La agenesia dental es la ausencia congénita de uno o varios dientes, un problema que puede pasar desapercibido hasta que comienza a afectar la estética o la salud de la persona. La agenesia dental sucede cuando uno o varios dientes no se forman durante el desarrollo. Se ha observado que la herencia familiar es un componente importante.
La agenesia dental, más comúnmente conocida como ausencia de dientes, puede ser un diagnóstico muy preocupante para los pacientes. No saber por qué le falta un diente o qué tipo de tratamiento necesita puede ser abrumador y preocupante para la salud. Afortunadamente, entender la agenesia dental y los tratamientos disponibles hoy en día puede ayudar a dar una mayor tranquilidad.
La agenesia dental es una afección en la que faltan uno o varios dientes permanentes. Puede afectar a un diente, a varios o a todos. La gravedad suele variar de una persona a otra, pero suele ser más pronunciada cuando faltan todos los dientes permanentes. Esta afección puede estar causada por factores genéticos, ambientales o ambos.
La agenesia dental, o ausencia congénita de dientes, es una enfermedad frecuente que afecta a niños y bebés. Se produce cuando algunos dientes no se desarrollan durante el desarrollo embrionario. La causa exacta de la agenesia dental sigue siendo en gran parte desconocida. Sin embargo, muchos expertos creen que podría deberse a factores genéticos o a la exposición ambiental a ciertas toxinas durante la gestación. Los estudios han revelado que aproximadamente 1 de cada 6 personas en Estados Unidos padece este trastorno.
La agenesia dental en adultos se caracteriza por la ausencia de uno o más dientes permanentes en la boca y, aunque suele observarse en niños debido a la genética, también puede darse en la edad adulta. Sí, la agenesia dental puede heredarse de cualquiera de los dos progenitores. Se calcula que los factores hereditarios pueden explicar hasta el 68% de los casos de ausencia congénita de dientes. En algunos casos, la enfermedad está relacionada con mutaciones genéticas específicas que se transmiten de padres a hijos.
Se desconoce la causa exacta de la agenesia dental, aunque hay varios factores que pueden contribuir a su desarrollo. Se cree que la causa más común son las mutaciones genéticas, y muchos casos se producen como parte de un patrón hereditario entre miembros de una misma familia. Desde el punto de vista medioambiental, algunas investigaciones han sugerido posibles asociaciones con el bajo peso al nacer, el tabaquismo materno durante el embarazo y la edad paterna avanzada en el momento de la concepción. Además, una nutrición deficiente durante el desarrollo de los dientes también puede provocar la falta de uno o más dientes.
Los síntomas más comunes de la agenesia dental pueden observarse tanto en la dentición primaria como en la permanente, y es la forma más común de ausencia congénita de dientes. Entre los dientes más afectados se encuentran los terceros molares (muelas del juicio), los segundos premolares, los incisivos laterales y los incisivos centrales maxilares y mandibulares.
Las personas con agenesia dental pueden experimentar diversos síntomas relacionados con la falta de dientes, como dificultad para hablar y masticar debido a la maloclusión, una sonrisa o mordida desiguales, disminución de la autoestima debido a problemas estéticos e incluso posibles dolores mandibulares causados por la desalineación de los maxilares superior e inferior.
Este tipo de agenesia se caracteriza por la ausencia de un diente permanente debido a la no formación durante el desarrollo. Este tipo de agenesia se caracteriza por la ausencia de dos o más dientes permanentes adyacentes debido a la no formación durante el desarrollo. Este tipo de agenesia se caracteriza por la ausencia severa (más de cuatro) tanto de dientes primarios como permanentes debido a la no formación durante el desarrollo.
La hipodoncia, también conocida como agenesia parcial de los dientes, es una afección en la que faltan uno o más dientes de la arcada dental. Es la forma más común de anomalía dental del desarrollo y puede darse tanto en la dentición primaria como en la permanente. La oligodoncia, una forma más rara de agenesia dental, se caracteriza por la ausencia de seis o más dientes permanentes. La anodoncia se define como la ausencia completa de todos los dientes y se da en menos del 0,2% de la población. Esta afección puede causar problemas funcionales, estéticos y psicológicos a las personas afectadas.
