Has finalizado tu ortodoncia, ya sea con brackets o alineadores transparentes, pero ¿has terminado con el tratamiento? Sí y no. Lo que sí ha terminado es el tratamiento activo, ahora comienza otra fase distinta, pero tan importante como la anterior: la retención.
Los retenedores dentales son una parte esencial dentro del proceso ortodóntico, pero a menudo su importancia y funcionamiento no son del todo comprendidos. En este artículo, exploraremos las distintas opciones disponibles en el mercado para que elijas el dispositivo que mejor se adapte a tu estilo de vida y resolveremos todas tus dudas.
Después de usar aparatos ortopédicos dentales, como alineadores, brackets, bandas y alambres, es común que los ortodoncistas recomienden el uso de retenedores dentales. Quedate con nosotros y descubre por qué es crucial seguir usando estos dispositivos después de finalizar tu tratamiento.
Es posible que te empiecen a surgir dudas porque no tienes claro qué son los retenedores de dientes y por qué son necesarios. En este artículo, vamos a hablar sobre la importancia de los retenedores después de la ortodoncia.
Los retenedores son aparatos de contención para los dientes que se ocupan de mantenerlos alineados y en la posición adecuada tras finalizar un tratamiento de ortodoncia. Los retenedores dentales desempeñan un papel crucial en el mantenimiento de la alineación dental después de un tratamiento ortodóntico.
Hay que tener en cuenta que los dientes se mueven incluso después de llevar ortodoncia. De hecho, se dice que los dientes tienen memoria porque tienden a volver a su posición inicial. Por lo tanto, usar retenedor adecuado es de vital importancia.
Cuando se retira la ortodoncia, los dientes siguen contando con cierta movilidad. La boca siempre está en continua adaptación, por lo que al finalizar la ortodoncia hay que colocar unos aparatos de retención o retenedores.
Lo que se busca con los retenedores es que los dientes se vuelvan fuertes en la nueva posición y que las fibras que unen los dientes al hueso se acostumbren a su nueva posición. Esto lleva cierto tiempo. Además, hay que darle tiempo también a la lengua, labios y al resto de la cavidad oral a adaptarse.
Después del esfuerzo que costó poner todos los dientes en su sitio, no lo estropees todo por no poner los retenedores ni acudir a tus revisiones.

RECIDIVA EN ORTODONCIA La importancia de los RETENEDORES EN ORTODONCIA
Tipos de Retenedores Dentales
Existen dos opciones principales de retenedores tras la ortodoncia: fijos y removibles. Tu ortodoncista puede aconsejarte, pero al final eres tú quien deberá elegir el aparato que más se adapte a ti. Los retenedores dentales se dividen entre fijos y removibles.
Retenedores Fijos
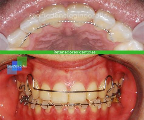
Los retenedores fijos de ortodoncia están compuestos de un alambre de metal que se coloca detrás de los dientes de la arcada superior e inferior y va de canino a canino. Los retenedores fijos, también conocidos como permanentes, son barras de alambre que se colocan detrás de los dientes anteriores, especialmente en la arcada inferior, aunque también pueden colocarse en la arcada superior. El dispositivo es completamente invisible desde el exterior y son retenedores de por vida.
Se coloca un alambre especial (Alambre trenzado para retenedor fijo hecho de acero) en la parte interna de los 6 dientes anteriores, es decir de canino a canino. Ésta se coloca siempre abajo y a veces arriba también en los dientes de arriba. Al finalizar un tratamiento de ortodoncia de cualquier tipo, es necesario utilizar retenedores para mantener la nueva posición de los dientes.
Ventajas de los retenedores fijos
- Discreción: Son invisibles mientras los llevas, lo cual es excelente si te importa la apariencia.
- Durabilidad: Están diseñados para durar mucho tiempo, reduciendo la necesidad de reemplazos frecuentes.
- Constancia: No necesitas preocuparte por quitártelos o perderlos, están siempre ahí haciendo su trabajo.
Desventajas de los retenedores fijos
- Difícil de limpiar: Pueden dificultar el uso del hilo dental y el cepillado, lo que requiere más esfuerzo de higiene.
- Costumbre: Puede que tardes unos días en acostumbrarte a ellos, especialmente con la lengua.
El paciente tarda unos días en acostumbrarse, pero no causa dolor ni molestias y hace que el proceso de retención pase desapercibido. Sin embargo, al estar pegado a la parte posterior de los dientes, el uso del hilo dental puede verse dificultado. Por ello, sería conveniente realizar limpiezas bucodentales profesionales cada 6 meses o 1 año, dependiendo del caso.
Por lo tanto, es importante que a la hora de cepillarse se haga hincapié en esta zona para poder eliminar la totalidad de la placa que pueda acumularse alrededor del alambre.
Si tu retenedor dental fijo está despegado o roto, evita tocarlo o forzarlo y pide cita con tu ortodoncista lo antes posible. Mientras tanto, usa un retenedor removible si lo tienes para evitar que tus dientes se desplacen.

