La ortodoncia es una especialidad de la odontología que se encarga de corregir los problemas de oclusión y posición dental a través de diferentes técnicas. Gracias a los resultados que ofrece, es una excelente solución, tanto estética como funcional. Sin embargo, durante este proceso, pueden surgir algunas incomodidades, como que el alambre de los brackets se doble o se salga de su lugar.
Cuando empezamos a llevar aparato en los dientes es normal que surjan pequeños problemas, al fin y al cabo es algo nuevo dentro de nuestra boca y tenemos que acostumbrarnos. Por eso es importante que sepas cómo enfrentarte a estas incidencias desde casa. Aquí te ofrecemos una guía práctica para solucionar estos problemas y mantener tu tratamiento en el camino correcto.
Aprende Como QUITAR el 𝗗𝗢𝗟𝗢𝗥 cuando te ponen BRACKETS (+ CURAR las llagas EN LA BOCA por ortodoncia)
Tipos de ortodoncia
Existen diferentes tipos de ortodoncia, cada uno con sus propias características:
- Brackets: Es la ortodoncia convencional, que consiste en pequeñas piezas metálicas o de materiales estéticos que se colocan en la cara externa de los dientes.
- Alineadores transparentes: También conocidos como ortodoncia invisible, son alineadores hechos a medida en un material termoplástico que no genera rozaduras. Son removibles, lo que permite comer y cepillarse los dientes sin restricciones.

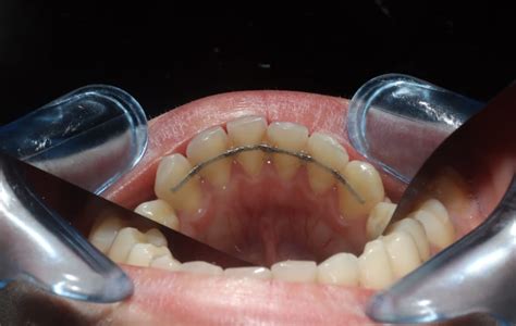
¿Qué hacer cuando un alambre de los brackets te pincha?
A lo largo del tratamiento de ortodoncia, los brackets y los alambres ejercen presión para mover los dientes a su posición correcta. Durante los tratamientos de ortodoncia existe la posibilidad de que los cables flexibles que forman parte de la aparatología puedan deslizarse fuera de las ranuras de los brackets. Si por estos u otros motivos, unos de los alambres de tu ortodoncia te pincha y causa dolor, aquí tienes algunos consejos:
- Acude a tu clínica dental: En primer lugar, trata de acudir a tu clínica para que te lo coloquen bien.
- Usa la cera dental: Cubre la zona afectada con cera dental. Lava tus manos y dientes, coge una pequeña cantidad de cera del tamaño de un guisante, amásala y colócala sobre el alambre salido, presionando levemente. Retira la cera antes de comer o lavarte los dientes y coloca otra nueva. No te preocupes si la tragas, no es dañina.
- Utiliza un enjuague bucal: Limpia tu boca para tratar posibles cortes o llagas. Disuelve una cucharada de sal en agua tibia y enjuágate durante 60 segundos, repitiendo este paso 4-6 veces al día.
- Sigue una dieta de alimentos suaves: Evita alimentos ácidos, dulces o difíciles de comer. Incluye puré de patatas, sopas o yogures, y elimina temporalmente alimentos condimentados, chocolate, frutas cítricas, nueces, semillas y café.
- Toma bebidas frías: La temperatura de estas bebidas puede ayudar a aliviar el dolor, pero evita las bebidas frías con edulcorantes.
- Usa un anestésico bucal: Si el dolor es intenso, aplica una pequeña cantidad de gel anestésico sobre la llaga o corte con un bastoncillo.

¿Cortar el alambre en casa?
Aunque parece una solución rápida, cortar el alambre de brackets en casa es una opción arriesgada que solo debe considerarse en casos de extrema urgencia y, preferiblemente, bajo las indicaciones de tu ortodoncista. Si decides hacerlo, asegúrate de desinfectar bien la herramienta que uses (como un cortaúñas pequeño), corta solo el extremo sobresaliente y realiza el corte en un ambiente limpio.
En el cementado de los brackets y montaje de arcos y dispositivos auxiliares es cuando mayores molestias tiene el paciente, provocando muchas visitas de urgencia por: brackets caídos, ulceraciones en la encía o en la mucosa vestibular, rotura de arco, deformaciones, etc. Por esta razón, no montamos la aparatología en una sola sesión. También evitamos ligar los arcos el mismo día que se realiza el cementado. Montamos primero la arcada dentaria más problemática, en las Clases Iª y IIª el maxilar superior, una vez alineada la zona incisiva montamos el inferior (a los 3 ó 4 meses de comenzado el tratamiento). Durante el periodo sin arcos se colocan ligaduras elásticas gruesas alrededor de los brackets para disminuir la incidencia de ulceraciones en la mucosa.
