Seguramente el término diastema no sea muy común en tu léxico, por lo cual desconozcas su significado. El diastema dental es el espacio que existe entre dos dientes. Habitualmente se produce entre los incisivos delanteros. Sin embargo, durante los últimos años se ha puesto de moda y algunas personas prefieren mantener este espacio, sobre todo cuando está entre los dos dientes frontales.

La palabra diastema en odontología se utiliza para designar al espacio entre piezas dentales adyacentes, mismo que ha sido resultado del proceso de dentición mixta. En el proceso de desarrollo y crecimiento, un diastema puede ocurrir en más niños de los que te imaginas. Un estudio reciente señaló que aproximadamente el 98 % de los niños en edades de 6 o 7 años presentará un diastemas dentales.
Ahora bien, para tranquilidad de muchos, menos del 10 % de los adolescentes conservarán un diastema en su dentadura. Si bien un diastema no supone un verdadero problema de salud, para algunas personas puede resultar poco estético. Además, para conservar una dentadura sana, quienes presenten esta diferencia bucal deben tener una higiene minuciosa. Por eso, es posible que existan quienes decidan someterse a un tratamiento que mejore el aspecto de su dentadura.
Causas del Diastema Dental
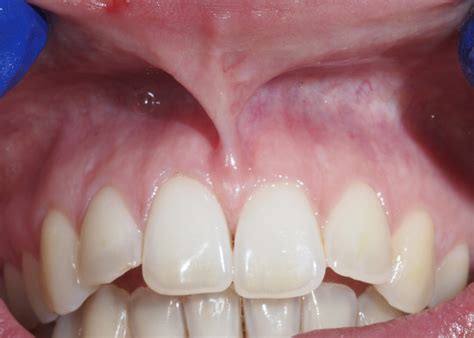
Un diastema puede ocurrir debido a un desorden en la formación y tamaño de los dientes. En otros casos el diastema se forma por un desequilibrio del tamaño de los dientes, por la falta temporal de uno o varios dientes, y también por poseer un frenillo labial demasiado grande. El frenillo labial es el tejido que va desde el interior del labio superior hasta la encía, coincidiendo con el espacio entre los dos incisivos superiores.

También puede ser causado por:
- Hábitos de succión.
- Hiperactividad lingual o Macroglosia.
Tratamientos para Corregir el Diastema
Nuestros especialistas proponen diferentes tratamientos para corregir los efectos del diastema. Pero, para poder tomar la decisión sobre el tratamiento a usar, es necesario acudir a consulta con el dentista para realizar varias pruebas, como fotografías de la cavidad oral, radiografías, etc.
Entre los tratamientos más comunes se encuentran:
- Utilizar una ortodoncia.
- Carillas de porcelana.
- Implantes.
- Cirugía de frenillo. También llamada frenectomía. Esta cirugía se recomienda para solucionar tanto problemas en el habla como de posición dental.
- Dejarlo como está.
Una solución que pueden indicar los dentistas es la colocación de carillas dentarias. La odontología estética aplica estas láminas, que pueden estar hechas de composite o porcelana, para hacer la corrección de esta separación. Este tipo de tratamiento será indicado en los casos donde el tamaño de los dientes sea en extremo desproporcionado con el maxilar. Un diastema en estas circunstancias puede ser general o localizarse en determinado lugar de la cavidad bucal.
También es común el uso de los dispositivos de corrección dentaria cuando se desea eliminar un diastema. Ahora bien, puede que un especialista en odontología recomiende la combinación de uno o más tratamientos. Cuando la causa de un diastema dental es el gran tamaño del frenillo bucal, entonces se requerirá una cirugía para su corrección.
Ahora bien, la corrección de dientes separados con brackets por un crecimiento desproporcionado del frenillo necesita más que esta cirugía. En estos casos, será necesaria la aplicación de otro tratamiento, generalmente la ortodoncia.
Ortodoncia
Ya sea con los brackets tradicionales, los linguales o la ortodoncia invisible, se trata del tratamiento más utilizado para corregir el diastema.
El Diastema y la Moda
Son muchos los casos en los que estas celebrities, del mundo del cine, moda y televisión, en los que han logrado que este “problema estético” se haya vuelto un punto a su favor, llegando a convertirlo en una moda. Uno de los casos más populares en los que un famoso puso de moda el diastema es el de Madonna, quien ha permanecido fiel a su diastema.

A lo largo del tiempo, ha habido personas famosas con un diastema dental. Cómo olvidar a la famosa Brigitte Bardot, que se convirtió en un símbolo de la moda en sus tiempos. Artistas con fama más reciente también lucen con orgullo este rasgo de su dentadura y sin restar su belleza. Por ejemplo, nadie podría decir que Anna Paquin es menos hermosa porque tiene un diastema dental entre sus incisivos superiores.
Diastema: Los dientes de moda.
Aquí hay algunos artistas cuyo rostro está irremediablemente asociado a su diastema:
- Madonna
- Anna Paquin
- Lara Stone
- Vanessa Paradis
- Elijah Wood
- Luis Miguel
- Jessica Hart
- Brigitte Bardot
- Georgia Jagger

Por otro lado, ha habido casos de famosos que han decidido corregir esta separación de los dientes, por una u otra razón. Zac Efron se cambió su dentadura, pues durante su edad temprana sufrió bullying a causa de esta diferencia en su aspecto.
Riesgos de Crear un Diastema Artificial
Provocarse el diastema para parecerse a las celebrities es una moda peligrosa. Los expertos desaconsejan la nueva moda de provocarse diastema y 'doble diente' pese a su auge actual. Esta nueva moda puede provocar molestias a nivel cervical, dolores de cabeza e, "incluso, escoliosis".
El tratamiento con esta técnica supone un coste económico de 3.000 euros, tanto para separar los dientes como para juntarlos. Al realizar esta intervención, se pierde el engranaje perfecto de los dientes y se producen una serie de anomalías. "Los músculos de la cara y del cuello tiran más de un lado que de otro, y esto afecta a caderas, rodillas y tobillos. Todo el sistema muscular se altera provocando molestias articulares", asegura el propietario de las Clínicas Iván Malagón Ortodoncia, el doctor Iván Malagón.
Consideraciones Finales
Un diastema no es un grave problema de salud que amerite una intervención inmediata. Aunque hay algunas personas que deciden iniciar un tratamiento como los mencionados, no resulta siempre así. Mantener un diastema dental por moda es algo bastante común en la actualidad.
La buena higiene dental es fundamental si decides conservar un diastema entre las piezas dentales de tu boca. Ahora bien, crear un diastema entre tus dientes solo con el fin de encajar en un patrón popular no es conveniente. La modificación de la dentadura puede conllevar alteraciones bucales y extra bucales que pueden resultar en dolor, entre otros síntomas.
La decisión de corregir o no esta separación, dependerá de la persona. Con la ayuda de un especialista en odontología, se podrá determinar los beneficios de la corrección en la dentadura.