La encía retraída es una afección dental común que implica la disminución del tejido gingival alrededor de los dientes. Esto puede revelar partes del diente que normalmente están cubiertas, afectando tanto la estética como la salud bucal. Identificar las causas y síntomas de la encía retraída es crucial para prevenir problemas más serios. Existen diversas técnicas de tratamiento y recomendaciones para mantener una adecuada salud periodontal, que son fundamentales para evitar complicaciones.

¿Qué es la retracción de encías?
La retracción de encías es una afección bucal que impacta la salud de los dientes y las encías. Este proceso lleva a la pérdida gradual de tejido gingival, lo que puede provocar múltiples complicaciones en la salud dental.
Definición y características
La retracción de encías, o recesión gingival, se refiere al desplazamiento del tejido gingival hacia abajo, exponiendo la superficie del diente y, en algunos casos, la raíz. Esto provoca un aspecto de dientes más largos y puede contribuir a problemas de sensibilidad y caries en las áreas expuestas. La retracción puede ser un proceso gradual y, a menudo, pasa desapercibido en sus primeras etapas.
Entre las características distintivas se encuentran:
- Pérdida de tejidos que soportan los dientes.
- Exposición de la raíz, que a diferencia del esmalte, es más vulnerable a las caries.
- Posibilidad de complicaciones como la enfermedad periodontal si no se aborda correctamente.
Diferencias entre recesión gingival y otras condiciones
Es fundamental comprender cómo se distingue la retracción de encías de otras condiciones que pueden afectar la salud bucal. Por ejemplo, la gingivitis es una inflamación de las encías que, aunque puede conducir a la retracción, no implica necesariamente la pérdida de tejido gingival. En cambio, la recesión gingival ya indica que ha ocurrido un daño significativo en el soporte de los dientes.
Otras diferencias incluyen:
- La gingivitis está marcada por enrojecimiento y sangrado, mientras que la retracción puede no presentar sangrado visible en sus inicios.
- La recesión gingival conlleva un riesgo mayor de infecciones periodontales debido a la exposición de la raíz.
- A diferencia de las encías inflamadas en la gingivitis, las encías retraídas tienden a estar más finas y pueden aparecer más claras.
Principales causas de las encías retraídas
La retracción de encías puede ser provocada por una variedad de factores que contribuyen al desgaste del tejido gingival. Estas causas pueden interrelacionarse y agravar el problema con el tiempo.
Enfermedad periodontal y su impacto
La enfermedad periodontal es la principal responsable de la retracción de las encías. Se inicia con la inflamación de las encías, conocida como gingivitis, y puede avanzar a periodontitis. Esta última provoca la destrucción del tejido que sostiene los dientes, lo que resulta en una pérdida significativa de soporte para las encías y, por consiguiente, una mayor exposición de las raíces dentales.
Consecuencias de una mala higiene bucal
Una higiene bucal deficiente es un factor determinante en el desarrollo de enfermedades periodontales. La falta de cepillado y el uso inadecuado del hilo dental permiten la acumulación de placa y sarro. Estos depósitos pueden irritar las encías, llevando a su inflamación y eventual retracción.
Efectos del cepillado brusco
El uso de técnicas de cepillado agresivas puede dañar el tejido gingival. Cepillarse con demasiada fuerza o emplear un cepillo de cerdas duras provoca un desgaste mecánico de las encías, lo que favorece su retracción a lo largo del tiempo.
Influencia del bruxismo
El bruxismo, que implica rechinar o apretar los dientes, genera una gran presión sobre las encías y los dientes. Este hábito puede causar desgaste en el tejido gingival, contribuyendo a su retracción y a problemas asociados como la sensibilidad dental.
Factores genéticos y hereditarios
La predisposición genética también juega un papel en la salud de las encías. Algunas personas pueden heredar una mayor vulnerabilidad a padecer enfermedades periodontales, lo que incrementa el riesgo de sufrir retracción gingival a lo largo de su vida.
Reconociendo los síntomas de la retracción de encías
La identificación temprana de los síntomas asociados a la retracción de encías es fundamental para abordar esta condición de manera efectiva. A continuación, se describen los signos más comunes.
Dientes más largos
Una de las manifestaciones más visibles de la retracción es la percepción de dientes más alargados. Este fenómeno ocurre como resultado de la exposición de la raíz del diente, lo que puede alterar la estética dental. La sensación de que los dientes se ven más prominentes es un indicador claro que merece atención.
