¿Quién no sueña con tener una sonrisa perfecta? Ya no vale con reparar los dientes y mejorar diferentes problemas de salud. Actualmente, no nos vale con simplemente ir a la clínica dental para tratar los problemas de salud bucodental que sufrimos, sino que siempre vamos un paso más allá y buscamos la perfección en nuestra dentadura. Según los estudios sociológicos, la sonrisa es lo primero en lo que nos fijamos los humanos cuando conocemos a otra persona, así que, todo el mundo debería querer tener una bonita sonrisa. Esta es una de las principales razones por las que los tratamientos estéticos dentales son los más demandados en el mundo de la odontología.
Existen una gran variedad de tipos de arreglos dentales. Es muy común realizar consultas periódicas a tu odontólogo para detectar de forma temprana problemas dentales y para aprender a mantener una higiene bucal adecuada. ¡No te preocupes!… si tu caso es de terror al dentista te comento que la mayoría de estos tratamientos están acompañados de anestesias locales con las cuales no podrás sentir ningún dolor.
¿Estás buscando cuáles son los tipos de tratamientos estético dentales que hay? ¿Y a qué tratamientos de estética dental puedes acceder? A continuación, exploraremos las opciones disponibles para lograr la sonrisa que siempre has deseado.
Tipos de Tratamientos Estéticos Dentales
Aquí te presentamos los 6 tipos de tratamientos estéticos dentales que pueden ayudarte a conseguir la sonrisa perfecta con la que llevas tanto tiempo soñando:
- Carillas dentales
- Blanqueamiento dental
- Ortodoncia
- Fundas/coronas estéticas
- Cirugía plástica en la encía
- Limpieza dental
Carillas dentales: cómo transformar tu sonrisa sin complicaciones 🦷
1. Carillas Dentales
Las carillas son un tratamiento para mejorar la apariencia de los dientes. Consiste en colocar unas láminas de porcelana en la cara frontal de los dientes, mejorando su aspecto estético. Las carillas dan un mejor aspecto en color y forma a los dientes. Las carillas dentales son el tratamiento estético dental más realizado actualmente y ayuda a las personas a tener la sonrisa con la que siempre habían soñado. Se trata de un procedimiento mínimamente invasivo que consiste en unas láminas muy finas de cerámica que se adhieren a la parte externa de los dientes, de manera que mejora notablemente la imagen de la dentadura.
Es decir, no son más que unas lentes muy elaboradas que el odontólogo colocará encima de los dientes, para que estos luzcan la forma y el color deseados. Con ellas podrás cambiar el color de tus dientes, la forma, el tamaño, la textura… ¡para que puedas lucir una sonrisa excelente! Las carillas dentales se colocan en la superficie frontal de los dientes con la finalidad de mejorar su aspecto.
Las carillas dentales son unas láminas muy finas -generalmente inferiores a un milímetro de espesor- que se fijan sobre la parte visible de uno o varios dientes. Su objetivo es corregir problemas estéticos (fracturas leves, cambios de color…) o patológicos (originados por caries). Pueden estar hechas de diferentes materiales, pero suelen ser de porcelana o composite. Por lo general, estas últimas suelen confeccionarse en la propia clínica dental con un material fotocurable, igual que el que se usa para hacer los empastes. Su principal objetivo es mejorar el aspecto de los dientes, ya sea para modificar su tamaño, color, forma o posición. Por tanto, tienen una finalidad puramente estética.
En otras palabras, son «pegatinas» que se colocan encima de los dientes para variar el color y la forma de los dientes.

Carillas de porcelana mejorando la estética dental.
Tipos de carillas
Existen varios tipos de carillas, cada uno con sus propias características y precios:
- Composite: La opción más rápida y económica para problemas estéticos leves. Las carillas de composite las utilizamos para arreglar pequeñas imperfecciones.
- Cerámica o porcelana: El coste de las carillas de cerámica o porcelana es algo más elevado. Las carillas de porcelana, al utilizar este material, cuentan con la ventaja de que resisten muy bien a las manchas. Además, la porcelana tiene un aspecto muy similar al de los dientes naturales cuando estos están sanos y blancos. Además, las carillas de porcelana pueden corregir problemas como el desgaste de los dientes, así como cubrir piezas astilladas o rotas.
