Una sonrisa atractiva no solo mejora tu imagen personal, sino que también puede impulsar tu autoestima y el éxito en diversos aspectos de tu vida. En la actualidad, lograr una sonrisa ideal está al alcance de todos gracias a los avances en la estética dental.

¿Qué Define una Sonrisa Perfecta?
Una sonrisa perfecta es aquella que logra un equilibrio entre estética, funcionalidad y armonía facial. No se trata únicamente de tener dientes alineados, sino de alcanzar una proporción ideal entre los elementos que componen la sonrisa, respetando la individualidad del rostro y potenciando su belleza natural.
Para definir una sonrisa perfecta, se tienen en cuenta parámetros clave que combinan ciencia y arte, y que respetan las proporciones áureas aplicadas al diseño dental.
Parámetros Clave de una Sonrisa Perfecta
- Visibilidad de los incisivos superiores: Al sonreír, los incisivos superiores deben ser visibles en su totalidad, mostrando entre 1-2 mm de encía. Esta medida es fundamental para lograr una sonrisa equilibrada y juvenil.
- Curva de la sonrisa: La curva de los dientes superiores debe ser paralela a la curva del labio inferior, lo que aporta naturalidad y dinamismo a la sonrisa. Una línea recta o invertida puede transmitir seriedad o envejecimiento.
- Proporciones áureas dentales: Siguiendo la regla del número áureo (1.618), el incisivo central debe medir 1.618 veces más que el incisivo lateral, y el canino debe medir 0.618 veces el incisivo lateral. Estas proporciones garantizan que los dientes sean visualmente armoniosos y se integren con el resto del rostro.
- Relación entre altura y forma de los dientes: En mujeres, los incisivos centrales son generalmente 1.2 mm más largos que los laterales, lo que aporta feminidad y suavidad. En hombres, los incisivos centrales y laterales tienden a ser de longitud similar, creando una apariencia más uniforme y robusta.
- Simetría y eje de los dientes: El eje longitudinal de los caninos debe dirigirse hacia el interior del cuerpo, lo que proporciona un efecto visual de profundidad y equilibrio. La simetría dental es fundamental para evitar desviaciones en la línea media de la sonrisa.
- Línea de las encías: La altura de las encías debe seguir la curva natural del labio, con las encías de los incisivos laterales ligeramente más bajas que las de los centrales, y las encías de los caninos ligeramente más altas. Esta proporción asegura que la encía sea un marco adecuado para los dientes y no reste protagonismo a la sonrisa.
- Salud y función dental: Una sonrisa perfecta no solo es estéticamente agradable, sino que también debe ser funcional. Los dientes deben estar correctamente alineados para facilitar la masticación, el habla y evitar problemas a largo plazo como el desgaste dental o la tensión mandibular.

Armonía entre Sonrisa y Rostro
Una sonrisa perfecta no es universal; debe adaptarse a las características únicas de cada persona. Factores como la forma del rostro, la edad, el sexo y la personalidad influyen en el diseño de la sonrisa ideal. Lo que se busca es:
- Naturalidad: Evitar resultados artificiales o excesivos.
- Armonía: Que la sonrisa complemente el rostro y no desentone.
- Vitalidad: Transmitir juventud y luminosidad al rostro.
El tercio inferior del rostro juega un papel clave en la percepción de la belleza. Una sonrisa alineada y equilibrada puede transformar un rostro promedio en uno atractivo, mientras que una sonrisa descuidada puede restar protagonismo incluso a una cara bonita.
Los dientes no solo influyen en la estética, también en la expresión y carácter del rostro: el desgaste dental con la edad puede endurecer los rasgos, y los dientes cuadrados y apagados hacen que la cara pierda luminosidad y vitalidad.
Consejos para una Sonrisa Radiante
Tan solo tienes que seguir los consejos que hoy te voy a dar para que tus dientes se muestren sanos y bonitos.
Para conseguir una buena sonrisa, en primer lugar la dentadura debe estar libre de enfermedades bucodentales y en segundo lugar debe tener la mejor estética posible, de ahí que los especialistas evalúen previamente la salud bucodental del paciente y recomienden algún tratamiento para corregir las afecciones detectadas.
En primer lugar, como hemos dicho, la salud debe prevalecer para conseguir unos dientes relucientes. Por eso el paciente debe tener en cuenta que la higiene bucal diaria y las revisiones periódicas en su clínica dental son muy importantes para conservar una dentadura en unas condiciones estéticas óptimas, pero hay otros aspectos que van a marcar claramente unos dientes bellos de otros que no lo son tanto.
Los 5 Consejos Definitivos para Tener Dientes Preciosos
- El cepillado, imprescindible después de cada comida: No dejes nunca de cepillarte los dientes después de cada comida. En esto no valen las excusas: da igual si comes mucho fuera de casa o si te da pereza hacerlo con la conveniente regularidad. De hecho, una gran parte de los pacientes que atendemos acuden por problemas relacionados con la falta de higiene oral.
- El blanqueamiento dental es básico para que sonrías con seguridad: Cuando hablamos de un blanqueamiento dental, lo primero que tenemos que destacar es que hace la sonrisa más bonita, con lo que volverás a sentirte muy a gusto contigo mismo y con los demás. Los dientes son algo que muestras a diario y seguro que quieres que todos se fijen en ellos por tener un aspecto sobresaliente.
- Evita determinados hábitos y alimentos: No todo lo que consumimos es bueno para nuestra salud. Uno de los hábitos más dañinos para tu dentadura es el del tabaco. El efecto más directo del tabaco es que amarillea los dientes. Pero hay más sustancias que oscurecen y manchan los dientes: el té, el café o el vino tinto son bebidas que ensucian tu dentadura y empeoran también tu aliento.
- Consume alimentos buenos para los dientes: Por eso es bueno que comas alimentos ricos en proteínas y vitaminas. Y no pienses que es necesario tomar ningún aporte artificial de flúor o calcio, pues alimentos como la leche o el queso tienen una buena cantidad de calcio natural.
- Tus dientes no son una navaja multiusos: Si necesitas cortar un plástico o quitar el tapón de una botella, es mejor que utilices el instrumento adecuado. Ten en cuenta que una vez que mudamos los dientes de leche, los siguientes que salen son definitivos y nos tienen que durar toda la vida.
Tratamientos para una Sonrisa Perfecta
En la actualidad, conseguir unos dientes perfectos está al alcance de cualquier persona. La innovación tecnológica y las nuevas técnicas de estética dental como el blanqueador dental o las carillas dentales son más eficaces y más asequibles a todos los bolsillos.
Ortodoncia Invisible
Para conseguir una sonrisa sana y natural podemos modificar todos estos parámetros potenciando únicamente la belleza intrínseca del paciente e incorporando a su sonrisa solo y exclusivamente lo que necesite. Logramos subir o bajar dientes y encías, potenciar curvas y proporciones moviendo los dientes con ortodoncia invisible Invisalign.
Ademas no se tallan los dientes para no perder masa dentaria ni se añaden volúmenes con carillas que puedan sobrecargar de peso y fuerzas excesivas a los dientes. Al contrario de todo eso, se prepara la boca previamente con ortodoncia y se perfecciona su movimiento para que mas adelante no se rompan las carillas o las reconstrucciones dentales. Por esta razón, en ocasiones es necesario un tratamiento previo de algunos meses de ortodoncia invisible.
La Dra. Cristina Viyuela lidera un equipo multidisciplinar que aborda cada caso con un enfoque personalizado y preciso, combinando la tecnología más avanzada y un profundo conocimiento estético.
Gracias a la odontología no invasiva, se logran sonrisas naturales que:
- Respetan la estructura dental.
- Mejoran la función masticatoria.
- Potencian la armonía del rostro.

