El bruxismo, un problema cada vez más frecuente en la población general, también afecta a niños y adolescentes. En este artículo, exploraremos en detalle el bruxismo infantil, desde sus causas y síntomas hasta los tratamientos disponibles, incluyendo el uso de aparatos y la ortodoncia interceptiva.

¿Qué es el Bruxismo Infantil?
El bruxismo es un hábito involuntario que consiste en apretar y/o rechinar los dientes, generalmente durante el sueño. Se manifiesta con una hiperactividad de la musculatura implicada en la masticación (maseteros, temporales, etc.). Generalmente se produce durante el sueño, aunque en algunos casos puede ocurrir también durante el día.
Según la forma de actuar la musculatura, existen dos tipos:
- Bruxismo céntrico: La persona aprieta los dientes.
- Bruxismo excéntrico: El paciente "chirría los dientes". El chirrido puede ser tan fuerte que incluso puede oírlo o despertar a la persona que esté durmiendo con la persona bruxista.
¿Bruxismo en niños? Causas, Síntomas y Cómo Solucionarlo 🦷
Causas del Bruxismo en Niños y Adolescentes
En recientes estudios se ha observado el incremento de esta patología en la población infantil y adolescente española (entre un 20-30%). Las causas asociadas al bruxismo en los niños y adolescentes apuntan a factores de carácter físico, psicológico (sí, los niños y los adolescentes también se estresan) o neurofisiológico. En estos casos es el especialista el que debe dictaminar el tipo de tratamiento.
Algunas de las causas más comunes incluyen:
- Estrés: Está estrechamente relacionado con factores psicológicos. En esta sociedad cada vez más ajetreada en la que el tiempo es un preciado tesoro, el estrés acumulado tiene que "salir" por algún sitio...
- Proceso de erupción dental: Hay algunos episodios relacionados con el proceso de erupción que también pueden desencadenar el bruxismo. Algunos ejemplos de ello son el apiñamiento, la salida de las piezas dentales definitivas, la caída de los dientes de leche, etc.
Síntomas del Bruxismo Infantil
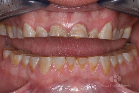
Como ya hemos mencionado, es muy importante detectar el bruxismo en niños lo antes posible. El signo más notorio es el ruido que se produce al rechinar los dientes. Además, otros síntomas de bruxismo infantil pueden incluir inflamación de las encías, dolores recurrentes (en mandíbula, dientes o cabeza) o desgastes en el esmalte de los dientes. No obstante, estos signos también son compatibles con otras enfermedades o lesiones bucodentales. Por ello, si se detectan, es fundamental acudir al odontopediatra.

Tratamiento del Bruxismo Infantil
El tratamiento del bruxismo infantil suele centrarse en proteger los dientes y aliviar los síntomas. Para tratar el bruxismo infantil, es fundamental prevenir o frenar el desgaste del esmalte dental. Asimismo, será necesario reparar los daños en los dientes, en caso de que se hayan producido. Por todo ello, podemos dividir el tratamiento para el bruxismo en dos ramas.
Cambios en los Hábitos de Vida
- Deporte: Es una de las mejores formas de reducir el estrés infantil.
- Calidad del sueño: Para tratar el bruxismo en niños es esencial revisar sus rutinas de sueño. Por ejemplo, el número de horas que duermen o las actividades que realizan antes de irse a la cama. En este último punto, es conveniente que realicen actividades que les permitan relajarse, como escuchar música o leer un libro.
Aparatos para el Bruxismo Infantil
Férulas de Descarga
La férula de descarga es la manera más habitual de corregir el bruxismo. La férula para el bruxismo se coloca generalmente en los dientes superiores, aunque en algunos casos puede ir en la arcada inferior. Usar una férula de descarga de forma continuada puede marcar una gran diferencia. Dada nuestra gran experiencia en los más pequeños de la casa, en Moonz diseñamos las férulas de bruxismo de forma personalizada, teniendo en cuenta la edad, la forma de la boca y las necesidades específicas de cada niño.
Cuidado de la Férula:
Para que la férula siga cumpliendo su función correctamente, es fundamental tener una buena rutina de cuidado. Pero no te preocupes, no es nada complicado, solo se necesita constancia.
- Guárdala siempre en su estuche: Después de usarla, asegúrate de que está limpia y completamente seca antes de guardarla.
- Evita dejarla al sol o en sitios calientes: El calor puede deformar el material.
- Acude a revisiones periódicas en la clínica: A medida que el niño crece, su boca también cambia. Y un consejo extra: lleva la férula a revisión cada vez que acudas con tu hijo al dentista.
- Limpieza profunda: Una vez a la semana, puedes hacer una limpieza más profunda con pastillas efervescentes específicas para férulas o prótesis dentales.
Importante: No obstante, es necesario destacar que la férula de descarga no es un tratamiento habitual en niños, puesto que puede interferir en el crecimiento de los huesos maxilares.
Ortodoncia Infantil Myobrace
La Ortodoncia Infantil Myobrace es un tratamiento que se puede iniciar a edades muy tempranas, a partir de 4 años, mucho antes de que los niños desarrollen la dentición definitiva (hasta los 10 años). Es un tratamiento preventivo que trabaja estimulando un correcto crecimiento de los maxilares. De esta forma, se consigue evitar que aparezcan problemas de apiñamiento o maloclusiones que más adelante necesitarían otro tipo de ortodoncia.
También se aplica para enderezar los dientes y corregir problemas a la hora de masticar o de respirar que, a su vez, influyen en el adecuado desarrollo de la dentadura. La Ortodoncia Infantil Myobrace ofrece una ventaja añadida: se trabaja con aparatos removibles de silicona que solo es necesario llevar durante la noche y una pequeña parte del día. Depende de cada paciente. Los mejores resultados se obtienen cuando el tratamiento se inicia de forma precoz. Es más fácil corregir malos hábitos dentales en niños más pequeños y problemas de desarrollo mientras cara y mandíbula están creciendo.
Los niños solo tienen que ponerse el aparato durante una hora al día y por la noche. Esto les permite seguir su día a día con normalidad. No tendrán dificultades para hablar, masticar o comer ciertos alimentos. La Ortodoncia Infantil Myobrace permite corregir malos hábitos que afectan al desarrollo dental, como una mala posición de la lengua, rechinar los dientes o chuparse el dedo.
El tiempo medio del tratamiento puede situarse alrededor de 18 meses. Sin embargo, es importante que el paciente cumpla con el tiempo que el ortodoncista recomiende llevar el aparato.

