La odontología estética se desenvuelve en un equilibrio entre ciencia y arte. Es fundamental fusionar los parámetros matemáticos aplicados en la clínica odontológica y el laboratorio protésico en un todo atractivo. Estas leyes geométricas sirven como guía para la configuración individual, sin aplicarse de forma rígida.
La belleza es subjetiva, y al diseñar una sonrisa natural, se debe considerar el carácter individual y el estilo de vida del paciente. El odontólogo y su equipo deben aplicar sus aptitudes artísticas y percepciones subjetivas, haciendo de cada caso una experiencia única y gratificante.
Dado que no hay dos personas idénticas en aspecto y carácter, cada prótesis dental debe adaptarse a las necesidades y características específicas del individuo, especialmente en la zona de los dientes anteriores. En una época de creciente interés por la odontología estética, es crucial profundizar en las reglas de la estética. Este artículo ofrece una visión general de los medios y métodos para ayudar a los pacientes a lograr una sonrisa atractiva.
Anatomía Dental - Incisivo Central Superior (Caras, Raíz, Diámetros)
La Anatomía de la Sonrisa
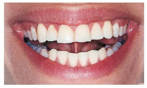
La sonrisa está determinada principalmente por los dientes. Un conocimiento profundo de los distintos dientes, su forma y anatomía, es un requisito fundamental para cualquier tratamiento. Los dientes están dispuestos en la boca como una unidad, y el tejido blando circundante conforma el marco de su aspecto. Para evaluar una sonrisa "bonita", es útil observar los contornos interiores y exteriores de las estructuras implicadas.
Al igual que los artistas utilizan un marco con contornos aproximados y puntos de orientación imaginarios, en odontología estética debemos orientarnos por "marcos": los rebordes marginales y las inclinaciones axiales para el diente individual, el margen gingival para la arcada dentaria, y los labios para la unión dentogingival. El rostro constituye el marco para la interacción de los dientes naturales o restaurados con los demás elementos mencionados, donde la sonrisa halla su verdadera expresión.
Debemos diferenciar entre estructuras anatómicas "estáticas" (dientes y encía) y "dinámicas" (labios y musculatura facial). Para el aspecto de la sonrisa, debemos considerar puntos de referencia fonéticos y líneas imaginarias: la línea media dental, la línea media facial, la línea labial, la línea de la comisura y la línea interpupilar. Todas estas líneas están interrelacionadas y deben entenderse como una expresión integral de la composición conjunta y la personalidad individual. La sonrisa resulta armoniosa si existe un equilibrio entre estas líneas y estructuras anatómicas. Es posible mejorarla modificando estas proporciones, explotando efectos e ilusiones ópticas y optimizando la disposición de los dientes, la encía y los labios. Un análisis detallado de todos los aspectos ópticos que determinan la apariencia de los dientes es esencial.
Orientación Axial de los Dientes
En una sonrisa atractiva, los dientes anteriores están orientados de tal manera que sus ejes longitudinales discurren de forma continua desde la línea media hacia la zona de los dientes posteriores. Los dientes anteriores superiores están ligeramente inclinados hacia mesial. Finalmente, los labios conforman el marco de la composición estética.
Normalmente, el eje de los incisivos centrales está ligeramente inclinado hacia distal en dirección apical con respecto a la línea media. La orientación labiolingual de los incisivos centrales es ideal desde el punto de vista estético cuando la superficie labial discurre verticalmente o está ligeramente inclinada hacia labial. El recorrido exacto puede variar individualmente en función del tipo esquelético y del perfil facial.

En los incisivos laterales, la inclinación distal en dirección apical se hace más acusada a partir de la mitad del diente. Además, en la mayoría de las personas con una sonrisa naturalmente bonita, la orientación axial mesiodistal y anteroposterior de los incisivos laterales está dispuesta asimétricamente. Los caninos tienen tendencia a estar aún más inclinados hacia distal, si bien sólo desde la perspectiva facial. Vista desde el lado, su eje longitudinal presenta una orientación desde vertical hasta ligeramente distal en la arcada dentaria. Al evaluar su recorrido axial, lo mejor es orientarse por los rasgos faciales relevantes. En la mayoría de las personas, el eje del canino discurre en paralelo a la línea imaginaria entre la comisura de la boca y el ángulo del ojo al sonreír.
Zonas de Contacto y Puntos de Contacto Interdentales
Se entiende por zona de contacto interdental aquella zona en la que los dientes contiguos parecen tocarse entre sí. En el segmento anterior superior se van acortando desde los incisivos centrales hacia los caninos, idealmente en la proporción 50:40:30 en relación con la longitud de la corona de los incisivos centrales.
En otras palabras, la zona de contacto entre los incisivos centrales es del 50%; entre los incisivos centrales y laterales, del 40%, y entre los incisivos laterales y los caninos, del 30% de la longitud del incisivo central. En caso de dientes excesivamente largos, puede ser conveniente alargar la zona de contacto, a fin de reducir en lo posible las distancias (tanto gingivales como incisales). De esta manera, los dientes aparecen en proporción más anchos y por ende también más cortos. Además, si no es posible crear una papila lo suficientemente larga, se puede alargar la zona de contacto hacia apical a fin de cerrar el espacio interdental cervical abierto.

