Los arcos son el motor para el movimiento dentario y depende de ellos gran parte de los resultados obtenidos tras diseñar un plan de tratamiento. Tradicionalmente la mayoría de las escuelas ortodóncicas tienen una mecánica de tratamiento de la sobremordida que utilizan de modo estandarizado, independientemente del patrón facial y de la posición previa de los dientes.
Este protocolo de aplicación de arcos permite graduar la fuerza que aplicamos, disminuyendo la holgura del arco en el surco del bracket y permitiendo, al utilizar lo antes posible arcos de acero, la incorporación de dobleces en los arcos que compensen el efecto extrusivo y la tendencia a la inclinación de los molares en esta fase.
Técnicas y Aplicaciones del Arco Utilitario
Así, en la técnica de Arco Recto, Andrews admitió que la corrección de la sobremordida era el único movimiento que se resistía al tratamiento con dicho arco y tuvo que reconocer la necesidad de agregar curva de Spee a su arco teóricamente plano. En la técnica de Begg se utiliza un acero australiano redondo con tip-back. De modo similar, la técnica Bioprogresiva de Ricketts emplea arcos utilitarios cuadrados o rectangulares también con Tip-back. En las técnicas de Burstone y Nanda se utilizan arcos 2x4 continuos o seccionados de nuevo con tip back.
La utilización de asas T tiene como finalidad actuar de rompefuerzas y controlar independientemente los sectores posteriores, el sector anterior y el canino. Proviene de las teorías de control segmentario pero utiliza arcos continuos preformados. A pesar de llevar practicando durante muchos años «arco recto» nos parece un término que no define la base de la técnica que en realidad debería de denominarse «técnica preajustada».
Los autores que más han escrito sobre técnicas segmentarias son Burstone y Ricketts. Burstone propuso la técnica de arcos segmentarios que es un procedimiento ortodóntico que usa fuerzas relativamente ligeras y constantes que permite el control de las unidades de anclaje durante el movimiento dentario, el tratamiento con técnica segmentaria difiere del tratamiento con arcos continuos en que los arcos utilizados son tramos aislados de alambre que no tienen una continuidad en toda la arcada, y trata la maloclusión por segmentos dentarios independientemente.
El arco está cortado en tres segmentos, dos posteriores y uno anterior. Los resortes a mesial y distal del canino que se emplean en la técnica de arco recto son de 3 tipos: asas en T (abiertas o cerradas), asas en ojo de cerradura y ganchos soldados.
Nosotros preferimos las asas en T abiertas para incorporar también flexibilidad al arco en sentido horizontal12. Las asas T se caracterizan por estar equilibradas en los 3 planos del espacio por lo que pueden controlar la posición del canino en estos 3 planos y dan un buen control zonal ya que el gran consumo de alambre para la conformación de las asas rompe la rigidez del arco de acero y no da un apoyo directo sobre los dientes contiguos sino que se reparte la fuerza en toda la arcada, ya que la longitud influye de forma exponencial disminuyendo la fuerza, y lo hace en relación la tercera potencia, por lo que al duplicar la longitud de alambre la fuerza disminuye 8 veces.
Las asas T además de tener esta utilidad mecánica son un componente muy importante en nuestra técnica para dar soporte a dispositivos auxiliares, tales como módulos, hilo elástico, elásticos intermaxilares, etc. Es el mecanismo de elección para la corrección de las rotaciones caninas ya que generan un par de fuerzas para conseguir el giro y se apoya en la zona incisiva y premolar distribuyendo la presión sobre un grupo de dientes, a diferencia de un arco superelástico que apoya en los dientes contiguos.

