La ortodoncia ATP (Arco Transpalatino) es un dispositivo utilizado en tratamientos de ortodoncia para mantener la posición de los dientes o corregir pequeñas desalineaciones. Si recientemente has comenzado con un tratamiento de ortodoncia y llevas un aparato, debes tener en cuenta algunas consideraciones importantes para su cuidado y mantenimiento.

Consideraciones Iniciales
El primer consejo para el cuidado de un aparato fijo en el paladar es que no debes tocarlo con los dedos. Este consejo es quizás el más importante, ya que manipular el aparato puede comprometer su función y la higiene del mismo.
Higiene Dental con Aparatos Fijos
La higiene dental siempre es importante, pero especialmente si llevas un aparato fijo en el paladar. Para ello, debes acceder con el cepillo a todas las partes del aparato.
- Sobretodo, debes llegar a la parte posterior del aparato por la parte de fuera. Es ahí donde el aparato está sujeto a unos anillos o bandas metálicas.
- Debes cepillar muy bien por encima de las muelas, controlando que no se inflame el paladar.
- También debes pasar el cepillo de dientes por el paladar frotando suavemente.
Aunque, para cepillar el paladar, es conveniente ayudarse con los cepillos interproximales. Estos cepillos son más pequeñitos, alargados y estrechos. Estas características facilitan que puedas acceder a todas las partes del aparato. Este cepillo lo debes pasar sólo con agua, sin pasta de dientes, entre la parte metálica y el paladar.
Molestias y Cuidado del Paladar
No debe extrañarte si tienes molestias al llevar un aparato fijo en el paladar. Es normal sentirlas en las muelas. Suelen aparecer los primeros días al masticar. En caso de que te roce algo, para ello existe la cera de ortodoncia.
Alimentación y Aparatos Fijos
La alimentación es otro de los aspectos que se deben tener en cuenta durante este tipo de tratamiento. Debes evitar comer cosas duras. También debes evitar masticar cosas pegajosas.
Como ejemplo podríamos poner alimentos como pan muy duro, embutidos secos como el fuet, aceitunas, etc. Este tipo de comida puede provocar que, durante el tratamiento, se rompa el aparato. Asimismo, deberías trocear la comida antes de introducirla en la boca, incluidos los bocadillos.
Para cualquier consulta relativa a los cuidados del aparato fijo en el paladar, no dudes en contactar con nosotros.
El Arco Lingual en Ortodoncia
El arco lingual es uno de los dispositivos más empleados en ortodoncia para mantener la posición de los dientes o corregir pequeñas desalineaciones. Este sistema ofrece un control preciso del espacio, especialmente en pacientes con riesgo de perder piezas dentales de manera prematura o que presentan cierta inestabilidad en la arcada inferior.

El arco lingual (a veces llamado también barra lingual ortodóncica) es un alambre metálico que se coloca por la parte interna de los dientes inferiores -justo donde contactan con la lengua-.
Funciones del arco lingual:
- Mantenedor de espacio: Si un diente temporal (o incluso un permanente) se pierde antes de tiempo, los otros dientes podrían invadir el espacio vacío.
- Corrección de rotaciones leves: Al situarse en la cara interna de la arcada, ejerce una fuerza que puede girar de manera controlada incisivos o premolares ligeramente mal posicionados.
- Estabilidad post-tratamiento: Una vez retirados los brackets tradicionales, es frecuente que se instale un arco lingual como parte de la fase de retención fija.
- Comodidad y discreción: Al estar colocado detrás de los dientes inferiores, su visibilidad es mínima.
En algunos casos, la inserción de un arco lingual puede combinarse con otros aparatos ortodóncicos para lograr una corrección más completa.
En resumen, el arco lingual es un aliado muy práctico dentro de la ortodoncia.