Ortodoncia interceptiva y aparatos para corregir la mandíbula en niños
Algunos niños desarrollan desde sus primeros años de vida un crecimiento incorrecto de la mandíbula que les genera problemas estéticos y funcionales en el futuro. Gracias a los tratamientos de ortodoncia interceptiva como los aparatos para corregir la mandíbula en niños, es posible corregir estas anomalías de forma temprana y lograr un correcto crecimiento lo antes posible.
Síntomas de problemas en la mandíbula en niños
Descubrir si tu hijo presenta malformaciones faciales o maxilares puede resultar complicado. Por esta razón, acudir a visitas con el odontopediatra desde muy temprana edad es imprescindible para identificar posibles problemas y buscar una solución que te evitará el coste de otros tratamientos en el futuro.
Sin embargo, algunos de los síntomas que pueden indicar problemas con el crecimiento de su mandíbula son los siguientes:
- Succión digital (acto de chuparse el dedo).
- Succión del labio inferior.
- Mordida cruzada.
- Apiñamiento dental.
- Salida excesiva de los dientes hacia fuera.
- Deglución infantil (tragar empujando la lengua hacia delante).
Ante la aparición de cualquiera de estos síntomas, es posible que sea necesaria la utilización de aparatos para corregir la mandíbula en niños. No dudes en consultar con un odontopediatra para que estudie la situación de tu hijo.
En la mayoría de los casos, la utilización de aparatos para corregir la mandíbula en niños es suficiente para solucionar el problema. Para ello, en nuestra clínica dental infantil de Valladolid utilizamos dos tipos de aparatos:
Aparatos fijos
Se trata de unos aparatos que se colocan en los molares de forma fija durante toda la duración del tratamiento. A través de este aparato, se consigue corregir la posición de las piezas dentales y prevenir la pérdida de espacio que puede producir la caída de uno de ellos.
Se suelen utilizar cuando los problemas de la mandíbula son algo más complejos de tratar y permiten que el niño cumpla con el tratamiento completo sin necesidad de que tenga que retirarlos.
Aparatos removibles
Otro tipo de aparatos para corregir la mandíbula en niños son los aparatos removibles que, como su nombre indica, pueden ser colocados y retirados con facilidad en cualquier momento por parte del paciente, logrando así una máxima comodidad para el niño.
Fijos o removibles, ambos aparatos consiguen corregir los problemas con la mandíbula para que los más pequeños puedan disfrutar de la comodidad de una boca sana.
¿Cuándo corregir los problemas de la mandíbula en niños?
Seguro que alguna vez has escuchado la frase “Mejor prevenir, que curar”. Los tratamientos de ortodoncia interceptiva son un claro ejemplo de la importancia de la prevención desde los primeros años de vida. La utilización de aparatos para corregir la mandíbula en niños es aconsejable entre los 7 y los 11 años de edad, ya que, durante esta etapa de su crecimiento, permiten solucionar el problema y evitar desarrollar otras anomalías en el futuro.
Tabla resumen de tratamientos:
| Tratamiento | Descripción | Edad recomendada |
|---|---|---|
| Férula de descarga | Protege los dientes y relaja la musculatura masticatoria. | Según necesidad y criterio del odontopediatra. |
| Ortodoncia Myobrace | Estimula el correcto crecimiento de los maxilares y corrige malos hábitos. | A partir de los 4 años (hasta los 10 años). |
| Aparatos fijos para la mandíbula | Corrige la posición de las piezas dentales y previene la pérdida de espacio. | Entre los 7 y los 11 años. |
| Aparatos removibles para la mandíbula | Corrige la posición de las piezas dentales de forma cómoda. | Entre los 7 y los 11 años. |
Aunque a veces el bruxismo puede parecer algo leve o pasajero, no conviene subestimarlo. Tratarlo a tiempo y de forma adecuada puede evitar problemas mayores en el futuro. Si sospechas que tu hijo puede tener bruxismo, te animamos a que pidas una primera cita gratuita y sin compromiso.