Famosos e influencers han puesto de moda los tratamientos de coronas o carillas dentales para conseguir una sonrisa perfecta, convirtiéndola en una tendencia peligrosa. Algunas personalidades del mundo de la música se han realizado este tipo de retoques de implantología dental, como Miley Cyrus, Nicky Jam, J Balvin y Becky G. Influencers como la mexicana Yuya y la española Lizi P llevan carillas estéticas. Lizi P cuenta en su canal de Youtube que, a pesar de sufrir de agenesia dental (patología genética que provoca la falta de dientes), finalmente se decidió a ponerse carillas por motivos estéticos.

Ejemplo de carillas dentales.
La Advertencia de Bad Bunny
El caso más destacado es el del cantante y trapero Bad Bunny que, en un encuentro con el músico Residente (Calle 13), advirtió a la audiencia sobre los peligros de hacerse coronas en unos dientes sanos: “Yo quiero decirle a todas las personas que no se hagan los dientes. Es el peor error que puede cometer un ser humano”. Y continúa: “Yo me arrepiento todos los días de mi vida. No es posible volver a mis dientes originales, porque en el proceso los lastimaron.
Benito Martínez, cantante famoso más conocido por su nombre artístico Bad Bunny, es caracterizado por el estilo genuino con el que ha cautivado a muchos de sus fans. Las características que lo definen van desde su vestimenta hasta sus dientes, puesto que el cantante reveló que de niño sufrió un accidente en el que un diente quedó marcado, por lo que quiso arreglarlo y con ello estar a la moda, mostrando así un look excéntrico.
Sin embargo, en varias ruedas de prensa, no desperdiciaba la oportunidad para advertir a todos sus fans de no someterse a estos métodos, porque los mismos son muy peligrosos y dañinos para los dientes, en su caso particular él se arrepiente cada día de su vida por haberse sometido a tal intervención. Este artista cuenta con una economía lo suficientemente buena para conseguir cualquier cosa que desee y hasta para derrochar y satisfacer el capricho del momento. Bad Bunny, también conocido como el rey de los excesos, no escatimo en gastos para hacerse un cambio dental, colocándose diamantes, piedras preciosas y brillantes. Lo que quiere transmitir este cantante es un estilo exuberante que pueda quedar a quedar a la vista de todos.
El mismo Bad Bunny ha declarado que: Lo que lo motivó a hacerse este cambio dental fue el accidente que tuvo cuando era un niño donde salió perjudicado su dentadura. Por esta razón quiso lucir más atractivo y llamativo al público incrementando así su fama y popularidad.
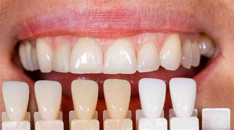
Carillas Dentales: alternativa para lucir unos dientes increíbles
¿Qué Implica el "Diseño de Sonrisa"?
El “diseño de sonrisa” es un concepto odontológico en el que hay una parte curativa y terapéutica, y otra parte estética. Además, este estudio de la sonrisa se apoya en tecnología y simulaciones 3D para mostrar al paciente cómo quedarán sus dientes antes de empezar el proceso. “El mejor diseño de sonrisa es el que busca tanto la funcionalidad como la estética. No solo centrarse en lo que los dentistas llamamos la cosmética dental”, afirma el doctor Antoni Gómez, presidente del Col·legi Oficial d'Odontòlegs i Estomatòlegs de Catalunya (COEC).
Odontología Funcional vs. Odontología Satisfactiva
Gómez diferencia entre los términos odontología funcional y odontología satisfactiva. En la primera se busca la funcionalidad de los dientes, y en la otra la satisfacción y el gusto del paciente.
Los Peligros de las Coronas y Carillas Dentales
“El tratamiento de coronas dentales pasa por desgastar todo el contorno del diente para poder colocar encima la corona. En el caso de las carillas dentales o frentes estéticos, lo que se desgasta es la parte frontal de los dientes”, explica el doctor Óscar Castro, presidente del Consejo General de Dentistas de España. “La dentina y el material dental perdido en este proceso no se pueden recuperar”, aclara Castro. Este odontólogo también declara que “es un tratamiento que te puede durar toda la vida, si los cuidas bien”, aunque tienen una duración aproximada de unos 10 o 15 años.
“En muchas ocasiones, los pacientes que buscan estos tratamientos son personas que se preocupan por su físico y quieren mejorar su dentadura sin esperar mucho”, asegura Óscar Castro. El tratamiento de ortodoncia se trata de un proceso mucho más largo que la sustitución de los dientes por coronas o carillas, pero resulta mucho menos invasivo y agresivo para este órgano vital que tenemos en la boca. Sí, los dientes son órganos y están vivos. Existe una cierta fijación social por la blancura dental.

Comparación entre carillas de composite y porcelana.
