El mundo de los retoques estéticos ha alcanzado gran popularidad entre los famosos, y las carillas dentales se han convertido en una opción recurrente para lograr una sonrisa perfecta. En los últimos años, esta tendencia ha ganado aún más adeptos, especialmente entre los rostros conocidos de 'La Isla de las Tentaciones'.

En este artículo, exploraremos cómo algunos de los participantes de este famoso reality show han recurrido a las carillas dentales para transformar su sonrisa, incluyendo a Álex Girona, María Aguilar y otros.
Álex Girona y su Nueva Sonrisa
Álex Girona, exnovio de Marieta, es uno de los rostros de 'La Isla de las Tentaciones' que ha optado por las carillas dentales. Al igual que María Aguilar, decidió ponerse carillas tras su paso por República Dominicana.
Marieta, su exconcursante de 'Supervivientes', ha opinado sobre el resultado de las carillas dentales de Álex Girona. "Me gusta la sonrisa de carillas", asegura la novia de Suso Álvarez, a la cual le gustaría un resultado muy natural en sus dientes, no de "cantante de reguetón", tal y como ella misma aclara.
María Aguilar: Motivos de Salud y Estética
Desde que María Aguilar saltó a la fama, su físico ha sido muy cuestionado, especialmente una parte de su rostro de la que ha decidido hablar sin tapujos. Al igual que ha contado todas sus operaciones y retoques estéticos, la que fuera concursante de ‘La isla de las tentaciones’ desvela el motivo de salud por el que se ha visto obligada a ponerse carillas en sus dientes.
Conocedora de que es un tema que se ha puesto sobre la mesa en muchas ocasiones, la influencer ha dado el paso de explicar el problema que sufrió en sus dientes hace unos años. Después de los rumores de una infidelidad por parte de David Vaquero, la de Málaga cuenta cómo tomó la decisión de someterse a este retoque, ya que era “algo que tenía que cambiar”.
A través de su canal de mtmad, María Aguilar ha explicado la historia que se esconde tras sus carillas, uno de los aspectos de su físico que más se ha comentado en redes sociales. La malagueña cuenta toda la verdad y responde a todos sus ‘haters’.
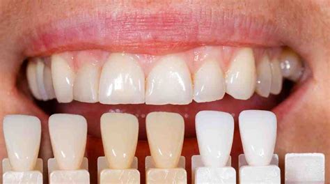
Tipos de Carillas Dentales | Lo que nadie te cuenta | Composite, Porcelana y Zirconio 🦷✨"
Otros Participantes y sus Retoques Estéticos
La segunda edición de 'La isla de las tentaciones' ha marcado un antes y un después para sus participantes. Y es que el número de seguidores de sus cuentas en redes sociales ha subido como la espuma e incluso son varios los que se han sometido a retoques estéticos para "mejorar" su imagen.
Carillas dentales, inyecciones de botox, tratamientos...
- Cristian Jerez: El concursante de 'La isla de las tentaciones' se ha retocado los pómulos y los labios.
- Melodie Peñalver: Su expareja sorprendió revelando que se había inyectado ácido hialurónico en los labios y colocado hilos tensores en los ojos para conseguir una "mirada felina".
- Borja González: El participante de ‘La isla de las tentaciones’ visitó una clínica estética hace poco más de un mes y a través de un vídeo del doctor encargado de hacerle el retoque descubrimos el impresionante antes y después del novio de Ana Solma.
Alex Caniggia y su "Parrilla" Dental
La sonrisa de Alex Caniggia, uno de los concursantes más polémicos de esta nueva edición de ‘Gran Hermano VIP’, ha sido comentada tanto por sus compañeros de edición como por la audiencia. El argentino está orgulloso con su nueva “parrilla” de dientes, los cuales decidía arreglar este verano, sustituyendo sus viejas carillas por unas nuevas, parecidas a las que usa el cantante Nicky Jam.
Caniggia decidió limar sus dientes para ponerse carillas dentales. Esta técnica, totalmente anticuada está cada día más desaconsejada, pues en la actualidad existen técnicas de sin limado, mucho más naturales y respetuosas con la boca del paciente; como las de disilicato de litio.
El tratamiento le ha llevado a perder incluso uno de sus dientes, tal y como se ha podido ver a través de las impactantes imágenes en las que él mismo no oculta la realidad de sus dientes reales.
Por las palabras del odontólogo que llevó su caso, su “parrilla” quizás no fuese la más adecuada a su boca.
“Recuerden que si bien hay patrones universales de belleza que ya están demostrados por la ciencia, en gran parte es subjetiva y depende de varios factores como culturales y el entorno donde uno se desenvuelve diariamente. Por lo tanto, uno puede aconsejar al paciente en base a simetría, proporciones (proporción áurea), ejes, forma, tamaño, color, translucidez, textura, etcétera, pero en definitiva es el paciente quien decide qué tipo de dientes desea tener”, explica su dentista a través de las redes.
Consideraciones Finales
Las carillas dentales se han convertido en una herramienta popular para mejorar la estética dental, especialmente entre los famosos. Sin embargo, es crucial considerar los motivos detrás de esta decisión, ya sean estéticos o de salud, y buscar un tratamiento que se ajuste a las necesidades y expectativas individuales. Como hemos visto en los casos de Álex Girona, María Aguilar y Alex Caniggia, cada experiencia es única y refleja la diversidad de opciones y resultados en el mundo de la odontología estética.