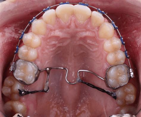
Arco Transpalatino: Detalles y Funciones
El alambre del cual está constituido este arco, es un alambre redondo de aproximado un milímetro de grosor. Este alambre suele estar soldado o unido a cajetines de los molares superiores, donde en estos se instaura una banda. Existe una modificación del arco transpalatino convencional, que es la llamada barra palatina de Gashgarian. Mediante el arco transpalatino, se aumenta el anclaje de los molares superiores, y puede acompañarse de otros elementos de anclaje con el arco de base.
Además, este arco puede usarse conjuntamente con algunas fuerzas extraorales. Este aparato de ortodoncia está indicado para corregir rotaciones de los molares superiores y evitar que la rotación mesio-palatina de estos se instaure. Puede ser activo cuando se aprieta el omega y dejará de ser pasivo.
Micro-Oseoperforaciones (MOP)
Diferentes investigaciones aseguran que las micro-oseoperforaciones (MOP) aumentan el proceso de remodelado óseo y aceleran el movimiento dental, su aplicación es fácil, rápida y la puede realizar el ortodoncista.
Objetivo:
Los objetivos son evaluar y comparar el tiempo de distalización canina en pacientes jóvenes con la técnica de aceleración mediante MOP y técnica convencional en boca dividida; y encontrar el mejor procedimiento para acelerar un tratamiento de ortodoncia con extracciones y disminuir el tiempo de tratamiento.
Material y métodos:
Se llevó a cabo la distalización de caninos en 10 pacientes jóvenes cuyo plan de tratamiento incluía extracción de primeros premolares, se practicó MOP en la zona de la extracción del primer premolar del cuadrante derecho, se colocó un mini-implante entre el segundo premolar y primer molar para obtener un anclaje absoluto, haciendo la tracción con cadena elástica en ambos lados, en el cuadrante izquierdo la distalización de canino se llevó a cabo con procedimiento convencional.
Resultados:
El resultado que se obtuvo en el lado que se practicó MOP muestra una disminución considerable en el tiempo empleado para este procedimiento comparado con el método convencional.
Conclusiones:
Acelerar la distalización canina con micro-oseoperforaciones en pacientes con extracciones resulta muy eficaz hasta un 41% de cierre de espacios más rápido y con ello un tratamiento de ortodoncia más corto y cómodo para el paciente.
Palabras clave: Micro-oseoperforaciones, mini-implantes, distalización canina.
"APLICACIONES DEL LÁSER EN ORTODONCIA"
Fotobiomodulación: Una Innovación Tecnológica
Acelera la curación, alivia el dolor y mejora tu piel sin necesidad de medicamentos gracias la fotobiomodulación ATP38: una tecnología avanzada que usa luz LED fría para activar el poder natural de tu cuerpo.
ATP38 es una terapia de última generación que utiliza luz LED policromática (es decir, con varias longitudes de onda) para activar las células de tu cuerpo desde dentro. ¿Cómo lo hace? Estimula la mitocondria, que es como la “batería” de cada célula, aumentando la producción de ATP: la energía que tus células necesitan para funcionar, regenerarse y curarse. Más energía celular significa una recuperación más rápida, menos inflamación, mejor circulación y tejidos que sanan antes.

ATP38: Fotobiomodulación con luz LED
¿Cómo Funciona la Innovadora Herramienta ATP 38?
La herramienta ATP 38 es una avanzada máquina de fotobiomodulación que emite luz LED en diversas longitudes de onda específicas para tratar diferentes patologías. Su funcionamiento es el siguiente:
- Alcance a los tejidos más profundos: La ATP 38 emite luz LED en diferentes longitudes de onda, cada una de las cuales penetra a diferentes profundidades en los tejidos abarcando varios tratamientos médicos.
- Absorción Celular: Las células absorben esta luz, especialmente las mitocondrias, lo que aumenta la producción de la energía celular ATP.
- Acelera la recuperación postoperatorio: El aumento de ATP estimula los procesos de regeneración y reparación celular, acelerando además la cicatrización.
- Mejora de la Microcirculación: La luz LED mejora la circulación sanguínea en la zona tratada, aportando más oxígeno y nutrientes a los tejidos.
