La prótesis dental removible, comúnmente conocida como dentadura postiza, es un aparato muy utilizado para reponer los dientes perdidos. Las prótesis dentales son aparatos diseñados para reemplazar dientes perdidos o para restaurar dientes dañados, mejorando la salud, funcionalidad y estética de la boca.

Sin embargo, en muchos casos, no es la opción de tratamiento más óptima, ya que los implantes dentales son una alternativa más avanzada. Desde Clínica Dental Ruiz Estrada en Murcia y Elche te hablamos de prótesis dental fija vs removible, y sus ventajas e inconvenientes.
Tipos de Prótesis Dentales
Existen dos tipos principales de prótesis dentales:
- Prótesis dentales fijas: Pueden ser completas o parciales, dependiendo de la cantidad de dientes que haya que reponer. En general, son más cómodas que las prótesis removibles, ya que se atornillan o cementan a la boca de manera permanente. Por tanto, no pueden ser retiradas por el paciente y recuerdan más a los dientes naturales.
- Prótesis dentales removibles: También pueden ser completas o parciales, dependiendo de la cantidad de dientes que haya que reponer.
Antes de explicar las ventajas e inconvenientes de una prótesis dental fija respecto a una prótesis dental removible, debemos aclarar y diferenciar que hay dos tipos de prótesis, prótesis sobre dientes y prótesis sobre implantes.
Prótesis sobre dientes
Las prótesis sobre dientes se realizan sobre los dientes del paciente previamente tallados y preparados. Este procedimiento se utiliza cuando tenemos una pieza dental rota o deteriorada por alguna dolencia o por algún accidente, y tiene una función estética y funcional.
Prótesis sobre implantes
Cuando ya no se encuentra el diente o tiene una dolencia que lo hace irrecuperable, se recurre a realizar un implante directamente sobre el hueso. Dependiendo de cada caso y de la necesidad del paciente, este implante se realiza con diversas técnicas, como cirugía guiada, implante inmediato o implante de carga inmediata, entre otros.
En el caso de no haber diente, o de que el diente no se pueda restaurar, la indicación es hacer una prótesis sobre implantes. En el caso de haber dientes se puede optar por realizar una prótesis sobre los mismos dientes o sobre implantes. Lo más aconsejable es siempre la realización de prótesis sobre implantes, pues el pronóstico a largo plazo es mucho mejor.
¿Cuándo se utilizan las prótesis dentales removibles?
Las prótesis dentales removibles se utilizan en los siguientes casos:
- Pacientes con determinadas condiciones médicas: Hay personas que, por padecer ciertas enfermedades, tienen contraindicada la colocación de implantes.
- Falta de hueso maxilar: Algunas prótesis dentales fijas requieren un buen soporte óseo para colocar los implantes dentales.
- Falta de disponibilidad económica: Por lo general, una prótesis dental removible es más económica que una prótesis fija.
- Alternativa temporal: En algunos casos, las prótesis dentales removibles se usan como una solución temporal, mientras se planifica y se lleva a cabo un tratamiento definitivo con prótesis fijas e implantes dentales.
Como 𝗟𝗜𝗠𝗣𝗜𝗔𝗥 🧽 una 𝗣𝗥𝗢𝗧𝗘𝗦𝗜𝗦 𝗗𝗘𝗡𝗧𝗔𝗟 𝗥𝗘𝗠𝗢𝗩𝗜𝗕𝗟𝗘 (+ Como PONER una DENTADURA POSTIZA Correctamente)
Tipos de Prótesis Dentales Removibles
Existen varios tipos de prótesis dentales removibles, las cuales se eligen en función de las necesidades de cada paciente:
- Prótesis parcial removible: Reemplazan uno o varios dientes perdidos, pero se usan cuando el paciente aún conserva algunos dientes en la arcada. Se utiliza para reponer una o varias ausencias dentales cuando existen dientes sanos en los que poder fijar la estructura dental. En este caso la prótesis se sujeta en las piezas dentales que el paciente conserva en buen estado.
