El arco utilitario es una herramienta valiosa en la ortodoncia contemporánea, especialmente en el tratamiento de maloclusiones de Clase II. Este artículo tiene como objetivo mostrar, a propósito de un caso, el manejo clínico del aparato de Herbst, teniendo presente el potencial de recidiva del mismo para combatirlo y conseguir una corrección estable de la distoclusión.
El aparato de Herbst, en su diseño parcialmente cementado, se convierte en un aparato funcional de primera elección cuando la colaboración del paciente está en entredicho. Así mismo, resulta un aparato muy útil y recomendado en la corrección de la distoclusión en pacientes que acaban de superar el pico de crecimiento prepuberal y se encuentran en dentición permanente.
Los efectos esqueléticos y dentoalveolares de este aparato, que contribuyen a la corrección de la maloclusión de Clase II, han sido reportados desde hace años, contándose entre ellos el aumento en la longitud efectiva mandibular, la proinclinación de los incisivos inferiores, la mesialización de molares inferiores y el movimiento distal de molares superiores.
Debido a la explosividad de sus resultados, probablemente achacables a su apoyo dentoalveolar y a sus 22 h de uso diarias, se trata de un aparato cuyo tiempo medio de uso, reportado en la literatura, es de tan solo 7 meses. También es cierto que la recidiva en la corrección sagital, por distintos motivos, debe estar muy presente tras el uso del aparato de Herbst, siendo uno de los factores estabilizadores preconizados por el mismo Pancherz alcanzar una correcta interdigitación oclusal en Clase I.
Aparato de Herbst
Historia Clínica: Un Caso Práctico
Para ilustrar el manejo y la efectividad del arco utilitario, se presenta el caso de una paciente de sexo femenino, con 10 años y 2 meses de edad que acude a consulta acompañada por sus padres, pues le ven "la boca hacia adelante". No existen antecedentes médicos de interés. La paciente adolece de correctos hábitos higiénicos y dietéticos y ambos progenitores presentan una maloclusión de Clase II de Angle.
Exploración Extraoral
Se trata de una paciente de aspecto mesocefálico, sin asimetrías evidentes, salvo una ligera desviación de la pirámide nasal hacia la derecha, con tercios faciales proporcionados, labios competentes y presencia de un hábito de interposición labial. En sonrisa, observamos una correcta exposición vertical gingival, la línea media dentaria superior está centrada con respecto a la línea media facial y se adivina un maxilar comprimido. En el perfil, los tercios faciales aparecen proporcionados, con un ángulo nasolabial obtuso y un ángulo mentolabial muy marcado. Nos llama la atención la falta de protagonismo de la mandíbula en el perfil facial, que es ligeramente convexo (fig. 1).

Figura 1. Fotografías extraorales pretratamiento.
Exploración Intraoral
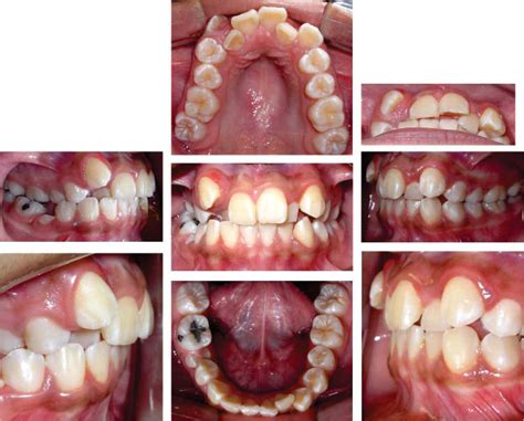
La paciente ya ha iniciado la segunda fase de recambio de la dentición mixta, existiendo caries oclusodistal en 64, origen de un absceso que fistuliza a este nivel por vestibular, posible caries palatina en 26 y oclusomesial a nivel de 74. Ambos primeros molares superiores presentan sendas obturaciones oclusales. La relación molar es de Clase II, completa en el lado derecho e incompleta en el lado izquierdo, estando aumentados el resalte y la sobremordida. La oclusión en relación céntrica mandibular es coincidente con la máxima intercuspidación. Existe una ligera discrepancia de líneas medias, estando la línea media inferior levemente desplazada hacia la derecha con respecto a la superior. Los incisivos superiores aparecen diastemados, intuyéndose una discrepancia oseodentaria positiva en la arcada superior, mientras que, por el contrario, la arcada inferior evidencia una clara discrepancia oseodentaria negativa (figs. 2 y 3).

