Para tener una higiene bucodental adecuada, es vital mantener una buena salud tanto del diente como de la encía. Hoy hablaremos sobre la importancia de usar reveladores de placa.

¿Qué son los Reveladores de Placa?
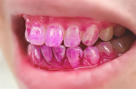
Los reveladores de placa dental son productos diseñados para teñir de color la placa bacteriana que se tiene en la dentadura, de forma que sea fácil de detectar y, por lo tanto, facilitando que puedas eliminar la placa bacteriana. Con este sencillo acto estaremos previniendo las enfermedades periodontales y bucales como las caries. Además, podremos mejorar nuestra higiene dental, mejorando nuestro cepillado.
La placa bacteriana o biofilm es un agregado de bacterias embebidas en una matriz, tiene textura pegajosa y en sus primeras fases, cuando aún no hay un acúmulo evidente, puede no observarse a simple vista. Al no poder distinguirse a simple vista la placa bacteriana, no se puede determinar en qué zonas de los dientes permanece adherida.
El primer revelador de placa fue utilizado por Skinner en Chicago en 1914 como método para mostrar “depósitos blandos” sobre los dientes que debían ser eliminados por el paciente en casa, para prevenir enfermedades como la periodontitis y la caries. Este primer revelador de placa estaba formulado a partir de yodo.
Actualmente, algunas de las sustancias más comunes que incluyen los reveladores para teñir la placa bacteriana son la eritrosina, la floxina, la fluoresceína sódica, la fucsina o el verde malaquita.
Cualquier persona que quiera mejorar su higiene, puede usar los reveladores. Es un método más con el que los dentistas podemos instruir en las técnicas de higiene.
En Ferrus&Bratos cumplimos con el RGPD de la UE por lo que tus datos están seguros.
¿Cómo Saber si Necesitas Reveladores de Placa?
Si tienes alto riesgo de acumular placa debido a la retracción de tus encías, el uso de ortodoncia, una afección médica crónica u otros factores de riesgo, el uso de un producto revelador de placa te puede ayudar a identificar las áreas de los dientes que no lograste limpiar eficientemente después de culminar tu rutina de cuidado bucal.
¿Cómo Usar los Reveladores de Placa?
Existen varios tipos de reveladores de placa. Pueden ser en tipo de pastillas masticables, en gel o en gotas. En el mercado existen diferentes presentaciones, como los comprimidos masticables, líquido para aplicar en gotas, gel o colutorio, con un funcionamiento similar.
El funcionamiento de todos ellos es similar. Debes mezclarlo con la saliva haciendo que se extienda por la superficie de tus dientes, de forma que al contacto con los dientes se empiezan a teñir las partes que contienen la placa bacteriana haciéndola visible y así te facilita eliminarla.

Para utilizarlos, hay que dejar que el revelador se mezcle con la saliva y se distribuya por todos los dientes evitando tragarlo, aunque en caso de ingesta accidental, no supone ningún riesgo para el usuario, ya que suele estar compuesto por colorantes alimentarios.
Es posible que puedan teñirse, además de dientes, las encías y la lengua. Esta tinción irá desapareciendo poco a poco, pero puede permanecer algunas horas, por lo que se recomienda utilizar por la noche.
También pueden utilizarse con prótesis o implantes.
Reveladores de placa: La clave para prevenir caries | Aprende a cepillarte correctamente
Formatos de Reveladores de Placa
Plac Control se comercializa en diferentes formatos, siendo el paciente el que puede optar por uno u otro en función de su gusto.
- Solución líquida: Basta con echar 2 o 3 gotas del producto en la lengua. Tan solo hay que pasar la lengua por toda las superficies dentales y gingivales para que se mezcle bien con la saliva y se impregne toda la boca. Este formato es más recomendable en pacientes que tengan algún grado de discapacidad y para su aplicación pueden requerir de ayuda.
- Pastilla: El control de placa mediante reveladores en forma de pastilla es el formato más frecuente. Se deben masticar hasta su completa disolución en la boca y dejar que actúen durante varios minutos antes de realizar el enjuague con agua.
- Pastillas de dos tonos: Funcionan igual que las pastillas monocolor con la única diferencia de que la tinción de la placa bacteriana se realiza en dos tonalidades.
- Geles: Son un producto de uso profesional que se aplica mediante un microcepillo, hisopo o microesponja.
- Líquido y lámpara de fotopolimerizar: Es otro de los métodos que se emplean en consulta para trabajar el cepillado en las áreas más afectadas.
- Enjuague: Es otra de las alternativas de uso doméstico. No ofrece distinción sobre el grado de madurez de la placa y tan solo la tiñe de un único color.
¿Cuándo Utilizarlo?
Estos reveladores puedes utilizarlo antes o después del cepillado, según sea tu objetivo.
- Antes del cepillado: Cuando utilizas el revelador antes del cepillado este tiñe la placa existente mostrando donde se acumula la placa bacteriana, de forma que cuando te cepillas los dientes, estos están teñidos y así actúan como guía para poder eliminar tu placa con mayor efectividad. Actuaría de “guía” para el cepillado.
