La hiperplasia gingival (HG) es una condición que se manifiesta como un aumento en el volumen de la encía, afectando tanto su altura como su grosor. Esta condición representa una respuesta tisular exagerada ante diversos estímulos, que se caracteriza histológicamente por la proliferación de elementos celulares y matriz extracelular. A diferencia de otros agrandamientos gingivales como el edema o la hipertrofia (aumento del tamaño celular), la hiperplasia implica un aumento real en el número de células, principalmente fibroblastos, aunque clínicamente estos términos suelen utilizarse de manera intercambiable.
Las consecuencias de un agrandamiento gingival pueden incluir dolor en la masticación, alteración en la deglución, trastornos del habla, hemorragia gingival, alteraciones periodontales y alteraciones en la oclusión. La gravedad del agrandamiento gingival está correlacionada con una higiene bucal deficiente.
Entre las causas que agravan la hiperplasia gingival se encuentra la mala higiene bucal que provoca la acumulación de biofilm dental por encima y por debajo de las encías. En el acto de combatir la infección causada por el biofilm, las encías se agrandan hasta el punto de sangrar. La falta de higiene resultante de la incapacidad de mantener un cuidado adecuado de los dientes conduce a un aumento de la concentración bacteriana.
La hiperplasia también puede surgir debido al embarazo, como consecuencia de los cambios hormonales a los que normalmente está sometida la mujer embarazada. Cuando el estado inflamatorio gingival está causado por una de estas situaciones, se observará una regresión de la propia hiperplasia a medida que se trate y mejore la condición.
Además, existen otros factores de riesgo que pueden influir en la aparición y desarrollo del agrandamiento gingival como la edad (los niños y los adolescentes son más susceptibles) y la predisposición genética.

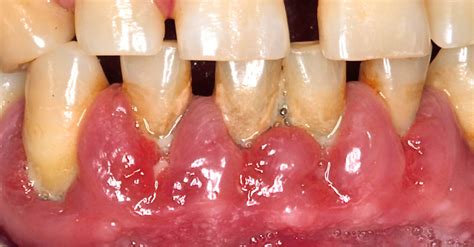
Ejemplo visual de hiperplasia gingival.
Medicamentos Asociados a la Hiperplasia Gingival
Existen también ciertos compuestos farmacéuticos que han sido identificados como moléculas directamente responsables de la aparición de la hiperplasia gingival. Esta relación se ha establecido sobre todo en respuesta al uso de anticonvulsivantes (fenitoína), antagonistas del calcio (nifedipino) e inmunosupresores selectivos (ciclosporina), aunque también se ha asociado con otros fármacos.
- Anticonvulsivantes: Fármacos anticonvulsivantes, particularmente la fenitoína (Dilantín), pueden provocar hiperplasia gingival en aproximadamente 50% de los pacientes, manifestándose generalmente tras 2-3 meses de tratamiento. Su principal indicación es tratar o prevenir diferentes tipos de convulsiones, como ocurre con los pacientes epilépticos.
- Bloqueadores de canales de calcio: Los bloqueadores de canales de calcio, utilizados en hipertensión y angina, especialmente nifedipino, amlodipino y verapamilo, causan hiperplasia en 15-20% de pacientes, con mayor prevalencia en hombres y jóvenes. El nifedipino es un bloqueante de los canales de calcio y está indicado para pacientes con hipertensión o con angina de pecho crónica estable; tiene una incidencia de agrandamiento gingival muy variable, entre el 0,5% y el 83%. Existen otros medicamentos de la misma familia como diltiazem, verapamilo o amlodipino que también podrían producir el mismo efecto adverso aunque con menor incidencia.
- Inmunosupresores: Los inmunosupresores como ciclosporina, utilizada en trasplantados y condiciones autoinmunes, provocan hiperplasia en hasta 30% de adultos y 70% de niños tratados. Este medicamento actúa sobre citoquinas reguladoras, incrementando producción de colágeno y reduciendo su degradación. La ciclosporina es un inmunosupresor que se utiliza para suprimir la respuesta inmune y así prevenir el rechazo asociado a trasplantes de órganos sólidos (por ejemplo, trasplante renal) y trasplantes de médula ósea. Además, también se usa en otras enfermedades que requieren esta inmunosupresión, como son la artritis reumatoide, el síndrome nefrótico u otras patologías dermatológicas. La incidencia de agrandamiento gingival en los pacientes que utilizan ciclosporina varía entre el 7 y el 70%.
