El bruxismo en niños es un trastorno que se da con cierta frecuencia incluso en bebés. A pesar de que rechinar los dientes se asocia a personas adultas con problemas de estrés o ansiedad, los más pequeños también sufren esta anomalía. Por ello, es importante prestar atención a los síntomas e identificar este hábito cuanto antes para abordarlo correctamente. Y es que, a la larga, el bruxismo en dientes de leche puede conllevar serios problemas de salud bucodental.

El rechinar de dientes en bebés, aunque relativamente común, puede ser motivo de preocupación para los padres. Te contamos los síntomas asociados con este comportamiento, las posibles causas y el impacto que puede tener si persiste en el tiempo.
¿Qué es el Bruxismo Infantil?
El bruxismo infantil es el nombre que recibe el rechinamiento involuntario de las piezas dentales, generalmente durante las horas de sueño, en niños. A diferencia de la creencia general, es posible encontrar casos de bruxismo en niños de 2 o 3 años, incluso. Desde que emergen los primeros dientes de leche es posible encontrar un caso de rechinamiento. Por ello, el bruxismo en bebés es también una realidad y debemos prestarle la atención que merece para evitar complicaciones bucales en el futuro.

Rechinar los dientes es un problema que puede presentarse a prácticamente cualquier edad. Esta acción, que muchas veces es involuntaria, genera consecuencias graves en la salud bucal. Como dentistas expertos te explicamos qué es el bruxismo en niños, sus síntomas, causas, tratamientos y mucho más. Así podrás ayudar al pequeño a superarlo.
Tipos de Bruxismo
- Céntrico: Consiste en solo apretar los dientes.
- Excéntrico: En donde se frotan los dientes superiores con los inferiores.
Síntomas del Rechinar de Dientes en Bebés
Uno de los primeros signos de que un bebé podría rechinar los dientes es el sonido característico que produce al apretar y arrastrar los dientes de arriba contra los de abajo. Además del sonido, otros síntomas del rechinar dientes en bebés incluyen:
- Sensibilidad dental: El rechinar dientes en bebés puede provocar sensibilidad en los dientes y encías, lo que puede hacer que el bebé se muestre más irritable de lo habitual.
- Problemas de sueño: Los bebés que rechinan los dientes pueden experimentar dificultades para dormir debido al malestar asociado con el rechinamiento constante.
- Desgaste dental: Con el tiempo, el rechinar dientes en bebés puede llevar al desgaste prematuro del esmalte dental, lo que puede ser visible en el estado de los dientes del bebé.
- Dolor en la mandíbula: Algunos bebés pueden quejarse de dolor en la mandíbula o mostrar signos de incomodidad al masticar o al comer debido al rechinamiento.
¿Bruxismo en niños? Causas, Síntomas y Cómo Solucionarlo 🦷
Causas del Rechinamiento Infantil
Hay una serie de razones que explican el rechinamiento infantil. Es importante conocerlas, puesto que el origen del bruxismo en niños es la base para comenzar el tratamiento más adecuado en cada caso.

Las causas comunes incluyen:
- Estrés o ansiedad: Al igual que sucede en la adultez, los niños también pueden experimentar sensación de estrés o nerviosismo en su día a día. Debido a la inquietud persistente, el pequeño va acumulando tensión en la mandíbula, cuello y hombros, propiciando el rechinamiento de sus dientes. Los niños están sometidos a situaciones que alteran su tranquilidad y desatan un cierto nivel de estrés. Por ejemplo, si tienen problemas en el colegio o la relación de sus padres no va bien. Esto genera una tensión en el cuello, los hombros y la mandíbula, que puede derivar en el rechinar de dientes.
- Erupción dental: La erupción de los dientes es una de las causas más comunes del rechinar de dientes en bebés. El proceso puede causar incomodidad, y el bebé puede comenzar a rechinar los dientes como una forma de aliviar el malestar. Una de las causas más frecuentes es la salida de los dientes de leche. El roce de las piezas nuevas con las encías, o entre sí, puede generar molestias, provocando que el bebé intente aliviar esa sensación rechinando los dientes.