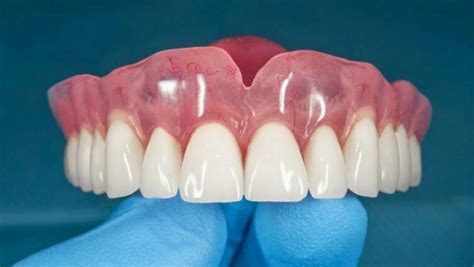
- Prótesis removible completa: Reemplazan todos los dientes de una arcada (superior, inferior o ambas). Sustituye todas las piezas dentales de una arcada o de las dos, en caso de edentulismo total (pérdida de todas las piezas naturales). Tal y como venimos comentando en este artículo, la prótesis dental removible completa es una opción más que recomendable para personas que necesitan restaurar por completo todas sus piezas dentales.

Tipos de prótesis parcial removible:
- Esquelética.
- Acrílica.
- Termoplástica. Material termoplástico de gran flexibilidad y resistencia a las fracturas.
Proceso de Elaboración y Colocación de una Prótesis Dental Removible
El proceso para la elaboración y colocación de una prótesis dental removible incluye los siguientes pasos:
- Estudio inicial: El dentista realiza un examen completo de la boca del paciente, incluyendo dientes, encías y huesos maxilares. Esto abarca una exploración oral y la toma de radiografías y fotografías.
- Diseño de la prótesis: A continuación, se toman impresiones (medidas) de la boca. Una vez obtenidos todos los registros de la boca y habiendo estudiado el caso del paciente, el odontólogo diseñará la prótesis dental removible de acuerdo a sus necesidades.
- Colocación de la prótesis: Tras la confección de la prótesis, esta se coloca en la boca del paciente. En este momento, el odontólogo comprueba que la prótesis está correctamente ajustada y el paciente está cómodo con ella.
- Revisiones y seguimiento: Como sucede con cualquier otro tratamiento dental, es necesario realizar un buen seguimiento para comprobar la adaptación del paciente a la prótesis removible, así como para realizar ajustes que aumentan la comodidad y la durabilidad del tratamiento.
Ventajas y Desventajas de las Prótesis Dentales Removibles
Como cualquier tratamiento dental, las prótesis dentales removibles tienen sus ventajas y desventajas:
Ventajas
- Precio: La prótesis removible resulta muy económica respecto a la prótesis fija. Como adelantábamos en las ventajas de este tratamiento, se trata de una alternativa más económica que las prótesis fijas o los implantes dentales.
Con la reposición de las ausencias dentales se obtienen múltiples beneficios.
Desventajas
- Ajuste: Normalmente, las dentaduras postizas plantean problemas de estabilidad, ya que no se ajustan de manera óptima a la boca.
- Comodidad: Al no conseguir un buen ajuste, una de las principales desventajas de la prótesis dental removible es que puede resultar incómoda al comer y hablar.
- Necesidad de reemplazos o ajustes: La falta de dientes provoca cambios anatómicos en las estructuras orales, lo que hace necesario realizar modificaciones en el aparato para mejorar el ajuste.
- Estética: Es posible que se vean los ganchos metálicos sobre los dientes remanentes.

Cuidado e Higiene de las Prótesis Dentales Removibles
Al igual que los dientes se deben cepillar después de cada comida, las prótesis dentales removibles tienen que ser limpiadas después de comer.
- Retira la prótesis de tu boca después de cada comida y enjuágala con agua tibia para retirar los restos de alimentos.
- Limpia el aparato con un cepillo especial para prótesis dentales, jabón neutro y agua tibia. No se aconseja utilizar dentífricos, pues suelen contener sustancias abrasivas que rayan las prótesis.
- Enjuaga bien la prótesis para asegurarte de que no queden residuos de jabón.
- Si no vas a volver a colocarte la prótesis después de la limpieza, es importante que la seques con papel o una toalla limpia. La razón es que la humedad favorece la proliferación de bacterias. Es importante secarlas bien y guardarlas correctamente para evitar fracturas mientras no se esté utilizando la prótesis.
