Tu sonrisa merece estar perfecta, pero sobre todo, merece estar cuidada. Por eso es imprescindible que conozcas los efectos que tienen ciertos antibióticos que recetamos los especialistas. Y, al igual que ocurre con otro tipo de medicamentos, con los que están relacionados con tu salud dental tampoco puedes automedicarte.
En muchas ocasiones, seguro que has conocido a alguien que decía que, ante el dolor de muela, se tomaba un antibiótico. Pero como el propio nombre indica, un antibiótico se encarga de combatir las infecciones bacterianas, por lo que su uso sin control y de manera excesiva, puede desencadenar problemas de inmunización ante su consumo.
O, lo que es lo mismo, que no te hagan ningún efecto en el futuro. A lo largo de este artículo te hablaremos del Rhodogil, uno de los medicamentos más comunes ante este tipo de infecciones. ¿Lo vemos?
😣 ¿Cómo saber si tienes una INFECCIÓN en la MUELA? ¡Descubre sus SÍNTOMAS!
Rhodogil: El Antibiótico para Infecciones Bucales Más Utilizado
Hay muchas probabilidades que al acudir a tu dentista con una infección dental te haya recetado utilizar Rhodogil. Pero, ¿exactamente para qué sirve? Es antibiótico para tratar la infección dental como puede ser una patología periodontal. Su consumo debe ser moderado, al igual que ocurre con el resto de medicamentos. Por eso solo debe recetarlo un especialista en salud bucodental.
Este antibiótico solo es efectivo para tratar la infección bucal, por eso aunque tengas Rhodogil en casa de alguna otra ocasión, jamás debes automedicarte. Cuando te duela alguna parte de la boca, ya sea por encías inflamadas, llagas u otras patologías orales, es imprescindible que acudas a tu clínica dental y averigües qué está ocurriendo ahí. Si no sufres una infección bucal y te administras un antibiótico, el dolor persistirá y tu cuerpo no agradecerá para nada la medicación.
Cada dentista es diferente, pero lo que está claro es que la ingesta de antibióticos debe realizarse únicamente en situaciones muy concretas. Los profesionales de Clínica Dental Plata tratamos a cada paciente por separado y nos ceñimos a tu situación para tratar las infecciones y que no causen más daños en tu boca.
Si quieres conocer algunas de las enfermedades que pueden ir asociadas a un antibiótico para la boca, sigue leyendo:
- Enfermedades periodontales
- Abscesos dentales
- Caries profundas
- Cirugía oral y maxilofacial
Enfermedades Periodontales
Algunas patologías dentales vienen por culpa de la presencia de bacterias en la boca que pueden generar daños graves en la estructura de tu boca. Lo que ocurre con este tipo de enfermedades es que las bacterias colonizan los tejidos del periodonto para dañarlos sin piedad.
¿Cómo se evitan estas situaciones? Acudiendo al dentista de manera regular y llevando una higiene bucodental correcta que te permita mantener los dientes limpios.
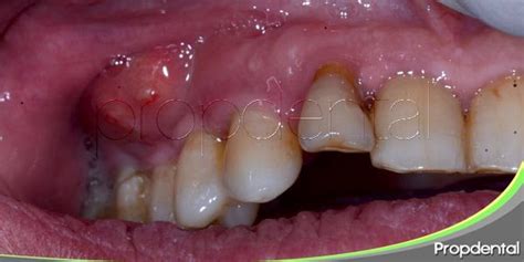
Abscesos Dentales
Los abscesos dentales, más conocidos como flemones, aparecen por la acumulación de pus en las mucosas orales. Y este pus se forma por las bacterias orales que no se han eliminado eficazmente. En este caso, el uso de un antibiótico para la infección de boca como el Rhodogil permite que se frene la infección bucal.