Biomecánica y confección de un arco utilitario de intrusión
Consideraciones Adicionales y Aparatología Complementaria
Otro método que va cobrando importancia es el uso de levantes de mordida anteriores o posteriores que, en combinación con la aparatología fija multibracket permiten la extrusión selectiva de determinados sectores dentarios. El mayor problema de la utilización de arcos superelásticos durante toda la primera fase de tratamiento estriba en el control vertical en pacientes dólicofaciales o braquifaciales.
Ésa es la razón de utilizar arcos con zonas de alambre independiente para incisivos, caninos y premolares, realizando unos resortes en forma de T, por delante y detrás del canino.
Los dobleces de compensación de la extrusión los aplicamos en la proyección de los puntos de contacto y en el caso de que existan resortes en el ángulo distal, si son anteriores y en el ángulo mesial si son posteriores. El empleo de arcos precompensados, con curva oclusal conformada durante la fabricación, únicamente lo empleamos de .012 y .014 acero, en pacientes con intensa sobremordida. Los arcos de NiTi precompensados, especialmente los redondos, tienen tendencia a provocar una inclinación lingual de los molares inferiores.
El aparato de Herbst, en su diseño parcialmente cementado, se convierte en un aparato funcional de primera elección cuando la colaboración de la paciente está en entredicho. Así mismo, resulta un aparato muy útil y recomendado en la corrección de la distoclusión en pacientes que acaban de superar el pico de crecimiento prepuberal y se encuentran en dentición permanente1.
Los efectos esqueléticos y dentoalveolares de este aparato, que contribuyen a la corrección de la maloclusión de Clase II, han sido reportados desde hace años2, contándose entre ellos el aumento en la longitud efectiva mandibular, la proinclinación de los incisivos inferiores, la mesialización de molares inferiores y el movimiento distal de molares superiores. Debido a la explosividad de sus resultados, probablemente achacables a su apoyo dentoalveolar y a sus 22 h de uso diarias, se trata de un aparato cuyo tiempo medio de uso, reportado en la literatura, es de tan solo 7 meses3.
También es cierto que la recidiva en la corrección sagital, por distintos motivos, debe estar muy presente tras el uso del aparato de Herbst, siendo uno de los factores estabilizadores preconizados por el mismo Pancherz alcanzar una correcta interdigitación oclusal en Clase I4,5.
Caso Clínico: Manejo del Aparato de Herbst
El objetivo de este artículo es mostrar, a propósito de un caso, el manejo clínico del aparato de Herbst, teniendo presente el potencial de recidiva del mismo para combatirlo y conseguir una corrección estable de la distoclusión.
Historia clínica
Anamnesis Paciente de sexo femenino, con 10 años y 2 meses de edad que acude a consulta acompañada por sus padres, pues le ven "la boca hacia adelante". No existen antecedentes médicos de interés. La paciente adolece de correctos hábitos higiénicos y dietéticos y ambos progenitores presentan una maloclusión de Clase II de Angle.
Exploración extraoral

Figura 1 Fotografías extraorales pretratamiento.
Se trata de una paciente de aspecto mesocefálico, sin asimetrías evidentes, salvo una ligera desviación de la pirámide nasal hacia la derecha, con tercios faciales proporcionados, labios competentes y presencia de un hábito de interposición labial. En sonrisa, observamos una correcta exposición vertical gingival, la línea media dentaria superior está centrada con respecto a la línea media facial y se adivina un maxilar comprimido. En el perfil, los tercios faciales aparecen proporcionados, con un ángulo nasolabial obtuso y un ángulo mentolabial muy marcado. Nos llama la atención la falta de protagonismo de la mandíbula en el perfil facial, que es ligeramente convexo (fig. 1).
Exploración intraoral

Figura 2 Fotografías intraorales pretratamiento.

Figura 3 Fotografías intraorales pretratamiento. Vista oclusal.
La paciente ya ha iniciado la segunda fase de recambio de la dentición mixta, existiendo caries oclusodistal en 64, origen de un absceso que fistuliza a este nivel por vestibular, posible caries palatina en 26 y oclusomesial a nivel de 74. Ambos primeros molares superiores presentan sendas obturaciones oclusales. La relación molar es de Clase II, completa en el lado derecho e incompleta en el lado izquierdo, estando aumentados el resalte y la sobremordida. La oclusión en relación céntrica mandibular es coincidente con la máxima intercuspidación. Existe una ligera discrepancia de líneas medias, estando la línea media inferior levemente desplazada hacia la derecha con respecto a la superior. Los incisivos superiores aparecen diastemados, intuyéndose una discrepancia oseodentaria positiva en la arcada superior, mientras que, por el contrario, la arcada inferior evidencia una clara discrepancia oseodentaria negativa (figs. 2 y 3).
Registros radiográficos pretatamiento y cefalometría

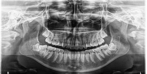
Figura 4 Ortopantomografía pretratamiento.
La ortopantomografía inicial (fig. 4) muestra una dentición mixta, iniciando el segundo período de recambio, con obturaciones a nivel de 16 y 26 y cóndilos mandibulares simétricos.

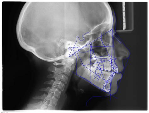
Figura 5 Telerradiografía lateral de cráneo pretratamiento.
La telerradiografía lateral de cráneo inicial (fig. 5) evidencia el resalte existente, con una mandíbula que presenta características típicas de tener un buen potencial de crecimiento.

Figura 6 Trazado cefalométrico pretratamiento.
Cefalométricamente, según Ricketts (fig. 6), encontramos un patrón mesofacial, con una maloclusión esquelética de Clase II de origen mandibular, con incisivos inferiores retroinclinados.
Análisis de modelos en máxima intercuspidación

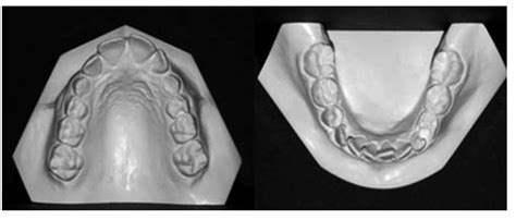
Figura 7A Vista oclusal de modelos pretratamiento.
Modelo superior Observamos una forma de arcada parabólica, con maxilar comprimido, incisivos superiores diastemados y mesiolinguorrotación de ambos primeros molares superiores (fig. 7A).

