Existe una extensa variedad de plantas que han sido utilizadas con fines medicinales, farmacológicos y también en Odontología, gracias a las propiedades antimicrobianas, antifúngicas, antiinflamatorias y analgésicas. Estos compuestos naturales tienen la capacidad de inhibir microorganismos que habitan en la cavidad oral.
Gracias a estas propiedades los aceites esenciales o las pastas dentales a base de hierbas están un auge en el campo de la Odontología. En este artículo, exploraremos los beneficios de los aceites esenciales en la pasta de dientes, cómo determinar su actividad antibacteriana y cómo preparar tu propia pasta de dientes casera.

¿Qué son los Aceites Esenciales?
Un aceite esencial o aceite etéreo se compone de metabolitos secundarios de las plantas lipofílicas, muy volátiles y de bajo peso molecular. Se obtiene a partir de material vegetal por método de destilación con agua, con vapor o por medios físicos. Estos productos químicos aromáticos de alta intensidad son insolubles en agua.
La mayoría de aceites esenciales están formados por unos compuestos conocidos como terpenoides volátiles y unidades de isopreno unidas en estructuras de 10 y 15 carbonos. Además, se ha demostrado que los responsables del aroma son compuestos como aldehídos, cetonas o ésteres.
Los aceites esenciales están presentes casi exclusivamente en plantas superiores. Se pueden acumular en cualquier tipo de órgano vegetal, pero principalmente se encuentran en flores y hojas.
Pasta dental natural con aceites esenciales 🦷🍃 para todos en casa | receta de dentista biológica
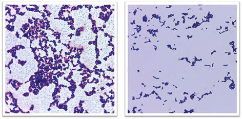
Actividad Antibacteriana de los Aceites Esenciales
Podemos destacar los patógenos como Porphyromonas gingivalis, Candida albicans, Corynebacterium spp., Streptococcus mutans, Streptococcus sanguinis y Staphylococcus aureus.

¿Cómo podemos determinar la actividad antibacteriana de un aceite esencial?
Para determinar o demostrar la actividad antibacteriana de los aceites esenciales, se puede emplear el método de difusión en disco o el método de microdilución para calcular la concentración mínima inhibitoria (CMI).
«CMI: mínima concentración de antimicrobiano capaz de inhibir el crecimiento bacteriano».
En el método de difusión en disco se utilizan unos discos de papel de filtro de 6 mm. Estos discos son impregnados con el aceite que queremos estudiar.
Por otra parte, se prepara un suspensión bacteriana 0.5 McFarland (1.5 x 108 UFC/ml) de la bacteria a estudiar. Para un correcto crecimiento en placa debemos tener en cuenta el metabolismo de la bacteria (aerobio, anaerobio o microaerófilo).
Realizamos una siembra masiva en el medio de cultivo que mejor crezca la bacteria (Agar sangre, Mitis salivarius agar o Müeller-Hinton).
Por último, colocamos los discos de papel de filtro impregnados con aceites esenciales sobre la placa de agar y lo dejamos incubar a 37 ° C durante 24/48 h. Si queremos determinar el efecto de estos compuestos frente a S.mutans, debemos incubar las placas 24 horas en anaerobiosis y 24 horas más en aerobiosis.
La actividad antibacteriana se determina midiendo el diámetro del halo de inhibición de las bacterias probadas que nos indicara si son sensibles, resistentes o intermedios.
Los aceites que produzcan mayor halo, serán los más efectivos para inhibir el crecimiento de esta bacteria.
Como la mayoría de los aceites esenciales que se estudian en el laboratorio son puros (100%), debemos encontrar una fórmula magistral para poder aplicarlos.
En el año 2019, se publicó un estudio en la revista Pathogens, donde demostraron el potencial de los aceites esenciales de Canela (Cinnamomum cassia) y de Orégano (Origanum dubium).
