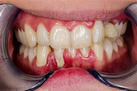
Las encías sangrantes son un signo común de inflamación, también conocida como gingivitis. Este problema suele ser causado por la acumulación de placa bacteriana en la línea de las encías.

Causas del Sangrado de Encías
La principal causa del sangrado de encías es una higiene bucal deficiente. Millones de bacterias habitan en nuestra boca, y cuando hay un desequilibrio, las bacterias dañinas pueden causar inflamación. Esta inflamación es la gingivitis.
El Papel de la Placa y el Sarro
Los restos de comida blanda se depositan sobre el diente formando la placa bacteriana, que es un cúmulo blanquecino blando muy fácil de eliminar con el cepillado. Si en 48 horas no eliminamos la placa bacteriana blanda, esta se calcifica y se convierte en sarro, que ya solo es posible de eliminar mediante la higiene dental o raspado realizados en la consulta dental.
Si no se elimina la placa bacteriana, se endurece formando sarro, que solo puede ser removido por un profesional dental. La superficie rugosa del sarro es un paraíso para las bacterias, que segregan sustancias tóxicas que atacan las encías, provocando inflamación.
¿Cuándo Acudir al Médico?
Si el sangrado de las encías no desaparece en una semana, debe acudir al dentista para ver si tiene periodontitis u otra enfermedad. Las encías sanas son de color rosa pálido y no sangran.
Tratamientos Profesionales para Encías Sangrantes
En Face Clinic y otras clínicas dentales, los especialistas realizan una evaluación completa para determinar la causa subyacente del sangrado de encías. Los tratamientos pueden incluir:
- Evaluación Dental Completa: Un examen exhaustivo es el primer paso para identificar la causa del sangrado.
- Limpiezas Dentales Profesionales: Se recomienda una limpieza dental profunda si el sangrado es causado por la acumulación de placa y sarro.
- Tratamientos Antiinflamatorios: Podemos prescribir enjuagues antibacterianos o medicamentos antiinflamatorios para reducir la inflamación y el dolor en las encías.
- Terapia con Láser: Utilizamos tecnología láser para tratar áreas infligidas por enfermedad periodontal.
- Instrucciones sobre Higiene Bucal: Es fundamental educar a los pacientes sobre técnicas adecuadas de cepillado y uso del hilo dental.
Antibióticos para el Tratamiento de la Periodontitis
La periodontitis es una enfermedad crónica inflamatoria que resulta de una compleja infección polimicrobiana como resultado del desequilibrio entre la flora subgingival y las defensas del propio individuo (respuesta autoinmune), sobre todo en aquellos con un grado de susceptibilidad.
En casos de periodontitis agresivas o severas, se puede recurrir a antibióticos. La bibliografía indica como antibioticoterapia de elección para periodontitis agresivas o severas la toma de AMOXICILINA 500MG y METRONIDAZOL 500MG cada 8h durante 10 días, y siempre realizando de forma concominante un tratamiento local que elimine el sarro supra y subgingival del paciente. Así combatimos de forma sistémica y localizada la infección.
Amoxicilina y Metronidazol son los antibióticos de elección que actúan de forma sinérgica y cubren ampliamente el espectro de las bacterias periodontopatógenas.
Actualmente en la clínica dental es posible tomar muestras de la placa bacteriana del paciente y enviarlas para realizar un estudio microbiológico mediante cultivo, PCR y antibiograma y así identificar de forma precisa las bacterias presentes e indicar de forma individualizada y personalizada la mejor antibioticoterapia para el paciente.
Consideraciones Importantes
- Efecto Antabús: Cabe destacar el efecto antabús del metronidazol con el alcohol y es necesario alertar a los pacientes.
- Forma Farmacéutica: Por otro lado, la forma farmacéutica actual de metronidazol en las farmacias es de 250mg y no de 500mg, así que los pacientes deberán tomar 2 comprimidos de metronidazol y 1 comprimido de amoxicilina, siempre con receta médica y supervisión del médico o dentista.
- Precauciones: Puede ser necesario administrar protector gástrico, y es necesario tener en mente que no se puede administrar en embarazadas, y puede haber interacciones con el disulfiram y la warfarina.
Microorganismos Causantes de la Enfermedad Periodontal
La búsqueda de los microorganismos causantes de las enfermedades periodontales ha sido motivo de estudio durante los últimos 100 años. Se considera que existen más de 700 especies bacterianas en la microbiota oral.
Diferentes autores consideran que las bacterias más frecuentemente aisladas como causantes de enfermedad periodontal son anaerobios del tipo: Actinobacillus actinomycetemcomitans, Porphyromonas gingivalis/endontalis, Prevotella intermedia, Eikenella corrodens, Fusobacterium nucleatum, Peptostretococcus micros, Streptococcus constellatus, S. intermedius, S. mitis/oralis, Staphylococcus aureus, candidas entre otras.
Existen diversos métodos para identificación de poblaciones microbianas presentes en pacientes con enfermedad periodontal o con posibilidad de enfermedad futura. Dichos métodos se basan en la utilización de técnicas directas, las cuales ponen de manifiesto el agente causal, o técnicas indirectas, que se basan en poner de manifiesto la respuesta inmune específica que se desencadena como consecuencia.
