¿Te imaginas transformar tu sonrisa de manera rápida y efectiva? Las carillas estéticas son un tratamiento muy demandado, ya que dan un cambio espectacular a la sonrisa en muy poco tiempo. En Clínica Manzanera, nos enorgullecemos de transformar sonrisas y devolver la confianza a nuestros pacientes.

A continuación, te presentamos fotografías de casos reales de carillas dentales antes y después realizados en nuestra clínica.
¿Qué son las Carillas Dentales?
Las carillas dentales han ido ganando popularidad a medida que la técnica de colocación y los materiales han evolucionado hasta ofrecer una solución estética natural y duradera. Estas final láminas que se adhieren a la superficie de los dientes son completamente seguras para tu sonrisa. Aunque existen otros tratamientos estéticos, las carillas dentales permiten a aquellos pacientes con manchas, fracturas o dientes separados disfrutar de una sonrisa armónica y natural a través de un procedimiento sencillo.
En este sentido es importante destacar que el número de carillas variará en función de cuántos dientes muestre el paciente al sonreír.
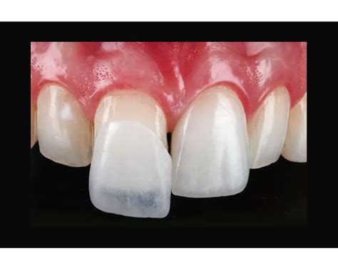
Tipos de Carillas Dentales
Existen dos tipos de carillas: las de porcelana y las de composite. Si dudas qué material es mejor para ti, si las carillas de porcelana o de composite, te ayudamos a resolver tus dudas. Las carillas de composite también tienen una gran demanda y los resultados son muy estéticos y naturales. Si prefieres una opción más rápida, las carillas de composite, son una solución ideal. Este tratamiento, elegido por muchos para lograr una sonrisa de revista en poco tiempo, suele completarse en una sola sesión.
Las carillas de porcelana son una excelente opción para quienes buscan una sonrisa impecable, como la de muchas celebridades.

Casos de Éxito: Antes y Después
En la clínica dental Ferrus & Bratos ponemos a tu disposición las fotos de antes y después tras un tratamiento con carillas dentales para que puedas comprobar el cambio que ya disfrutan muchos de nuestros pacientes. En Dobleese, hemos transformado la sonrisa de numerosos pacientes gracias a las carillas dentales. Todos los casos reales presentados han sido realizados en Dobleese y por Dobleese y su equipo. Cada caso expuesto cuenta con el consentimiento y autorización del paciente para su publicación.
Caso 1: Marta y la Solución a las Troneras
Marta llevaba meses pensando en llevar a cabo ese tratamiento que iba a mejorar con creces su sonrisa. Ahora, no sabe cómo no dio antes este paso. Las troneras son pequeños huecos de forma triangular producidos en ocasiones por la separación entre dientes. Las carillas solucionaron este y otros problemas estéticos.
Caso 2: Tiago y el Cambio Estético
Tiago es otro de nuestros pacientes que necesitaba un cambio en su sonrisa.
Caso 3: Santiago y la Armonía Dental
Santiago consultó con nuestros especialistas cómo mejorar la funcionalidad y el aspecto de sus dientes, puesto que hacía mucho tiempo que deseaba tener una sonrisa más armónica. Una vez finalizada la ortodoncia y la cirugía de implantes, comenzaba la fase final. Esta consistió en aclarar el color de los dientes con un blanqueamiento y colocar carillas para mejorar la forma de algunos dientes.
Caso 4: Diego y la Corrección de Diastemas
Diego no se sentía a gusto con su sonrisa, por lo que se puso en manos de nuestro equipo. En el diagnóstico, la doctora Cristina Tordera observó que tenía diastemas y el tamaño de algunas piezas era más pequeña de lo habitual.
Caso 5: Alicia y la Mordida Correcta
Alicia se puso en manos de la doctora Cristina Tordera porque no estaba del todo a gusto con su sonrisa. Tras un estudio de su boca, nuestra ortodoncista identificó un problema de mordida abierta anterior y también mordida cruzada. Una vez corregida su oclusión, la paciente se informó sobre los tratamientos de Estética Dental y obtener, así, su sonrisa ideal. Además, y con el fin de nivelar su sonrisa, nuestra paciente quiso colocarse carillas estéticas en sus incisivos laterales.
Caso 6: María Isabel y el Tratamiento Combinado
María Isabel acudió a nuestra clínica dental con el objetivo de mejorar su sonrisa. Aunque su idea inicial era ponerse directamente carillas de porcelana, nuestro equipo era consciente de que para ofrecerle una opción duradera y conseguir alcanzar un resultado estético óptimo lo primero era alinear su sonrisa a través de la ortodoncia invisible. Tras un estudio personalizado, nuestro equipo le propuso un tratamiento combinado de ortodoncia y estética dental. Después de 23 meses de ortodoncia, le aconsejamos realizarse un blanqueamiento dental combinado. Es recomendable realizar un blanqueamiento antes de colocar las carillas y así lograr un tono más claro y uniforme de la sonrisa. Gracias a una buena base inicial, podemos asegurar una apariencia más natural y evitar contrastes entre las carillas y los dientes naturales.
Caso 7: Agustín y el Oscurecimiento Dental
Cuando Agustin acudió a Ferrus & Bratos presentaba un oscurecimiento dental por tetraciclinas. Este medicamento ampliamente usado en los años 80 provoca entre sus efectos secundarios alteraciones en el color de los tejidos dentarios. Lo primero fue comenzar con un tratamiento de ortodoncia invisible durante 12 meses y antes de colocarse las carillas de porcelana le realizamos un blanqueamiento dental para garantizar el resultado más óptimo. Solo hay que ver las fotos después de las carillas dentales de Agustín para comprobar que el gran cambio que vivió y cómo tras un tratamiento integral en coordinación de todas las especialidades odontológicas conseguimos ofrecerle la sonrisa que siempre había soñado.
Caso 8: Manuel y la Maloclusión Moderada
Gracias a la recomendación de un familiar, Manuel vino a Ferrus & Bratos con una maloclusión moderada y con el objetivo de corregir todos los aspectos de su sonrisa que no le gustaban. Por ello, tras un primer estudio completo de su salud bucodental trazamos un tratamiento completo que combinaba ortodoncia invisble, blanqueamiento y carillas dentales. Manuel quería un tratamiento de ortodoncia discreto por lo que optamos por la ortodoncia invisible. Tras finalizar su tratamiento con nuestro equipo de ortodoncistas, conseguir colocar todas las piezas en su sitio y corregir el problema de mordida que presentaba inicialmente. Este primer paso, era esencial para conseguir una base más estable y duradera para las carillas y evitar problemas a largo plazo. Si observamos las fotos con carillas dentales de Manuel, podemos ver un gran cambio ya no solo en su sonrisa si no en todo su aspecto facial.
Caso 9: Lucía y la Planificación Integral
El caso de Lucía requería una planificación integral, así que planificamos su tratamiento entre varios especialistas. Combinamos ortodoncia, gingivectomía, blanqueamiento y colocación de microcarillas de porcelana.