- Desequilibrios en la mordida: A veces, el rechinar dientes en bebés puede ser el resultado de una mordida desalineada o problemas de alineación dental que hacen que el bebé rechine los dientes de forma inconsciente. Si la dentadura del niño no encaja como debe o si su estructura ósea no es armónica, es probable que desarrolle un problema de bruxismo. Cuando nos encontramos ante un maxilar más pequeño que la mandíbula, o viceversa, las fuerzas oclusales -de mordida- no se reparten de forma homogénea por la boca. Del mismo modo, y especialmente durante la etapa de la dentición mixta, es posible encontrarnos una pieza que sale donde no le corresponde. Generalmente, un bebé que rechina sus dientes se debe a una maloclusión en sus dientes. Hábitos como chuparse el dedo o llevar chupete durante más tiempo del conveniente, hace que las piezas no salgan correctamente. Además, en los primeros meses de vida su estructura oral está desarrollándose, por lo que es posible encontrarnos con problemas como el paladar ojival o estrecho.
- Hábitos de sueño: El rechinar dientes en bebés puede estar relacionado con problemas en el sueño, como el bruxismo durante la noche, cuando el bebé está en un sueño profundo. El insomnio o la falta de un sueño que les haga descansar es también una razón por la que los niños rechinan los dientes. Los hábitos negativos relacionados con el sueño, como dormir pocas horas o la apnea del sueño, también favorecen la aparición de este problema.
- Parásitos intestinales: El hábito de rechinar los dientes es muy habitual en niños que tienen parásitos, como lombrices, dado la incomodidad que les genera.
- Sobreexcitación: En estos tiempos en los que los niños manejan tantas pantallas, no es de extrañar que tengan una sobreexcitación tanto en casa como fuera de ella. La televisión, ordenadores, videojuegos, móviles, tabletas… Todos estos dispositivos desprenden una fuerte luz que les impide tener un buen descanso.
- Exploración sensorial: Los bebés exploran y descubren el mundo a través de los sentidos: el tacto, el gusto… y también a través del movimiento de su boca. En algunos casos, el rechinar los dientes forma parte de este proceso de descubrimiento. Pueden estar haciéndolo por el sonido, la sensación, o simplemente sin darse cuenta.
- Problemas respiratorios o de oído: A veces, si un bebé rechina los dientes, puede estar relacionado con molestias en el oído medio, congestión nasal o dificultades respiratorias, ya que buscan un alivio ante esa presión o incomodidad.
Impacto del Rechinar de Dientes a Largo Plazo
El rechinar de dientes en bebés si persiste durante un tiempo prolongado, puede tener consecuencias significativas para la salud dental y general del niño.
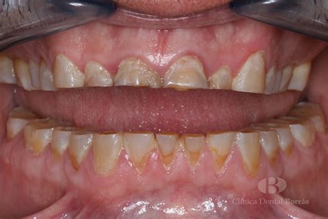
- Desgaste dental: Una de las principales preocupaciones asociadas con el rechinar de dientes en bebés es el desgaste prematuro de los dientes. Aunque los dientes de leche son temporales, su desgaste puede afectar la salud bucal general y el desarrollo dental del niño. El rechinamiento constante puede llevar a la erosión del esmalte dental, que es la capa protectora de los dientes. La pérdida de esmalte puede hacer que los dientes sean más vulnerables a caries y sensibilidad dental, lo que podría requerir tratamientos adicionales en el futuro.
- Problemas en la mandíbula: El rechinar de dientes en bebés también puede tener un impacto en la mandíbula. El esfuerzo repetitivo de apretar y arrastrar los dientes puede provocar tensión y dolor en los músculos de la mandíbula. Con el tiempo, esto puede llevar a problemas en la articulación temporomandibular (ATM), que pueden causar dolor, dificultad para abrir la boca completamente y ruidos articulares.
- Desviaciones en la alineación dental: El rechinar de dientes prolongado puede contribuir al desarrollo de problemas en la alineación dental. La presión constante aplicada a los dientes puede provocar movimientos dentales indeseados o desalineaciones. Esto podría resultar en una mordida incorrecta, también conocida como maloclusión, que puede requerir tratamientos ortodónticos más adelante.