Creando tu Propia Pasta de Dientes con Aceites Esenciales
Debido al aumento de publicaciones sobre este tema, decidimos preparar nuestra propia pasta de dientes con formulación en aceite esencial y analizar su actividad en el laboratorio de Microbiología.
Para hacer vuestra propia pasta de dientes en casa a base de aceites esenciales se necesita: vaso de vidrio, bicarbonato de sodio, aceite de coco y diferentes aceites esenciales puros. Mezclamos todos los ingredientes y esta listo para utilizar. Hay que guardarlo tapado y fuera del alcance del sol.
Existen muchos motivos para abandonar la cosmética convencional: conservantes químicos que pueden ser tóxicos o dañinos para el organismo, colorantes artificiales, tensioactivos irritantes, siliconas y perfumes sintéticos son algunos ejemplos.
Ingredientes Comunes y sus Problemas
Las fórmulas de la pasta de dientes convencional o tradicional, en su mayoría, incluyen principios activos como el triclosán, un antimicrobiano asociado a disfunciones tiroideas, resistencias bacterianas y alteraciones en la microbiota. Son habituales en las fórmulas de la pasta de dientes convencional los microplásticos. Estos polímeros microscópicos, no biodegradables, pueden originarse por la degradación de otros plásticos o fabricarse expresamente para la elaboración de artículos de cosmética y limpieza convencional.
También son habituales en los dentífricos convencionales los sulfatos, agentes tensioactivos que actúan como espesantes y que pueden resultar irritantes según su “grado de dureza”. Por ejemplo: el Sodium Lauryl Sulfate, un tensioactivo fuerte, asociado a problemas dentales.
Entre los ingredientes más habituales de la pasta de dientes convencional encontramos otros tóxicos como aromas, edulcorantes (aspartamo y sacarina) y colorantes artificiales. Como ves, la lista de compuestos “poco recomendables” presentes en la mayoría de dentífricos convencionales, es larga.
Pasta de Dientes Natural: ¿Con o Sin Flúor?
Seguramente la segunda pregunta que te plantearás para elegir una pasta de dientes natural perfecta para tus necesidades será, ¿pasta de dientes con flúor o sin flúor? Existe mucha controversia alrededor de este compuesto. Este elemento químico, altamente reactivo, supone uno de los grandes debates en salud bucodental, sobre todo en los hábitos de higiene dental infantil. Sus defensores se escudan en su capacidad para prevenir caries. Sus detractores se cuestionan su riesgo potencial frente a sus beneficios. Como en la mayoría de los casos, la clave reside en la cantidad.
Para conseguir el efecto anticaries deseado, la cantidad de flúor recomendada, a partir de los 6 años, es entre 1000 y 1500 ppm. Un exceso de flúor puede provocar manchas y desgaste en el esmalte dental.
En referencia a los niños, la Academia Europea de Dentistas Pediátricos (EAPD) recomienda el uso de pasta de dientes con flúor para prevenir las caries. Entre 6 meses y 2 años, dos veces al día con una pasta de dientes con 500ppm de flúor y una cantidad de pasta similar a un guisante.
Entre 2 y 6 años, dos veces al día con una pasta de dientes con 1.000-1.450 ppm de flúor y una cantidad similar a un guisante. A partir de 6 años, dos veces al día con una pasta de dientes con 1.450ppm de flúor y la cantidad de 1 - 2 cm.
En casos en los que se utilice pasta de dientes con flúor junto a otro aporte de flúor, debe tenerse en cuenta el efecto acumulativo del flúor, especialmente en niños menores de 6 años.
¿Cuándo se recomienda la pasta de dientes con flúor?
Una alimentación rica en azúcares, una mala higiene bucodental, un déficit de flúor e incluso factores genéticos, pueden provocar en algunas personas mayor tendencia a producir caries.
¿Cuándo no es necesario utilizar pasta de dientes con flúor?
Otra duda, ¿puede incluirse el flúor en la pasta de dientes natural certificada? Sí, el flúor puede incorporarse en las fórmulas de la cosmética natural certificada, siempre que sea de origen natural y no artificial. Los fluoruros son minerales que se encuentran en la naturaleza de forma natural. Pueden encontrarse en el agua y en algunos alimentos, como por ejemplo las espinacas.