- Después del cepillado: Se utilizan los reveladores después del cepillado para saber la placa que queda. De esta forma se ve cual es tu eficacia en el cepillado y si debes mejorarlo, así como en que zonas debes prestar más atención. Muestra la placa bacteriana que aún queda en boca tras el cepillado. Es decir, indica el grado de eficacia en el cepillado del usuario y muestra en aquellas zonas donde no ha sido correcto el cepillado.
Lo más eficaz es que el control de la placa se realice después de las rutinas habituales de higiene.
Salvo los tratamientos que se realizan en consulta con el objetivo de realizar una limpieza exhaustiva de la placa en ese mismo momento, el empleo de agentes reveladores en casa suele responder a una prescripción de varias semanas.
¿Por Qué Utilizar Reveladores de Placa?
El uso de estos reveladores de placa bacteriana es una buena manera de motivar a las personas para llevar a cabo una buena técnica de cepillado. Mejorando así la higiene bucal de nuestras encías. Especialmente para niños pequeños.
El uso de reveladores de placa motiva a las personas, especialmente a los niños, a realizar un cepillado eficaz, y por tanto, ayudar a mantener una buena salud bucal.
Plac Control es una forma muy útil y sencilla de mejorar nuestras rutinas de higiene. Al final, el objetivo es conseguir la mejor limpieza posible para evitar futuros problemas bucales, como la aparición de caries o de sarro dental.
Los productos que revelan la presencia de placa contienen un colorante inocuo que reacciona con la placa que pudiera permanecer sobre los dientes después de la limpieza. Cuando vemos las áreas teñidas, podemos identificar los puntos problemáticos, y así enfocarnos en ellos cuando nos cepillemos y usemos el hilo dental correctamente.
Con los reveladores de la placa dental es posible identificar las zonas de la dentadura a las que no está llegando el cepillo o en las que no estamos haciendo suficiente hincapié durante la limpieza.
Permiten saber si los dientes están realmente limpios: lo importante no es el cepillado diario, sino el cepillado diario correctamente realizado.
Los reveladores de la placa bacteriana ocupan un lugar interesante en los programas de prevención de la salud bucodental. Los productos que revelan la presencia de placa muestran tus habilidades en el cuidado dental.
Beneficios Adicionales
- Proporcionan motivación: Insistir en la importancia de un correcto cepillado de dientes, de la higiene diaria de la boca o del empleo de diferentes tipos de instrumentos para garantizar su eficiencia puede ser ‘aburrido’.
- Localiza los puntos débiles de tu higiene bucal y actúa sobre ellos.
- ¿Tienes ortodoncia fija?
El Sarro y la Placa Bacteriana
Mantener una buena higiene bucodental puede ser más complicado de lo que imaginas. La morfología de la boca, las particularidades de los dientes y las encías y la mayor o menor destreza durante el cepillado pueden hacer que, a pesar del esfuerzo, sigamos siendo vulnerables ante el ataque de gérmenes y bacterias.
El sarro o la placa bacteriana es una mezcla de bacterias y azúcares que con el paso del tiempo va quedando adherida a los dientes. La amenaza avanza de manera silenciosa cada vez que te saltas el cepillado de los dientes o cuando no llevas a cabo pautas de higiene del modo correcto.
No debes bajar la guardia. La placa bacteriana es en gran parte la responsable de la aparición de caries, del enrojecimiento, la inflamación y el sangrado de las encías (gingivitis) y de problemas graves que afectan a los tejidos de soporte del diente (enfermedad periodontal).
No te fíes de las primeras impresiones: una boca aparentemente limpia puede no estarlo.
El alto riesgo para la salud bucodental que supone la acumulación de placa bacteriana exige la puesta en marcha de tratamientos preventivos que eviten el avance de esta amenaza.
Agentes Reveladores
Más allá de una llamativa coloración temporal de la dentadura, los reveladores de la placa bacteriana no tienen ningún otro efecto. Son productos compuestos por un colorante, generalmente eritrosina o fluoresceína sódica, que se encarga de teñir el biofilm de los dientes.
Los agentes reveladores actúan sobre la placa y en ocasiones no solo destacan su presencia con un determinado color sino que ofrecen información acerca de la acidez o el grado de maduración de esta.
Precauciones
Antes de utilizar un producto revelador de placa, cepilla y usa la seda dental como acostumbras.
Tener los dientes de colores tal vez no es algo que entusiasme a los adultos, pero a veces también es necesario. En cualquier caso, utilizar reveladores es un método seguro, rápido y eficaz para detectar cómo de efectiva es nuestra higiene dental para prevenir eventuales problemas.
| Aspecto | Descripción |
|---|---|
| ¿Qué es? | Producto que tiñe la placa bacteriana para hacerla visible. |
| ¿Cuándo usar? | Antes o después del cepillado, según el objetivo. |
| Formatos | Pastillas, líquidos, geles, enjuagues. |
| Beneficios | Mejora la higiene bucal, previene enfermedades, motiva a un buen cepillado. |