A través de sus redes sociales, muchas personas han preguntado a Aida Blanco sobre su experiencia con la ortodoncia. En este artículo, ella comparte los detalles de su transformación dental, desde el blanqueamiento hasta su elección entre Invisalign y brackets.

El Comienzo: Blanqueamiento y Contorneado Dental
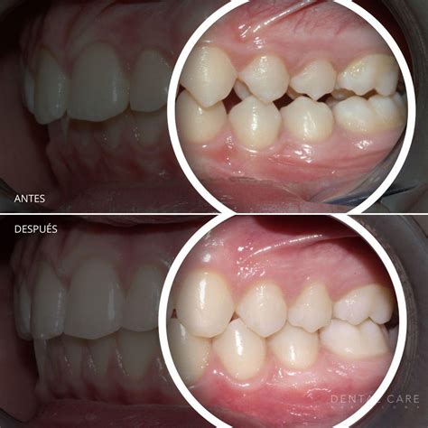
Antes de optar por la ortodoncia, Aida se sometió a un pequeño "make over" en la Clínica Rosales de Estética Dental. El Dr. Morillo y su equipo le blanquearon los dientes y le hicieron un pequeño contorneado (limar los dientes). El cambio fue muy evidente.
El blanqueamiento se realizó con sesiones en la consulta y con unas férulas en casa, aplicando un gel a base de peróxido de carbamida, que es lo que blanquea la dentina. Fue un tratamiento muy progresivo y con un resultado muy natural.
La Decisión de la Ortodoncia: Invisalign vs. Brackets
En este periplo de más de año y medio, Aida probó dos sistemas: Invisalign y brackets, poniéndose en manos del Dr. Javier Canut, a quien consultó sobre ambos sistemas. Ella considera que esta ha sido la mejor inversión de belleza de su vida, ya que una boca sana y bonita es el mejor tratamiento beauty del mundo.
Después de llevar Invisalign casi un año, un diente no se movía como se esperaba, así que optó por los brackets. Solo los llevó en los dientes superiores, los más blancos, de cerámica translúcida (no transparente) y tamaño mini. Según Aida, no se notaban mucho.

Invisalign: La Opción Discreta
El sistema Invisalign, según el Dr. Canut, es la mejor opción cuando uno no puede o no quiere llevar aparatos fijos. Se trata de una sucesión de férulas finas o 'alineadores' que se van usando consecutivamente de manera programada al inicio.
Ventajas de Invisalign:
- Los aparatos son finos, transparentes y, por tanto, muy discretos.
- Son de quita y pon, lo que facilita la higiene oral.
- Los tiempos de tratamiento son similares a los de los brackets en casos de alineación dental.
Para mejorar su eficacia, Invisalign coloca 'ataches' o topes pegados en la cara exterior de los dientes, permitiendo realizar movimientos más complicados con mayor precisión. Sin embargo, el resultado depende totalmente de la colaboración del paciente.
El Dr. Canut concluye que Invisalign requiere mucho trabajo previo en la planificación y diseño del 'clin-check', y si no se estudia bien, los tratamientos se alargan y no terminan bien.
Brackets: Eficacia y Comodidad
Aunque una compañera de ELLE bromeó diciendo que Aida se ponía brackets porque no estaba soltera, ella decidió probar este sistema. Después de haber probado ambos, Aida se quedó con los brackets, ya que le parecieron más cómodos (solo los llevó en los dientes superiores). Literalmente, te olvidas de que los llevas puestos, aunque los primeros días puedan salir algunas heridas.
Tipos de Brackets:
- Bucales o externos: Pueden ser estéticos (cerámicos o plásticos) o metálicos (en acero u oro). Los estéticos son igual de eficaces que los metálicos.
- Autoligables: Se diferencian en el modo en que el bracket sujeta el alambre, llevando una tapita en lugar de gomitas/alambritos.
- Linguales: Imperceptibles al ir por detrás del diente, pero pueden ser más incómodos y difíciles de limpiar.
«Los sistemas de brackets (brackets y arcos de alambre) son, por ahora, la herramienta biomecánica más eficaz para mover los dientes y conseguir los mejores resultados en el menor tiempo posible. Van pegados directamente sobre la superficie exterior del diente, por lo que trasmiten las fuerzas con mayor precisión que otros aparatos y permite al ortodoncista controlar la fuerza y dirección que se necesita para mover los dientes de manera previsible y sin dañarlos. Además, no necesitan de la colaboración del paciente porque van fijos a los dientes y están funcionando 24 horas al día, los 7 días a semana. En general, van cementados/adheridos en la superficie externa de los dientes.

En el caso de Aida, para alinear y 'abrir' su sonrisa, el Dr. Canut optó por una serie de arcos (alambres) con un recubrimiento blanco (Teflon) para favorecer la estética.
Consideraciones Adicionales sobre la Ortodoncia
El Dr. Canut ofrece algunas consideraciones importantes sobre la ortodoncia:
- Si la necesidad estética es máxima y Invisalign no es suficiente, se pueden utilizar brackets linguales.
- En general, si tienes dientes, se pueden mover independientemente de la edad, a menos que haya problemas periodontales severos.
- El estudio previo para cada sistema de ortodoncia incluye radiografías, moldes de los dientes y fotografías de la cara.
- Las muelas del juicio pueden ser un problema si intentan erupcionar y desplazar los dientes.
- Los implantes pueden ser una ayuda o un estorbo, ya que no se pueden mover una vez colocados.
Tipos de Ortodoncia: ¿Cuál es el adecuado para ti?
Retención: El Mantenimiento a Largo Plazo
La retención es de por vida si se quiere detener el deterioro provocado por el uso y el paso del tiempo. Se realiza con aparatos fijos invisibles y/o aparatos removibles que se usan para dormir.
Tipos de retenedores:
- Fijos: Van pegados por detrás de los dientes anteriores, de canino a canino, y están confeccionados en acero inoxidable, fibra de vidrio u oro.
- Removibles: Pueden ser férulas finas, placas de acrílico o férulas de relajamiento (para casos de bruxismo).
El costo del sistema de ortodoncia depende de lo sofisticado que sea el material y de lo individualizado que sea la fabricación del aparato.

| Sistema de Ortodoncia | Ventajas | Desventajas |
|---|---|---|
| Invisalign | Discreto, removible, facilita la higiene | Depende de la colaboración del paciente, puede ser menos eficaz en casos complejos |
| Brackets (Bucales) | Eficaz, no requiere colaboración del paciente | Menos estético, puede dificultar la higiene |
| Brackets (Linguales) | Invisible | Más incómodo, difícil de limpiar, más caro |