- Utiliza un comprimido efervescente para limpiar prótesis dentales una vez a la semana. De esta manera, realizarás una higiene más profunda, ya que estas pastillas incorporan antisépticos que ayudan a eliminar bacterias y hongos. En su lugar, es recomendable utilizar unas pastillas efervescentes de limpieza de prótesis para asegurarnos de que están bien limpias.
Ortodoncia Removible: Una Alternativa Cómoda y Discreta
La ortodoncia removible es una opción muy cómoda y discreta para corregir la posición de dientes o mandíbulas. Por ello, volvamos primero a refrescar que la ortodoncia es una especialidad de odontología que se ocupa de corregir (o prevenir) huesos y dientes mal posicionados.
La aparatología de la ortodoncia removible resulta mucho más cómoda, higiénica y fácil de llevar que la ortodoncia fija. Es aquella que el propio paciente puede colocarse y retirar sin ayuda del profesional dental.
Existen diferentes tipos de aparatos removibles utilizados en ortodoncia. Los aparatos removibles en ortodoncia ofrecen la ventaja de aplicar fuerzas intermitentes y más fisiológicas en el proceso de corrección dental. Estas fuerzas controladas permiten que los tejidos dentales se ajusten progresivamente a la nueva posición, evitando posibles daños o molestias excesivas.
Otra gran ventaja de los aparatos removibles en ortodoncia es la facilidad de mantener una buena higiene bucodental. Al poder retirar los aparatos para cepillarse los dientes y utilizar el hilo dental, los pacientes tienen un mayor alcance y capacidad de limpieza en comparación con los aparatos fijos.
Los aparatos removibles ofrecen una mayor comodidad para el paciente, ya que pueden ser retirados durante ciertos momentos del día, como al comer o practicar deportes. Esto permite disfrutar de una experiencia más flexible y adaptada a las necesidades individuales de cada persona.
Los aparatos removibles en ortodoncia ofrecen una mayor variedad de opciones de tratamiento en comparación con los aparatos fijos. Dependiendo de las necesidades específicas de cada paciente, se pueden utilizar diferentes tipos de ortodoncia removible, como la aparatología de apoyo dental pasiva, activa o en los tejidos blandos.
En resumen, los aparatos removibles en ortodoncia presentan importantes ventajas. Permiten aplicar fuerzas más fisiológicas y controladas, mejorando la higiene bucodental y ofreciendo una mayor comodidad al paciente. Además, brindan una mayor variedad de opciones de tratamiento, adaptándose a las necesidades individuales de cada persona.
Sin embargo, la ortodoncia removible, si bien ofrece ventajas significativas, también presenta algunas desventajas que deben tenerse en cuenta antes de optar por este tipo de tratamiento.
Una de las desventajas más relevantes de los aparatos removibles en ortodoncia es la necesidad de una buena cooperación por parte del paciente. A diferencia de los aparatos fijos, que están constantemente en su lugar y ejercen fuerzas de manera constante, los aparatos removibles requieren que el paciente los utilice de manera constante y según las indicaciones del ortodoncista.
Otra desventaja de los aparatos removibles en ortodoncia es que, en algunos casos, pueden presentar limitaciones en la capacidad para lograr ciertos movimientos dentarios. A diferencia de los aparatos fijos, que son diseñados específicamente para aplicar fuerzas en direcciones específicas y controladas, los aparatos removibles pueden tener dificultades para lograr ciertos movimientos más complejos.
La posible alteración de la fonación es otra desventaja a tener en cuenta con los aparatos removibles en ortodoncia. Al ser dispositivos que ocupan espacio en la boca, especialmente en la zona de la lengua, pueden generar dificultades temporales en el habla.
Ahora ya sabes más sobre prótesis dental fija vs removible, y sus ventajas e inconvenientes. En Clínica Dental Ruiz Estrada, tanto en Murcia como en Elche, somos especialistas en prótesis dentales. Pide cita online aquí; estudiaremos tu caso, te recomendaremos la mejor opción para ti, y tus nuevas prótesis dentales te permitirán vivir mejor.