El Proceso Detallado: Paso a Paso
Desde la primera consulta hasta el resultado final, te acompañamos en cada paso del camino. Antes de colocar las carillas se efectúa un estudio y diagnóstico personalizado. Lo cierto es que antes de realizar un cambio significativo en nuestra imagen a todos nos gustaría conocer el resultado final.
1. Diagnóstico y Planificación
En la primera cita, llevamos a cabo varias pruebas diagnósticas para entender en detalle la situación del paciente. Procedemos a realizar un escaneo 3D de la anatomía de sus dientes y encías, capturando una imagen precisa que servirá como base para todo el proceso.
2. Diseño Digital de la Sonrisa
En la imagen intermedia, se superpone el diseño digital de las futuras carillas sobre el estado actual, mostrando una vista previa del resultado esperado.
3. Preparación y Colocación
Antes de realizar un alargamiento coronario y un blanqueamiento dental, se ha tratado al paciente con férula para centrar la ATM.
Beneficios Adicionales de las Carillas Dentales
- Corrección de Imperfecciones: Las carillas dentales son ideales para corregir imperfecciones como dientes desalineados, fracturados, con manchas o decoloración.
- Resultados Inmediatos: Este tratamiento ofrece resultados inmediatos y altamente estéticos.
- Mejora de la Confianza: Como ves, las carillas dentales consiguen dar un cambio radical a la sonrisa, mejorando con creces su estética y haciendo que los dientes sean más blancos y brillantes. Las carillas dentales cambian sonrisas y confianza.

Tratamientos Combinados
Después de completar el tratamiento de ortodoncia con Invisalign, damos un paso más hacia la sonrisa perfecta. Estos tratamientos combinados no solo permiten una personalización precisa para cada paciente, sino que también ofrecen durabilidad y una apariencia natural y brillante.
Materiales y Tecnología Avanzada
Los materiales actuales ofrecen una estética superior, gracias a su capacidad para reflejar la luz, sus transparencias más realistas y una anatomía dental que imita con mayor precisión la naturaleza de los dientes. En Clínicas Den planificamos cada caso con la tecnología digital más avanzada para garantizar resultados naturales, duraderos y predecibles.
Consideraciones Finales
El coste del tratamiento depende tanto del tipo de carilla que elijas como de la cantidad de dientes a restaurar. Es importante destacar que los resultados del blanqueamiento dependen de la pigmentación original de la persona, y de sus hábitos alimenticios y de higiene.
Si quieres ver más fotos de pacientes antes y después de ponerse carillas dentales, te animamos a consultar nuestra galería de pacientes que se han realizado este tratamiento para lograr una sonrisa altamente estética.
Como has podido comprobar, hay un antes y un después con las carillas dentales en Barcelona. Reserva tu cita y descubre cómo podemos mejorar tu sonrisa desde la primera visita.
¡No fumes!
Tabla Comparativa de Tipos de Carillas
| Tipo de Carilla | Material | Duración del Tratamiento | Ventajas | Desventajas |
|---|---|---|---|---|
| Porcelana | Cerámica | 2-3 semanas (3-4 visitas) | Aspecto impecable, durabilidad | Mayor coste |
| Composite | Resina compuesta | 1 sesión | Más rápido, más económico | Menor durabilidad, puede mancharse |
DISEÑO DE SONRISA EN RESINA ESTRATIFICADO✨ #diseñodesonrisa #smiledesign #carillas #carillasdentales
We speak English!!!