El método más común es el uso de implantes dentales protésicos. Estos dispositivos se colocan quirúrgicamente en el hueso maxilar donde normalmente se encontraría el diente y proporcionan un reemplazo artificial para el diente que falta. Otras opciones son las dentaduras postizas y las dentaduras parciales, que son sustitutos extraíbles de los dientes perdidos que se ajustan de forma segura dentro de la boca mediante succión o clips para su retención. Por último, existe una gama de tratamientos estéticos que pueden utilizarse para mejorar el aspecto si es necesario, como la adhesión, las carillas, la remodelación y el blanqueamiento de los dientes existentes para que parezcan más uniformes y estéticamente agradables en general.
Muchos personajes famosos también se han visto afectados por la agenesia dental. Al compositor y pianista británico Elton John le faltaron tres molares de nacimiento, mientras que la cantante y compositora Adele nació sin incisivos laterales, pero éstos fueron sustituidos por implantes durante su adolescencia. La cantante estadounidense Beyoncé Knowles nació sin dos dientes delanteros inferiores, pero su sonrisa se ha restaurado con la ayuda de prótesis dentales. La agenesia dental puede cambiarte la vida. Es importante que los pacientes sepan que es tratable y, en muchos casos, reversible. Aunque la recuperación de la agenesia dental puede requerir tiempo y dedicación, hay muchos tratamientos disponibles que pueden ayudar a restaurar la función y el aspecto estético.
¿Conoces la agenesia dental? ¿Sabes cómo se desarrolla o cuál es el tratamiento? Esta patología suele afectar a niños aunque también se ha visto agenesia en adultos y, aunque no es muy frecuente, es importante conocerla para poder tratarla a tiempo y prevenir complicaciones mayores. La agenesia dental consiste en la falta de desarrollo o formación de uno o más dientes y puede darse tanto en los dientes temporales, o de leche, como en los dientes definitivos. La agenesia dental es una patología con la que se nace, es decir, que tiene carácter congénito. Por tanto, es evidente que existe un cierto factor hereditario por lo que si los padres han presentado agenesia dental, lo más probable es que los hijos también lo hagan. Cuando se da en los niños normalmente es el diente de leche el que no cae, ya que no existe una pieza dental definitiva para sustituirlo.
También conocida como agenesia puntual, la hipodoncia consiste en la falta de 1 o hasta 6 dientes. En los casos en los que faltan más de 6 dientes se clasifica como oligodoncia o agenesia dental múltiple. Ante esta patología, es importante tener en cuenta que lo primero es el diagnóstico precoz. Afortunadamente existen hoy en día numerosos tratamientos que suponen, ante una agenesia, un antes y un después. La agenesia dental no tiene porqué suponer un problema estético ni funcional para tí y los tuyos. Si quieres saber más, ponte en contacto con nosotros.
La agenesia dental, lejos de ser un problema raro o anecdótico, afecta a personas de todo el mundo, incluidas figuras públicas que han compartido abiertamente su experiencia.
Aunque la agenesia dental afecta a personas de toda condición, cuando son celebridades quienes la padecen y hablan de ello, el tema cobra gran interés. A continuación, exploramos algunos casos notables:
La Princesa Leonor
Se ha comentado en distintos medios que la Princesa Leonor presentaba la ausencia de ciertos dientes, en particular de sus colmillos superiores, un rasgo que se hizo notar cuando comenzó a cambiar la dentición infantil por la permanente. Esta agenesia ha generado gran interés, pues la familia real suele contar con un seguimiento mediático constante.
La cruda verdad del tratamiento al que se sometió la princesa Leonor por sus colmillos

¿Cómo lo está solucionando?
Aunque no se han dado detalles oficiales, se especula que el enfoque incluye un tratamiento ortodóntico para guiar el desarrollo de los dientes permanentes y preparar, en caso necesario, la colocación de implantes o prótesis cuando la mandíbula haya terminado de crecer.
Cristiano Ronaldo
Antes de ser reconocido como uno de los mejores futbolistas del mundo, Cristiano Ronaldo tenía algunos problemas dentales, entre ellos la falta de una pieza (se ha mencionado un premolar) que afectaba la estética de su sonrisa.
¿Cómo lo solucionó?
A medida que su carrera y popularidad crecían, el futbolista decidió mejorar su dentadura. Inició ortodoncia para alinear los dientes y, tras ello, recurrió a implantes dentales y posiblemente carillas para lograr un aspecto uniforme.