El primer arco es el .014 de Níquel Titanio, con muesca en la zona interincisiva, o destemplado en la zona posterior y doblado para evitar el efecto «serpiente». Este efecto consiste en que los arcos finos de níquel titanio tienden a deslizarse por la masticación y pueden producir lesiones graves en la mucosa retromolar. El segundo arco es un .016 de Níquel Titanio ligado con ligaduras metálicas.
Durante la nivelación la mecánica propia de los arcos puede acompañarse de otras fuerzas que bien utilizadas mejoran el tratamiento, por ejemplo en casos de extracciones se colocan unas ligaduras en 8 metálicas de canino a molar para conseguir la distalación de los mismos. Deben evitarse en los primeros arcos aplicar fuerzas elásticas para conseguir retraer el canino ya que se produce lo que Benneth denomina efecto “montaña rusa” que provoca una extrusión incisiva aumentando de esta manera la sobremordida.
La nivelación y alineación, primera fase de tratamiento, supone en sí un tratamiento de Ortodoncia con toda la complejidad, pasos y elección de dispositivos.
Guía de soluciones para incidencias comunes
Aquí tienes una guía práctica para ello:
- Alambre que pincha: Coloca un poco de cera en la punta del alambre.
- Alambre que se sale del último bracket: Intenta doblarlo con unas pinzas de depilar y volver a introducirlo en el bracket. Si no lo consigues, ponte cera y acude a tu ortodoncista.
- Bracket o banda floja: Si aún está unido al arco, déjalo donde está y cúbrelo con cera. Si se ha soltado y salido del arco, retíralo y guárdalo para tu próxima cita.
- Molestias o presión: Toma algún analgésico. Recuerda que los primeros días debes tener un poco de paciencia.
- Llagas o heridas: Ponte cera sobre los brackets que más te molesten, sobre todo antes de irte a dormir.
Recuerda siempre limpiarte bien los dientes después de cada comida.
Retención: La fase final de la ortodoncia
Después de la ortodoncia, los dientes tienden a volver a su posición inicial. Para evitar esto, la retención es un paso crucial. Existen dos tipos de retenedores:
- Retenedor fijo: Un alambre muy fino que va cementado en la cara interna de los dientes, de canino a canino.
- Retenedor removible: Una férula transparente hecha a medida que se coloca, generalmente, durante las horas de sueño.

¿Qué hacer si tienes problemas con tu retenedor?
Mantener el retenedor en buen estado es crucial para garantizar que los resultados del tratamiento de ortodoncia se mantengan a largo plazo. Aquí te damos algunos consejos:
- Mantén la calma: Es importante no entrar en pánico.
- Evita tocar el retenedor.
- Contacta a tu ortodoncista.
- Higiene oral: Lávalo diariamente con un cepillo suave y agua tibia.
- Almacenamiento adecuado: Guárdalo en su estuche cuando no lo uses.
- Evita alimentos duros: Pueden dañar el retenedor.
- Si practicas deportes de contacto, considera el uso de un protector bucal para evitar daños al retenedor y los dientes.
Si se ha descementado en algunos de los dientes, además de las consecuencias descritas, podrías sufrir heridas en tejidos blandos como la lengua o el labio por el fragmento de alambre despegado. No dudes en buscar atención profesional ante cualquier problema con tu retenedor. La rápida intervención puede prevenir complicaciones y asegurar una sonrisa saludable y bien alineada a lo largo del tiempo.
La importancia de las revisiones periódicas
Acudir a revisiones periódicas es fundamental para asegurar el éxito del tratamiento de ortodoncia y la estabilidad de los resultados a largo plazo. Estas revisiones permiten:
- Detectar y solucionar problemas a tiempo.
- Ajustar la aparatología según sea necesario.
- Evaluar la higiene bucal y proporcionar recomendaciones.
- Verificar el estado de los retenedores y realizar ajustes si es necesario.
Recuerda que los tratamientos de ortodoncia podrán causar pequeñas incidencias al inicio del tratamiento, cuando los alambres son más flexibles y los dientes se mueven más. Lo ideal es no intentar cortar el alambre en casa. Siempre que tengas un problema con tu ortodoncia debes llamar a tu clínica para que te den cita.
Tipos de arcos utilizados en ortodoncia
Todos los arcos de ortodoncia están hechos de aleaciones, que son la combinación de dos o más metales. Las propiedades de los alambres y su comportamiento elástico varían en función de la composición o aleación metálica, el proceso de fabricación, su sección y del método aplicado para su activación. Existen por lo tanto distintos tipos de clasificación de los arcos.
1. Por arcada
Está totalmente relacionado con la técnica que utiliza cada ortodoncista. A cada técnica, le suele acompañar una forma de arcada (Trueform, Europa II, etc). También puede que el ortodoncista opte por una u otra arcada en base a su gusto personal ya que algunas expanden más y otras son más cerradas.
2. Por grosor
Los calibres más finos producen fuerzas más ligeras y poco a poco se va incrementando el calibre según vamos llegando a la posición deseada y se van acostumbrando los tejidos del paciente.