Por ello, las marcas de cosmética natural y/o Bio pueden ofrecer pasta de dientes con flúor y sin flúor.
¿Qué pasta de dientes natural elegir?
Ya te has decidido por una pasta de dientes natural, con principios activos de origen vegetal, aromas a base de aceites esenciales naturales, libre de ingredientes tóxicos, como el triclosán, y sin agentes irritantes, como los sulfatos. Formulada, además, sin microplásticos ya que los dentífricos naturales utilizan componentes abrasivos de origen mineral, respetuosos con el esmalte dental. Y por si fuera poco, biodegradable. ¡Enhorabuena!
También te has decantado por una pasta de dientes con flúor o una pasta de dientes sin flúor, según tus necesidades bucodentales. ¡Ahora llega lo mejor!
Seas un fan absoluto de la cosmética natural o estés dando tus primeros pasos hacía una cosmética más respetuosa contigo y con el planeta, esperamos haberte ayudado a descubrir porque la pasta de dientes natural es siempre la mejor opción.
Durante años, la pasta de dientes convencional en tubo ha sido el producto más común en la higiene dental en casa, pero hoy en día existen nuevos productos con mejores ingredientes y más sostenibles en la limpieza.
Alternativa Sólida: Pasta de Dientes Sólida
Se puede encontrar en formato sólido, normalmente en pastillas, tabletas o en latas. En lo que respecta a su función, es idéntica a la habitual: limpiar los dientes y mantener una buena higiene bucal, pero con un planteamiento más sostenible y ecológico.

Composición ecológica de la pasta de dientes sólida
Para fabricar la pasta de dientes sólida se utilizan principalmente ingredientes naturales y biodegradables, evitando ingredientes sintéticos, microplásticos y conservantes agresivos. Algunos ingredientes comunes son:
- Arcilla blanca (caolín). Aporta consistencia y pule los dientes.
- Bicarbonato de sodio. Limpia y blanquea.
- Aceite de coco. Humecta y tiene propiedades antibacterianas.
- Aceite de oliva. Tiene propiedades antibacterianas.
- Mentol. Para un aliento fresco.
- Xilitol. Es un edulcorante natural que previene la caries.
- Aceites esenciales. Proporcionan sabor y frescor (menta, hierbabuena, etc.).
Algunos de estos ingredientes pueden ser ecológicamente certificados.
Beneficios de la pasta de dientes sólida para el medioambiente
En su mayoría, este tipo de pasta de dientes sólidas suelen venir en un formato zero waste. Solo con la eliminación del tubo de plástico, se reduce la generación de residuos plásticos.
Es usual encontrarse con envases reducidos, ya que es un producto que rinde bastante y con un envase que a menudo es reutilizable.
Se pueden encontrar pastas de dientes sólidas en envases de vidrio, metal o cartón reciclables, lo cual mejora aún más a la reducción de residuos y fomenta la economía circular.
Además, muchos de estos envases permiten el refill, que a veces viene en papel tipo kraft o similar, para que solo tengas que adquirir el repuesto en las sucesivas compras.
Ingredientes clave y su impacto ambiental
Una característica de los ingredientes naturales y biodegradables de la pasta de dientes sólida, es que están pensados para que minimicen el impacto ambiental en comparación con los ingredientes sintéticos de las pastas convencionales. Este tipo de ingredientes, se descomponen de forma natural sin dejar residuos tóxicos en el medioambiente.
A diferencia de los productos convencionales, las pastas sólidas están libres de microplásticos, pequeñas partículas que contaminan los océanos y dañan la vida marina.
¿Cómo contribuye la pasta de dientes sólida a la sostenibilidad?
Existen múltiples aspectos mediante los que la pasta de dientes sólida contribuye a la sostenibilidad. Uno de ellos es que reduciendo el plástico usado y optando por ingredientes naturales y biodegradables, se reduce la huella ecológica del producto.