Figura 2. Fotografías intraorales pretratamiento.

Figura 3. Fotografías intraorales pretratamiento. Vista oclusal.
Registros Radiográficos Pretatamiento y Cefalometría
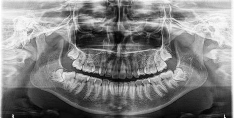
La ortopantomografía inicial (fig. 4) muestra una dentición mixta, iniciando el segundo período de recambio, con obturaciones a nivel de 16 y 26 y cóndilos mandibulares simétricos.

Figura 4. Ortopantomografía pretratamiento.
La telerradografía lateral de cráneo inicial (fig. 5) evidencia el resalte existente, con una mandíbula que presenta características típicas de tener un buen potencial de crecimiento.

Figura 5. Telerradiografía lateral de cráneo pretratamiento.
Cefalométricamente, según Ricketts (fig. 6), encontramos un patrón mesofacial, con una maloclusión esquelética de Clase II de origen mandibular, con incisivos inferiores retroinclinados.

Figura 6. Trazado cefalométrico pretratamiento.
Análisis de Modelos en Máxima Intercuspidación
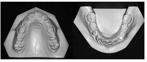
Modelo superior: Observamos una forma de arcada parabólica, con maxilar comprimido, incisivos superiores diastemados y mesiolinguorrotación de ambos primeros molares superiores (fig. 7A). Modelo inferior: La arcada describe una curva catenaria, con falta de espacio en la región de incisivos inferiores, que se encuentran apiñados. La discrepancia oseodentaria inferior, estimada en función del percentil 75 de las tablas de Moyers, es de -6,6 mm (fig. 7A). Modelos en máxima intercuspidación: Existe una relación molar de Clase II bilateral, siendo completa en el lado derecho e incompleta en el lado izquierdo. La línea media inferior se desvía 1,5 mm hacia la derecha con respecto a la línea media superior. El resalte está aumentado, siendo de +11 mm. Podemos calificar la sobremordida como completa o de 3/3 (fig. 7B).

Figura 7A. Vista oclusal de modelos pretratamiento.

Figura 7B. Modelos pretratamiento en máxima intercuspidación.
Diagnóstico
Se trata de una maloclusión de Clase II, 1 de Angle con compresión maxilar y sobremordida aumentada, en una paciente mesofacial en crecimiento, debida a una relación esquelética de Clase II causada por la hipoplasia mandibular, con incisivos inferiores retroinclinados y los superiores en ligera labioversión. Existe discrepancia oseodentaria severa en la arcada inferior (-6,6 mm) y leve desviación hacia la derecha de la línea media inferior de origen, fundamentalmente dentario.
Objetivos y Plan de Tratamiento
- Remitir a su dentista para consultar posible caries a nivel de 26.
- Motivación para mejorar higiene y control de dieta.
- Quad Hélix para desrotar 16 y 26 y hacer expansión maxilar.
- Arco utilitario inferior de protrusión para habilitar espacio y corregir la desviación dentaria en la arcada inferior.
- Aparato funcional tipo bionator o bien el aparato de Herbst para corregir la maloclusión de Clase II por hipoplasia mandibular.
- Corregir la sobremordida, asentamiento y detallado del caso a través de aparatología fija multibrackets (inicialmente, combinada con un aparato funcional de uso nocturno) para slot de .018" ´ .025" con arcos continuos en arcada superior y curva de Spee reversa en arcada inferior.
Progreso del Tratamiento
- Marzo de 2003: remitimos a su dentista para obturar 26. Damos consejos de higiene y dieta.
- Abril de 2003: colocamos un Quad Hélix con desrotación y expansión.
- Mayo de 2003: confeccionamos un arco utilitario de protrusión de incisivos inferiores.
- Octubre de 2003: colocamos un bionator con avance mandibular.
- Febrero de 2004: suspendemos el uso del aparato funcional debido a que la paciente se muestra no colaboradora. Colocamos un aparato de Herbst confeccionado con férulas acrílicas, cementando la férula maxilar e incorporando un tornillo que nos permite realizar la disyunción del maxilar superior, activado a ritmo de 1/4 de vuelta al día durante 10 días (fig. 8).