El punto de contacto interdental es el punto de la zona de contacto situado más hacia incisal. Aún más hacia incisal, los contactos mesiodistales se separan y se convierten en los bordes incisales. En caso de forma correcta y disposición estética de los dientes anteriores, los puntos de contacto interdentales ascienden claramente hacia la zona de los dientes posteriores. El punto de contacto entre los incisivos centrales se encuentra -de acuerdo con la relación en ángulo casi recta entre la línea del borde incisal y la línea media- en la posición más hacia incisal. Entre el incisivo central y el lateral se encuentra más hacia apical, en virtud de los recorridos de borde distoincisales y mesioincisales relativamente redondos. La altura de este punto de contacto en ambos cuadrantes puede ser distinta, debido a la situación y la forma naturalmente asimétricas de los incisivos laterales.
Aún más hacia apical debería situarse el punto de contacto entre el incisivo lateral con su recorrido de borde distoincisal más redondo y el canino con su recorrido de borde mesioincisal casi triangular. La misma regla puede aplicarse también a los premolares.
Espacios Interdentales Incisales
Cuando se abre la boca al hablar o sonreír, se hace visible entre los bordes incisales de ambas arcadas dentarias el espacio negro de la cavidad oral. Este contraste con los dientes mejora el aspecto de los espacios interdentales incisales. La interacción entre luz y sombra a lo largo de la arcada dentaria superior constituye un requisito esencial para una sonrisa bonita y natural. Los espacios interdentales incisales aumentan de tamaño desde la línea media hacia la zona de los dientes posteriores.
El espacio interdental incisal es más pequeño y anguloso entre los incisivos centrales. En virtud de la estructura simétrica de estos dos dientes, se crea así un triángulo isósceles con un ángulo vertical apical agudo. El espacio interdental incisal entre el incisivo central y el lateral es mayor y menos agudo. Unos incisivos centrales relativamente simétricos y unos incisivos laterales relativamente asimétricos favorecen el aspecto estético de la sonrisa. El mismo principio es aplicable a los espacios interdentales incisales correspondientes: la forma del triángulo entre el incisivo central y lateral debería variar a ambos lados.
El espacio interdental incisal es más grande entre el incisivo lateral y el canino. En las mujeres, este triángulo tiende a presentar características distintas a las que se observan en los varones: el recorrido del borde incisodistal de los incisivos laterales discurre más redondeado, de modo que el espacio interdental se ensancha hacia el canino. Los dientes son cada vez más grandes hacia la zona de los dientes posteriores. El ángulo en el punto de contacto alcanza casi los 90 grados entre los caninos y los premolares. Estos puntos de contacto y espacios interdentales incisales constituyen requisitos importantes para una sonrisa de aspecto juvenil. Cuando los bordes incisales se desgastan con la edad, los puntos de contacto desaparecen progresivamente. Este proceso se inicia en los incisivos centrales y continúa por los incisivos laterales. Tarde o temprano se alcanza el punto en el que la sonrisa tiene un aspecto viejo.
Los espacios interdentales también pueden influir en la longitud y la anchura percibidas de los dientes y en el aspecto de los bordes incisales. Por medio de modificaciones de las formas de los bordes incisales pueden estrecharse o ensancharse visualmente los dientes. A su vez, los dientes con recorridos de bordes mesioincisales y distoincisales especialmente redondeados parecen más largos de lo que en realidad son. Las arcadas dentarias anteriores con espacios interdentales incisales marcados parecen más estrechas. A la inversa, si el desgaste de los dientes está tan avanzado que faltan los espacios interdentales incisales, se crea la impresión de una línea recta y el segmento de los dientes anteriores parece más ancho.

Proporciones Dentales
El principal objetivo de toda rehabilitación de la dentición consiste en crear, de conformidad con el paciente, un estado de los dientes lo más natural posible. Los incisivos centrales superiores desempeñan un papel especialmente importante cuando se trata de establecer a partir de la distribución de formas y tamaños la impresión visual del segmento de los dientes anteriores. Las formas desproporcionadas -esto es, cuando los dientes son demasiado largos, cortos, anchos o estrechos con respecto a las proporciones generales- pueden perturbar la armonía facial.
Lo que Domina
Lo que domina es el requisito más importante para la esencia de la composición, que no es otra que la coherencia. A fin de dotar de mayor fuerza a la composición, se refuerzan los elementos dominantes de orden superior mediante elementos dominantes subordinados. Por ejemplo, en rostros agraciados por una sonrisa bonita lo que domina de la boca se sitúa por encima de lo que domina de los ojos.
Tabla de Proporciones Ideales en el Segmento Anterior Superior
| Diente | Zona de Contacto (relativa a la longitud del incisivo central) |
|---|---|
| Incisivos Centrales | 50% |
| Incisivos Centrales y Laterales | 40% |
| Incisivos Laterales y Caninos | 30% |