También, debido a su formato compacto reduce el volumen y peso de los envíos, generando menos emisiones de carbono asociadas al transporte. En conjunto, estos factores contribuyen a un menor impacto ambiental a lo largo de la vida del producto y beneficia un consumo más consciente y responsable.
Duración y conservación: menos residuos a largo plazo
Una pastilla de pasta de dientes sólida suele tener la misma duración que un tubo de pasta convencional, lo que da como resultado menos residuos a largo plazo.
También es capaz de resolver uno de los problemas más habituales, que alguna vez nos ha podido ocurrir, y es que una gran mayoría de los tubos de pasta convencionales se desechan parcialmente llenos, debido a la dificultad de exprimir todo el contenido. Sin embargo, las pastillas sólidas pueden utilizarse hasta su completo agotamiento.
Con esta mayor duración y eficiencia en el uso se incentiva una economía circular, aprovechando los recursos y minimizando la generación de residuos.
Para ampliar la vida útil de la pasta sólida y que mantenga todas sus propiedades, se recomienda guardarla en un lugar seco y aireado para que no se humedezca.
Comparación ambiental entre la pasta de dientes sólida y la convencional
Ambas opciones, tanto la pasta de dientes sólida como la convencional, tienen características diferentes y afectan de diferentes maneras en el entorno y en la nuestra salud bucal.
La pasta de dientes sólida gana por su enfoque en la sostenibilidad, por sus ingredientes, mayoritariamente naturales y biodegradables y por su formato compacto. Aunque su disponibilidad puede ser algo limitada y requiere un breve periodo de adaptación, ofrece una experiencia de uso más natural y fomenta un consumo responsable.
Por otro lado, la tradicional pasta de dientes se caracteriza por su amplia distribución y disponibilidad, además de por su variedad de sabores y fórmulas. Su principal diferencia se encuentra en el uso de tubos de plástico de un solo uso.
Aunque es verdad que el coste inicial de la pasta sólida puede ser ligeramente superior, a largo plazo resulta más económica debido a su rentabilidad.
¿Es la pasta de dientes sólida más sostenible que las alternativas líquidas?
Sí, la pasta de dientes sólida es generalmente más sostenible que las alternativas líquidas convencionales debido sobre todo a la reducción de residuos plásticos y al uso de ingredientes naturales.
El hecho de que se puedan usar hasta agotarlas por completo, no generen residuos de un solo uso, puedan ser con formato refill, utilicen materiales reciclados o incluso no tengan packaging, las convierte en productos que fomentan un consumo sostenible.
Ventajas económicas y ecológicas de la pasta de dientes sólida
- Reducción de residuos plásticos. Al eliminar los tubos de plástico, se reduce la generación de residuos.
- Ingredientes naturales y biodegradables. La mayoría de los ingredientes utilizados en las pastas sólidas son de origen natural y se descomponen fácilmente.
- Menor huella de carbono. La producción y el transporte de las pastas sólidas genera una menor huella de carbono debido a su formato compacto y a la menor cantidad de materiales de embalaje.
- Fomento de la economía circular. Al utilizar los productos hasta el fin de su vida útil y elegir materiales reciclables, se promueve un modelo de consumo más sostenible.
Cómo Hacer tu Propia Pasta de Dientes Sólida en Casa de Manera Ecológica
A continuación, tenemos los ingredientes, materiales necesarios y un paso a paso para hacer un ejemplo de pasta de dientes sólida casera, no es nada difícil y permite un ahorro a largo plazo y una completa personalización de la pasta.
Ingredientes:
- Base. Carbonato de calcio, arcilla caolín, xilitol.
- Grasas. Aceite de coco, aceite de oliva, ácido esteárico.
- Aromatizantes. Mentol en cristales, aceites esenciales (menta piperita, hierbabuena, etc.).
- Opcionales. Mezclar todos los ingredientes en polvo de manera homogénea. (bases+SCG opcionales).
