Los elásticos en ortodoncia, también conocidos como gomas, son esenciales para lograr un resultado óptimo en tu tratamiento con aparatos dentales. Si sigues las indicaciones de tu ortodoncista y utilizas las gomas correctamente, el éxito de tu tratamiento con brackets está garantizado, permitiéndote lucir una sonrisa espectacular.

¿Qué son las Gomas para Ortodoncia?
Existen dos tipos principales de elásticos en ortodoncia:
- Gomas utilizadas para unir elementos específicos en ciertos tipos de ortodoncia.
- Gomas utilizadas para corregir problemas de mordida.
Nos centraremos en detalle en las gomas utilizadas para corregir problemas de mordida.
Gomas Elásticas Intermaxilares
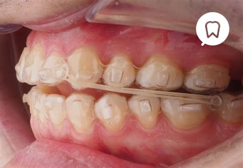
Los elásticos intermaxilares, comúnmente llamados gomas, son elementos auxiliares que facilitan movimientos dentales específicos. Se emplean en tratamientos con aparatos para corregir diversos problemas de maloclusión. Su colocación varía según el objetivo y la fase del tratamiento, siempre bajo la supervisión de un profesional.
Las gomas son pequeñas y discretas, fabricadas en látex, silicona o materiales similares. Pueden ser circulares u ovaladas, dependiendo de su uso, y generalmente son transparentes o de colores neutros, aunque también existen opciones de colores para hacer la ortodoncia más divertida.
¿Cómo se Colocan las Gomas en la Ortodoncia?
Los elásticos pueden usarse en la mayoría de los tipos de ortodoncia, incluyendo brackets tradicionales y tratamientos de ortodoncia invisible y estética. Se colocan entre las dos arcadas dentales para ejercer la tensión necesaria que corrige los problemas de mordida.

¿Cómo se Utilizan los Elásticos Intermaxilares?
Los elásticos se enganchan a los hierros de ambas arcadas, uniendo la superior e inferior para ejercer presión y corregir la mordida, algo que los brackets no pueden lograr por sí solos. Es crucial seguir las instrucciones de tu ortodoncista al colocar los elásticos, ya que una colocación incorrecta puede prolongar el tratamiento.
ELÁSTICOS INTERMAXILARES: ¿Cuándo y cómo utilizar?
5 Consejos para un Correcto Uso de los Elásticos
Para asegurar el éxito de tu tratamiento, sigue estos consejos:
- Usa las gomas el tiempo prescrito: No reducir el tiempo de uso para evitar demoras en el tratamiento.
- Sé constante: El uso debe ser diario para lograr resultados efectivos.
- Lleva las gomas la mayor parte del día: Retíralas solo para comer e higienizar tu boca.
- Renueva las gomas cada 24 horas: Las gomas pierden elasticidad, así que cámbialas regularmente.
- Compensa si las usas menos tiempo un día: Intenta añadir horas extra al día siguiente.
Es normal sentir ligeras molestias al principio, pero recuerda que esto indica que tus dientes se están moviendo hacia la posición correcta. Si algún día no puedes usarlas el tiempo necesario, compensa al día siguiente.
Importancia de los Elásticos en la Corrección de la Mordida
Los elásticos intermaxilares son fundamentales para corregir problemas de mordida como la sobremordida, la submordida y la mordida cruzada. Estos problemas pueden afectar la apariencia de tu sonrisa, tu capacidad para masticar y hablar correctamente.
El uso adecuado de los elásticos puede prevenir problemas a largo plazo, como el desgaste desigual de los dientes, dolores en la mandíbula y trastornos de la articulación temporomandibular (ATM). En Novasmile Alicante, garantizamos que cada paciente reciba instrucciones precisas para el uso de sus elásticos, asegurando un tratamiento efectivo y eficiente.