Figura 7B Modelos pretratamiento en máxima intercuspidación.
Modelo inferior La arcada describe una curva catenaria, con falta de espacio en la región de incisivos inferiores, que se encuentran apiñados. La discrepancia oseodentaria inferior, estimada en función del percentil 75 de las tablas de Moyers, es de -6,6 mm (fig. 7A).
Modelos en máxima intercuspidación Existe una relación molar de Clase II bilateral, siendo completa en el lado derecho e incompleta en el lado izquierdo. La línea media inferior se desvía 1,5 mm hacia la derecha con respecto a la línea media superior. El resalte está aumentado, siendo de +11 mm. Podemos calificar la sobremordida como completa o de 3/3 (fig. 7B).
Diagnóstico
Se trata de una maloclusión de Clase II, 1 de Angle con compresión maxilar y sobremordida aumentada, en una paciente mesofacial en crecimiento, debida a una relación esquelética de Clase II causada por la hipoplasia mandibular, con incisivos inferiores retroinclinados y los superiores en ligera labioversión. Existe discrepancia oseodentaria severa en la arcada inferior (-6,6 mm) y leve desviación hacia la derecha de la línea media inferior de origen, fundamentalmente dentario.
Objetivos y plan de tratamiento
- Remitir a su dentista para consultar posible caries a nivel de 26.
- Motivación para mejorar higiene y control de dieta.
- Quad Hélix para desrotar 16 y 26 y hacer expansión maxilar.
- Arco utilitario inferior de protrusión para habilitar espacio y corregir la desviación dentaria en la arcada inferior.
- Aparato funcional tipo bionator o bien el aparato de Herbst para corregir la maloclusión de Clase II por hipoplasia mandibular.
- Corregir la sobremordida, asentamiento y detallado del caso a través de aparatología fija multibrackets (inicialmente, combinada con un aparato funcional de uso nocturno) para slot de .018" ´ .025" con arcos continuos en arcada superior y curva de Spee reversa en arcada inferior.
Progreso del tratamiento
- Marzo de 2003: remitimos a su dentista para obturar 26. Damos consejos de higiene y dieta.
- Abril de 2003: colocamos un Quad Hélix con desrotación y expansión.
- Mayo de 2003: confeccionamos un arco utilitario de protrusión de incisivos inferiores.
- Octubre de 2003: colocamos un bionator con avance mandibular.
- Febrero de 2004: suspendemos el uso del aparato funcional debido a que la paciente se muestra no colaboradora. Colocamos un aparato de Herbst confeccionado con férulas acrílicas, cementando la férula maxilar e incorporando un tornillo que nos permite realizar la disyunción del maxilar superior, activado a ritmo de 1/4 de vuelta al día durante 10 días (fig. 8).

Figura 8 Aparato de Herbst con férulas de acrílico.
- Marzo de 2005: retiramos el aparato de Herbst y, debido a la falta de contactos oclusales estables, tomamos una impresión para un aparato funcional miostático, de uso nocturno y compatible con la aparatología fija multibrackets (fig. 9 A, B). Este aparato lleva un resorte tipo Coffin y acrílico oclusal sólo a nivel de los segundos molares, a los que se sujeta a través del diseño de ganchos de Dominique Groberty para la sujeción a las bandas (fig. 10).

Figura 9 A) Vista intraoral, inmediatamente después de colocar aparatología fija multibrackets, tras retirar el aparato de Herbst.

B) Vista intraoral a las 48 h con el aparato funcional nocturno de contención colocado.

Figura 10 Diseño del aparato funcional de contención nocturno.
Cementamos aparatología fija multibrackets en ambas arcadas, con slot de .018" ´ .025" y la prescripción de Bench. Comenzaremos a nivelar las arcadas con arcos continuos primero, y luego con arcos de curva de Spee reversa en la arcada inferior y elásticos intermaxilares.
- Diciembre de 2005: retiramos el aparato funcional miostático de uso nocturno al conseguir ya una interdigitación oclusal de los sectores posteriores en Clase I.
- Julio de 2006: retiramos la aparatología fija multi-brackets y damos el alta con una placa superior con retenedor circunferencial y una barra de retención inferior fabricada en alambre trenzado de 6 hilos y calibre .0175".
Resultados postratamiento
Resultados faciales

Figura 11 Fotografías extraorales postratamiento.
Tras el tratamiento, se ha armonizado la proporción del labio inferior con respecto al superior, siendo el aspecto facial proporcionado y simétrico (a excepción de la desviación nasal, que con el crecimiento se va haciendo más evidente). Existe una correcta exposición gingival en sonrisa, donde la presentación del material dentario se despliega en consonancia con la curvatura del labio inferior y en ausencia de zonas oscuras en los corredores bucales. En el perfil resalta un importante crecimiento nasal, con un ángulo nasolabial armónico, un tercio inferior facial proporcionado y un surco mentolabial más suave (fig. 11).
Resultados dentarios

Figura 12 Fotografías intraorales postratamiento.

