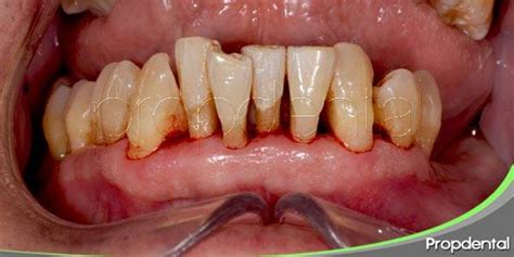
La artritis reumatoide (AR) y la periodontitis son dos enfermedades inflamatorias crónicas que tienen una estrecha relación. Ambas patologías se caracterizan por un proceso destructivo de tejidos a nivel local; la primera a nivel articular y la periodontitis, en las estructuras que dan soporte al diente y lo fijan al hueso, lo que puede llevar a la movilidad o pérdida de las piezas dentarias.
Tal y como establecen los estudios, cuidar tu salud bucodental puede ayudarte a reducir la actividad de la artritis reumatoide y mejorar tu calidad de vida. En este sentido, es interesante explorar la relación entre la salud bucodental y la prevalencia de la artritis reumatoide, una enfermedad inflamatoria autoinmune y crónica que afecta directamente a las articulaciones del cuerpo.

¿Qué es la Artritis Reumatoide?
Por su parte, la artritis reumatoide es una enfermedad inflamatoria que causa dolor, rigidez y afecta a las articulaciones afectando al hueso y al cartílago. Puede afectar a cualquier articulación, pero es más común en las muñecas y los dedos. Los principales signos y síntomas de esta enfermedad incluyen: hinchazón y sensibilidad a la palpación de las articulaciones, rigidez articular, cansancio, fiebre y pérdida del apetito.
La Conexión entre Periodontitis y Artritis Reumatoide
Peridontitis y artritis reumatoide son dos enfermedades que guardan relación, según lo demuestran las últimas investigaciones realizadas. Las evidencias indican por tanto que ambas enfermedades comparten similitudes, ya que los tejidos blandos y duros de las articulaciones se destruyen por las inflamaciones e infecciones producidas por la enfermedad de las encías.
La hipótesis que relaciona la AR y la enfermedad periodontal defiende que Porphyromonas gingivalis (la principal bacteria causante de la periodontitis) es capaz de alterar la tolerancia a las proteínas citrulinadas (el cuerpo las percibe como una amenaza), desencadenando una reacción autoinmune (se crean autoanticuerpos que luchan contra las proteínas del recubrimiento de las articulaciones, generando inflamación) que eventualmente provoca AR. “Se han encontrado bacterias periodontales, como P. gingivalis, en articulaciones de pacientes con artritis reumatoide”, afirma el Dr.
Similitudes entre la Artritis Reumatoide y la Periodontitis
Como ya hemos mencionado, el inicio de la artritis reumatoide es una reacción autoinmune; en cambio, la causa de la periodontitis es una disbiosis del biofilm oral, junto con otros factores de riesgo. Sin embargo, a pesar tener una etiología distinta, ambas patologías presentan una serie de características comunes que resumimos a continuación:
- Factores de riesgo: Los factores de riesgo que comparten la artritis reumatoide y la periodontitis son tanto ambientales (p.ej.,el tabaquismo) como genéticos (p.ej., los alelos del gen HLA-DRB1 que codifican una secuencia conservada de aminoácidos, conocida como epítopo compartido).
- Características patológicas: Ambas enfermedades pueden cursan con:
- Un aumento de la infiltración de células del sistema inmunitario implicadas en procesos inflamatorios, como neutrófilos, monocitos, linfocitos B y linfocitos T.
- Un aumento de la liberación de mediadores proinflamatorios, como el factor de necrosis tumoral TNF-a, o las interleucinas IL-1b e IL-6.
- Una reducción de mediadores antiinflamatorios como la interleucina IL-10 o el factor de crecimiento transformante TGF-b.
Además, comparten mecanismos de desarrollo que son comunes, expresan también un mismo perfil de citocinas o moléculas que favorecen la inflamación, sobre todo anti TNF-α e IL-6, y tienen un componente hereditario que comparten.
