El levantamiento de mordida es una técnica utilizada para desbloquear la oclusión, evitar que los dientes superiores choquen con los inferiores o conseguir un mayor beneficio transversal de las arcadas. Su objetivo principal es abrir la mordida, provocando la desoclusión en la región anterior.
¿Te interesa conocer más sobre este tema? ¡Aquí nuestro artículo de hoy sobre levante de mordida! No te pierdas las mejores ofertas en material de ortodoncia, ¡siempre tendremos algo para sorprenderte!
BITE PLAN, dispositivo utilizado en ortopedia y ortodoncia
¿Qué es la Sobremordida?
La sobremordida, coloquialmente conocida como mordida profunda, es un problema de maloclusión donde los dientes superiores están adelantados y cubren excesivamente a los inferiores. Por lo tanto, existen distintos grados de sobremordida. Sin embargo, no debemos confundir casos de sobremordida con un ligero cubrimiento parcial de los dientes inferiores que puede considerarse normal.
El overbite o sobremordida es la distancia entre el borde del incisivo central superior e inferior en sentido vertical. El overbite considerado normal tiene el incisivo superior sobrepasando aproximadamente 1/3 al incisivo inferior.
También, debemos destacar que los términos “sobremordida inferior” y “overbite negativo” no son los más académicos, pero coloquialmente se utilizan mucho. La manera correcta de nombrar a este tipo de maloclusión dental es el de mordida cruzada anterior.

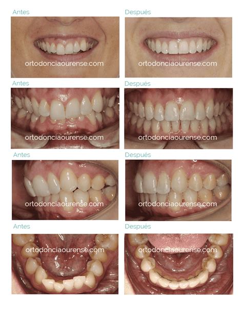
Corrección de la sobremordida: antes y después.
Causas de la Sobremordida
En ocasiones, una de las causas de la sobremordida son los factores hereditarios familiares. La causa más común se debe a que la mandíbula inferior (o maxilar) es pequeña. Cuando ello se produce, los dientes superiores se ven “adelantados” y los incisivos inferiores siguen saliendo y creciendo hasta llegar a tocar la mucosa del paladar o techo de la boca.
Si existe la falta de algún incisivo (agenesia o falta de pieza dental), se produce una situación parecida a tener una mandíbula pequeña. En ocasiones, ocurre que los dientes posteriores tampoco cierran bien. El patrón braquifacial de crecimiento de la estructura facial (patrón de cara más ancha y corta que no alargada) es el que más se relaciona con la mordida profunda.
Normalmente, estos patrones son maloclusiones de clase II, tanto dental como esquelética. En la clase 1 existen problemas en la posición de los dientes y se caracteriza por las relaciones mesiodistales de los maxilares con los arcos dentales.

Tipos de mordida.
Consecuencias de la Sobremordida
La mordida profunda puede provocar múltiples trastornos de salud, entre ellos:
- Trastornos en la masticación: que podrían dañar dientes y encías.
- Problemas en la respiración: que podrían causar problemas como insuficiente respiración nasal y excesiva respiración oral.
- Alteraciones en la oclusión: que podrían afectar a la buena relación entre los huesos maxilar superior e inferior.
- Problemas en la articulación temporomandibular o ATM: entre ellos, dolor al masticar o morder.
- Alteraciones estéticas: es decir, en la apariencia de la cara y/o en la sonrisa.
Por todo ello, es importante realizar un diagnóstico temprano para tratar esta maloclusión, generalmente de clase II.
Tratamientos para la Sobremordida
En Niños
En los niños, la sobremordida o mordida profunda se corrige con ortodoncia interceptiva. De hecho, es ideal empezar el tratamiento entre los cinco y los nueve años de edad aproximadamente. Sin duda, los tratamientos interceptivos pueden realizarse con distintos aparatos, siendo el estudio de ortodoncia el que nos indica el enfoque más adecuado.
En Adolescentes y Adultos
Cuando se descubre en los adolescentes, se realiza tratamiento de ortodoncia fija para corregirla, ya que a esa edad es demasiado tarde para hacer un tratamiento de ortodoncia interceptiva. El tratamiento de ortodoncia fija puede realizarse con brackets o con ortodoncia invisible. Los brackets pueden ser estéticos o los metálicos convencionales.
Finalmente, la decisión para el tipo de mecánica o aparatología para solucionar una sobremordida dependerá de las características de cómo ocluye y de aspectos funcionales. También, de los rasgos faciales del niño o jóven, y se determinará en función de los resultados del estudio de ortodoncia.
Para corregir la sobremordida, se debe analizar el caso del niño o joven con un estudio para valorar el tipo y el tiempo necesario de tratamiento. Por lo tanto, ya sea con ortodoncia interceptiva o con ortodoncia fija, dependerá del grado y tipo de mordida profunda y de la edad del paciente.
Hay casos severos que sólo pueden ser tratados con cirugía ortognática, proceso por el cual se reposiciona de forma quirúrgica la mandíbula en la posición idónea para que ocluya bien.
Levantes de Mordida
Una forma muy común de realizar levantes posteriores, probada por muchos ortodoncistas, es utilizando resina fotopolimerizable monocomponente con liberación de flúor. La resina fotopolimerizable puede permanecer en boca aproximadamente 8 meses.
El levante de mordida anterior se realiza en las caras palatinas de los incisivos centrales superiores, provocando una abertura de mordida posterior. Esto permite la extrusión de los molares y premolares, nivelando la curva de Spee inferior.
¿Qué Pasa Si No Se Trata la Sobremordida?
Tal como hemos mencionado anteriormente, dejar de tratar esta maloclusión puede provocar problemas de salud en la edad adulta, dependiendo de su gravedad. Por lo tanto, el tratamiento consistirá en ortodoncia interceptiva en niños de corta edad y de ortodoncia fija si se detecta en la adolescencia.
Para terminar, aconsejamos valorar lo antes posible con el odontopediatra la existencia de una sobremordida dental en niños. Por desgracia, cuando un problema severo de este tipo no se detecta a tiempo, en pacientes adultos puede llegar a comportar hasta la necesidad de cirugía ortognática. En otras palabras, el tratamiento de la sobremordida en adultos es más complejo.
Aparatología Funcional y el Bite Jumping Appliance (VDP)
La aparatología funcional, como el Bite Jumping Appliance (VDP), se aplica tanto a niños como a adultos. Este tipo de aparatos se utilizan para corregir problemas de oclusión y promover un crecimiento óseo adecuado.
El Bite Jumping Appliance (BJA) es un aparato ortodóntico-ortopédico funcional. Su fabricación requiere seguir un proceso cuidadoso, dirigido por el clínico, que incluye ajustar cuidadosamente fuera del modelo.
El levantamiento de mordida anterior se realiza en las caras palatinas de los incisivos centrales superiores, provocando una abertura de mordida posterior. Esto permite la extrusión de los molares y premolares, nivelando la curva de Spee inferior.

Bite Jumping Appliance (VDP).
tags: #bite #plate #ortodoncia