La Blancorexia
Según el doctor Castro: “Además, vivimos en una época donde se pone muy en valor la estética. Somos una sociedad hedonista. “La blancorexia es la obsesión que puede tener un paciente por tener los dientes más blancos. Es un tratamiento menos agresivo, pero tampoco se puede abusar de él”, destaca el doctor Antoni Gómez.
“Cada tratamiento requiere una individualización”, subraya el facultativo Óscar Castro. Por otra parte, el doctor Antoni Gómez destaca la responsabilidad que tienen los profesionales de la odontología en “proporcionar toda la información necesaria sobre el proceso. Los pros y los contras.
La Importancia de la Regulación y la Publicidad Sanitaria
Algunos influencers y marcas de productos dentales han sido denunciados recientemente por la Federación de Asociaciones de Consumidores y Usuarios de Andalucía (FACUA-Consumidores en Acción), debido a unas promociones ilícitas publicadas en redes sociales. Por casos como este, el conjunto de profesionales en el sector odontológico también reclama retomar la Proposición de Ley de Publicidad Sanitaria, presentada en 2018 por el PP.
“Por mucha mejora que se pueda incorporar a la normativa de Publicidad y Productos de Salud del 96, lo realmente urgente es aplicar la normativa que ya hay”, insiste Rubén Sánchez, secretario general de FACUA-Consumidores en Acción, asociación dedicada a la defensa de los derechos de los consumidores. La responsabilidad de regular la publicidad sanitaria para que sea verídica y exacta es de las administraciones públicas.
Sánchez denuncia que el gran déficit que tenemos por parte de las administraciones públicas es “la falta de control y de reacción ante el incumplimiento de la ley”. El presidente del colegio profesional de dentistas de Cataluña, Antoni Gómez, se une a la demanda de renovar la ley de publicidad pero destaca la necesidad de “revisar de nuevo la Ley de Sociedades Profesionales para evitar prácticas mercantilistas por parte de algunas marcas y clínicas dentales”. Según Gómez, el modelo de negocio de clínica dental como franquicia actual puede llegar a perjudicar los intereses y los derechos de los usuarios.
Por su parte, Óscar Castro como presidente del Consejo General de Dentistas de España ha aprovechado la reunión con los partidos políticos para recalcar la importancia de modificar esta normativa. Se propone modificar la ley de sociedades profesionales para que todas las compañías que tengan como objeto social la prestación de servicios profesionales se deberán inscribir en el Registro Mercantil como Sociedades Profesionales. Así tendrán la obligación de cumplir los códigos deontológicos de los Colegios Profesionales.
Sonrisas Famosas y Tratamientos Dentales
Sonrisas envidiables y a todas las edades… ¿Cómo lo hacen los famosos? Desde deportistas como Pau Gasol o Cristiano Ronaldo hasta artistas como Amaia Salamanca o George Clooney. Los tratamientos de estética dental de los famosos ahora ya están al alcance de todos. Te preguntarás: ¿cómo consiguen esas sonrisas de ensueño? La respuesta son las carillas dentales. Permiten corregir forma, tamaño, posición y color de nuestros dientes.
Debes saber que existen dos tipos en función del material empleado: de porcelana y composite. El paso del tiempo, el consumo de tabaco o café y diferentes enfermedades bucodentales pueden hacer que tus dientes se vuelvan amarillos y aparezcan manchas. Sin duda, el blanqueamiento es otro de los secretos dentales de los famosos para lucir sonrisas relucientes y brillantes.
Muchos famosos han reconocido utilizar el sistema Invisalign para corregir su dentadura. Si no lo cuentan, es difícil darse cuenta. El éxito de la ortodoncia invisible es el conjunto de fundas transparentes que van corrigiendo la dentadura sin que nadie lo note.
Considerado el mejor futbolista de todos los tiempos, utilizó aparatos de ortodoncia siendo más joven y luego decidió utilizar carillas dentales de porcelana. En su juventud tenía los dientes algo inclinados y opacos. Esta famosa cantante, actriz y filántropa solucionó sus problemas de disparidad en los tamaños de sus piezas dentales utilizando las carillas de porcelana. Uno de los problemas estéticos más comunes es la separación de los dientes incisivos frontales, esto se llama diastema.
La Mordida de Bad Bunny y la Ortodoncia
El problema de los dientes de Bad Bunny, la mordida. La implantación de carillas dentales es muy común hoy en día y realizada por muchas personas, sobre todo del ámbito público. Una de las desventajas de utilizar estos tipos de implantes se evidencia a la hora de consumir los alimentos, debido a que no se pueden realizar mordidas a productos de consistencia firme o dura, todo esto influye en una sana y balanceada alimentación.
Bad Bunny ha declarado públicamente que se arrepiente del resultado de su tratamiento con carillas dentales. Desde un punto de vista clínico, podría haber obtenido mejores resultados en sus dientes corrigiendo su mordida con un tratamiento de ortodoncia y un tratamiento posterior de estética dental.