La prevalencia de la periodontitis en pacientes con artritis reumatoide es mayor que en aquellas personas que no sufren esta patología autoinmune. De forma similar, la prevalencia de la artritis reumatoide en pacientes con periodontitis es significativamente mayor que en la población general (4% vs 1%, respectivamente).
El Papel de las Bacterias Periodontales
Actualmente, existe la hipótesis de que la periodontitis podría ser un factor de riesgo para el desarrollo de la artritis reumatoide. Algunos autores han hallado que esta relación está mediada por la actividad de algunos patógenos periodontales, como por ejemplo, Porphyromonas gingivalis, bacteria que contiene una enzima catalizadora de las reacciones de citrulinación de péptidos. Un exceso de proteínas citrulinadas puede actuar como autoantígeno, conduciendo a la formación de anticuerpos antipéptidos cíclicos citrulinados (ACPA), que son reconocidos como marcadores prognósticos de la artritis reumatoide.
Recientemente, también se ha observado la implicación de la bacteria periodontopatógena Aggregatibacter actinomycetemcomitans en la citrulinación y la patogénesis de la artritis reumatoide.
¿Se relaciona la artritis reumatoide y la salud bucodental?
Impacto en la Actividad de la Artritis Reumatoide
Por otra parte, los autores de un estudio reciente han observado una asociación positiva entre la gravedad de la periodontitis y la actividad de la artritis reumatoide. Además, otros estudios indican que el tratamiento de la artritis mejora la periodontitis, a la vez que el tratamiento de la periodontitis mejora la atritis reumatoide.
En esta enfermedad, la discapacidad física a nivel de las falanges obstaculiza la higiene oral favoreciendo la EP. El tratamiento periodontal no quirúrgico en pacientes con AR con EP crónica moderada o severa reduce la severidad de la AR por disminuir los mediadores inflamatorios sistémicos, especialmente TNF-alfa. El raspado y alisado radicular reduce la exposición a bacterias y sus toxinas, mejorando así la AR.
De todo ello se desprende que eliminar las bacterias causantes de la periodontitis es crucial para la mejora de la artritis reumatoide.
Tratamientos y Terapias Comunes
Existen terapias usadas en el tratamiento de la artritis reumatoide que producen un efecto beneficioso en la EP:
- AINES: Hay estudios que demuestran que los AINES sistémicos, como naproxeno, cuando son administrados diariamente por tres años reducen significativamente la pérdida de hueso alveolar y el dolor e inflamación en AR.
- Corticoides: Inhiben citoquinas inflamatorias como IL-1, 8 y TNF-alfa, reduciendo la respuesta inflamatoria en ambas enfermedades.
- Tetraciclinas: La doxiciclina en dosis subantimicrobianas ha sido aprobada para la modulación de la EP. En AR produce buenos resultados en combinación con el metotrexato.
Tabla Resumen: Periodontitis vs. Artritis Reumatoide
| Aspecto | Periodontitis | Artritis Reumatoide (AR) | Conexión |
|---|---|---|---|
| Naturaleza | Enfermedad inflamatoria infecciosa de origen bacteriano | Enfermedad autoinmune inflamatoria sistémica | Inflamación crónica compartida |
| Causa principal | Placa bacteriana, disbiosis oral | Respuesta inmune alterada, genética, factores ambientales | Bacterias orales como P. gingivalis |
| Inflamación crónica | Sí | Sí | La inflamación crónica en las encías, especialmente asociada a bacterias como P. gingivalis, puede influir en la respuesta autoinmune en la AR. |

Recomendaciones para Pacientes con Artritis Reumatoide
Teniendo en cuenta estos datos, conviene que los pacientes con artritis reumatoide tengan especial cuidado de su salud periodontal. Cepillarse los dientes un mínimo de dos veces al día con cepillos de filamentos suaves de punta redondeada, usar seda dental y/o cepillos interproximales a diario, evitar el tabaco y realizar limpiezas bucales de forma periódica con un profesional son algunas medidas que pueden ayudar a la prevención y el tratamiento de las enfermedades periodontales. Asimismo, también se recomienda el empleo de enjuagues bucales antisépticos en los pacientes con enfermedad periodontal.
tags: #artritis #reumatoide #y #periodontitis