Figura 8. Aparato de Herbst con férulas de acrílico.
- Marzo de 2005: retiramos el aparato de Herbst y, debido a la falta de contactos oclusales estables, tomamos una impresión para un aparato funcional miostático, de uso nocturno y compatible con la aparatología fija multibrackets (fig. 9 A, B). Este aparato lleva un resorte tipo Coffin y acrílico oclusal sólo a nivel de los segundos molares, a los que se sujeta a través del diseño de ganchos de Dominique Groberty para la sujeción a las bandas (fig. 10).

Figura 9 A) Vista intraoral, inmediatamente después de colocar aparatología fija multibrackets, tras retirar el aparato de Herbst. B) Vista intraoral a las 48 h con el aparato funcional nocturno de contención colocado.

Figura 10. Diseño del aparato funcional de contención nocturno.
Cementamos aparatología fija multibrackets en ambas arcadas, con slot de .018" ´ .025" y la prescripción de Bench. Comenzaremos a nivelar las arcadas con arcos continuos primero, y luego con arcos de curva de Spee reversa en la arcada inferior y elásticos intermaxilares.
- Diciembre de 2005: retiramos el aparato funcional miostático de uso nocturno al conseguir ya una interdigitación oclusal de los sectores posteriores en Clase I.
- Julio de 2006: retiramos la aparatología fija multi-brackets y damos el alta con una placa superior con retenedor circunferencial y una barra de retención inferior fabricada en alambre trenzado de 6 hilos y calibre .0175".
Resultados Postratamiento
Resultados Faciales
Tras el tratamiento, se ha armonizado la proporción del labio inferior con respecto al superior, siendo el aspecto facial proporcionado y simétrico (a excepción de la desviación nasal, que con el crecimiento se va haciendo más evidente). Existe una correcta exposición gingival en sonrisa, donde la presentación del material dentario se despliega en consonancia con la curvatura del labio inferior y en ausencia de zonas oscuras en los corredores bucales. En el perfil resalta un importante crecimiento nasal, con un ángulo nasolabial armónico, un tercio inferior facial proporcionado y un surco mentolabial más suave (fig. 11).

Figura 11. Fotografías extraorales postratamiento.
Resultados Dentarios
Hemos conseguido una correcta interdigitación oclusal en Clase I, habiendo solucionado la discrepancia oseodentaria inferior y el resalte, además de alcanzar un nivel de sobremordida aceptable. La paciente presenta caries a nivel de la cara oclusal de 47 y lesiones crónicas de caries (sin cavitación) a nivel de 36 y 46, por lo que remitimos el caso a su dentista para valorar estos datos. La salud gingival y periodontal es correcta (figs. 12-14).

Figura 12. Fotografías intraorales postratamiento.

Figura 13. Fotografías intraorales postratamiento. Vista oclusal.

Figura 14. Modelos finales. A) en vista oclusal. B) en vista de máxima intercuspidación.
Resultados Radiográficos
En la ortopantomografía observamos un adecuado paralelismo radicular con gérmenes de cordales en formación y con suficiente espacio habitable. También observamos imágenes radiolúcidas de caries oclusales en molares inferiores. La telerradiografía lateral de cráneo muestra una normoclusión con perfil armónico (figs. 15 y 16).

Figura 15. Ortopantomografía postratamiento.

Figura 16. Telerradiografía lateral de cráneo postratamiento.
Resultados Cefalométricos
La convexidad facial ha disminuido en 2 mm, fundamentalmente debido al aumento en la profundidad facial. El crecimiento ha discurrido siguiendo fielmente el eje facial, no habiendo cambiado el plano mandibular. El incisivo inferior, con respecto a la línea A-Pg, ha pasado de un valor inicial de -4 mm a un valor final de +2,5 mm (figs. 17-19).

Figura 17. Cefalometría postratamiento.

