatilla distal actúa como un mantenedor de espacio, previniendo que los dientes adyacentes se desplacen hacia el espacio vacío. Al hacer esto, se asegura de que haya suficiente espacio para que el diente permanente erupcione correctamente.

Usos y Aplicaciones
La zapatilla distal puede usarse para vestibularizar piezas inferiores y como opción para la expansión.
Se utiliza principalmente en los siguientes casos:
- Pérdida prematura de molares temporales.
- Necesidad de mantener el espacio para la correcta erupción de los dientes permanentes.
- Casos donde se requiere una solución pasiva para evitar el desplazamiento de los dientes adyacentes.
Ventajas de la Zapatilla Distal
- Mantiene el espacio necesario para la erupción del diente permanente.
- Previene el desplazamiento de los dientes adyacentes.
- Es un aparato completamente pasivo, lo que minimiza la incomodidad para el paciente.
Consideraciones Adicionales
Es importante destacar que el éxito de la zapatilla distal depende de un diagnóstico y tratamiento tempranos. La valoración del caso por un especialista es crucial para determinar la mejor opción de tratamiento.
Además, existen otros tipos de mantenedores de espacio, tanto fijos como removibles, que pueden ser utilizados dependiendo de la situación clínica del paciente. Algunos ejemplos incluyen el arco lingual, el botón de Nance y los mantenedores de espacio removibles.
Mantenedores de espacio
Tipos de Mantenedores de Espacio
Existen diversas opciones de mantenedores de espacio, tanto fijos como removibles, cada uno con sus propias indicaciones y ventajas. A continuación, se presenta una tabla comparativa de algunos de los más comunes:
| Tipo de Mantenedor | Características | Indicaciones |
|---|---|---|
| Zapatilla Distal | Fijo, pasivo | Pérdida prematura de molares temporales |
| Arco Lingual | Fijo, une molares inferiores | Pérdida de varios dientes inferiores |
| Botón de Nance | Fijo, con apoyo en el paladar | Pérdida de molares superiores |
| Mantenedor Removible | Removible, con dientes artificiales | Pérdida de varios dientes, estética importante |
tags: #zapatilla #distal #ortodoncia