- Impacto en la salud bucal general: El rechinar de dientes en bebés puede influir en la salud bucal general del niño, afectando también a las encías y otros tejidos bucales. El desgaste del esmalte puede dejar los dientes más expuestos a infecciones y enfermedades periodontales.
¿Cómo Abordar el Bruxismo Infantil?
Como decíamos anteriormente, es fundamental no solo detectar que nuestro hijo o hija rechina los dientes, sino conocer la causa. En función de cuál sea la causa que lo ha provocado, podremos aplicar una solución u otra.
- Tratamiento de la causa subyacente: Por otro lado, cuando este hábito está motivado por otros problemas de salud, como los parásitos, habría que comenzar la medicación adecuada.
- Ortodoncia: Si estamos ante un caso de malposiciones dentales o maloclusión, el tratamiento indicado es pasar por una ortodoncia.
- Hábitos en casa: Respecto a los hábitos en casa, conviene que el niño se acostumbre a no usar pantallas móviles en las horas previas al sueño. De este modo, estará más relajado antes de irse a dormir y podrá descansar adecuadamente. Es importante ayudar a tu hijo a gestionar sus emociones. Establecer una rutina relajante antes de dormir, practicar técnicas de relajación o hablar sobre cualquier preocupación que tenga puede reducir el rechinamiento nocturno.
- Férulas dentales: En algunos casos, el dentista puede recomendar el uso de una férula o protector nocturno para evitar que los dientes se desgasten durante el sueño. Estos dispositivos son personalizados y cómodos para que los niños los usen mientras duermen. Una de las soluciones es el uso de una férula de descarga o protector dental, sobre todo a la hora de dormir. De esta forma se reduce el roce entre los dientes, disminuyen los dolores y molestias. Con ello se evita muchas de las consecuencias del bruxismo.
- Actividades relajantes: Otra de las formas de tratar el bruxismo es haciendo que el niño realice actividades que lo relajen antes de dormir. Por ejemplo, escuchar música o leer un cuento. También es importante que haga suficiente actividad física durante el día, en especial su tiene mucha energía o si sufre de hiperactividad.
- Evitar pantallas antes de dormir: Asegúrate de que un par de horas antes de dormir no mire televisión, la pantalla del ordenador, tableta ni smartphones. Tampoco debería usar ningún tipo de videojuego.
- Fisioterapia: Para casos más difíciles la fisioterapia en una gran alternativa. Esta permite que los músculos de la mandíbula y el cuello se relajen, lo que ayuda a disminuir la frecuencia con la que el niño rechina los dientes.
- Alimentación adecuada: También te recomendamos que evites darle alimentos azucarados al niño después de las 5 de la tarde y que le brindes una buena alimentación.
¿Cuándo Acudir al Dentista?
Recuerda que es importante llevarlo a un dentista para que revise periódicamente el estado de su boca, así como para detectar cualquier inconveniente a tiempo. Si sospechas que tu hijo puede sufrir bruxismo, lo mejor es actuar cuanto antes para evitar posibles complicaciones a largo plazo. Desde Centro Dental El Parque, nuestros especialistas en odontopediatría están capacitados para evaluar y diagnosticar esta afección. A través de un examen detallado, podrán identificar la causa y determinar el tratamiento más adecuado para tu hijo.
Aunque en la mayoría de casos el rechinamiento dental en bebés no es grave, hay algunas señales que indican que es conveniente acudir a un dentista infantil:
- El rechinamiento es muy frecuente y/o intenso.
- Ocurre durante la noche y de manera prolongada.
- Se observa desgaste en los dientes de leche.
- El bebé muestra irritabilidad o dolor al masticar.
- El bebé presenta dificultad para dormir o se despierta con frecuencia.
Ante cualquier duda, la mejor opción es acudir a un especialista. En nuestra clínica dental en Las Palmas, contamos con un equipo profesional especializado en la salud oral de los neonatales.