Sensibilidad dental y causas
La sensibilidad en los dientes puede aumentar significativamente debido a la retracción de encías. Las raíces expuestas son más vulnerables a estímulos externos, como temperaturas frías o calientes. Esta sensibilidad puede dificultar la ingesta de ciertos alimentos y bebidas, lo que podría llevar a un malestar prolongado.
Sangrado e inflamación gingival
El sangrado de las encías durante el cepillado o el uso de hilo dental es un síntoma común que indica inflamación. La irritación de las encías puede ser consecuencia de la acumulación de placa o sarro, lo que aumenta el riesgo de enfermedad periodontal. La inflamación puede variar en intensidad y a menudo se acompaña de enrojecimiento.
Mal aliento persistente
La acumulación de bacterias en las áreas donde las encías se han retraído puede resultar en halitosis, o mal aliento persistente. Este síntoma es un signo de que la salud periodontal podría estar comprometida. La presencia de infecciones bacterianas no tratadas puede agudizar este problema.
Infecciones periodontales y pérdida ósea
Con el tiempo, la exposición de las raíces y la inflamación gingival pueden dar lugar a infecciones más serias. Estas infecciones, si no se abordan de forma adecuada, pueden resultar en la pérdida ósea que sostiene los dientes. Esto, a su vez, puede llevar a una movilidad dental y, en casos severos, a la pérdida de dientes.
Tratamientos para ENCÍAS RETRAÍDAS: ¿Hay solución? ¿Las encías se regeneran? ¿Cuál es su CAUSA?
Prevención de la retracción de encías
Para mantener la salud de las encías y prevenir su retracción, es fundamental adoptar buenos hábitos de higiene bucal y consultar regularmente al dentista. La prevención es la clave para evitar complicaciones en la salud periodontal.
Técnicas de cepillado correcto
Una correcta técnica de cepillado permite eliminar eficazmente la placa y prevenir la recesión gingival. Se recomienda lo siguiente:
- Utilizar un cepillo de dientes de cerdas suaves para evitar el desgaste del tejido gingival.
- Realizar movimientos suaves y circulares. Esto ayuda a limpiar sin dañar las encías.
- Cepillarse los dientes durante al menos dos minutos, asegurándose de cubrir todas las superficies de los dientes.
- Incorporar un cepillado de lengua para eliminar bacterias y mantener un aliento fresco.
Importancia del uso de hilo dental
El uso diario de hilo dental es esencial para limpiar entre los dientes y debajo de la línea de las encías. Esto impide la acumulación de placa en áreas difíciles de alcanzar con el cepillo. Al usarlo, es importante:
- Tomar aproximadamente 45 centímetros de hilo y enrollarlo en los dedos.
- Introducirlo suavemente entre los dientes, formando una «C» alrededor de cada diente.
- Realizar movimientos ascendentes y descendentes para retirar la placa.
Recomendaciones para el control del bruxismo
El bruxismo puede ser un factor que agrave la retracción de encías. Es recomendable considerar:
- El uso de férulas dentales nocturnas para proteger la dentadura.
- Realizar ejercicios de relajación para reducir el estrés y la tensión mandibular.
Beneficios de evitar el tabaco
Fumar afecta negativamente la salud de las encías. Por lo tanto, dejar de fumar puede mejorar la circulación sanguínea en las encías y su capacidad de sanación. Este cambio tiene impactos positivos en la salud bucal general.
Visitas regulares al dentista
Las citas periódicas con un dentista son cruciales para detectar cualquier problema en sus primeras etapas. Se aconseja:
- Realizar limpiezas profesionales al menos cada seis meses.
- Solicitar revisiones más frecuentes si se tienen antecedentes de problemas periodontales.
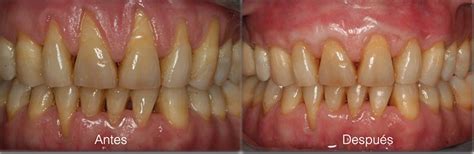
Tratamientos para encías retraídas
El tratamiento de la retracción gingival es fundamental para mantener la salud bucal y prevenir complicaciones futuras. Existen diversas opciones de tratamiento que varían según la gravedad y las causas subyacentes.
Limpiezas profesionales: raspado y alisado radicular
Las limpiezas dentales profesionales son una parte crucial del tratamiento. Este procedimiento, conocido como raspado y alisado radicular, se realiza para eliminar el sarro y la placa bacteriana que se acumulan debajo de la línea de las encías. Esto ayuda a reducir la inflamación gingival y promueve la regeneración del tejido saludable.
Uso de antibióticos
En algunas situaciones, los dentistas pueden prescribir antibióticos si se detecta una infección en las encías. La terapia con antibióticos es esencial para controlar la infección, prevenir su propagación y mejorar la salud periodontal. Puede administrarse de forma oral o tópica, dependiendo del caso específico.
