Las carillas dentales son una solución estética popular para corregir imperfecciones en la sonrisa. A menudo, se dice que las sonrisas de artistas, famosos y celebridades son perfectas gracias a las carillas dentales. Pero, ¿qué son exactamente y cómo funcionan?
¿Qué son las Carillas Dentales?
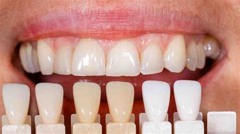
Las carillas dentales son unas láminas de porcelana que se colocan en la parte visible de los dientes para corregir defectos estéticos. Es un tratamiento estético que modifica ligeramente la forma de los dientes.

Tipos de Carillas Dentales
Las carillas dentales de porcelana proporcionan una resistencia y elasticidad comparable a la del esmalte de nuestros dientes naturales.
Ventajas de las Carillas Dentales
- Solución a fracturas: Las carillas dentales de porcelana son una excelente alternativa si nos hemos fracturado un diente. Si te has roto un diente, no te preocupes, ya que nuestros odontólogos pueden ayudarte a recuperar y mejorar el diente fracturado.
- Corrección de manchas: En algunos pacientes, las manchas oscuras en los dientes o decoloraciones no pueden ser solucionadas con un blanqueamiento dental de luz LED, ya que depende de nuestro tipo de esmalte y de su capacidad para ser blanqueado.
- Diseño personalizado: Cada carilla dental de porcelana se confecciona a mano y de manera individual para cada paciente, por ello, al finalizar con el tratamiento es prácticamente imposible diferenciar un diente con carilla dental de uno de nuestros dientes naturales.
- Menos invasivo que las coronas: Con las carillas dentales no es necesario realizar un gran tallado de tu diente como ocurre con las coronas dentales y puentes.
Consideraciones Antes de Optar por Carillas Dentales
La comunicación con tu dentista de confianza acerca de los cambios que deseas corregir de tus dientes es fundamental para un resultado estético exitoso con carillas dentales.
Para utilizar carillas dentales si eres bruxista o rechinas y aprietas los dientes al dormir, te recomendaremos que utilices una férula de descarga por las noches. Aunque las carilla dentales de porcelana son muy fuertes y resistentes, también son frágiles.
Es importante que acudas regularmente a tus revisiones con el dentista para hacer un mantenimiento de la carilla dental y que tu doctor pueda confirmar que está en perfecto estado.
Mantenimiento de las Carillas Dentales | Dr. Maarten
Mantenimiento de las Carillas Dentales
El mantenimiento de las carillas dentales de porcelana es muy sencillo. Hay que cuidar los dientes que tienen carillas de la misma manera que debes de cuidar tus dientes propios. Las carillas dentales de porcelana se pueden pulir con una pasta especial no abrasiva.
Sensibilidad Dental Después del Tratamiento
Después de que las carillas de porcelana se fijen a tu diente es probable que tengas un poco de sensibilidad dental durante unos días ante temperaturas calientes y frías debido a la eliminación de esa mínima capa de esmalta de la pieza dental. No te preocupes.

Otros Tratamientos Dentales
Además de las carillas dentales, existen otros tratamientos que pueden mejorar tu salud bucal y estética dental:
- Blanqueamiento dental: El blanqueamiento dental es un tratamiento estético dirigido a corregir los defectos de coloración y envejecimientos de los dientes.
- Implantes dentales: La implantología dental es la parte de la odontología que se encarga de rehabilitar los dientes ausentes o perdidos.
- Prótesis dentales: Las prótesis son unas piezas dirigidas a sustituir las piezas dentales dañadas o perdidas.
- Ortodoncia: La ortodoncia son tratamientos que obligan a los dientes a realizar movimientos suaves que permitan eliminar las separaciones o diastemas, corregir la posición de los dientes o de las arcadas y modificar la posición de las mandíbulas.
- Reconstrucciones dentales: Las reconstrucciones dentales son las reparaciones de las piezas dentales dañadas. Es un proceso más complejo que colocar un empaste ya que en la mayoría de las ocasiones se debe moldear de nuevo gran parte del diente.
- Limpieza dental o profilaxis: El aprendizaje de los niños para mantener una boca sana es progresivo, durante ese proceso es necesario la limpieza dental para evitar la proliferación de sarro.
Apps de Salud Dental
Las tecnologías ya forman parte de nuestro día a día y un mundo sin ellas nos parece inimaginable. Actualmente, tenemos mayor acceso a información a través de ordenadores, tablets y móviles. Existen Apps prácticamente de cualquier tema que te puedas imaginar y la gran pregunta para nosotros es: ¿Existen Apps de salud dental? La respuesta es sí, de hecho, pueden ser de gran ayuda para odontólogos y pacientes.
Ejemplos de Apps de Salud Dental
- Aplicación para odontólogos: Muy útil ya que podrás usarla para enseñar a tus pacientes los diferentes tipos de enfermedades y tratamientos que hay.
- Gestión de pacientes: Ayudará a los profesionales de la salud dental a administrar listados de pacientes donde podrá agregar notas, comentarios y utilizar una imagen de la boca o del diente para dibujar sobre ella.
- Planes de tratamientos: Esta herramienta genera la posibilidad de poder crear planes de tratamientos únicos para cada paciente y así podras calcular de manera sencilla los costes que estos conlleven.
- My Dental Clinic: Esta aplicación está dedicada a odontólogos con el fin de administrar mejor tu clínica dental.
- Biblioteca dental completa: Es una App con una biblioteca dental completa de recursos que incluye información sobre tratamientos y sus efectos.
- Aplicación para enseñar a los niños a cepillarse: Con esta app podrás enseñar a tus pacientes más pequeños a cepillarse de una forma más entretenida.
- Brush Up: Con Brush Up puedes ayudar a los niños a que aprendan sobre su salud bucal de forma divertida mientras consiguen premios cada mes.
Este diccionario de odontología te ayudará a aprender los diferentes términos odontológicos, ordenados de la A hasta la Z.
Existen aplicaciones para estudiar anestésicos, radiología dental, instrumentos y materiales dentales, y para mostrar ilustraciones de patologías orales a los pacientes.