Estos fármacos, aunque tienen acciones diferentes y se utilizan para distintas patologías, tienen en común que , aunque el mecanismo no está del todo determinado. El aumento del volumen de la encía aparece generalmente a partir de los tres meses del inicio de la administración del fármaco, y ocurre con más incidencia en la parte anterior mandibular, sobre todo en la encía marginal y en la papila, de forma que crecen ligeramente y sangran con facilidad. A medida que incrementa el tiempo de administración y/o la dosis del fármaco, el agrandamiento gingival será aún mayor, pudiendo producirse las alteraciones funcionales y estéticas anteriormente descritas.
Gingivitis ulcerosa necrosante (GUN): una enfermedad gingival dolorosa
Amlodipino e Hiperplasia Gingival
El amlodipino es un antagonista del calcio, por su estructura química es una dihidropiridina. Los calcioantagonistas actúan en los canales lentos de calcio (localizados preferentemente en el miocardio y en la musculatura lisa vascular), pero el amlodipino es, sobre todo, vasodilatador.
El amlodipino se utiliza para:
- Hipertensión arterial, como monoterapia o combinado (A: hipertensión arterial en niños de 6-17 años).
- Hipertensión arterial en niños <6 años (E: off-label).
- Hipertensión arterial, como monoterapia o combinado, en niños de 6-17 años, pero en dosis >5 mg/día (E: off-label).
- Angina de pecho estable y vasoespástica (por vasodilatación coronaria) (E: off-label en niños y adolescentes).
Entre los efectos secundarios de los AC se incluye la HG. Este efecto adverso se ha relacionado especialmente con el nifedipino, aunque también ha sido descrito con el uso de verapamil, diltiazem, nitrendipino, felodipino y amlodipino, entre otros1. Aunque la frecuencia de este efecto secundario es difícil de estimar hay estudios que dan cifras de incidencia del 20%2 en pacientes con la toma de nifedipino, otros aportan cifras del 6,3%3 con este fármaco; en el caso del amlodipino se ha estimado una prevalencia del 3,3%4. También se ha descrito una mayor frecuencia de aparición de la HG con la toma de AC en varones que en mujeres, con una incidencia 3 veces superior3.
Signos y Síntomas
La apariencia típica incluye aumento de volumen gingival que inicialmente afecta papilas interdentales, pudiendo progresar hacia encía marginal y adherida. Aparece el dolor, cuyo tipo e intensidad puede variar, el enrojecimiento del tejido gingival, el sangrado, etc. La coloración puede oscilar desde rosa pálido en hiperplasias predominantemente fibrosas hasta rojo intenso en casos con componente inflamatorio significativo.
Las dificultades para higiene oral adecuada generan ciclo autoperpetuante donde hiperplasia facilita acumulación de placa, intensificando inflamación y exacerbando crecimiento tisular. La erupción dental retardada o impedida por tejido hiperplásico suprayacente representa complicación significativa en niños, potencialmente alterando secuencia eruptiva normal y desarrollo oclusal.
Diagnóstico
La identificación de medicaciones asociadas con hiperplasia gingival requiere revisión exhaustiva de tratamientos actuales y pasados, incluyendo duración, dosificación y combinaciones farmacológicas. Los antecedentes familiares detallados permiten identificar patrones sugestivos de fibromatosis hereditaria, especialmente útil en casos pediátricos donde manifestaciones pueden ser iniciales. La cronología de desarrollo resulta fundamental, documentando inicio, velocidad de progresión y correlación con eventos específicos (inicio de medicación, cambios hormonales, colocación de aparatología ortodóncica). La palpación bi-digital proporciona información sobre consistencia, grado de fibrosis y presencia de nódulos o alteraciones estructurales no evidentes visualmente.
Tratamiento de la Hiperplasia Gingival Inducida por Fármacos
El tratamiento del agrandamiento gingival inducido por fármacos debe abordar diferentes aspectos:
- Mejora de la higiene bucal: El control riguroso de placa bacteriana mediante instrucción meticulosa de higiene, instrumentación profesional frecuente y enjuagues antimicrobianos (clorhexidina 0.12%) puede reducir significativamente componente inflamatorio, disminuyendo volumen tisular en hiperplasias con componente reactivo importante. Esta medida puede ser eficaz en pacientes con agrandamiento gingival leve o moderado. Se debe realizar en clínica dental, mediante raspado y alisado radicular, y en el domicilio, con buena higiene bucal y el uso de antisépticos con clorhexidina.