Ejemplo de tratamiento de ortodoncia.
En el caso de Bad Bunny existen dos factores que hacen alarde a la mordida. La primera está relacionada con su masticación y cuidado de los dientes; la otra versión consiste en la mordida de un perro que afectó a unos de sus seguidores. El cual quiso hacerse pasar por él al cantar y caminar, acción esta que terminó con la mordida de un perro de la calle en una de sus piernas, ya que al toparse con el can y querer acariciarlo este se asustó y lo mordió de manera instintiva.
En una entrevista en Residente, el Influencer, Bad Bunny contó que cuando era niño se había caído y tenía un diente negro, ya que se le formó un forúnculo y tuvieron que sacarle el nervio del diente. El cantante dijo que, su dentadura original resultó afectada en el proceso lo que sería muy peligroso revertir el cambio. Este afirmó, que, es el peor error que pueden cometer los seres humanos y que se arrepiente todos los días de su vida. Una de ella es haberse sometido a la incrustación de carillas dentales, solo porque es algo que está de moda, o por un cambio de look irreverente.
El cual, pidió a todas las personas que estuvieran considerando hacerse cambios en su dentadura solo porque sea algo que está de moda pensárselo dos veces. El tratamiento de carillas dentales consiste en desgastar el contorno de los dientes para así poder colocar encima la corona. Sin embargo, en el caso de las carillas dentales, es la parte frontal de los dientes la que se ve afectada. El material dental perdido en el proceso no se puede recobrar. Este tratamiento puede llegar a durar toda la vida, dependiendo de los cuidados que se le den.
La Met Gala 2024 y las Sonrisas de las Celebridades
La Met Gala 2024 deslumbró al mundo, una vez más, con una exhibición de estilo y con la oportunidad única de ver a las celebridades de la industria de la moda y el entretenimiento preparadas al detalle con los estilismos más exquisitos y originales. Diseños imposibles, sombreros extravagantes o lujosos adornos en torno a las flores y la naturaleza capitalizaron la gala. Pero hubo un complemento que no pasó desapercibido. El mejor para todas las ocasiones: la sonrisa.
Tener unos dientes sanos, brillantes y bien alineados es el mejor 'traje' que podemos llevar aun evento. A partir de los 40, sin embargo, tener una sonrisa bonita requiere de cuidados específicos, como saben muy bien las grandes estrellas del cine y la televisión. Ayer, las sonrisas de los anfitriones capturaron la atención de todo el mundo porque las sonrisas 'hablan'. Personales e intransferibles, son el recordatorio de que la verdadera belleza reside en la diversidad y la individualidad.
"Zendaya, Jennifer Lopez, Bad Bunny y Chris Hemsworth, los cuatro anfitriones del evento, cuentan con una sonrisa única y todos ellos tienen algo que les caracteriza”, destaca la doctora Eugenia Cervantes, responsable de la clínica del mismo nombre de Estética Dental.
En opinión de esta experta, Zendaya, la estrella de Hollywood, conocida por su elegancia y capacidad de sorpresa en la alfombra roja, cuenta con un diente incisivo montado, una característica que añade un mayor encanto y que la hace única. Por otro lado, Bad Bunny, el cantante y fenómeno de la música urbana, se ha sometido a un tratamiento de carillas dentales. Parece que el resultado no llegó a entusiasmarle. Tal y como él mismo llegó a reconocer, se arrepiente de haber tomado esa decisión. De ahí la importancia del asesoramiento y personalización que proporcionan los profesionales. Para la doctora Cervantes, “no todos los tratamientos son para todo el mundo. El experto es el que tiene que aconsejar y saber qué es lo mejor para cada paciente. No es cuestión de que un tratamiento sea bueno o malo, sino de saber cuál es el mejor".
Uno de los galanes del Hollywood actual y conocido por su físico imponente, Chris Hemsworth, también tiene una característica innegable en su sonrisa. Es uno de los actores más atractivos del cine; sin embargo, se puede apreciar el desgaste de sus dientes por culpa de su problema de bruxismo. El bruxismo es una afección en la que una persona rechina, aprieta o cruje los dientes cuando se está despierto o dormido, el tipo más estudiado. Normalmente, el bruxismo se da entre personas con niveles altos de estrés. Suele corregirse con una férula nocturna y es importante diagnosticarlo a tiempo porque, como efectos, secundarios puede dar origen a dolores de cabeza y, sobre todo, a una calidad de descanso deficiente.
Por último, Jennifer Lopez no defraudó por su presencia magnética, como es habitual en cada alfombra roja que pisa. En opinión de Eugenia Cervantes, la de la actriz es “sin duda, una de las sonrisas naturales más bonitas.