Retenedores Removibles
Los retenedores removibles, como su propio nombre indica, tienen la ventaja de ser extraíbles, por lo que se sacan para comer y cepillarse los dientes. Por lo tanto, te permiten llevar una higiene dental sin limitaciones y la adaptación es mucho más rápida, sobre todo si previamente has usado ortodoncia removible. Por el contrario, la desventaja es que hay que acordarse de ponérselos.
Generalmente, se usan durante la noche, aunque al principio del tratamiento puede ser necesario llevarlos a tiempo completo.
Los retenedores dentales removibles más comunes:
- Retenedor Hawley: Este tipo de retenedor removible está compuesto por unos ganchos que se colocan en los dientes y un alambre dispuesto en la zona exterior de los dientes. Cubre todo el paladar, previniendo la alteración de la mordida y los movimientos dentales no deseados.
- Retenedores transparentes removibles: Férulas similares a las que se utilizan en los tratamientos de ortodoncia invisible. Los retenedores removibles transparentes van ganando popularidad debido a su discreción y comodidad.
Ventajas de los retenedores removibles
- Flexibilidad: Puedes quitarlos para comer y limpiar tus dientes fácilmente.
- Comodidad: Son más cómodos, especialmente los transparentes tipo Essix.
- Adaptación rápida: Te adaptas a ellos más rápido porque puedes controlarlos mejor.
Desventajas de los retenedores removibles
- Responsabilidad: Debes recordar usarlos según las indicaciones del especialista.
- Reemplazo: Necesitan ser reemplazados cada cierto tiempo para evitar deterioro.

Es crucial seguir las recomendaciones del ortodoncista para obtener los mejores resultados con los retenedores removibles.
| Tipo de Retenedor | Ventajas | Desventajas |
|---|---|---|
| Fijos | Discreción, durabilidad, constancia | Difícil de limpiar, requiere costumbre |
| Removibles | Flexibilidad, comodidad, adaptación rápida | Responsabilidad, necesidad de reemplazo |
Fase de Retención
La fase de retención empieza tan pronto como termine tu tratamiento de ortodoncia. Los retenedores fijos se colocan el mismo día que se retiran los aparatos. Al principio, deberán llevar los retenedores día y noche durante el tiempo que considere el ortodoncista. Sin embargo, después de este período, solo tendrán que llevarlos por la noche. Recomendamos que se cambien regularmente, aproximadamente cada 6 o 9 meses.
Durante los primeros meses después del tratamiento, los retenedores son absolutamente vitales. Este periodo es crítico para mantener la posición de los dientes. En estos primeros meses, los dientes tienen una tendencia muy fuerte a volver a su posición original.
Es una fase de ajuste donde los ligamentos y huesos deben estabilizarse. Por eso, el uso de retenedores inmediatamente después de quitar los aparatos es indispensable. El objetivo es consolidar esos movimientos dentales y dar tiempo a la boca para adaptarse a su nueva posición. Los ortodoncistas nos recomiendan llevar los retenedores día y noche, especialmente en esta etapa. Esto minimiza cualquier movimiento dental no deseado y asegura que las correcciones se mantengan. Es un compromiso a corto plazo para obtener beneficios duraderos.
Duración del uso de los retenedores dentales
No hay una respuesta única a la pregunta cuánto tiempo hay que usar retenedores dentales, ya que depende del tipo de retenedor que elijas:
- Los retenedores fijos obviamente no se retiran.
- En cuanto a los retenedores removibles, se deben llevar día y noche durante el tiempo que tu ortodoncista indique. Pasado el periodo de adaptación, se llevarán únicamente por la noche.
El uso de los retenedores dentales debe seguir las indicaciones del ortodoncista para obtener los mejores resultados posibles. En general, se aconseja usar retenedores fijos de forma continua durante al menos un año después de retirar los aparatos. Sin embargo, muchas veces la recomendación es usarlos de manera permanente.
Después de la fase inicial, los retenedores removibles deben usarse principalmente por la noche para mantener los dientes en su lugar. Visitas regulares al ortodoncista ayudarán a supervisar la efectividad de los retenedores y decidir si necesitan reemplazo.
Factores que influyen en la duración
Varios factores pueden afectar cuánto tiempo necesitarás usar retenedores dentales. Uno de los principales factores es el tipo de retenedor que usas. Los retenedores fijos pueden durar años con el cuidado adecuado.
- Retenedores fijos: Duración indeterminada, invisibles y cómodos.
- Retenedores removibles: Necesitan ser reemplazados periódicamente.
Otro factor es la situación individual de cada paciente. Los dientes se mueven durante toda nuestra vida. ¿Por qué no tomar medidas para mantenerlos en su lugar?
El mantenimiento es esencial. Los retenedores fijos se mantienen con el cepillado normal. Los removibles requieren un poco más de atención. El paso del tiempo y el uso pueden hacer que los retenedores pierdan su rigidez y efectividad. Es importante visitar al dentista regularmente para revisar los retenedores y hacer ajustes si es necesario.