- Sustitución del fármaco: Si la hiperplasia es inducida por fármacos, la modalidad de intervención consiste en el control médico, con la reducción o interrupción del fármaco causante del agrandamiento y su sustitución por otro equivalente. La modificación farmacológica, cuando factible, representa intervención fundamental en hiperplasias medicamentosas. Así, la fenitoína podría sustituirse por carbamazepina o ácido valproico, la ciclosporina por tacrolimus y el nifedipino por otro antagonista del calcio con menor riesgo como el verapamilo. En cualquier caso, debe ser el médico quien realice la evaluación beneficio/riesgo de la posible sustitución. Es la medida más eficaz. Para algunas sustituciones, ha supuesto la regresión a la casi normalidad en 4 meses. Esta medida no siempre puede aplicarse ya que el buen control de otra patología con la medicación que ha provocado el agrandamiento puede hacer que no sea aconsejable su cambio. Después, es necesario esperar entre 6 y 12 meses para que las encías vuelvan a su tamaño normal. La inflamación debe tratarse por separado mediante una terapia no quirúrgica.
- Intervención quirúrgica: Si la terapia no quirúrgica resulta insuficiente, el dentista puede recurrir a la gingivectomía o a la cirugía plástica mucogingival. En casos más severos y cuando no sea posible aplicar las medidas anteriores, puede estar indicada la escisión del exceso de tejido y restauración del contorno gingival mediante una . La operación no suele tener ninguna contraindicación particular, y muestra un buen éxito cuando se utilizan técnicas especiales como el láser, que reduce la hemorragia local. La gingivectomía convencional con bisturí, eliminando tejido hiperplásico hasta obtener contorno gingival fisiológico, representa técnica tradicional efectiva. Indicada principalmente en hiperplasias fibróticas establecidas con pseudobolsas sin pérdida de inserción significativa. Las técnicas quirúrgicas con láser (diodo, CO2, Er:YAG) ofrecen ventajas como hemostasia simultánea, menor dolor postoperatorio, reducción de tiempo operatorio y efecto antimicrobiano adicional. La electrocirugía proporciona corte y coagulación simultáneos, resultando útil en tejidos muy vascularizados. Existe el riesgo de recidivas si no se retira la medicación que provocó el agrandamiento gingival en hasta un 40% de los pacientes.

Ejemplo de tratamiento quirúrgico para la hiperplasia gingival.
Consideraciones Adicionales
El mantenimiento periodontal intensivo, con revisiones cada 2-3 meses durante primer año post-tratamiento, resulta esencial para control de recurrencia, particularmente en casos asociados a medicaciones que no pueden suspenderse. La alteración significativa de la sonrisa por exposición excesiva de encía, asimetría gingival o cambios en coloración y textura puede impactar severamente autoestima, especialmente en adolescentes y adultos jóvenes.
Los problemas de higiene oral adecuada representan consecuencia inmediata, generando ciclo donde dificultad para limpieza interdental y marginal favorece mayor inflamación, exacerbando hiperplasia existente. El asesoramiento psicológico puede resultar necesario en casos donde impacto estético ha generado alteraciones significativas en conducta social, autoestima o calidad de vida. La educación específica sobre etiología, particularmente en casos medicamentosos, ayuda a comprender naturaleza de condición, reduciendo estigma autoimpuesto y mejorando adherencia a régimen terapéutico global.
La coexistencia de múltiples factores predisponentes (ciclosporina, bloqueadores de calcio, higiene comprometida) crea escenario de alto riesgo para desarrollo de hiperplasia severa. El impacto psicosocial adquiere relevancia particular durante adolescencia, período crucial para desarrollo de autoestima e identidad. La polifarmacia frecuente incrementa riesgo de interacciones medicamentosas y efectos sinérgicos sobre tejido gingival.
Los inhibidores selectivos de citoquinas proinflamatorias y factores de crecimiento fibroblástico en formulaciones tópicas representan línea prometedora de investigación para prevención y tratamiento coadyuvante, particularmente en hiperplasias medicamentosas. Los moduladores selectivos de metaloproteinasas de matriz (MMPs), enzimas responsables de remodelación del colágeno, buscan restablecer equilibrio entre síntesis y degradación de matriz extracelular, componente fundamental en patogénesis de hiperplasia fibrótica.
Tabla Resumen de Medicamentos Asociados a la Hiperplasia Gingival
| Medicamento | Incidencia Aproximada | Uso Principal |
|---|---|---|
| Fenitoína | 50% | Anticonvulsivante |
| Nifedipino | 0.5% - 83% | Bloqueador de canales de calcio, antihipertensivo |
| Amlodipino | 3.3% | Bloqueador de canales de calcio, antihipertensivo |
| Ciclosporina | 7% - 70% | Inmunosupresor |
tags: #amlodipino #hiperplasia #gingival