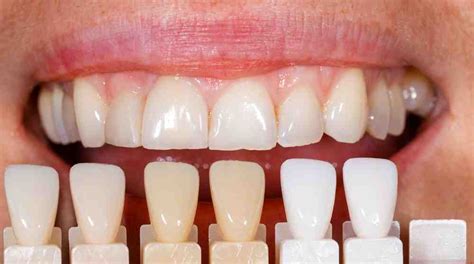
Blanqueamiento Dental
Es el tratamiento estético que más demandan los pacientes y se utiliza para conseguir la tonalidad perfecta para cada dentadura. El procedimiento es muy sencillo y se puede realizar en la clínica o en el domicilio del paciente.
Mediante unas férulas que contienen un agente blanqueador y que se aplican directamente sobre los dientes, se consigue una importante mejora en la tonalidad de la dentadura.
COMO BLANQUEAR los DIENTES 💜 LA MEJOR MANERA 🔥🔥🔥 - BLANQUEAMIENTO DENTAL MIXTO 🔥
Carillas Dentales
Es otro procedimiento estético muy demandado, ya que supone un tratamiento muy sencillo y con resultados estéticos excelentes. Se pueden utilizar carillas de porcelana, de composite, de disilicato de Litio o carillas Lumineers.
El objetivo de todas ellas es reparar cualquier tipo de daño estético de la cara visible de los dientes. Cuando la ortodoncia ha realizado su cometido, podemos colocar carillas dentales para cambiar el color o la forma del diente. Estás serán finas láminas de composite o de porcelana Lumineers (carillas dentales de porcelana que no exigen el tallado del diente).

La Estética Dental Natural
Durante años, la estética dental se ha centrado en buscar una sonrisa perfecta: blanca, simétrica y sin ninguna imperfección visible. Sin embargo, en los últimos tiempos ha surgido una tendencia distinta: la búsqueda de una estética dental natural, que pone en valor la autenticidad de cada sonrisa.
Este cambio refleja una evolución cultural en la que la belleza ya no se mide solo por la uniformidad, sino también por la singularidad.
Tratamientos que Siguen esta Tendencia
- Carillas ultrafinas y personalizadas: Que corrigen defectos sin cambiar por completo la forma del diente.
- Blanqueamientos moderados: Que aclaran varios tonos pero mantienen un aspecto real.
- Contorneado dental suave: Para pequeños ajustes en lugar de transformaciones radicales.
En Clínica Sánchez Arranz creen que la mejor sonrisa es aquella que refleja tu identidad.
Conclusión
Hoy en día, conseguir unos dientes perfectos está al alcance de todo el mundo, pero nuestro consejo es que acuda a su clínica de confianza. En nuestra clínica dental de Madrid disponemos de los mejores profesionales y los materiales y técnicas más avanzadas para que pueda disfrutar de la sonrisa soñada. Contacte con nosotros y disfrute de una dentadura perfecta.