Caries Profundas
Las caries en sí, son enfermedades que aparecen por la presencia de bacterias y están muy relacionadas con la falta de higiene bucodental. Si la caries es leve, el problema se solventa con un empaste dental, pero, claro, cuando se trata de una caries profunda, el procedimiento es otro. En estos casos se puede haber dañado la pulpa dental, por ello, un antibiótico para infección bucal junto con una endodoncia es el mejor tratamiento posible.
Cirugía Oral y Maxilofacial
El uso de un antibiótico para la infección dental se puede utilizar para prevenir infecciones ocasionadas por bacterias. Por ello es normal que se recete Rhodogil en casos de intervenciones de cirugía oral, como las exodoncias complejas de las muelas del juicio o cordales.
El antibiótico de forma preventiva en este caso nos asegura que tras la intervención, las bacterias no puedan provocar daños en las estructuras orales.

¿Cuáles Son las Contraindicaciones del Rhodogil?
Al igual que ocurre en otros antibióticos, el Rhodogil también debe evitarse en ciertas situaciones como, por ejemplo: las personas que sufren problemas en el hígado. Aunque tampoco pueden ingerirlo las personas intolerantes a la fructosa ni las embarazadas. Además, jamás se debe tomar un tratamiento de antibióticos con bebidas alcohólicas.
Por ello, si crees que necesitas un antibiótico para tu boca, pide cita con nuestro equipo de profesionales en Clínica Dental Plata, en Alcorcón, para asegurarnos de que tu problema bucodental necesite su uso o con otro tratamiento estaría solucionado.
Amoxicilina y Metronidazol: Una Combinación Efectiva
Amoxicilina y Metronidazol son los 2 antibióticos de elección que actúan de forma sinérgica y cubren ampliamente el espectro de las bacterias periodontopatógenas. El 80% de la población tiene enfermedad periodontal crónica y otro 10% presenta la forma agresiva de la enfermedad, que destruye la encía y el hueso que rodea el diente hasta causar la pérdida dental. La diferencia entre una y otra es la rapidez de progresión de la pérdida de hueso alrededor del diente.
La periodontitis es una enfermedad crónica inflamatoria que resulta de una compleja infección polimicrobiana como resultado del desequilibrio entre la flora subgingival y las defensas del propio individuo (respuesta autoinmune), sobre todo en aquellos con un grado de susceptibilidad.
El sarro es un agregado de bacterias, minerales y restos de comida que tarda 48 horas (2 días) en calcificarse y adherirse al diente. Antes de calcificarse, los restos de comida blanda se depositan encima del diente formando la placa bacteriana, que es un cúmulo blanquecino blando muy fácil de eliminar con el cepillado.
Si en 48 horas no eliminamos la placa bacteriana blanda, esta se calcifica y se convierte en sarro, que ya solo es posible de eliminar mediante la higiene dental o raspado realizados en la consulta dental. Por esto, es tan importante que los pacientes que padecen esta enfermedad tengan una higiene dental diaria minuciosa mediante cepillo dental o eléctrico, cepillos interproximales o irrigadores. Y que en cuanto detecten formación de sarro calcificado en su boca, acudan a su dentista para eliminarlo cuanto antes, ya que es la presencia de este sarro lo que provoca la pérdida de hueso y del diente, y es determinante para el inicio de la enfermedad.
Como la mayoría de enfermedades crónicas vinculadas a la respuesta inmunológica del paciente, la periodontitis también depende de factores hereditarios, susceptibilidad individual, enfermedades sistémicas y otros factores de riesgo del paciente, como son el tabaco, el embarazo, la diabetes, la epilepsia, el uso de aerosoles en asmáticos, las cardiopatías, las broncopatías, inmunodeprimidos y/o defectos en la inmunidad…
La búsqueda de los microorganismos causantes de las enfermedades periodontales ha sido motivo de estudio durante los últimos 100 años. Se considera que existen más de 700 especies bacterianas en la microbiota oral.