Tipos de Problemas que Corregigen los Elásticos Intermaxilares
Dependiendo de la severidad y el tipo de maloclusión, tu ortodoncista te indicará el uso de elásticos específicos para tratar:
- Sobremordida: Dientes superiores que cubren excesivamente los dientes inferiores.
- Submordida: Dientes inferiores que sobresalen más allá de los dientes superiores.
- Mordida cruzada: Algunos dientes superiores cierran por dentro de los dientes inferiores.
- Mordida abierta: Dientes superiores e inferiores no se tocan al morder.

Beneficios Adicionales de Usar Elásticos en Ortodoncia
Además de corregir problemas de mordida, el uso de elásticos en ortodoncia ofrece otros beneficios significativos:
- Mejoran la alineación general de los dientes.
- Aceleran el progreso del tratamiento ortodóntico.
- Contribuyen a una mejor salud bucal a largo plazo, facilitando la limpieza y reduciendo el riesgo de caries y enfermedades periodontales.
Compromiso y Responsabilidad del Paciente
El éxito de los tratamientos de ortodoncia con el uso de elásticos depende en gran medida del compromiso y la responsabilidad del paciente. Es fundamental seguir las indicaciones del ortodoncista y ser diligente en el uso diario de los elásticos. La colaboración entre el paciente y el profesional es esencial para alcanzar los mejores resultados en el menor tiempo posible.
En Novasmile Alicante, estamos aquí para apoyarte en cada paso del camino. Nuestro equipo de expertos te proporcionará todas las herramientas y el conocimiento necesario para que tu tratamiento sea un éxito. Recuerda, una sonrisa hermosa y saludable es el resultado de un esfuerzo compartido.
Ajuste y Revisiones de Brackets
El Proceso de Ajuste de los Brackets
El ajuste de los brackets es un procedimiento esencial en el tratamiento de ortodoncia. Implica la manipulación de los alambres y brackets para asegurar que los dientes se muevan en la dirección deseada, corrigiendo la alineación dental y mejorando la mordida. Durante una cita de ajuste, el ortodoncista puede cambiar los alambres o apretar los existentes, componentes que aplican presión a los dientes, guiándolos hacia la posición correcta. Este proceso puede causar cierta incomodidad, pero es crucial para el éxito del tratamiento.
El ajuste de los brackets no solo se limita a los alambres. Los elásticos o ligaduras también juegan un papel importante, manteniendo los alambres en su lugar y siendo reemplazados o ajustados durante las citas.
Componentes Clave en el Ajuste
Los componentes principales que se ajustan durante una cita incluyen:
- Alambres: Se cambian o ajustan para aplicar la presión adecuada.
- Ligaduras: Se reemplazan para asegurar que los alambres estén bien sujetos.
- Elásticos: Se utilizan para corregir problemas de mordida y se ajustan según sea necesario.
Frecuencia de las Revisiones de Brackets
La frecuencia con la que se deben revisar los brackets varía según el caso individual del paciente. Sin embargo, la mayoría de los ortodoncistas recomiendan visitas cada 4 a 6 semanas. Estas citas regulares son cruciales para monitorear el progreso y realizar los ajustes necesarios.
En algunos casos, los pacientes pueden necesitar visitas más frecuentes debido a la complejidad del caso o la necesidad de realizar ajustes más precisos. La comunicación con el ortodoncista es vital para determinar la frecuencia adecuada de las visitas.
Factores que Influyen en la Frecuencia
Varios factores pueden influir en la frecuencia de las revisiones, tales como:
- Complejidad del caso: Casos más complejos pueden requerir ajustes más frecuentes.
- Edad del paciente: Los adolescentes pueden necesitar ajustes más frecuentes debido a su rápido crecimiento.
- Cooperación del paciente: El uso adecuado de elásticos y el mantenimiento de la higiene pueden afectar la frecuencia de las visitas.