Injerto de encía y técnicas quirúrgicas
Para los casos más severos de retracción, puede ser necesario realizar un injerto de encía. Este procedimiento implica la transferencia de tejido gingival de otra parte de la boca para cubrir las áreas afectadas. Existen varias técnicas quirúrgicas que pueden ayudar a restaurar la apariencia estética y funcional de la encía.
Terapia con láser
El uso de tratamientos láser para la retracción de encías se está volviendo cada vez más popular. Esta técnica menos invasiva puede ayudar a reducir la profundidad de las bolsas periodontales y facilitar la regeneración de los tejidos gingivales, acelerando así el proceso de cicatrización.
Soluciones para casos de implantología dental
En casos donde la retención de encías ha conducido a la pérdida de dientes, las soluciones de implantología dental pueden ser una opción viable. Los implantes permiten sustituir los dientes perdidos y pueden integrarse con el tejido óseo, proporcionando estabilidad y mejorando la estética dental. La salud de las encías es esencial para el éxito de estos procedimientos.
Remedios caseros para encías retraídas
La utilización de remedios caseros puede ser un complemento efectivo para mejorar la salud de las encías y mitigar la retracción. Estas opciones naturales pueden ayudar a fortalecer el tejido gingival y reducir la inflamación.
Enjuagues naturales
Los enjuagues con ingredientes naturales son una forma sencilla de promover la salud bucal. Existen varias opciones que son beneficiosas:
- Agua salada: Hacer gárgaras con agua tibia y sal ayuda a reducir la inflamación y eliminar bacterias. Es recomendable usar esta mezcla una o dos veces al día.
- Infusión de té verde: El té verde contiene propiedades antioxidantes que pueden ayudar a combatir la inflamación. Utilizarlo como enjuague puede proporcionar alivio.
- Solución de bicarbonato de sodio: Un enjuague con bicarbonato disuelto en agua es útil para equilibrar el pH de la boca y reducir la acumulación de placa.
Dieta y suplementos para fortalecer las encías
La alimentación juega un papel crucial en la salud de las encías. Incorporar ciertos alimentos y suplementos puede favorecer el bienestar periodontal:
- Frutas y verduras ricas en vitamina C: Alimentos como naranjas, fresas y pimientos ayudan a fortalecer las encías y mejorar la cicatrización.
- Ácidos grasos omega-3: Se encuentran en pescados como el salmón y en nueces. Estos ácidos tienen propiedades antiinflamatorias y son beneficiosos para los tejidos de la boca.
- Suplementos de colágeno: Puede contribuir a la regeneración del tejido gingival, promoviendo encías más fuertes y saludables.
Masajes gingivales y su efectividad
Los masajes en las encías pueden ser una técnica eficaz para estimular la circulación y aliviar la inflamación. Esta práctica ayuda a reforzar el tejido gingival y a mantener su elasticidad:
- Técnica suave: Usar los dedos limpios para realizar movimientos circulares sobre las encías, aplicando una presión suave, puede ser beneficioso.
- Uso de aceite de coco: Este aceite tiene propiedades antimicrobianas. Masajear las encías con aceite de coco puede ayudar a reducir la inflamación y mejorar la salud general de la boca.
Casos especiales: ¿Qué hacer si un único diente tiene encía retraída?
La retracción de encías en un solo diente puede ser un indicativo de problemas localizados en la salud dental. Abordar esta condición oportunamente es fundamental para evitar complicaciones mayores y preservar la funcionalidad y estética del diente afectado.
Identificación y diagnóstico
La detección temprana es clave para abordar la retracción en un único diente. Algunos signos que pueden señalar esta condición incluyen:
- La percepción de que el diente está más largo que los demás.
- Mayor sensibilidad al contacto, especialmente con alimentos fríos o calientes.
- Presencia de sangrado al cepillarse o usar hilo dental en la zona afectada.
- Infecciones localizadas que pueden llevar a un mal olor en la boca.
Consultas dentales regulares permiten un diagnóstico preciso mediante exámenes clínicos y, si es necesario, radiografías para evaluar el estado de la encía y el hueso subyacente.
Tratamientos específicos
Las opciones de tratamiento para un diente con encía retraída pueden variar en función de la gravedad del caso y de las causas subyacentes. Algunas alternativas incluyen:
- Limpieza profesional para eliminar placa y sarro acumulado.
- Aplicación de selladores o tratamientos antimicrobianos para prevenir infecciones.