Preparación:
- Preparación de la fase oleosa. Derretir los ingredientes grasos al baño María, incorporando el mentol (1%) en cristales.
- Mezcla de ambas fases. Verter la fase oleosa sobre la fase en polvo y mezclar muy bien hasta obtener una pasta homogénea. Si la mezcla se endurece, calentado ligeramente vuelve a adquirir una textura más moldeable.
- Añadir aceites esenciales. Incorporar los aceites esenciales (0,5%) una vez que la mezcla se haya enfriado ligeramente. (por debajo de los 45º grados).
- Moldeado. Verter la pasta en los moldes y dejar solidificar. Puedes aprovechar si quieres hacer moldes de figuras o añadir algún adorno a la pasta.
Uso:
Una vez preparado es tan fácil como humedecer el cepillo y frotar en la pasta para lavarse como todos los días. Si rompemos la pasta en pequeñas dosis, es mejor coger el trocito y masticar primero, para después cepillar con normalidad.
Los porcentajes de ingredientes varían dependiendo del formato, sabor, preferencias personales, el uso y finalidad de la pasta, etc. Si la pasta queda muy dura, se puede añadir algo de agua o aceite de coco y si queda muy blanda, se soluciona añadiendo más carbonato o arcilla.
Pasta Dentífrica de Tomillo: Una Opción Natural
Cuida tu boca de forma natural, siente la diferencia con cada sonrisa. Nuestra Pasta Dentífrica de Tomillo es mucho más que una simple pasta de dientes.
- Propiedades Naturales para una Sonrisa Radiante: Esta pasta dentífrica limpia, protege y refresca tu boca, proporcionando un aliento fresco y duradero.
- Indicaciones: Ideal para afecciones bucales, postcirugías y como tratamiento efectivo contra la halitosis.
- Cómo usarla: Úsala después de cada comida para mantener tu aliento fresco y tu boca limpia.
Disfruta de una limpieza profunda, un aliento fresco y una sonrisa saludable con la Pasta Dentífrica de Tomillo de La Encantada.
Nuestros productos no tienen ningún elemento químico, ni conservantes, ni colorantes, ni aromas, ni saborizantes que no sean naturales.
Beneficios Adicionales de la Pasta Dental Natural y Orgánica
La pasta de dientes natural y orgánica ha ganado popularidad debido a su enfoque en ingredientes de origen natural y prácticas sostenibles. Estos productos evitan el uso de químicos agresivos y se centran en la salud bucal y el bienestar del medio ambiente. Cada vez más personas optan por alternativas que no contienen flúor ni ingredientes sintéticos, buscando opciones menos irritantes y más respetuosas con la naturaleza.
La pasta de dientes natural y orgánica destaca por su formulación cuidadosa, que prioriza ingredientes de origen natural y métodos sostenibles en su producción.
La pasta dental natural y orgánica conlleva una serie de beneficios que van más allá de la simple higiene bucal. Una de las principales ventajas de optar por pastas de dientes naturales y orgánicas es la mejora en la salud bucal. Los componentes naturales, como el carbonato de calcio y el extracto de regaliz, ayudan en la eliminación de manchas y toxinas.
El uso regular de pasta dental natural puede resultar eficaz en la prevención de la placa y las caries. Las personas con encías sensibles pueden encontrar en las pastas de dientes naturales una opción más adecuada. Las pastas convencionales a menudo contienen aditivos artificiales que pueden provocar reacciones alérgicas. El extracto de milenrama o el bisabolol, no solo ayuda en la limpieza, sino que también posee propiedades antiinflamatorias.
La preocupación por el medio ambiente se ve reflejada en la elección de pastas de dientes que son tanto naturales como orgánicas. Un aspecto importante de muchas pastas dentales naturales es su compromiso con el uso de envases sostenibles. El uso de productos naturales contribuye a una disminución en el consumo de plástico. La mayoría de las pastas de dientes naturales y orgánicas son veganas y libres de crueldad.