Importancia de las Revisiones Regulares
Las revisiones regulares son fundamentales para el éxito del tratamiento de ortodoncia. Sin ajustes periódicos, los brackets no pueden guiar los dientes a la posición deseada de manera efectiva, lo que podría prolongar el tiempo total del tratamiento.
Beneficios de las Revisiones Frecuentes
Algunos de los beneficios de mantener un calendario regular de revisiones incluyen:
- Progreso constante: Asegura que los dientes se muevan según lo planeado.
- Detección temprana: Identifica problemas antes de que se agraven.
- Educación continua: Proporciona información valiosa sobre el cuidado de los brackets.
Limpieza de Brackets y Prevención de Manchas en las Ligaduras
Selección Adecuada de Materiales
Es esencial elegir ligaduras hechas de materiales resistentes a las manchas. Aunque el color transparente o blanco puede ser visualmente atractivo, estos colores tienden a mostrar manchas más fácilmente. Se recomienda considerar el uso de ligaduras de colores más oscuros o de materiales avanzados diseñados específicamente para resistir la pigmentación.
Estrategias Dietéticas para Evitar Manchas
Para minimizar las manchas en las ligaduras de los brackets, es crucial moderar el consumo de ciertos alimentos y bebidas. Alimentos como el curry, y bebidas como el café y el vino tinto, poseen pigmentos intensos que pueden adherirse a las ligaduras. Evitar el tabaco es también fundamental, ya que el alquitrán y la nicotina son agentes altamente pigmentantes.
Higiene Oral Rigurosa
Mantener una higiene oral meticulosa es vital para prevenir las manchas en las ligaduras. Se recomienda cepillarse después de cada comida utilizando un cepillo de dientes con cerdas suaves. El uso de hilo dental especial para ortodoncia y enjuagues bucales sin colorantes también puede ser beneficioso para mantener las ligaduras limpias.
Consultas Regulares con su Ortodoncista
Las visitas regulares al ortodoncista son cruciales. Durante estas visitas, se pueden realizar ajustes necesarios y cambiar las ligaduras, lo cual es una oportunidad perfecta para reemplazar cualquier ligadura que haya comenzado a mostrar signos de decoloración.
Preguntas Frecuentes de Pacientes
Aquí respondemos algunas preguntas comunes sobre brackets y ligaduras:
- ¿Los brackets se pueden oxidar? Los brackets de acero inoxidable de buena calidad no se oxidan fácilmente.
- ¿Cada cuánto se deben cambiar las ligas de los brackets? Generalmente, cada 4 a 6 semanas durante las visitas al ortodoncista.
- ¿Qué pasa si no me cambio las ligas de los brackets? Pérdida de eficacia y riesgo de acumulación de placa.
- ¿Por qué las ligas de los brackets cambian de color? Alimentos y bebidas, y falta de higiene bucal.
- ¿Cómo blanquear las gomas de los brackets? Es difícil, lo mejor es prevenir las manchas con una buena higiene.
- Las ligas de mis brackets se pusieron amarillas, ¿Cómo sacar lo amarillo de las gomitas de brackets? Cámbialas durante tu próxima visita.
- ¿Cuánto cuesta cambiar las ligas para brackets? Generalmente, el costo está incluido en el tratamiento ortodóntico.
Siguiendo estas recomendaciones, podrás mantener tus brackets limpios y estéticamente agradables durante todo tu tratamiento de ortodoncia.

Recuerda que el uso correcto de los elásticos y una higiene bucal adecuada son clave para un tratamiento de ortodoncia exitoso. ¡Confía en tu ortodoncista y sigue sus consejos para lograr la sonrisa que siempre has deseado!
| Tipo de Elástico | Frecuencia de Cambio | Motivo |
|---|---|---|
| Ligaduras | Cada 4-6 semanas | Pérdida de elasticidad y decoloración |
| Elásticos Intermaxilares | Cada 24 horas | Pérdida de elasticidad |
tags: #cada #cuanto #cambiar #gomas #ortodoncia