- Injertos de encía para restaurar el tejido perdido, si es necesario.
- Uso de férulas si hay indicios de bruxismo que contribuyan a la retracción.
La elección del tratamiento dependerá del diagnóstico y la valoración del odontólogo.
Consideraciones estéticas y funcionales
La retracción de encías en un solo diente no solo tiene implicaciones en la salud bucal, sino también en la apariencia estética. Mantener una sonrisa armónica es esencial. Se deben considerar:
- El impacto visual en la sonrisa y la necesidad de tratamientos estéticos adicionales.
- La función masticatoria y cómo la retracción afecta la alineación de otros dientes.
- El seguimiento a largo plazo para evitar que el problema se agrave.
La intervención adecuada no solo mejora la estética, sino que también ayuda a mantener la funcionalidad dental.
Mitos y realidades sobre las encías retraídas
La retracción de encías está rodeada de numerosas creencias que a menudo generan confusión. Es crucial desmitificar estos conceptos erróneos para comprender mejor la salud periodontal y su impacto en el bienestar oral.
¿Es bueno cepillar los dientes con bicarbonato?
A lo largo del tiempo se ha hablado mucho acerca de cepillar los dientes con bicarbonato y ha surgido mucha controversia sobre este tema. El bicarbonato sí que blanquea los dientes, pero antes de empezar a utilizarlo debes saber varios puntos.
Lo primero que debes comprender es que nuestros dientes no son blancos. Nuestro esmalte dental en realidad es translúcido y lo que da color a nuestros dientes es la dentina. La dentina es de color amarillo, por lo que ese color es el que se refleja en nuestros dientes. En cambio, lo que sí que puede oscurecerse es el esmalte dental debido a ciertos hábitos como puede ser fumar, tomar café, comer algunos alimentos o beber vino. Aquí es cuando el bicarbonato puede resultar de ayuda.
Al cepillarte los dientes con bicarbonato puedes deshacerte de manchas y aclarar un poco el esmalte. Sin embargo, es importante acudir a tu dentista y que él mismo te haga el tratamiento, ya que tendrá un efecto más rápido y eficiente.
Hay muchas opiniones sobre la utilización del bicarbonato de sodio, ya que en pequeñas concentraciones puede ser inofensivo, mientras que en grandes cantidades y mezclado con otros productos puede llegar a ser peligroso para el esmalte dental. Algunos de sus peligros son los siguientes:
- Al mezclarlo con agua oxigenada puede irritar las encías.
- Si mezclas el bicarbonato con productos que tienen pH ácido puede ocasionar sensibilidad dental.
- Si utilizas el bicarbonato de sodio como pasta de dientes y no utilizas otras pastas de dientes puede ser que favorezcan la aparición de caries. Esto se debe a que el bicarbonato de sodio no proporciona el flúor necesario que sí que está presente en muchas pastas de dientes.
- Tiene un sabor y una textura desagradable. Puedes sacarle provecho a sus beneficios probando algunas pastas de dientes que incluyen bicarbonato de sodio, ya que tienen una textura y un sabor más agradable.
Beneficios de lavar nuestros dientes con bicarbonato de sodio
- Reduce la placa y la gingivitis: Las biopelículas pueden causar problemas como las caries y la gingivitis. Al cepillarse los dientes con bicarbonato se interrumpen las biopelículas, por lo que se reduce el número de bacterias y previene daños en las encías y en los dientes.
- Puede disminuir las bacterias: Algunas bacterias necesitan de condiciones ácidas para sobrevivir y actuar en la boca. Si te enjuagas la boca con bicarbonato y agua, el pH de la boca aumenta y la hace menos ácida. Por eso, su utilización como pasta de dientes puede disminuir la aparición de caries.
- Elimina las manchas superficiales de los dientes: El bicarbonato de sodio es un abrasivo suave que puede eliminar las manchas exteriores de nuestros dientes. Por eso, este ingrediente se suele utilizar en muchas pastas comerciales.
¿Recomendamos el bicarbonato?
Los tratamientos milagrosos no existen y el hacer uso de estos remedios caseros pueden ocasionar daños a tu dentadura. Por eso, te recomendamos que si quieres blanquear tus dientes lo hagas a través de un profesional de la odontología.
Es importante primero asegurarte de que el tratamiento no afecta a tus encías, ni a los tejidos blandos, ni a tus dientes. Con ello, también pueden aparecer las caries de raíz. Para poder solucionar la recesión de encías, lo primero es acabar con la causa concreta que ha originado la retracción. El postoperatorio del injerto de encía es muy sencillo.

tags: #bicarbonato #para #encias #retraidas