Consejos del ortodoncista
El ortodoncista es tu mejor fuente de información y orientación sobre el uso de retenedores. Seguir sus recomendaciones te ayudará a mantener la alineación de tus dientes después del tratamiento de ortodoncia.
- Higiene: Usa un cepillo de dientes suave y agua tibia para limpiar los retenedores.
- Evita la pasta dental: Algunos ingredientes pueden dañar el material del retenedor. Usa jabón suave o una solución de limpieza recomendada por tu ortodoncista.
El ortodoncista puede ajustar el tiempo que necesitas usar retenedores según tu situación específica. Los retenedores removibles permiten cierta flexibilidad, así que aprovecha esa comodidad. Recuerda que la supervisión regular del ortodoncista es fundamental para asegurar que tu tratamiento sea exitoso. La prevención y el mantenimiento son esenciales para una sonrisa saludable y alineada.
Riesgos de no usar retenedores
Muchos de los pacientes que acuden a consulta presentan el mismo caso: de jóvenes solían usar brackets u otro tipo de ortodoncia pero, por culpa de un sistema de retención inadecuado o porque no han llevado retenedores tras la ortodoncia, sus dientes se han vuelto a mover. Por lo tanto, si no usas retenedores dentales después de llevar brackets u otro tipo de ortodoncia, es muy probable que tengas que volver a realizar otro tratamiento ortodóntico en el futuro, porque tus dientes se habrán movido de nuevo.

¿Cómo lavar los retenedores dentales?
Si quieres saber cómo lavar los retenedores removibles, debes usar agua fría y jabón neutro después de quitarlos y antes de volver a colocarlos. Limpiar los retenedores no solo los mantiene en buen estado, sino que también elimina los malos olores. Un buen mantenimiento es fundamental para alargar la duración de los retenedores dentales. Recomendamos que se cambien regularmente, aproximadamente cada 6 o 9 meses.
¿Cuánto cuesta un retenedor dental?
El precio de los retenedores dentales puede variar en función de si este es fijo o removible. Además, hay otros factores que pueden influir en el precio de los retenedores, cómo los materiales de los que esté hecho, la clínica o especialista al que acudas, etc. A continuación mostramos una estimación:
- Retenedores fijos precio: El precio de los retenedores fijos va desde los 100€ hasta los 200€, aproximadamente.
- Retenedores removibles precio: El precio de los retenedores transparentes o removibles: desde los 150€ hasta los 250€ aproximadamente.
Beneficios a largo plazo de usar retenedores dentales
Como hemos mencionado a lo largo de este artículo, uno de los principales beneficios a largo plazo de usar retenedores dentales es la conservación de la alineación perfecta de nuestros dientes. Después de un tratamiento de ortodoncia, los dientes tienden a moverse con el tiempo, ¿no es cierto? Para mantener esa sonrisa alineada y bonita, el uso continuo de un retenedor es esencial.
Veamos algunos puntos clave:
- Mantener resultados: Un retenedor asegura que los resultados del tratamiento de ortodoncia se mantengan en su lugar.
- Prevenir desplazamientos: Ayuda a evitar que los dientes vuelvan a sus posiciones originales.
- Proteger la inversión: Considerando el costo de los tratamientos dentales, usar un retenedor nos ayuda a proteger esa inversión.
Utilizar el retenedor a diario puede parecer un poco incómodo al principio, pero se convierte rápidamente en una rutina.
Prevención de tratamientos adicionales
Otra gran ventaja es la prevención de futuros tratamientos dentales. Los retenedores pueden reducir la necesidad de procedimientos adicionales que podrían ser costosos y dolorosos. En lugar de regresar al ortodoncista porque los dientes se han movido nuevamente, los retenedores nos mantienen un paso adelante.
Esto significa:
- Reducir costos: Menos visitas al dentista significan menos gastos.
- Menos molestias: Evitamos la incomodidad de llevar aparatos ortopédicos nuevamente.
- Evitar complicaciones: Al mantener los dientes en su lugar, prevemos posibles problemas dentales futuros.
El uso del retenedor nos ahorra tiempo, dinero y preocupaciones a largo plazo.
Mejora de la salud bucal
El uso de retenedores no solo protege la alineación dental, también promueve una mejor salud bucal en general. Una mordida bien alineada facilita una mejor higiene bucal, ya que es más fácil limpiar y mantener los dientes libres de placa y caries.
Esto resulta en:
- Prevención de caries: Menos acumulación de placa significa menos riesgo de caries.
- Encías saludables: Mejora la salud de las encías al reducir la inflamación y la gingivitis.
- Menos desgaste: Ayuda a evitar el desgaste desparejo de los dientes.
Un buen ejemplo es que cepillar y usar hilo dental es mucho más efectivo cuando los dientes están en la posición correcta. ¿No es genial cómo un pequeño dispositivo puede ayudar tanto?
Impacto estético y funcional
Por último, no podemos olvidar el impacto estético y funcional de usar retenedores. Una sonrisa recta no solo es atractiva, sino que también ayuda en la función oral. Cuando nuestros dientes están correctamente alineados, podemos hablar y masticar de manera más eficiente.
tags: #alambre #contencion #ortodoncia