La Fitoterapia consiste en la utilización de las plantas y sus derivados con un propósito terapéutico de prevención o como complemento en tratamientos para curar enfermedades. Su uso en odontología es muy recomendable y se utiliza para mejorar la salud de los pacientes en tratamientos dentales. La fitoterapia es una alternativa segura y efectiva cuando se usa correctamente.
En este contexto, los aceites esenciales han ganado popularidad en el campo de la odontología debido a sus propiedades antimicrobianas, antifúngicas, antiinflamatorias y analgésicas. Estos compuestos naturales tienen la capacidad de inhibir microorganismos que habitan en la cavidad oral, como Porphyromonas gingivalis, Candida albicans, Corynebacterium spp., Streptococcus mutans, Streptococcus sanguinis y Staphylococcus aureus.
Colutorio natural | Cuida de tu salud bucodental con aceites esenciales
¿Qué son los aceites esenciales?
Un aceite esencial se compone de metabolitos secundarios de las plantas lipofílicas, muy volátiles y de bajo peso molecular. Se obtiene a partir de material vegetal por método de destilación con agua, con vapor o por medios físicos. Estos productos químicos aromáticos de alta intensidad son insolubles en agua.
La mayoría de aceites esenciales están formados por unos compuestos conocidos como terpenoides volátiles y unidades de isopreno unidas en estructuras de 10 y 15 carbonos. Además, se ha demostrado que los responsables del aroma son compuestos como aldehídos, cetonas o ésteres.
Los aceites esenciales están presentes casi exclusivamente en plantas superiores. Se pueden acumular en cualquier tipo de órgano vegetal, pero principalmente se encuentran en flores y hojas.

Estructura química de dos compuestos principales del aceite esencial de orégano.
Determinación de la actividad antibacteriana de los aceites esenciales
Para determinar o demostrar la actividad antibacteriana de los aceites esenciales, se puede emplear el método de difusión en disco o el método de microdilución para calcular la concentración mínima inhibitoria (CMI). La CMI es la mínima concentración de antimicrobiano capaz de inhibir el crecimiento bacteriano.
Método de difusión en disco
- Se utilizan discos de papel de filtro de 6 mm impregnados con el aceite que se quiere estudiar.
- Se prepara una suspensión bacteriana 0.5 McFarland (1.5 x 108 UFC/ml) de la bacteria a estudiar.
- Se realiza una siembra masiva en el medio de cultivo que mejor crezca la bacteria (Agar sangre, Mitis salivarius agar o Müeller-Hinton).
- Se colocan los discos de papel de filtro impregnados con aceites esenciales sobre la placa de agar y se deja incubar a 37 °C durante 24/48 h. Si se quiere determinar el efecto de estos compuestos frente a S. mutans, se deben incubar las placas 24 horas en anaerobiosis y 24 horas más en aerobiosis.
La actividad antibacteriana se determina midiendo el diámetro del halo de inhibición de las bacterias probadas, lo que indicará si son sensibles, resistentes o intermedios. Los aceites que produzcan mayor halo, serán los más efectivos para inhibir el crecimiento de esta bacteria.

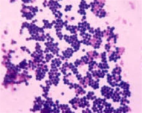
Candida albicans, Streptococcus mutans, Staphylococcus aureus, Tinción de Gram. 100X. Fotografías obtenidas en el laboratorio de Microbiología de la universidad UCH-CEU.
Aplicaciones y ejemplos de aceites esenciales en odontología
En 2019, se publicó un estudio en la revista Pathogens, donde demostraron el potencial de los aceites esenciales de Canela (Cinnamomum cassia) y de Orégano (Origanum dubium). Debido al aumento de publicaciones sobre este tema, se puede preparar una pasta de dientes con formulación en aceite esencial y analizar su actividad en el laboratorio de Microbiología.
Preparación de pasta de dientes casera con aceites esenciales
Para hacer una pasta de dientes casera a base de aceites esenciales se necesita: vaso de vidrio, bicarbonato de sodio, aceite de coco y diferentes aceites esenciales puros. Se mezclan todos los ingredientes y está listo para utilizar. Hay que guardarlo tapado y fuera del alcance del sol.
Aceites esenciales recomendados por sus beneficios en la salud bucodental
- Aceite de coco: Disminuye la inflamación y estimula la cicatrización debido a su ácido láurico antimicrobiano.
- Aceite de menta: Posee cualidades antiinflamatorias, antibacterianas y antivirales, refresca el aliento y combate la Candida.
- Aceite de tomillo: Útil por su función antibacteriana, antifúngica, antiviral y antioxidante.
- Aceite de clavo: Contiene propiedades para el alivio del dolor, características antibacterianas, antifúngicas, antivirales e incluso antiinflamatorias.
- Aceite de almendra: Humecta la boca debido a sus propiedades emolientes, previene inflamaciones por hongos y mejora el sistema inmunológico.

Aceites esenciales para la salud bucodental
Beneficios del uso de aceites esenciales en el cuidado bucal
- Alivio de la inflamación en la boca (gingivitis y periodontitis).
- Ayuda a curar afecciones como la candidiasis oral.
- Remedio antiviral para el herpes labial (aceite de clavo).
- Alternativa segura a los enjuagues comerciales con posibles efectos secundarios sistémicos.
El aceite esencial de clavo: Un caso particular
El aceite esencial de clavo se utiliza sobre todo en el tratamiento de dolores e inflamaciones leves, especialmente los asociados a problemas dentales. Es picante, con un fuerte efecto antioxidante y beneficioso para el funcionamiento normal del tracto digestivo. Debido a la naturaleza picante del aceite esencial de clavo, favorece una mayor autoestima y refuerza la confianza en momentos difíciles o problemas inesperados.
Un estudio clínico dividió a los pacientes en cuatro grupos para suministrarles: (i) gel de clavo, (ii) benzocaína (analgésico), (iii) placebo en forma de gel de clavo y (iv) placebo en forma de benzoacina. Los grupos placebos sintieron dolor en el tejido. El grupo que tomaron clavo y la benzocaína no sintieron dolor. No era placebo. Se observaron pequeñas diferencias entre el clavo y la benzocaína.
Precauciones y consideraciones
- Las mujeres en estado de gestación o lactancia deben emplear cierta precaución al manejar aceites esenciales.
- Algunas personas pueden ser sensibles a estos, por lo que para conocer la tolerancia individual se realizan pruebas de selección.
- Los aceites esenciales no se trata de productos inocuos. Como dijo Paracelso «la toxicidad está en la medida».
- «Debemos tener precaución al utilizarlos ya que son muy potentes. Muchos de ellos están desaconsejados en caso de embarazo y en niños menores de 6 años. Su indicación y administración debe estar bien pautada.
Los aceites esenciales tienen un lugar destacado en la odontología biointegrativa, pues son útiles para prevenir problemas bucales y para tener un mejor estado de salud. Estos ayudan a controlar el crecimiento bacteriano, evitando así infecciones.
tags: #aceites #esenciales #en #odontologia