Figura 13 Fotografías intraorales postratamiento. Vista oclusal.

Figura 14 Modelos finales. A) en vista oclusal. B) en vista de máxima intercuspidación.
Hemos conseguido una correcta interdigitación oclusal en Clase I, habiendo solucionado la discrepancia oseodentaria inferior y el resalte, además de alcanzar un nivel de sobremordida aceptable. La paciente presenta caries a nivel de la cara oclusal de 47 y lesiones crónicas de caries (sin cavitación) a nivel de 36 y 46, por lo que remitimos el caso a su dentista para valorar estos datos. La salud gingival y periodontal es correcta (figs. 12-14).
Resultados radiográficos

Figura 15 Ortopantomografía postratamiento.

Figura 16 Telerradiografía lateral de cráneo postratamiento.
En la ortopantomografía observamos un adecuado paralelismo radicular con gérmenes de cordales en formación y con suficiente espacio habitable. También observamos imágenes radiolúcidas de caries oclusales en molares inferiores. La telerradiografía lateral de cráneo muestra una normoclusión con perfil armónico (figs. 15 y 16).
Resultados cefalométricos

Figura 17 Cefalometría postratamiento.

Figura 18 Superposición general de Bjork. El trazado negro, pretratamiento, corresponde a febrero de 2003, con 10 años y 3 meses de edad. El trazado rojo, postratamiento, corresponde a septiembre de 2006, con 13 años y 9 meses de edad.
La convexidad facial ha disminuido en 2 mm, fundamentalmente debido al aumento en la profundidad facial. El crecimiento ha discurrido siguiendo fielmente el eje facial, no habiendo cambiado el plano mandibular. El incisivo inferior, con respecto a la línea A-Pg, ha pasado de un valor inicial de -4 mm a un valor final de +2,5 mm (figs. 17-19).
Cambios en retención
Cambios dentarios

Figura 20 Fotografías extraorales en retención.

Figura 21 Fotografías intraorales en retención.

Figura 22 Fotografías intraorales en retención. Vista oclusal.

Figura 23 Modelos en retención. A) En vista oclusal. B) En vista de máxima intercuspidación.
La oclusión y el alineamiento dentario se han mantenido muy bien, con un correcto nivel de salud oral, si bien se advierte una ligera tendencia a la recesión gingival a nivel de los incisivos centrales inferiores, por lo que se advierte a la paciente de dicho hallazgo y se aconseja un cepillado suave en la zona (figs. 21-23).
Cambios radiológicos y cefalométricos

Figura 24 Ortopantomografía en retención.

Figura 25 Telerradiografía lateral de cráneo en retención.

Figura 26 Cefalometría en retención.

Figura 27 Superposición general de Bjork. El trazado negro, pretratamiento, corresponde a febrero de 2003, con 10 años y 3 meses de edad. El trazado rojo, postratamiento, corresponde a septiembre de 2006, con 13 años y 9 meses de edad. El trazado verde, retención, corresponde a febrero de 2011, con 19 años y 2 meses de edad.
En la ortopantomografía observamos todas las caries tratadas y una normoclusión con correcta interdigitación en la telerradiografía lateral de cráneo. Cefalométricamente, no existen cambios significativos durante este período, siguiendo el crecimiento su cauce normal y mostrando la corrección sagital una gran estabilidad (figs. 24-28).
Consideraciones Finales
Al partir, inicialmente, de una posición de incisivos inferiores muy retroinclinada, hemos tenido margen suficiente para admitir el movimiento de vestibuloversión de incisivos inferiores.
También considero claves para la estabilidad de la corrección ortopédica sagital haber usado el aparato de Herbst durante un período ligeramente superior a 1 año (superior a lo reportado habitualmente en la literatura) y haber compatibilizado el aparato funcional de contención con la aparatología fija multibrackets, en tanto en cuanto no gozábamos de una correcta interdigitación cuspídea de los sectores laterales.
En resumen, el arco utilitario es una herramienta valiosa en ortodoncia, especialmente en el tratamiento de maloclusiones complejas y en combinación con otras técnicas y aparatos ortopédicos. Su correcta aplicación, basada en un diagnóstico preciso y un plan de tratamiento bien definido, contribuye a resultados estables y funcionales a largo plazo.
tags: #arco #utility #ortodoncia