Algunas de ellas se encuentran en los biofilms dentales y otras están presentes en las superficies de los tejidos blandos que sustentan a los dientes o en ambos tipos de tejidos. Así, las poblaciones microbianas implicadas en la enfermedad periodontal se reconocen como altamente complejas, variables y todavía no completamente identificadas aunque se considera que hay organismos clave reconocidos como responsables de la progresión de la enfermedad periodontal.
Diferentes autores consideran que las bacterias más frecuentemente aisladas como causantes de enfermedad periodontal son anaerobios del tipo: Actinobacillus actinomycetemcomitans, Porphyromonas gingivalis/endontalis, Prevotella intermedia, Eikenella corrodens, Fusobacterium nucleatum, Peptostretococcus micros, Streptococcus constellatus, S. intermedius, S. mitis/oralis, Staphylococcus aureus, candidas entre otras.
Existen diversos métodos para identificación de poblaciones microbianas presentes en pacientes con enfermedad periodontal o con posibilidad de enfermedad futura. Dichos métodos se basan en la utilización de técnicas directas, las cuales ponen de manifiesto el agente causal, o técnicas indirectas, que se basan en poner de manifiesto la respuesta inmune específica que se desencadena como consecuencia.
Actualmente en la clínica dental es posible tomar muestras de la placa bacteriana del paciente y enviarlas para realizar un estudio microbiológico mediante cultivo, PCR y antibiograma y así identificar de forma precisa las bacterias presentes e indicar de forma individualizada y personalizada la mejor antibioticoterapia para el paciente.
En caso de no realizar antibiograma, la bibliografía indica como antibioticoterapia de elección para periodontitis agresivas o severas la toma de AMOXICILINA 500MG y METRONIDAZOL 500MG cada 8h durante 10 días, y siempre realizando de forma concominante un tratamiento local que elimine el sarro supra y subgingival del paciente. Así combatimos de forma sistémica y localizada la infección.
Cabe destacar el efecto antabús del metronidazol con el alcohol y es necesario alertar a los pacientes. Por otro lado, la forma farmacéutica actual de metronidazol en las farmacias es de 250mg y no de 500mg, así que los pacientes deberán tomar 2 comprimidos de metronidazol y 1 comprimido de amoxicilina, siempre con receta médica y supervisión del médico o dentista. Puede ser necesario administrar protector gástrico, y es necesario tener en mente que no se puede administrar en embarazadas, y puede haber interacciones con el disulfiram y la warfarina.
Infección Bucodental: Microorganismos y Tratamiento
Se han identificado numerosos factores de riesgo: susceptibilidad genética, consumo de azúcares refinados, deficiente higiene bucal, traumatismos locales continuados, fracturas y laceraciones (piercings), malnutrición etc. La mayoría de las infecciones orofaciales son de origen odontogénico, originándose en las estructuras que forman el diente y el periodonto.
En general, son problemas locales autolimitados, aunque ocasionalmente pueden traspasar por contigüidad los espacios profundos de cabeza y cuello (infecciones del espacio parafaríngeo), causar osteomielitis, y provocar complicaciones sistémicas. Las infecciones odontógenas generalmente son de origen polimicrobiano a partir de la flora habitual de la cavidad oral y en general solo precisan tratamiento local (antisepsia, drenaje, desbridamiento) combinado con una adecuada analgesia. La antibioterapia debe reservarse para cuando existen signos de propagación de la infección, siendo de elección la amoxicilina. Siempre se debe recomendar una buena higiene bucal, base de la prevención.
Las infecciones que requieran tratamiento antibiótico deben ser revaloradas a las 48-72 horas ya que la progresión de la infección en el niño puede ser muy rápida. El objetivo principal de este texto es la infección dentoalveolar (pulpitis, infección periapical, flemón/absceso dental) y la enfermedad periodontal.