Figura 18. Superposición general de Bjork. El trazado negro, pretratamiento, corresponde a febrero de 2003, con 10 años y 3 meses de edad. El trazado rojo, postratamiento, corresponde a septiembre de 2006, con 13 años y 9 meses de edad.

Figura 19. Superposición general de Bjork.
Retención
Las fotografías extraorales en retención muestran la estabilidad de los resultados faciales (fig. 20).

Figura 20. Fotografías extraorales en retención.
Cambios Dentarios
La oclusión y el alineamiento dentario se han mantenido muy bien, con un correcto nivel de salud oral, si bien se advierte una ligera tendencia a la recesión gingival a nivel de los incisivos centrales inferiores, por lo que se advierte a la paciente de dicho hallazgo y se aconseja un cepillado suave en la zona (figs. 21-23).

Figura 21. Fotografías intraorales en retención.

Figura 22. Fotografías intraorales en retención. Vista oclusal.

Figura 23. Modelos en retención. A) En vista oclusal. B) En vista de máxima intercuspidación.
Cambios Radiológicos y Cefalométricos
En la ortopantomografía observamos todas las caries tratadas y una normoclusión con correcta interdigitación en la telerradiografía lateral de cráneo. Cefalométricamente, no existen cambios significativos durante este período, siguiendo el crecimiento su cauce normal y mostrando la corrección sagital una gran estabilidad (figs. 24-28).

Figura 24. Ortopantomografía en retención.

Figura 25. Telerradiografía lateral de cráneo en retención.

Figura 26. Cefalometría en retención.

Figura 27. Superposición general de Bjork. El trazado negro, pretratamiento, corresponde a febrero de 2003, con 10 años y 3 meses de edad. El trazado rojo, postratamiento, corresponde a septiembre de 2006, con 13 años y 9 meses de edad. El trazado verde, retención, corresponde a febrero de 2011, con 19 años y 2 meses de edad.

Figura 28. Superposición general de Bjork.
Consideraciones Adicionales
Al partir, inicialmente, de una posición de incisivos inferiores muy retroinclinada, hemos tenido margen suficiente para admitir el movimiento de vestibuloversión de incisivos inferiores. También considero claves para la estabilidad de la corrección ortopédica sagital haber usado el aparato de Herbst durante un período ligeramente superior a 1 año (superior a lo reportado habitualmente en la literatura) y haber compatibilizado el aparato funcional de contención con la aparatología fija multibrackets, en tanto en cuanto no gozábamos de una correcta interdigitación cuspídea de los sectores laterales.
El Arco Utilitario en la Técnica Bioprogresiva de Ricketts
El arco utilitario es un componente esencial en la técnica bioprogresiva de Ricketts, utilizada para el tratamiento de diversas maloclusiones. Esta técnica busca favorecer el movimiento dental biológico y el posicionamiento espacial del maxilar y la mandíbula durante el crecimiento, utilizando la presión adecuada.
Principios de la Técnica Bioprogresiva
- Tratamiento Individualizado: Cada paciente es evaluado individualmente para determinar el plan de tratamiento más adecuado.
- Fuerzas Ligeras y Constantes: Se utilizan fuerzas ligeras para facilitar el movimiento dental a través del hueso cortical.
- Control del Anclaje: Se busca anclar los molares inferiores para evitar efectos secundarios no deseados durante el tratamiento.
- Consideración del Patrón Facial: Se tiene en cuenta el patrón facial del paciente (dolicofacial, braquifacial o mesofacial) para adaptar el tratamiento.
Componentes del Arco Utilitario
- Segmento Anterior: Controla la posición de los incisivos inferiores.
- Segmento Lateral: Afecta a los caninos y premolares.
- Helicoides: Permiten una acción de fuerza más suave y constante.
Aplicaciones del Arco Utilitario
- Protrusión de Incisivos Inferiores: Para corregir apiñamientos y mejorar la posición de los incisivos.
- Intrusión de Caninos Inferiores: Para corregir mordidas profundas.
- Retracción de Incisivos: Para cerrar espacios y mejorar el perfil facial.
tags: #arco #utilitario #en #ortodoncia