Ingredientes Clave en la Pasta Dental Natural
El carbonato de calcio se ha hecho popular en la higiene dental debido a su capacidad para eliminar manchas y toxinas. Este ingrediente actúa absorbiendo impurezas y partículas no deseadas en la superficie de los dientes, mejorando así su apariencia. El Carbonato de calcio es un abrasivo suave que se usa comúnmente en pastas de dientes naturales. Su función principal es eliminar las manchas superficiales de los dientes sin dañar el esmalte. Además, su naturaleza alcalina ayuda a neutralizar los ácidos en la boca, que son responsables de la erosión dental y la formación de caries.
El aceite de coco es conocido por sus propiedades antimicrobianas y antiinflamatorias. Se ha utilizado tradicionalmente en la práctica del 'oil pulling', donde se hace buches con aceite para mejorar la salud bucal. En las pastas de dientes, el aceite de coco contribuye a la reducción de bacterias nocivas, ayudando así a prevenir caries y enfermedades de las encías.
El aloe vera es un ingrediente que se valora enormemente por sus propiedades curativas. En el ámbito de la salud bucal, su capacidad antiinflamatoria ayuda a calmar encías irritadas y promover la curación de heridas.
Los aceites esenciales son ingredientes clave en las pastas de dientes naturales, proporcionan no solo un aroma agradable, sino también beneficios para la salud bucal. Estos aceites poseen propiedades antibacterianas que ayudan a combatir el mal aliento y las bacterias que causan enfermedades. El aceite esencial de menta es ampliamente conocido por su capacidad para refrescar el aliento. Su sabor intenso y agradable lo convierte en un favorito en la formulación de productos para el cuidado dental. El aceite esencial de árbol de té es otro ingrediente poderoso en las pastas de dientes naturales. Reconocido por sus propiedades antimicrobianas, ayuda a combatir bacterias y hongos en la boca.
Preguntas Frecuentes Sobre las Pastas de Dientes Naturales
En la actualidad, hay varias preguntas habituales en torno a las pastas de dientes naturales. La eficacia de las pastas de dientes naturales se basa en su formulación con ingredientes que ayudan a limpiar y proteger los dientes.
Las pastas de dientes naturales suelen estar formuladas sin flúor ni químicos agresivos, lo que las hace más adecuadas para los niños. Sin embargo, es importante considerar que no todas las fórmulas son iguales y que siempre se debe verificar la etiqueta antes de su uso.
Las pastas de dientes naturales suelen tener un precio superior al de las pastas convencionales debido al uso de ingredientes de alta calidad y prácticas de producción más sostenibles. A pesar de estos precios más altos, muchos consumidores consideran que los beneficios para la salud y el medio ambiente compensan la inversión adicional.
Productos Naturales Disponibles
Descubre la excelencia del cuidado bucal con nuestra pasta dental natural. En Essencials ofrecemos una selección de pastas dentales elaboradas con ingredientes de origen vegetal, libres de químicos agresivos.
Aloe Fresh Blanqueador es un gel dental natural con aloe vera, extracto de algas marinas y carbón de bambú. Cuida tus encías, blanquea tus dientes y previene caries y gingivitis de forma natural.
Dentífrico gel compatible con homeopatía con ingredientes naturales, aloe vera, algas marinas. Blanqueamiento natural con liquen de Islandia, sin menta, ideal para tratamientos homeopáticos.
Pasta dental 100% natural con aloe vera, extracto de algas marinas. Con menta y mentol para aliento fresco. Xilitol previene caries y gingivitis.
Pasta de dientes con una fórmula 100% natural con aloe vera y extracto de algas marinas que cuida y protege las encías. Enriquecida con liquen de Islandia para mantener el blanco natural de los dientes y prevenir manchas debido al desgaste del esmalte.
Descubre nuestra pasta dental natural para dientes sensibles. Proporciona alivio y protección del esmalte con una limpieza suave y efectiva, sin químicos agresivos.