Microorganismos Causantes
La siguiente tabla muestra los microorganismos más y menos frecuentes en diferentes entidades infecciosas:
| Entidades | Frecuentes | Menos frecuentes |
|---|---|---|
| Caries | Streptococcus del grupo mutans (S. mutans, S. sobrinus) | Lactobacillus spp, Rothia mucilaginosa y Veionella parvula |
| Infección dentoalveolar: pulpitis, infección periapical, flemón/celulitis/absceso | Aerobios: Streptococcus spp, Streptococcus grupo viridans, Eikenella corrodens Anaerobios: Peptostreptococcus spp, Prevotella spp, Fusobacterium spp, Porphyromonas spp, Bacteroides spp | Aerobios: Staphylococcus spp, Corynebacterium spp, Campylobacter, Neisseria spp, Actinomyces spp, Lactobacillus spp Anaerobios: otros |
| Enfermedad periodontal: Gingivitis inducida por placa, Gingivitis no inducida por placa, Periodontitis, Periodontitis necrotizante, Periodontitis asociada a enfermedad sistémica | Porphyromonas gingivallis, Aggregatibacter Actinomycetemcomitans, Tannerella forsythia, Spirochetas, Prevotella intermedia, Dialister pneumosintes/invisus, Eubacterium nodatum, Treponema denticola | Campylobacter rectus, Peptostreptococcus micros, Fusobacterium nucleatum, Selenomonas noxia, Eikenella corrodens |
| Angina de Ludwig | Habitualmente polimicrobiana Streptococcus viridans, Peptostreptococcus spp | Otros: Fusobacterium nucleatum, Bacteroides pigmentados: Prevotella melaninogenica, Actinomyces spp. |
Tratamiento Antimicrobiano Empírico
La siguiente tabla resume las indicaciones y alternativas de tratamiento antimicrobiano empírico:
| Indicaciones | Primera Elección | Alternativas |
|---|---|---|
| Si la infección local se extiende rápidamente, síntomas de afectación sistémica: fiebre, debilidad general, postración, paciente con factores de riesgo, patología dentaria traumática (únicamente avulsión dentaria) | Amoxicilina 40-50 mg/kg/día (máx. 500 mg/dosis), en 3 dosis, VO. | Si alergia a penicilinas: Azitromicina 10 mg/kg/día, dosis única (máx. 500 mg), VO. Metronidazol 30mg/kg/día (máx. 500 mg/dosis), en 3 dosis, VO. Si enfermedad grave: Amoxicilina/clavulánico 100 mg/kg/día (de amoxicilina), en 3 dosis, IV (máx. 4g/día amoxicilina máx. 375 mg/día clavulánico) |
| Si no hay mejoría en 48 horas | Asociar metronidazol 15-30 mg/kg/día, en 3 dosis (máx 500 mg/dosis), VO/IV o clindamicina 20-40 mg/kg/día (máx. 2,7g día, si riesgo vital 4,8 g/día), en 3-4 dosis, IV | |
| Si inmunocomprometidos | Meropenem 20 mg/kg/8h (máx 2 g dosis) en 3 dosis Cefepime 50 mg/kg/8h (máx 2 g dosis) + metronidazol 15-30 mg/kg/día, en 3 dosis (máx 500 mg/dosis) VO/IV o clindamicina 20-40 mg/kg/día, en 4 dosis, IV | |
| Angina de Ludwig | Preservar la vía aérea Siempre antibioterapia Considerar drenaje quirúrgico | Ceftriaxona 50-100 mg/kg/día en 1-2 dosis (max. 2g/dosis) junto con metronidazol 20-40 mg/kg/día, en 3-4 dosis, IV o clindamicina 20-40 mg/kg/día, en 4 dosis, IV Valorar asociar dexametasona 0,6mg/kg IV cada 6h durante 48h |
| Si alergia a penicilinas | Meropenem 20 mg/kg/8h (máx. 2 g dosis) en 3 dosis |

tags: #antibiotico #para #dientes #infectados