- Reducción de la Inflamación: La fotobiomodulación tiene un efecto antiinflamatorio que ayuda a reducir el dolor y la hinchazón, evitando además la aparición de hematomas.
- No Invasivo y cómodo: Antiinflamatorio Natural y Versatilidad de tratamientos. Mejora la recuperación.
Tipos de Tratamientos Adaptativos con Fotobiomodulación ATP38
La fotobiomodulación es un tratamiento adaptativo, lo que significa que se personaliza según las necesidades específicas de cada paciente, con un número variable de sesiones para obtener los mejores resultados. Con la fotobiomodulación, podemos mejorar significativamente la cicatrización de heridas quirúrgicas, reducir la inflamación y el dolor postoperatorio, y prevenir complicaciones.
Además, esta tecnología médica se aplica eficazmente en estética facial y dental, reduciendo arrugas, manchas y la hipersensibilidad dental, así como mejorando la integración de implantes dentales.
Preparación Preoperatoria y Recuperación Postquirúrgica
- Prepara tu cuerpo antes de la cirugía: De esta forma se previenen hematomas, inflamaciones e infecciones.
- Aceleración de la Cicatrización: La terapia de fotobiomodulación acelera la cicatrización de heridas quirúrgicas.
- Reducción de Inflamación y Dolor: La fotobiomodulación disminuye significativamente la inflamación y el dolor postoperatorio.
- Prevención de Complicaciones: La fotobiomodulación minimiza el riesgo de infecciones y otros problemas postquirúrgicos.
- Soporte para Implantes Dentales: Mejora la integración de los implantes dentales y reduce el tiempo de recuperación después de la cirugía.
Estética Facial y Dental Mejorada con fotobiomodulación
- Reducción de Arrugas: Mejora la textura de la piel y reduce las líneas finas y arrugas mediante la fotobiomodulación.
- Tratamiento para las Manchas: Atenúa manchas oscuras y unifica el tono de la piel.
- Regeneración Celular: Revitaliza la piel, proporcionándole un aspecto más joven y saludable gracias a la fotobiomodulación, estimulando la producción de colágeno.
- Reduce la hipersensibilidad: En tratamientos como los blanqueamientos dentales se produce una hipersensibilidad en la encía en los los días posteriores, gracias a la ATP 38 esta se reduce notablemente.
Reduce el Dolor Crónico y Acelera Tratamientos de Ortodoncia
- Alivio del Dolor Crónico o General: Eficaz para tratar condiciones dolorosas como la neuralgia del trigémino, proporcionando un alivio significativo.
- Tratamiento de la Disfunción Temporomandibular (ATM): Reduce el dolor y mejora la movilidad de la mandíbula, ayudando a reducir los síntomas del bruxismo.
- Reduce el Tiempo de la Ortodoncia: La fotobiomodulación acelera la respuesta de los tejidos durante los tratamientos de ortodoncia, mejorando la comodidad y reduciendo el tiempo total del tratamiento.
| Tecnología | Beneficios | Aplicaciones |
|---|---|---|
| Arco Lingual | Mantiene la posición de los dientes, corrige desalineaciones leves. | Mantenedor de espacio, corrección de rotaciones, estabilidad post-tratamiento. |
| Arco Transpalatino | Aumenta el anclaje de los molares superiores, corrige rotaciones molares. | Corrección de rotaciones molares, anclaje en tratamientos ortodóncicos. |
| Micro-Oseoperforaciones (MOP) | Acelera el remodelado óseo y el movimiento dental. | Distalización canina, tratamientos de ortodoncia con extracciones. |
| Fotobiomodulación (ATP38) | Acelera la curación, reduce el dolor y la inflamación, mejora la regeneración celular. | Cicatrización postquirúrgica, estética facial y dental, alivio del dolor crónico, aceleración de tratamientos de ortodoncia. |
tags: #atp #ortodoncia #para #que #sirve