Factores de Riesgo y Susceptibilidad
Como la mayoría de enfermedades crónicas vinculadas a la respuesta inmunológica del paciente, la periodontitis también depende de factores hereditarios, susceptibilidad individual, enfermedades sistémicas y otros factores de riesgo del paciente, como son el tabaco, el embarazo, la diabetes, la epilepsia, el uso de aerosoles en asmáticos, las cardiopatías, las broncopatías, inmunodeprimidos y/o defectos en la inmunidad…
Los factores hereditarios o la susceptibilidad individual es difícil o imposible de controlar o modificar.
¡SOLUCIÓN PARA EL SANGRADO DE ENCÍAS! | ¿POR QUÉ SANGRAN LAS ENCÍAS? Y ALGUNAS RECOMENDACIONES
Higiene Bucal: La Clave para Prevenir el Sangrado de Encías
Es fundamental que los pacientes con enfermedad periodontal mantengan una higiene dental diaria minuciosa mediante cepillo dental o eléctrico, cepillos interproximales o irrigadores.

Y que en cuanto detecten formación de sarro calcificado en su boca, acudan a su dentista para eliminarlo cuanto antes, ya que es la presencia de este sarro lo que provoca la pérdida de hueso y del diente, y es determinante para el inicio de la enfermedad.
Otras Causas del Sangrado de Encías
El sangrado de las encías no siempre tiene que estar causado por una inflamación. Si te has resbalado con el hilo dental y lo has introducido accidentalmente en las encías con demasiado ímpetu, puede producirse sangrado. Si esto ocurre, se trata de una lesión. Algunas personas también se quejan de sangrado de encías y dolor después de una limpieza dental profesional . Las heridas en las encías suelen ser inofensivas.
Aquí hay otras posibles causas:
- Infección fúngica Oral thrush
- Infecciones víricas como Herpes , Epstein-Barr o citomegalia
- Diabetes
- Hipertiroidismo, hipotiroidismo y la enfermedad autoinmune tiroiditis de Hashimoto
- Trastornos de coagulación de la sangre
- Tumores en la zona de la mandíbula
- Cáncer de sangre leucémico
- Efecto secundario de medicamentos como los anticoagulantes
- Estrés
- Respirar por la boca
- Fluctuaciones hormonales
- Deficiencias de vitaminas C, K, D o B12
- Alergia a un material utilizado para un empaste o una dentadura postiza
¿Cómo detener el sangrado de las encías a corto plazo?
Si desea detener el sangrado de las encías, en primer lugar es importante averiguar la causa. En esta sección veremos qué puede hacer exactamente para detener el sangrado de encías a corto plazo. El tratamiento a largo plazo del sangrado de encías implica una higiene bucal completa y un estilo de vida saludable. Si padece gingivitis aguda, debe prestar especial atención a una higiene bucal exhaustiva para que la inflamación pueda curarse, lo que también incluye la limpieza diaria de los espacios interdentales.
¿Qué pasta de dientes debes utilizar si te sangran las encías?
Probablemente te estés preguntando qué pasta de dientes debes utilizar si te sangran las encías . Lo mejor es utilizar un dentífrico que ayude a eliminar las bacterias que causan la inflamación. Por ejemplo, hay dentífricos antibacterianos con clorhexidina que puedes usar además de un colutorio o gel. La pasta de dientes también debe ser suave para proteger las encías ya irritadas. Por tanto, debes evitar los agentes blanqueadores agresivos y los ingredientes, como el agente espumante químico SLS, que pueden irritar y resecar aún más las mucosas de la boca. Un dentífrico con un alto efecto abrasi...
Rhodogil: ¿Cuándo y Cómo Utilizarlo?
El Rhodogil es un antibiótico muy utilizado en odontología para tratar infecciones bacterianas, como las patologías periodontales. Está compuesto por espiramicina y metronidazol, una combinación eficaz contra las bacterias orales.
Es crucial seguir las indicaciones del dentista para la ingesta de Rhodogil, adaptándose a cada caso individual. Este medicamento puede ser prescrito en situaciones específicas, como:
- Tratamiento de infecciones periodontales (gingivitis y periodontitis).
- Flemones o abscesos dentales.
- Caries profundas que requieren endodoncia.
- Prevención de infecciones tras intervenciones de cirugía oral (exodoncias complejas).
Remedios caseros para tratar una infección en las encías
La primera reacción para tratar una infección en las encías suele ser recurrir a remedios caseros como enjuagues con sal o agua oxigenada. También se suele acudir a la farmacia para conseguir alguna medicación que permita eliminar estas molestias. Para el tratamiento de la periodontitis o para la gingivitis es necesario acudir a una clínica dental especializada en este tipo de dolencia.
Cuidados Adicionales y Consejos
- Realiza enjuagues bucales de agua tibia con sal ya que ayuda a aliviar inflamación de las encías que sangran fácilmente.
- Usa un cepillo de dientes suave, cerdas medianas y duras pueden ser demasiado abrasivo para unas encías delicadas.
- Es muy recomendable si te sangran las encías que sigas una dieta que contenga estas vitaminas. Los alimentos ricos en vitamina C incluyen: frutas y jugos cítricos, brócoli, fresas, tomates, papas, pimientos.
Si tienes un problema de sangrado de encías ven a visitarnos a nuestra clínica dental en Madrid del Dr. ¿Te ha gustado?
tags: #antibioticos #para #encias #sangrantes