¿Sueñas con una sonrisa perfecta? Los tratamientos estéticos dentales son cada vez más demandados en el mundo de la odontología. Ya no basta con solucionar problemas de salud bucodental, sino que buscamos la perfección en nuestra dentadura. En la Clínica COED, nuestros dentistas de confianza en Tres Cantos, son expertos en tratamientos de salud dental.

Según estudios sociológicos, la sonrisa es lo primero que notamos en otra persona. Por ello, es crucial conocer los tipos de tratamientos estéticos dentales disponibles para lograr esa sonrisa deseada.
Tipos de Tratamientos Estéticos Dentales
¿Estás buscando cuáles son los tipos de tratamientos estético dentales que hay? Estos son algunos de los tratamientos más comunes:
- Carillas dentales
- Blanqueamiento dental
- Ortodoncia
- Fundas/coronas estéticas
- Cirugía plástica en la encía
- Limpieza dental
1. Carillas Dentales
Las carillas dentales son el tratamiento estético dental más realizado actualmente. Consisten en láminas muy finas de cerámica que se adhieren a la parte externa de los dientes, mejorando notablemente la imagen de la dentadura. En esencia, son lentes elaboradas que el odontólogo coloca sobre los dientes para que luzcan la forma y el color deseados.

Las carillas dan un mejor aspecto en color y forma a los dientes. Con ellas podrás cambiar el color de tus dientes, la forma, el tamaño, la textura… ¡para que puedas lucir una sonrisa excelente!
Tipos de Carillas:
- Carillas de Porcelana: Resistentes a las manchas y con un aspecto similar a los dientes naturales. Pueden corregir el desgaste y cubrir piezas astilladas o rotas.
- Carillas de Composite: Reversibles y con un trabajo previo mínimo en los dientes. Sin embargo, no imitan tan bien el esmalte y pueden mancharse o fracturarse.
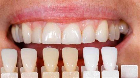
Prueba Pre - Colocacion carillas lumineers
2. Blanqueamiento Dental
El blanqueamiento dental es un tratamiento que sirve para obtener un tono más claro en la dentadura y homogeneizar los dientes manchados o decolorados, de forma que quede una sonrisa completamente estética. Se lleva a cabo mediante la aplicación de gel de peróxido de hidrógeno sobre los dientes, eliminando las manchas del esmalte y resaltando el brillo natural de los dientes.

Este es un tratamiento muy sencillo e indoloro que puedes realizar en la clínica dental, siempre que un especialista te lo recomiende. Sonrisa más blanca. Recupera la apariencia natural de tus dientes.
3. Ortodoncia
La ortodoncia invisible te ayudará a hacer realidad tu sonrisa perfecta. Cada vez son más los pacientes que recurren a un tratamiento de ortodoncia para corregir los dientes que se encuentran en una mala posición dentro de la boca.

Aunque algunos pacientes prefieren aparatos visibles como los brackets, el tratamiento favorito es el Invisalign o la ortodoncia invisible. Esta técnica innovadora genera movimientos dentales continuos para que los dientes alcancen la posición deseada.
4. Fundas/Coronas Estéticas
Se trata de una prótesis fija que se colocará sobre los dientes para disimular las alteraciones frontales de la pieza. Este tratamiento ofrece un resultado muy estético siempre que se usen materiales altamente estéticos como el zirconio (libre de metal), pero tienen la contra que son más invasivas con respecto a otros tratamientos alternativos como las carillas o la ortodoncia invisible.
5. Cirugía Plástica en la Encía
Cuando hablamos de una bonita sonrisa no solamente nos referimos a los dientes, sino que todo el conjunto es importante para tener una buena calidad estética. Unas encías mal colocadas podrían hacer que los dientes perfectos pasaran desapercibidos o que destaquen demasiado, causándote otro tipo de problemas estéticos.

La cirugía plástica periodontal de la encía consiste en corregir los problemas que puedan presentar las encías. Usualmente, los especialistas lidian con la altura de las encías y son capaces de dejarte una boca perfectamente proporcionada, sin necesidad de que sufras dolor por ello.
6. Limpieza Dental
Por muy bonitos que tengas los dientes, si los llevas sucios, no podrás lucirlos de ninguna manera. Este es uno de los tratamientos más sencillos, pero también el más necesario. Tiene como objetivo eliminar el sarro y la placa bacteriana que se ha acumulado en los dientes o en el espacio interdental.

Aparte de llevar una correcta higiene diaria, será necesario someterse a una o dos limpiezas bucales al año, a fin de que tus dientes luzcan siempre perfectos y libres de suciedad acumulada.
Una de nuestras limpiezas más demandadas es la que hacemos con nuestro sistema de aeropulidor, en el que ademas de eliminar la placa y el sarro, usamos un chorro de aire-agua a presión con productos que alisan la superficie dental y además eliminan muy bien todas las manchas que tienen los dientes en todo su contorno.
¿Cómo se colocan las carillas dentales?
El proceso de colocación de carillas dentales sigue estos pasos:
- El odontólogo examinará los dientes del paciente para asegurarse de que es apto para recibir el tratamiento.
- Se prepara el diente a tratar, eliminando parte del esmalte.
- Se toman las impresiones.
- Se colocan las impresiones de las carillas ya terminadas, preparando el diente con limpieza, pulido y grabado.
- Se ajusta la colocación, eliminando cualquier exceso del cemento especial utilizado.
Tipos de Reconstrucción Dental
La reconstrucción dental es una técnica habitual para recuperar un diente dañado. El primer paso es acudir al dentista para una exploración y diagnóstico. Existen varios tipos de reconstrucción dental:
- Con composite (resina): Adecuada para daños leves y caries pequeñas. El composite se adhiere fácilmente al diente y respeta su forma original.
- Con carillas: Se utilizan en dientes frontales dañados por caries, desgaste o golpes. Se adhiere una lámina de cerámica a la parte delantera del diente.
- Con corona: Para grandes destrucciones dentales. Las coronas son prótesis de cerámica que recubren todo el diente.
- Con perno y corona: Cuando el daño es muy grande y no ofrece suficiente estructura para la corona. Se coloca un perno dentro de la raíz del diente.
- Con incrustaciones: Para daños no tan extensos donde no es posible la restauración con resina. Se realiza una pieza a medida de cerámica o circonio.

Otros Tratamientos
Además de los tratamientos mencionados, existen otras opciones para mejorar la apariencia de los dientes frontales:
- Contorneado Dental: Permite eliminar pequeñas cantidades de esmalte para modificar ligeramente la forma, longitud y superficie de los dientes.
- Restauraciones Dentales: Incluyen empastes, coronas e implantes.
Consideraciones Finales
La elección del tratamiento adecuado depende de varios factores, incluyendo la ubicación del diente dañado, la extensión del daño, la salud bucal general del paciente y sus preferencias estéticas y económicas. Mantener una buena higiene bucal y asistir a revisiones dentales regulares son cruciales para la longevidad de cualquier restauración dental.
Si tienes un espacio entre los dientes frontales, consulta a un ortodoncista para determinar el mejor tratamiento. ¡Una sonrisa hermosa y saludable está al alcance de tu mano!