3. Por material
Los arcos dentales están hechos de aleaciones que son la combinación de varios metales. Los más usados hoy en día son arcos dentales hechos de las siguientes combinaciones:
Níquel - Titanio (Ni-Ti)
Este arco también es conocido como súper elástico. Se trata de la combinación de metales más actual y moderna. Estos arcos son los más usados en la odontología hoy en día. El Níquel Titanio o NITI, es un material con “memoria” ya que siempre vuelve a su forma original, es decir a la forma de la arcada de ese arco. Es por este motivo que las piezas se van alineando con la forma de ese arco. Este arco de NITI es de color plateado. En el tratamiento de ortodoncia se utilizan arcos más finos para comenzar (0.12 / 0.14 / 0.16) y luego se va utilizando una secuencia de arcos más gruesos para terminar (0.16 x 0.22 / 0.19 x 0.25 / etc). Cuando su cometido ha sido cumplido, los arcos rígidos entran en acción.
Dentro de los Ni-Ti podemos diferenciar los NiTi Reverse, fabricados de una aleación de Níquel-Titanio de alta calidad con forma de curva inversa, proporcionando una fácil deformación con menor carga y consiguiendo un aumento progresivo de fuerzas residuales. Estos arcos se recomiendan para la apertura o el cierre de la mordida y para corregir irregularidades de la curva de Spee. El arco NITI Reverse proporciona al ortodoncista el doble de resistencia de un arco de acero inoxidable y brinda una fuerza continua y uniforme para un rápido movimiento dental.
También dentro de los Ni-Ti encontramos los arcos termoactivos, que presentan un aumento progresivo de fuerzas residuales con recuperación completa de la forma. Están especialmente recomendados para su uso con brackets autoligados. Presenta propiedades de activación térmica y permite que al enfriarlo sea posible insertarlo en zonas de difícil acceso. Se activa a la temperatura corporal del paciente por lo que una vez colocado el arco recobra su forma original gradualmente y se mantendrá constantemente activo. En general los arcos termoactivados resultan sumamente útiles como alambres iniciales en el tratamiento ortodóncico, por su facilidad de colocación en arcadas con dientes severamente desalineados. Sin embargo, por su fabricación, estos arcos tienen una superficie delicada y sensible a materiales cortantes o estriados, por lo tanto, es necesario ser cuidadosos en su utilización.
Acero inoxidable
Los arcos rígidos están fabricados mayoritariamente de acero inoxidable. Este material posee la ventaja de que no se corrompe en la boca e induce una fuerza de control sobre los dientes. Además, el acero es un material relativamente fácil a la hora de manipularlo. Si se ejerce fuerza sobre ellos, no se flexionan sino que se deforman permanentemente -se quedan torcidos-. Generalmente entran en acción entre el sexto y el octavo mes de tratamiento. Los cambios dentales que producen en la posición de los dientes son mucho menores que los que producen los arcos superelásticos de Niti, pero su utilización es imprescindible para «afinar» la posición de los dientes y sus raíces.
Trenzado
Son arcos de acero, pero con propiedades específicas. Son alambres de muy pequeño diámetro y baja rigidez que se entrelazan para conseguir un comportamiento mecánico distinto, manteniendo una dimensión que permita llenar la ranura del bracket. Por un lado, la amplitud de trabajo o recorrido es mayor que la presentada por cualquiera de sus componentes mientras que la rigidez es significativamente menor a la media de los alambres constitutivos. Esta estructura es más fácil de manipular y están muy indicados en las fases iniciales del tratamiento para alineamientos, control de rotaciones y torque. Con algunos tipos de trenzado se puede conseguir un rango de trabajo equivalente a las de un alambre de níquel-titanio pero a menor coste.
TMA (Beta Titanio)
También últimamente se utilizan mucho los BETA TITANIO, que no llevan níquel. Son arcos de dureza media, entre el NITI y el ACERO y, al no poseer níquel, sirven para pacientes alérgicos al mismo.
Arcos estéticos
Respecto a los arcos en ortodoncia también cabe mencionar que existe una línea estética, tanto de NITI como de ACERO. Son arcos pintados o recubiertos de un material que los mimetiza con los dientes y los brackets y ayudan a que el tratamiento sea más estético.
Como hemos visto, el uso de los arcos en las distintas fases de ortodoncia depende mucho del diagnóstico del paciente y la técnica que se utilice, o si se utilizan brackets autoligados, por ejemplo.
Arcos Ni-Ti Termo-activados
El arco de Níquel-Titanio termo-activado es realmente suave y blando cuando se enfría por debajo de 5º C y las propiedades térmicas alcanzan la óptima activación a 27º C. Los arcos con postes maxilares están disponibles de 34 mm. a 60 mm. Los arcos con postes mandibulares están disponibles de 22 mm. a 48 mm.
Único poste soldado con láser, que garantiza su resistencia mecánica a la oxidación. Sin aporte de soldadura de plata altamente citotóxica. Tiene forma de seta, que asegura la retención de los elásticos, cadenetas, muelles, etc. Todos estos arcos están disponibles de 22 mm. a 44 mm.