María Becerra
La cantante argentina ha hablado abiertamente de la ausencia de una de sus piezas dentales, normalizando así la conversación sobre este tipo de afecciones y acercándose a seguidores que comparten problemas similares.

¿Cómo lo solucionó?
María Becerra ha indicado que combinó la ortodoncia con el uso de un implante para suplir la pieza faltante.
Tratamientos para la Agenesia Dental
Los tratamientos relacionados con la agenesia dental deben de ser interdisciplinares, por ello es importante contar con una clínica donde los profesionales estén formados en distintas especialidades como cirugía dental en Granada .
- Implantes dentales. En el caso de molares y premolares intentamos conservar el máximo tiempo posible el diente de leche para mantener el espacio durante el crecimiento y una vez expulsado naturalmente, se procede al implante.
- Ortodoncia. La forma más rápida de diagnosticar la agenesia dental es observando la ausencia de los dientes y el desarrollo de los dientes de leche.
La mayoría de famosos se han tratado la agenesia dental con implantes, ortodoncia y un posterior diseño de sonrisa con carillas.

En el mundo del espectáculo, las transformaciones de famosos con carillas dentales han sido destacadas por sus impactantes resultados. Miley Cyrus, conocida por su trayectoria en la música y el cine, optó por un tratamiento combinado de ortodoncia y carillas estéticas porcelánicas para corregir el apiñamiento dental. Tom Cruise, Lindsay Lohan y Demi Moore son ejemplos destacados de famosos que han recurrido a las carillas dentales para mejorar la estética de su sonrisa.
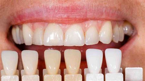
Carillas de porcelana vs. Carillas de composite
Las carillas dentales de porcelana y de composite son dos opciones populares en el mundo de la estética dental. Las carillas dentales ofrecen múltiples beneficios para corregir imperfecciones dentales y mejorar la estética de la sonrisa. Las carillas dentales son una solución estética para corregir imperfecciones en los dientes y lograr una sonrisa perfecta.
Después de someterse al proceso de colocación de carillas dentales, es fundamental seguir cuidados específicos para preservar su estética y funcionalidad a lo largo del tiempo. En el ámbito de la odontología estética, las carillas dentales se presentan como una opción accesible y efectiva para mejorar la apariencia de la sonrisa. Sin embargo, existen alternativas que pueden ser consideradas por aquellos que buscan transformar su imagen bucal. Estas finas láminas se adhieren a la superficie de los dientes, mejorando su forma, color y posición.
Además de las carillas dentales, existen otras alternativas para mejorar la estética dental. El blanqueamiento dental es una opción popular para eliminar manchas y mejorar el color de los dientes de forma no invasiva. Antes de seleccionar un tratamiento de estética dental, es fundamental tener en cuenta diversos factores que pueden influir en los resultados y la satisfacción del paciente. Desde la consulta inicial hasta las expectativas de resultados, estos elementos son clave para garantizar una elección acertada. Una sonrisa radiante es un componente esencial en la imagen personal y profesional de cualquier individuo. Una salud bucal adecuada no solo influye en la estética de la sonrisa, sino que también repercute en la salud general del individuo.
A continuación, se presenta una tabla comparativa de los tratamientos mencionados:
| Tratamiento | Descripción | Ventajas | Consideraciones |
|---|---|---|---|
| Implantes Dentales | Reemplazo artificial de dientes perdidos mediante la inserción de un dispositivo en el hueso maxilar. | Durabilidad, funcionalidad similar a la de un diente natural. | Requiere cirugía, puede ser costoso. |
| Ortodoncia | Alineación de los dientes mediante aparatos para corregir la maloclusión. | Mejora la mordida y la estética dental. | Puede requerir un tiempo prolongado de tratamiento. |
| Carillas Dentales | Láminas delgadas que se adhieren a la superficie de los dientes para mejorar su apariencia. | Mejora rápida de la estética dental, mínimamente invasivo. | Puede requerir reemplazo con el tiempo, no corrige problemas de mordida. |
| Blanqueamiento Dental | Proceso para aclarar el color de los dientes. | Mejora la apariencia de los dientes de forma no invasiva. | Puede causar sensibilidad dental temporal. |
Con el diagnóstico adecuado y la orientación de un especialista, la agenesia no tiene por qué condicionar la calidad de vida ni la autoestima.