- E-Max y Lumineers: Como puedes imaginar las carillas E-Max y Lumineers tienen un precio superior a las Composite.
Las carillas de composite, un material fabricado con varias resinas compuestas, tienen la ventaja de que son reversibles. El trabajo previo con los dientes es mínimo, por lo que no los altera de forma permanente. Por otra parte, tienen la desventaja de que no imitan tan bien el esmalte de los dientes como las de porcelana. Además, al ser la resina un material poroso, pueden mancharse y son susceptibles de sufrir astillados o fracturas.
Las carillas son un tratamiento que principalmente tiene fines estéticos. Sin embargo, hay que tener en cuenta que no pueden solucionar todos. Según el objetivo, puede que sea necesario recurrir a tratamientos como el blanqueamiento o la ortodoncia.
A la hora de elegir un tipo de carillas u otro es necesario acudir a la clínica dental y que sea el odontólogo quien aconseje el tipo de carilla más conveniente, en función de las necesidades de cada paciente.
Proceso de colocación de carillas
El procedimiento de colocación depende del tipo de carillas que vaya a llevar el paciente (porcelana, composite, disilicato de litio…):
- Durante este proceso, el odontólogo examinará los dientes del paciente para asegurarse de que es apto para recibir el tratamiento y si es más adecuado realizarlo con carillas de porcelana o composite.
- En segundo lugar, se preparará el diente a tratar. Esta preparación consiste en eliminar de la superficie del diente parte del esmalte.
- En tercer lugar, se tomarán las impresiones.
- El cuarto paso consiste en colocar las impresiones de las carillas ya terminadas. Para poder hacerlo, hay que preparar el diente, en un proceso que consiste en limpiar, pulir y grabar la pieza dental.
- El quinto y último paso será ajustar esta colocación. Para ello, se eliminará cualquier exceso del cemento especial utilizado.
Ventajas de las carillas
- Sonrisa más blanca.
- Recupera la apariencia natural de tus dientes.
- Recupera la forma de tus dientes.
- Tratamiento mínimamente invasivo.
- Un único tratamiento para varios problemas. Las carillas permiten solucionar varios problemas coexistentes.
Duración y garantías
Su duración media es de unos 12 años. En este caso, si la carilla está intacta, se vuelve a adherir. Si se ha roto, sencillamente se vuelve a hacer otra en pocos días. La duración de las carillas dentales está determinada por diversos factores, como los cuidados que siga el paciente en cuanto a higiene oral, alimentación, tabaco, hábitos, revisiones con el dentista, etc. Adicionalmente, la durabilidad del tratamiento también depende del material con el que están fabricadas las carillas y de la técnica de colocación (directa o indirecta).
Por ello, no resulta posible determinar de antemano cuánto tiempo duran las carillas dentales. Lo que sí podemos decirte es que, con unos cuidados y unos mantenimientos adecuados, son un tratamiento pensado para durar a largo plazo.
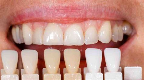
2. Blanqueamiento Dental
El blanqueamiento dental es un tratamiento que sirve para obtener un tono más claro en la dentadura y homogeneizar los dientes manchados o decolorados, de forma que quede una sonrisa completamente estética. Se llevará a cabo a través de la aplicación del gel de peróxido de hidrógeno sobre los dientes. Esto hará que se eliminen las manchas del esmalte y que salga a la luz el brillo natural de los dientes.
Este es un tratamiento muy sencillo e indoloro que puedes realizar en la clínica dental, siempre que un especialista te lo recomiende. El blanqueamiento dental combinado tiene una parte ambulatoria y otra realizada en clínica. Tiene una duración de un mes hasta completar el tratamiento, dividido en dos semanas llevando férulas con gel blanqueador en las horas de sueño, una sesión con lámpara en clínica y otras dos semanas de férulas.

Blanqueamiento dental para mejorar el tono de los dientes.
3. Ortodoncia
Cada vez son más los pacientes que recurren a un tratamiento de ortodoncia para corregir los dientes que se encuentran en una mala posición dentro de la boca. Algunos de los pacientes prefieren trabajar este problema estético a través de aparatos visibles, como los brackets.
Pero, lo cierto es que actualmente, el tratamiento favorito para corregir la posición de la dentadura es el invisalign o la ortodoncia invisible. Esta nueva técnica innovadora genera movimientos dentales continuos, para que los dientes alcancen la posición deseada. La ortodoncia invisible te ayudará a hacer realidad tu sonrisa perfecta.
La tecnología ha hecho grandes progresos y ahora existe la ortodoncia invisible, se trata de aparatos fabricados con un material plástico transparente, se colocan para ayudar a mover los dientes poco a poco para llegar a la posición deseada. Gracias a los avances en tecnología y la técnica, es posible corregir cualquier maloclusión y desalineación dental a través de aparatos de ortodoncia invisibles que no se aprecian ni interfieren con la imagen del paciente.
La ortodoncia sin brackets se basa en alineadores transparentes hechos a medida que se van cambiando cada dos semanas. Invisalign no implica ninguna restricción relacionada con la dieta y, al ser removibles, facilita la higiene diaria. Pero si no quieres que nadie sepa que llevas un aparato dental, la mejor opción para ti son los brackets linguales. En nuestro centro solo trabajamos con la marca Incognito por ser los únicos brackets invisibles confeccionados a medida para cada paciente.
Los brackets transparentes más estéticos y que ofrecen mayores ventajas son los de cristal de zafiro. Además, gracias a la calidad de sus componentes, los brackets de zafiro no se oscurecen ni se tiñen, por lo que no se pierde estética durante el tiempo que dure la ortodoncia.

Ortodoncia invisible para corregir la posición de los dientes.
4. Fundas/Coronas Estéticas
Otro de los tipos de tratamientos estéticos dentales son las fundas estéticas. Se trata de una prótesis fija que se colocará sobre los dientes para disimular las alteraciones frontales de la pieza. Este tratamiento ofrece un resultado muy estético siempre que se usen materiales altamente estéticos como el zirconio (libre de metal), pero tienen la contra que son más invasivas con respecto a otros tratamientos alternativos como las carillas o la ortodoncia invisible.
Las Coronas dentales se utilizan cuando es necesario reparar una pieza dental completa. Su uso puede mejorar el aspecto, la forma o la alineación del diente. Es posible hacer coincidir el color de la corona con el color natural del diente. Además, se utilizan cuando existen motivos de fuerza mayor.
5. Cirugía Plástica en la Encía
Cuando hablamos de una bonita sonrisa no solamente nos referimos a los dientes, sino que todo el conjunto es importante para tener una buena calidad estética. Unas encías mal colocadas podrían hacer que los dientes perfectos pasaran desapercibidos o que destaquen demasiado, causándote otro tipo de problemas estéticos.
La cirugía plástica periodontal de la encía consiste en corregir los problemas que puedan presentar las encías. Usualmente, los especialistas lidian con la altura de las encías y son capaces de dejarte una boca perfectamente proporcionada, sin necesidad de que sufras dolor por ello. Los tratamientos de estética no solo se centran en mejorar el aspecto de los dientes, sino también de las encías.
Hay personas que muestran una excesiva cantidad de encía al sonreír y deciden someterse a una gingivectomía. Así obtenemos una sonrisa más proporcionada y armónica, ya que los dientes parecerán más largos y menos cuadrados. La cirugía plástica gingival o injerto de encía se realiza cuando parte de la encía se ha retraído, normalmente a causa de un cepillado excesivamente fuerte.
El injerto consiste en extraer tejido de una zona blanda para cubrir la raíz del diente que ha quedado demasiado expuesta por la recesión de la encía.
6. Limpieza Dental
Como no, por muy bonitos que tengas los dientes, si los llevas sucios, no podrás lucirlos de ninguna manera. Este es uno de los tratamientos más sencillos, pero también el más necesario. Tiene como objetivo eliminar el sarro y la placa bacteriana que se ha acumulado en los dientes o en el espacio interdental.
Aparte de llevar una correcta higiene diaria, será necesario someterse a una o dos limpiezas bucales al año, a fin de que tus dientes luzcan siempre perfectos y libres de suciedad acumulada. Una de nuestras limpiezas más demandadas es la que hacemos con nuestro sistema de aeropulidor, en el que ademas de eliminar la placa y el sarro, usamos un chorro de aire-agua a presión con productos que alisan la superficie dental y además eliminan muy bien todas las manchas que tienen los dientes en todo su contorno.